与盆腔器官脱垂相关的基质金属蛋白酶-1、-2和-9的表达水平:刚果民主共和国卡南加市两家医院中刚果妇女圆形韧带的实验分析研究。

IF 1 Q4 PUBLIC, ENVIRONMENTAL & OCCUPATIONAL HEALTH
Pan African Medical Journal Pub Date : 2025-04-07 eCollection Date: 2025-01-01 DOI:10.11604/pamj.2025.50.93.45722
Antoine Tshimbundu Kayembe, Patrick Kahindo Muyayalo, Andy Mbangama Muela, Rahma Raschid Tozin
{"title":"与盆腔器官脱垂相关的基质金属蛋白酶-1、-2和-9的表达水平:刚果民主共和国卡南加市两家医院中刚果妇女圆形韧带的实验分析研究。","authors":"Antoine Tshimbundu Kayembe, Patrick Kahindo Muyayalo, Andy Mbangama Muela, Rahma Raschid Tozin","doi":"10.11604/pamj.2025.50.93.45722","DOIUrl":null,"url":null,"abstract":"<p><strong>Introduction: </strong>pelvic organ prolapse is a pathology of ligamentous connective tissues and matrix metalloproteinases are the main actors responsible for tissue remodeling by degrading connective tissue. The objective of this present study is to determine the expression rate of matrix metalloproteinases-1, -2 and -9 in prolapsed round ligaments and identify the types of matrix metalloproteinases most determining in the appearance of pelvic organs prolapse in in two pilot hospitals of Saint-Georges and of Bon-Berger of the city of Kananga in the Democratic Republic of Congo.</p><p><strong>Methods: </strong>we conducted an analytical experimental study based on immunohistochemical examination of round ligaments of 100 consenting patients divided in two groups with and without pelvic organ prolapse treated in the gynecology departments of Bon-Berger hospitals in Tshikaji and Saint-Georges in Katoka in city of Kananga, from January 1<sup>st</sup> to July 31<sup>st</sup>, 2023. Non-probability convenience sampling helped us select cases. The ANOVA test, the Chi-square test, and the logistic regression with adjustment are used in the statistical analyses.</p><p><strong>Results: </strong>the average age of our patients with pelvic organ prolapse was 57.18 (SD: 8.17) years, and their average parity was 7.76 (SD: 1.04) delivery. This average parity was significantly increased compared to those of patients without prolapse. The expression rate of matrix metalloproteinases-1, -2, and -9 is significantly high in prolapsed round ligaments with a respective mean immunoreactive of 44.10± 22.04% (P=0.001), 39.46± 24.10% (P=0.001), and 39.34± 20.89% (P=0.001). Positive immunoreactivities to matrix metalloproteinases-1, -2, and -9 are significantly noted in patients with prolapse. There was a significant association between positive immunoreactivities to matrix metalloproteinase-1 (AOR 5.40, 95% CI: 0.981-29.794, P: 0.044) and matrix metalloproteinase-9 (AOR: 6.205, 95% CI: 1.467-26.239, P: 0.013) with the appearance of pelvic organs prolapses in the city of Kananga.</p><p><strong>Conclusion: </strong>the expression level of matrix metalloproteinases is increased in patients with pelvic organ prolapse and is associated with this condition, matrix metalloproteinases-1 and -9 are associated with the occurrence of pelvic organ prolapse. These results will serve as a basis for experimental research studies of inhibitory evidence of estrogens and progesterone on these matrix metalloproteinases in our city with a view to adding these hormones as a means of preventing pelvic organs prolapse in women at risk in our city of Kananga.</p>","PeriodicalId":48190,"journal":{"name":"Pan African Medical Journal","volume":"50 ","pages":"93"},"PeriodicalIF":1.0000,"publicationDate":"2025-04-07","publicationTypes":"Journal Article","fieldsOfStudy":null,"isOpenAccess":false,"openAccessPdf":"https://www.ncbi.nlm.nih.gov/pmc/articles/PMC12220023/pdf/","citationCount":"0","resultStr":"{\"title\":\"Expression level of matrix metalloproteinases -1, -2 and -9 associated with pelvic organ prolapse: experimental analytical study of round ligaments of Congolese women in two hospitals from the city of Kananga in Democratic Republic of Congo.