成人孤立朗格汉斯细胞组织细胞增多症的肝移植治疗。

IF 0.7 Q4 HEMATOLOGY
Case Reports in Hematology Pub Date : 2025-06-25 eCollection Date: 2025-01-01 DOI:10.1155/crh/1179811
Ruiyang Huang
{"title":"成人孤立朗格汉斯细胞组织细胞增多症的肝移植治疗。","authors":"Ruiyang Huang","doi":"10.1155/crh/1179811","DOIUrl":null,"url":null,"abstract":"<p><p>Langerhans cell histiocytosis (LCH) is a rare disease of proliferation of histiocytic disorder composed of histologically bland Langerhans cells mixed with reactive mononuclear and granulocytic cells, and often accompanied by eosinophils. These cells are characterized by expression of CD1a, S-100 and Langerin proteins. The clinical presentation ranges from indolent to aggressive, depending on the anatomic site involved which can be unifocal, multifocal, unisystemic, or multifocal and multisystemic disease. Cases involving LCH disease and treatment involving the liver are rare, especially in adult patients. Herein, we discuss a case of a 56-year-old male patient who presented with jaundice, acute abdominal pain, and a history of elevated liver function tests assumed to be caused by fatty liver disease. However, a computed tomography (CT) scan revealed a cholangiocarcinoma with associated biliary dilatation and cirrhosis. Pathological examination revealed Langerhans cell involvement. Negative bone marrow biopsy and bone scan indicated that the patient was indeed suffering from unisystemic LCH with isolated liver involvement causing cirrhosis. Patient underwent orthotopic liver transplantation (LT) and has since shown stable liver function without external therapy for 3 years.</p>","PeriodicalId":46307,"journal":{"name":"Case Reports in Hematology","volume":"2025 ","pages":"1179811"},"PeriodicalIF":0.7000,"publicationDate":"2025-06-25","publicationTypes":"Journal Article","fieldsOfStudy":null,"isOpenAccess":false,"openAccessPdf":"https://www.ncbi.nlm.nih.gov/pmc/articles/PMC12221540/pdf/","citationCount":"0","resultStr":"{\"title\":\"Liver Transplantation for Isolated Langerhans Cell Histiocytosis in an Adult.\",\"authors\":\"Ruiyang Huang\",\"doi\":\"10.1155/crh/1179811\",\"DOIUrl\":null,\"url\":null,\"abstract\":\"<p><p>Langerhans cell histiocytosis (LCH) is a rare disease of proliferation of histiocytic disorder composed of histologically bland Langerhans cells mixed with reactive mononuclear and granulocytic cells, and often accompanied by eosinophils. These cells are characterized by expression of CD1a, S-100 and Langerin proteins. The clinical presentation ranges from indolent to aggressive, depending on the anatomic site involved which can be unifocal, multifocal, unisystemic, or multifocal and multisystemic disease. Cases involving LCH disease and treatment involving the liver are rare, especially in adult patients. Herein, we discuss a case of a 56-year-old male patient who presented with jaundice, acute abdominal pain, and a history of elevated liver function tests assumed to be caused by fatty liver disease. However, a computed tomography (CT) scan revealed a cholangiocarcinoma with associated biliary dilatation and cirrhosis. Pathological examination revealed Langerhans cell involvement. Negative bone marrow biopsy and bone scan indicated that the patient was indeed suffering from unisystemic LCH with isolated liver involvement causing cirrhosis. Patient underwent orthotopic liver transplantation (LT) and has since shown stable liver function without external therapy for 3 years.</p>\",\"PeriodicalId\":46307,\"journal\":{\"name\":\"Case Reports in Hematology\",\"volume\":\"2025 \",\"pages\":\"1179811\"},\"PeriodicalIF\":0.7000,\"publicationDate\":\"2025-06-25\",\"publicationTypes\":\"Journal Article\",\"fieldsOfStudy\":null,\"isOpenAccess\":false,\"openAccessPdf\":\"https://www.ncbi.nlm.nih.gov/pmc/articles/PMC12221540/pdf/\",\"citationCount\":\"0\",\"resultStr\":null,\"platform\":\"Semanticscholar\",\"paperid\":null,\"PeriodicalName\":\"Case Reports in Hematology\",\"FirstCategoryId\":\"1085\",\"ListUrlMain\":\"https://doi.org/10.1155/crh/1179811\",\"RegionNum\":0,\"RegionCategory\":null,\"ArticlePicture\":[],\"TitleCN\":null,\"AbstractTextCN\":null,\"PMCID\":null,\"EPubDate\":\"2025/1/1 0:00:00\",\"PubModel\":\"eCollection\",\"JCR\":\"Q4\",\"JCRName\":\"HEMATOLOGY\",\"Score\":null,\"Total\":0}","platform":"Semanticscholar","paperid":null,"PeriodicalName":"Case Reports in Hematology","FirstCategoryId":"1085","ListUrlMain":"https://doi.org/10.1155/crh/1179811","RegionNum":0,"RegionCategory":null,"ArticlePicture":[],"TitleCN":null,"AbstractTextCN":null,"PMCID":null,"EPubDate":"2025/1/1 0:00:00","PubModel":"eCollection","JCR":"Q4","JCRName":"HEMATOLOGY","Score":null,"Total":0}
引用次数: 0

