采用3A-2B生物学规则进行骨雕刻治疗上颌固定假体即刻和后期即刻负荷种植的18年随访:临床报告

IF 0.9 Q4 DENTISTRY, ORAL SURGERY & MEDICINE
Case Reports in Dentistry Pub Date : 2025-06-25 eCollection Date: 2025-01-01 DOI:10.1155/crid/6660284
Fernando Rojas-Vizcaya
{"title":"采用3A-2B生物学规则进行骨雕刻治疗上颌固定假体即刻和后期即刻负荷种植的18年随访:临床报告","authors":"Fernando Rojas-Vizcaya","doi":"10.1155/crid/6660284","DOIUrl":null,"url":null,"abstract":"<p><p>Partial edentulism requiring maxillary rehabilitation with dental implants, whether using segmented or splinted fixed prostheses, often involves three-dimensional tooth position planning. This planning can lead to crown margins that either contact or encroach upon the remaining alveolar bone, a consequence of previous supraeruption. Supraeruption is associated with periodontal growth, where the periodontal ligament and bone develop concurrently with the erupting tooth. For successful outcomes in such cases, it is crucial to perform bone recontouring before implant placement, creating adequate space for the biological width, which is essential for achieving a segmented, implant-supported, fixed prosthesis. In the patient described in this case report, who received eight implants and four fixed partial prostheses, peri-implantitis required the removal of a posterior implant after 18 years of prosthesis use, necessitating retreatment in the corresponding quadrant. Notably, interproximal contacts between the prostheses had opened, likely due to continued craniofacial growth and bone remodeling, although this did not affect the patient's functionality. The recontoured bone and soft tissues maintained their position, preserving both the interproximal papillae and gingival contour in the esthetic zone.</p>","PeriodicalId":46841,"journal":{"name":"Case Reports in Dentistry","volume":"2025 ","pages":"6660284"},"PeriodicalIF":0.9000,"publicationDate":"2025-06-25","publicationTypes":"Journal Article","fieldsOfStudy":null,"isOpenAccess":false,"openAccessPdf":"https://www.ncbi.nlm.nih.gov/pmc/articles/PMC12221550/pdf/","citationCount":"0","resultStr":"{\"title\":\"Eighteen-Year Follow-Up of Bone Sculpting Using the 3A-2B Biological Rule for Immediate and Late Implant Placement With Immediate Loading in Maxillary Fixed Prostheses: A Clinical Report.\",\"authors\":\"Fernando Rojas-Vizcaya\",\"doi\":\"10.1155/crid/6660284\",\"DOIUrl\":null,\"url\":null,\"abstract\":\"<p><p>Partial edentulism requiring maxillary rehabilitation with dental implants, whether using segmented or splinted fixed prostheses, often involves three-dimensional tooth position planning. This planning can lead to crown margins that either contact or encroach upon the remaining alveolar bone, a consequence of previous supraeruption. Supraeruption is associated with periodontal growth, where the periodontal ligament and bone develop concurrently with the erupting tooth. For successful outcomes in such cases, it is crucial to perform bone recontouring before implant placement, creating adequate space for the biological width, which is essential for achieving a segmented, implant-supported, fixed prosthesis. In the patient described in this case report, who received eight implants and four fixed partial prostheses, peri-implantitis required the removal of a posterior implant after 18 years of prosthesis use, necessitating retreatment in the corresponding quadrant. Notably, interproximal contacts between the prostheses had opened, likely due to continued craniofacial growth and bone remodeling, although this did not affect the patient's functionality. The recontoured bone and soft tissues maintained their position, preserving both the interproximal papillae and gingival contour in the esthetic zone.</p>\",\"PeriodicalId\":46841,\"journal\":{\"name\":\"Case Reports in Dentistry\",\"volume\":\"2025 \",\"pages\":\"6660284\"},\"PeriodicalIF\":0.9000,\"publicationDate\":\"2025-06-25\",\"publicationTypes\":\"Journal Article\",\"fieldsOfStudy\":null,\"isOpenAccess\":false,\"openAccessPdf\":\"https://www.ncbi.nlm.nih.gov/pmc/articles/PMC12221550/pdf/\",\"citationCount\":\"0\",\"resultStr\":null,\"platform\":\"Semanticscholar\",\"paperid\":null,\"PeriodicalName\":\"Case Reports in Dentistry\",\"FirstCategoryId\":\"1085\",\"ListUrlMain\":\"https://doi.org/10.1155/crid/6660284\",\"RegionNum\":0,\"RegionCategory\":null,\"ArticlePicture\":[],\"TitleCN\":null,\"AbstractTextCN\":null,\"PMCID\":null,\"EPubDate\":\"2025/1/1 0:00:00\",\"PubModel\":\"eCollection\",\"JCR\":\"Q4\",\"JCRName\":\"DENTISTRY, ORAL SURGERY & MEDICINE\",\"Score\":null,\"Total\":0}","platform":"Semanticscholar","paperid":null,"PeriodicalName":"Case Reports in Dentistry","FirstCategoryId":"1085","ListUrlMain":"https://doi.org/10.1155/crid/6660284","RegionNum":0,"RegionCategory":null,"ArticlePicture":[],"TitleCN":null,"AbstractTextCN":null,"PMCID":null,"EPubDate":"2025/1/1 0:00:00","PubModel":"eCollection","JCR":"Q4","JCRName":"DENTISTRY, ORAL SURGERY & MEDICINE","Score":null,"Total":0}
引用次数: 0

