下腹痛患者计算机断层检查的回顾性分析:单中心经验。

IF 1.5 Q3 RADIOLOGY, NUCLEAR MEDICINE & MEDICAL IMAGING
Kouichi Asahi
{"title":"下腹痛患者计算机断层检查的回顾性分析:单中心经验。","authors":"Kouichi Asahi","doi":"10.4329/wjr.v17.i6.105632","DOIUrl":null,"url":null,"abstract":"<p><strong>Background: </strong>Lower abdominal pain presents as a common complaint with diverse etiologies ranging from benign conditions to surgical emergencies. Computed tomography (CT) imaging has become instrumental in accurate diagnosis and management planning, though clinicians must carefully balance its benefits against radiation exposure concerns and resource allocation constraints.</p><p><strong>Aim: </strong>To comprehensively evaluate the diagnostic accuracy, utility and clinical implications of CT in patients with acute lower abdominal pain, emphasizing rare anatomical variations, pregnancy-related issues, and practical limitations of other imaging modalities in emergency settings in Japan.</p><p><strong>Methods: </strong>This retrospective review included 230 patients who underwent CT scans for acute lower abdominal pain at Juntendo University Shizuoka Hospital throughout 2014. CT findings were systematically correlated with the final clinical diagnoses. Cases with diagnostic uncertain underwent independent reviewed by two experienced radiologists. The CT protocols included portal venous-phase imaging with selective arterial-phase acquisition when clinically indicated.</p><p><strong>Results: </strong>Idiopathic pain was the most common diagnosis (104 cases, 45.2%), followed by appendicitis (46 cases, 20.0%) and diverticulitis (27 cases, 11.7%). Right lower quadrant pain predominantly revealed appendicitis (20.2%), whereas left lower quadrant pain frequently indicated diverticulitis (12.1%). Nonspecific pain cases have diverse etiologies. Rare conditions included situs inversus (one case) and intestinal malrotation (one case). Pregnancy-related diagnoses included acute appendicitis and uterine fibroid degeneration.</p><p><strong>Conclusion: </strong>CT significantly aids in the diagnosis of lower abdominal pain, especially given limited access to ultrasonography and MRI during emergency hours in Japan. Awareness of the anatomical variations and pregnancy-related constraints is crucial. Diagnosis-specific protocols for CT based on pain location can optimize clinical management and resource utilization.</p>","PeriodicalId":23819,"journal":{"name":"World journal of radiology","volume":"17 6","pages":"105632"},"PeriodicalIF":1.5000,"publicationDate":"2025-06-28","publicationTypes":"Journal Article","fieldsOfStudy":null,"isOpenAccess":false,"openAccessPdf":"https://www.ncbi.nlm.nih.gov/pmc/articles/PMC12210207/pdf/","citationCount":"0","resultStr":"{\"title\":\"Retrospective analysis of computed tomography examinations in patients with lower abdominal pain: A single-center experience.\",\"authors\":\"Kouichi Asahi\",\"doi\":\"10.4329/wjr.v17.i6.105632\",\"DOIUrl\":null,\"url\":null,\"abstract\":\"<p><strong>Background: </strong>Lower abdominal pain presents as a common complaint with diverse etiologies ranging from benign conditions to surgical emergencies. Computed tomography (CT) imaging has become instrumental in accurate diagnosis and management planning, though clinicians must carefully balance its benefits against radiation exposure concerns and resource allocation constraints.</p><p><strong>Aim: </strong>To comprehensively evaluate the diagnostic accuracy, utility and clinical implications of CT in patients with acute lower abdominal pain, emphasizing rare anatomical variations, pregnancy-related issues, and practical limitations of other imaging modalities in emergency settings in Japan.</p><p><strong>Methods: </strong>This retrospective review included 230 patients who underwent CT scans for acute lower abdominal pain at Juntendo University Shizuoka Hospital throughout 2014. CT findings were systematically correlated with the final clinical diagnoses. Cases with diagnostic uncertain underwent independent reviewed by two experienced radiologists. The CT protocols included portal venous-phase imaging with selective arterial-phase acquisition when clinically indicated.</p><p><strong>Results: </strong>Idiopathic pain was the most common diagnosis (104 cases, 45.2%), followed by appendicitis (46 cases, 20.0%) and diverticulitis (27 cases, 11.7%). Right lower quadrant pain predominantly revealed appendicitis (20.2%), whereas left lower quadrant pain frequently indicated diverticulitis (12.1%). Nonspecific pain cases have diverse etiologies. Rare conditions included situs inversus (one case) and intestinal malrotation (one case). Pregnancy-related diagnoses included acute appendicitis and uterine fibroid degeneration.</p><p><strong>Conclusion: </strong>CT significantly aids in the diagnosis of lower abdominal pain, especially given limited access to ultrasonography and MRI during emergency hours in Japan. Awareness of the anatomical variations and pregnancy-related constraints is crucial. Diagnosis-specific protocols for CT based on pain location can optimize clinical management and resource utilization.</p>\",\"PeriodicalId\":23819,\"journal\":{\"name\":\"World journal of radiology\",\"volume\":\"17 6\",\"pages\":\"105632\"},\"PeriodicalIF\":1.5000,\"publicationDate\":\"2025-06-28\",\"publicationTypes\":\"Journal Article\",\"fieldsOfStudy\":null,\"isOpenAccess\":false,\"openAccessPdf\":\"https://www.ncbi.nlm.nih.gov/pmc/articles/PMC12210207/pdf/\",\"citationCount\":\"0\",\"resultStr\":null,\"platform\":\"Semanticscholar\",\"paperid\":null,\"PeriodicalName\":\"World journal of radiology\",\"FirstCategoryId\":\"1085\",\"ListUrlMain\":\"https://doi.org/10.4329/wjr.v17.i6.105632\",\"RegionNum\":0,\"RegionCategory\":null,\"ArticlePicture\":[],\"TitleCN\":null,\"AbstractTextCN\":null,\"PMCID\":null,\"EPubDate\":\"\",\"PubModel\":\"\",\"JCR\":\"Q3\",\"JCRName\":\"RADIOLOGY, NUCLEAR MEDICINE & MEDICAL IMAGING\",\"Score\":null,\"Total\":0}","platform":"Semanticscholar","paperid":null,"PeriodicalName":"World journal of radiology","FirstCategoryId":"1085","ListUrlMain":"https://doi.org/10.4329/wjr.v17.i6.105632","RegionNum":0,"RegionCategory":null,"ArticlePicture":[],"TitleCN":null,"AbstractTextCN":null,"PMCID":null,"EPubDate":"","PubModel":"","JCR":"Q3","JCRName":"RADIOLOGY, NUCLEAR MEDICINE & MEDICAL IMAGING","Score":null,"Total":0}
引用次数: 0