摘要

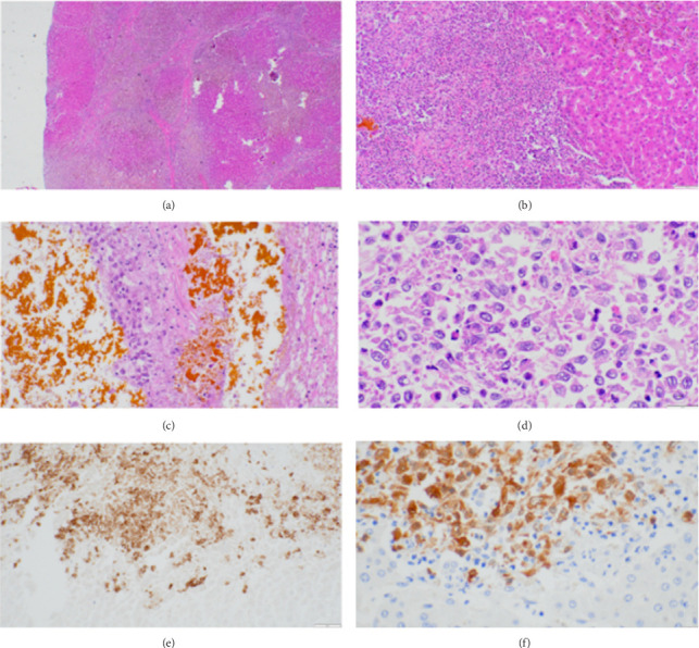
朗格汉斯细胞组织细胞增生症(LCH)是一种罕见的组织细胞增生疾病,由组织学上平淡的朗格汉斯细胞与反应性单核细胞和粒细胞混合而成,常伴有嗜酸性粒细胞。这些细胞以表达CD1a、S-100和Langerin蛋白为特征。临床表现从惰性到侵袭性不等,取决于受累的解剖部位,可以是单灶性、多灶性、单系统性或多灶多系统性疾病。涉及LCH疾病和涉及肝脏的治疗是罕见的,特别是在成人患者中。在此,我们讨论一个56岁的男性病人,他表现为黄疸,急性腹痛,肝功能检查升高的历史,假设是由脂肪肝引起的。然而,计算机断层扫描(CT)显示胆管癌伴有胆道扩张和肝硬化。病理检查显示朗格汉斯细胞受累。骨髓活检和骨扫描阴性表明患者确实患有单系统LCH,孤立的肝脏受累导致肝硬化。患者接受了原位肝移植(LT),在没有外部治疗的情况下,肝功能稳定了3年。
本文章由计算机程序翻译,如有差异,请以英文原文为准。

Liver Transplantation for Isolated Langerhans Cell Histiocytosis in an Adult.

Liver Transplantation for Isolated Langerhans Cell Histiocytosis in an Adult.

Langerhans cell histiocytosis (LCH) is a rare disease of proliferation of histiocytic disorder composed of histologically bland Langerhans cells mixed with reactive mononuclear and granulocytic cells, and often accompanied by eosinophils. These cells are characterized by expression of CD1a, S-100 and Langerin proteins. The clinical presentation ranges from indolent to aggressive, depending on the anatomic site involved which can be unifocal, multifocal, unisystemic, or multifocal and multisystemic disease. Cases involving LCH disease and treatment involving the liver are rare, especially in adult patients. Herein, we discuss a case of a 56-year-old male patient who presented with jaundice, acute abdominal pain, and a history of elevated liver function tests assumed to be caused by fatty liver disease. However, a computed tomography (CT) scan revealed a cholangiocarcinoma with associated biliary dilatation and cirrhosis. Pathological examination revealed Langerhans cell involvement. Negative bone marrow biopsy and bone scan indicated that the patient was indeed suffering from unisystemic LCH with isolated liver involvement causing cirrhosis. Patient underwent orthotopic liver transplantation (LT) and has since shown stable liver function without external therapy for 3 years.

求助全文
通过发布文献求助,成功后即可免费获取论文全文。 去求助
来源期刊
自引率
0.00%
发文量
51
审稿时长
13 weeks
×
引用
GB/T 7714-2015
复制
MLA
复制
APA
复制
导出至
BibTeX EndNote RefMan NoteFirst NoteExpress
×
提示
您的信息不完整,为了账户安全,请先补充。
现在去补充
×
提示
您因"违规操作"
具体请查看互助需知
我知道了
×
提示
确定
请完成安全验证×
copy
已复制链接
快去分享给好友吧!
我知道了
右上角分享
点击右上角分享
0
联系我们:info@booksci.cn Book学术提供免费学术资源搜索服务,方便国内外学者检索中英文文献。致力于提供最便捷和优质的服务体验。 Copyright © 2023 布克学术 All rights reserved.
京ICP备2023020795号-1
ghs 京公网安备 11010802042870号
Book学术文献互助
Book学术文献互助群
群 号:604180095
Book学术官方微信