\",\"authors\":\"Antoine Tshimbundu Kayembe, Patrick Kahindo Muyayalo, Andy Mbangama Muela, Rahma Raschid Tozin\",\"doi\":\"10.11604/pamj.2025.50.93.45722\",\"DOIUrl\":null,\"url\":null,\"abstract\":\"<p><strong>Introduction: </strong>pelvic organ prolapse is a pathology of ligamentous connective tissues and matrix metalloproteinases are the main actors responsible for tissue remodeling by degrading connective tissue. The objective of this present study is to determine the expression rate of matrix metalloproteinases-1, -2 and -9 in prolapsed round ligaments and identify the types of matrix metalloproteinases most determining in the appearance of pelvic organs prolapse in in two pilot hospitals of Saint-Georges and of Bon-Berger of the city of Kananga in the Democratic Republic of Congo.</p><p><strong>Methods: </strong>we conducted an analytical experimental study based on immunohistochemical examination of round ligaments of 100 consenting patients divided in two groups with and without pelvic organ prolapse treated in the gynecology departments of Bon-Berger hospitals in Tshikaji and Saint-Georges in Katoka in city of Kananga, from January 1<sup>st</sup> to July 31<sup>st</sup>, 2023. Non-probability convenience sampling helped us select cases. The ANOVA test, the Chi-square test, and the logistic regression with adjustment are used in the statistical analyses.</p><p><strong>Results: </strong>the average age of our patients with pelvic organ prolapse was 57.18 (SD: 8.17) years, and their average parity was 7.76 (SD: 1.04) delivery. This average parity was significantly increased compared to those of patients without prolapse. The expression rate of matrix metalloproteinases-1, -2, and -9 is significantly high in prolapsed round ligaments with a respective mean immunoreactive of 44.10± 22.04% (P=0.001), 39.46± 24.10% (P=0.001), and 39.34± 20.89% (P=0.001). Positive immunoreactivities to matrix metalloproteinases-1, -2, and -9 are significantly noted in patients with prolapse. There was a significant association between positive immunoreactivities to matrix metalloproteinase-1 (AOR 5.40, 95% CI: 0.981-29.794, P: 0.044) and matrix metalloproteinase-9 (AOR: 6.205, 95% CI: 1.467-26.239, P: 0.013) with the appearance of pelvic organs prolapses in the city of Kananga.</p><p><strong>Conclusion: </strong>the expression level of matrix metalloproteinases is increased in patients with pelvic organ prolapse and is associated with this condition, matrix metalloproteinases-1 and -9 are associated with the occurrence of pelvic organ prolapse. These results will serve as a basis for experimental research studies of inhibitory evidence of estrogens and progesterone on these matrix metalloproteinases in our city with a view to adding these hormones as a means of preventing pelvic organs prolapse in women at risk in our city of Kananga.</p>\",\"PeriodicalId\":48190,\"journal\":{\"name\":\"Pan African Medical Journal\",\"volume\":\"50 \",\"pages\":\"93\"},\"PeriodicalIF\":1.0000,\"publicationDate\":\"2025-04-07\",\"publicationTypes\":\"Journal Article\",\"fieldsOfStudy\":null,\"isOpenAccess\":false,\"openAccessPdf\":\"https://www.ncbi.nlm.nih.gov/pmc/articles/PMC12220023/pdf/\",\"citationCount\":\"0\",\"resultStr\":null,\"platform\":\"Semanticscholar\",\"paperid\":null,\"PeriodicalName\":\"Pan African Medical Journal\",\"FirstCategoryId\":\"1085\",\"ListUrlMain\":\"https://doi.org/10.11604/pamj.2025.50.93.45722\",\"RegionNum\":0,\"RegionCategory\":null,\"ArticlePicture\":[],\"TitleCN\":null,\"AbstractTextCN\":null,\"PMCID\":null,\"EPubDate\":\"2025/1/1 0:00:00\",\"PubModel\":\"eCollection\",\"JCR\":\"Q4\",\"JCRName\":\"PUBLIC, ENVIRONMENTAL & OCCUPATIONAL HEALTH\",\"Score\":null,\"Total\":0}","platform":"Semanticscholar","paperid":null,"PeriodicalName":"Pan African Medical Journal","FirstCategoryId":"1085","ListUrlMain":"https://doi.org/10.11604/pamj.2025.50.93.45722","RegionNum":0,"RegionCategory":null,"ArticlePicture":[],"TitleCN":null,"AbstractTextCN":null,"PMCID":null,"EPubDate":"2025/1/1 0:00:00","PubModel":"eCollection","JCR":"Q4","JCRName":"PUBLIC, ENVIRONMENTAL & OCCUPATIONAL HEALTH","Score":null,"Total":0}
引用次数: 0