摘要

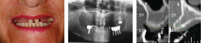
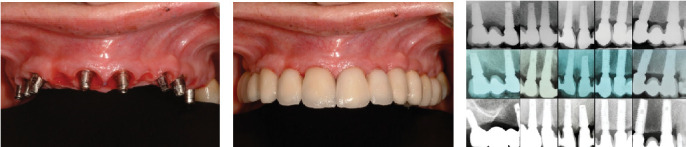
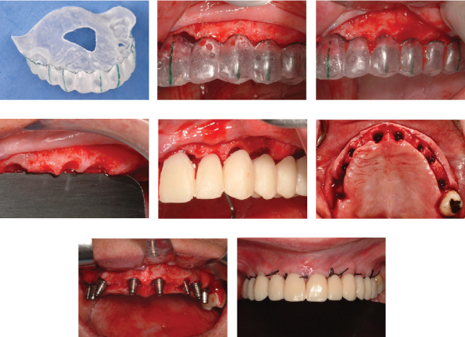
需要上颌种植体康复的部分义齿,无论是使用分段式还是夹板固定义齿,通常都需要进行三维牙位规划。这种规划可能导致牙冠边缘接触或侵蚀剩余的牙槽骨,这是以前的上牙疹的后果。上萌牙与牙周生长有关,牙周韧带和牙周骨与萌牙同时发育。在这种情况下,为了获得成功的结果,在植入假体之前进行骨重塑是至关重要的,为生物宽度创造足够的空间,这对于实现分段、种植体支持、固定的假体是必不可少的。在本病例报告中,患者接受了8个假体和4个固定部分假体,在使用假体18年后,种植体周围炎需要移除后路假体,需要在相应象限重新治疗。值得注意的是,假体之间的近端接触已经打开,可能是由于颅面继续生长和骨重塑,尽管这并不影响患者的功能。修复后的骨和软组织保持原位,近端间乳头和牙龈轮廓均保留在美观区。
本文章由计算机程序翻译,如有差异,请以英文原文为准。

Eighteen-Year Follow-Up of Bone Sculpting Using the 3A-2B Biological Rule for Immediate and Late Implant Placement With Immediate Loading in Maxillary Fixed Prostheses: A Clinical Report.

Eighteen-Year Follow-Up of Bone Sculpting Using the 3A-2B Biological Rule for Immediate and Late Implant Placement With Immediate Loading in Maxillary Fixed Prostheses: A Clinical Report.

Eighteen-Year Follow-Up of Bone Sculpting Using the 3A-2B Biological Rule for Immediate and Late Implant Placement With Immediate Loading in Maxillary Fixed Prostheses: A Clinical Report.

Eighteen-Year Follow-Up of Bone Sculpting Using the 3A-2B Biological Rule for Immediate and Late Implant Placement With Immediate Loading in Maxillary Fixed Prostheses: A Clinical Report.

Partial edentulism requiring maxillary rehabilitation with dental implants, whether using segmented or splinted fixed prostheses, often involves three-dimensional tooth position planning. This planning can lead to crown margins that either contact or encroach upon the remaining alveolar bone, a consequence of previous supraeruption. Supraeruption is associated with periodontal growth, where the periodontal ligament and bone develop concurrently with the erupting tooth. For successful outcomes in such cases, it is crucial to perform bone recontouring before implant placement, creating adequate space for the biological width, which is essential for achieving a segmented, implant-supported, fixed prosthesis. In the patient described in this case report, who received eight implants and four fixed partial prostheses, peri-implantitis required the removal of a posterior implant after 18 years of prosthesis use, necessitating retreatment in the corresponding quadrant. Notably, interproximal contacts between the prostheses had opened, likely due to continued craniofacial growth and bone remodeling, although this did not affect the patient's functionality. The recontoured bone and soft tissues maintained their position, preserving both the interproximal papillae and gingival contour in the esthetic zone.

求助全文
通过发布文献求助,成功后即可免费获取论文全文。 去求助
来源期刊
Case Reports in Dentistry
Case Reports in Dentistry DENTISTRY, ORAL SURGERY & MEDICINE-
CiteScore
1.40
自引率
12.50%
发文量
107
审稿时长
14 weeks
期刊介绍: Case Reports in Dentistry is a peer-reviewed, Open Access journal that publishes case reports and case series in all areas of dentistry, including periodontal diseases, dental implants, oral pathology, as well as oral and maxillofacial surgery.
×
引用
GB/T 7714-2015
复制
MLA
复制
APA
复制
导出至
BibTeX EndNote RefMan NoteFirst NoteExpress
×
提示
您的信息不完整,为了账户安全,请先补充。
现在去补充
×
提示
您因"违规操作"
具体请查看互助需知
我知道了
×
提示
确定
请完成安全验证×
copy
已复制链接
快去分享给好友吧!
我知道了
右上角分享
点击右上角分享
0
联系我们:info@booksci.cn Book学术提供免费学术资源搜索服务,方便国内外学者检索中英文文献。致力于提供最便捷和优质的服务体验。 Copyright © 2023 布克学术 All rights reserved.
京ICP备2023020795号-1
ghs 京公网安备 11010802042870号
Book学术文献互助
Book学术文献互助群
群 号:604180095
Book学术官方微信