摘要

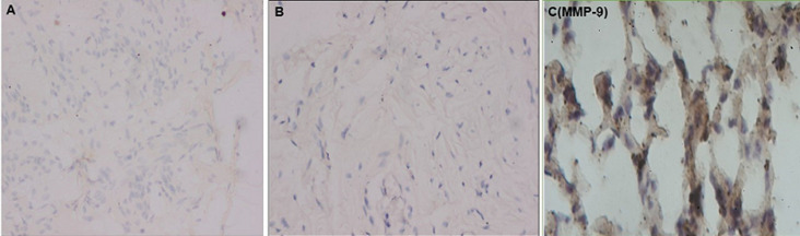
盆腔器官脱垂是一种韧带结缔组织病理,基质金属蛋白酶是通过降解结缔组织进行组织重塑的主要参与者。本研究的目的是确定基质金属蛋白酶-1、-2和-9在脱垂的圆形韧带中的表达率,并确定在刚果民主共和国圣乔治市和卡南加市的Bon-Berger两家试点医院中最能决定盆腔器官脱垂外观的基质金属蛋白酶类型。方法:对2023年1月1日至7月31日在卡纳加市Tshikaji和Katoka的Saint-Georges的Bon-Berger医院妇科治疗的100例有和无盆腔器官脱垂患者进行圆形韧带免疫组化检查的分析性实验研究。非概率方便抽样帮助我们选择案例。统计分析采用方差分析检验、卡方检验和带调整的logistic回归。结果:盆腔器官脱垂患者的平均年龄为57.18岁(SD: 8.17),平均胎次为7.76次(SD: 1.04)。与没有脱垂的患者相比,平均胎次显著增加。基质金属蛋白酶-1、-2、-9在脱垂圆形韧带中的表达率较高,平均免疫反应率分别为44.10±22.04% (P=0.001)、39.46±24.10% (P=0.001)和39.34±20.89% (P=0.001)。对基质金属蛋白酶-1、-2和-9的阳性免疫反应在脱垂患者中显著。在卡南加市,基质金属蛋白酶-1 (AOR: 5.40, 95% CI: 0.981 ~ 29.794, P: 0.044)和基质金属蛋白酶-9 (AOR: 6.205, 95% CI: 1.467 ~ 26.239, P: 0.013)免疫反应阳性与盆腔器官脱垂的发生有显著相关性。结论:基质金属蛋白酶在盆腔脏器脱垂患者中表达水平升高并与盆腔脏器脱垂有关,基质金属蛋白酶-1、-9与盆腔脏器脱垂的发生有关。这些结果将为我市雌激素和黄体酮对这些基质金属蛋白酶抑制证据的实验研究奠定基础,以期在我市卡南加市增加这些激素作为预防高危妇女盆腔器官脱垂的手段。
本文章由计算机程序翻译,如有差异,请以英文原文为准。

Expression level of matrix metalloproteinases -1, -2 and -9 associated with pelvic organ prolapse: experimental analytical study of round ligaments of Congolese women in two hospitals from the city of Kananga in Democratic Republic of Congo.

Expression level of matrix metalloproteinases -1, -2 and -9 associated with pelvic organ prolapse: experimental analytical study of round ligaments of Congolese women in two hospitals from the city of Kananga in Democratic Republic of Congo.

Expression level of matrix metalloproteinases -1, -2 and -9 associated with pelvic organ prolapse: experimental analytical study of round ligaments of Congolese women in two hospitals from the city of Kananga in Democratic Republic of Congo.

Expression level of matrix metalloproteinases -1, -2 and -9 associated with pelvic organ prolapse: experimental analytical study of round ligaments of Congolese women in two hospitals from the city of Kananga in Democratic Republic of Congo.

Introduction: pelvic organ prolapse is a pathology of ligamentous connective tissues and matrix metalloproteinases are the main actors responsible for tissue remodeling by degrading connective tissue. The objective of this present study is to determine the expression rate of matrix metalloproteinases-1, -2 and -9 in prolapsed round ligaments and identify the types of matrix metalloproteinases most determining in the appearance of pelvic organs prolapse in in two pilot hospitals of Saint-Georges and of Bon-Berger of the city of Kananga in the Democratic Republic of Congo.

Methods: we conducted an analytical experimental study based on immunohistochemical examination of round ligaments of 100 consenting patients divided in two groups with and without pelvic organ prolapse treated in the gynecology departments of Bon-Berger hospitals in Tshikaji and Saint-Georges in Katoka in city of Kananga, from January 1st to July 31st, 2023. Non-probability convenience sampling helped us select cases. The ANOVA test, the Chi-square test, and the logistic regression with adjustment are used in the statistical analyses.

Results: the average age of our patients with pelvic organ prolapse was 57.18 (SD: 8.17) years, and their average parity was 7.76 (SD: 1.04) delivery. This average parity was significantly increased compared to those of patients without prolapse. The expression rate of matrix metalloproteinases-1, -2, and -9 is significantly high in prolapsed round ligaments with a respective mean immunoreactive of 44.10± 22.04% (P=0.001), 39.46± 24.10% (P=0.001), and 39.34± 20.89% (P=0.001). Positive immunoreactivities to matrix metalloproteinases-1, -2, and -9 are significantly noted in patients with prolapse. There was a significant association between positive immunoreactivities to matrix metalloproteinase-1 (AOR 5.40, 95% CI: 0.981-29.794, P: 0.044) and matrix metalloproteinase-9 (AOR: 6.205, 95% CI: 1.467-26.239, P: 0.013) with the appearance of pelvic organs prolapses in the city of Kananga.

Conclusion: the expression level of matrix metalloproteinases is increased in patients with pelvic organ prolapse and is associated with this condition, matrix metalloproteinases-1 and -9 are associated with the occurrence of pelvic organ prolapse. These results will serve as a basis for experimental research studies of inhibitory evidence of estrogens and progesterone on these matrix metalloproteinases in our city with a view to adding these hormones as a means of preventing pelvic organs prolapse in women at risk in our city of Kananga.

求助全文
通过发布文献求助,成功后即可免费获取论文全文。 去求助
来源期刊
Pan African Medical Journal
Pan African Medical Journal PUBLIC, ENVIRONMENTAL & OCCUPATIONAL HEALTH-
CiteScore
1.80
自引率
0.00%
发文量
691
×
引用
GB/T 7714-2015
复制
MLA
复制
APA
复制
导出至
BibTeX EndNote RefMan NoteFirst NoteExpress
×
提示
您的信息不完整,为了账户安全,请先补充。
现在去补充
×
提示
您因"违规操作"
具体请查看互助需知
我知道了
×
提示
确定
请完成安全验证×
copy
已复制链接
快去分享给好友吧!
我知道了
右上角分享
点击右上角分享
0
联系我们:info@booksci.cn Book学术提供免费学术资源搜索服务,方便国内外学者检索中英文文献。致力于提供最便捷和优质的服务体验。 Copyright © 2023 布克学术 All rights reserved.
京ICP备2023020795号-1
ghs 京公网安备 11010802042870号
Book学术文献互助
Book学术文献互助群
群 号:604180095
Book学术官方微信