摘要

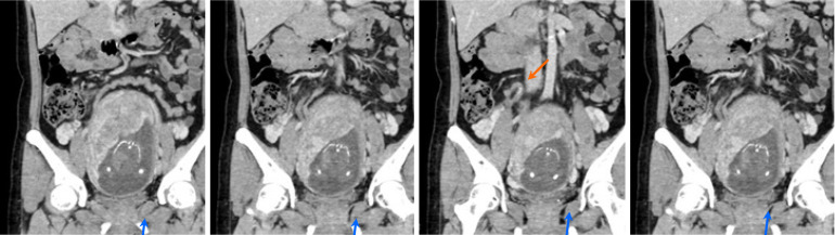
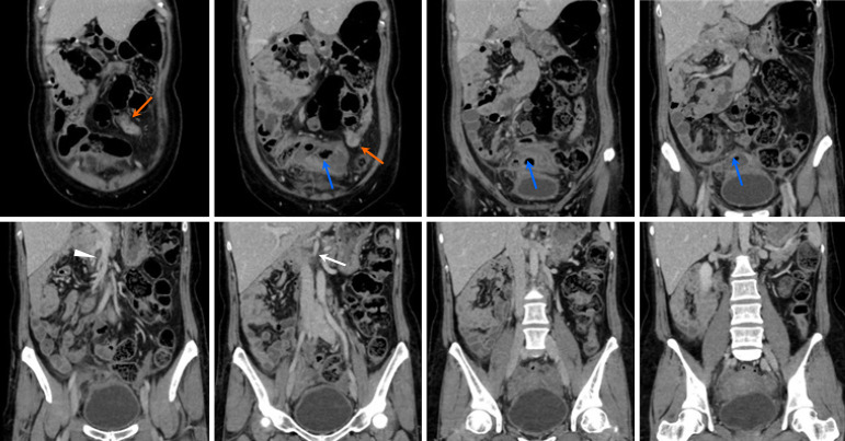
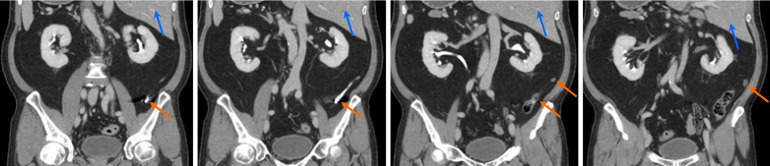
背景:下腹部疼痛是一种常见的主诉,病因多样,从良性疾病到外科急诊。计算机断层扫描(CT)成像已成为准确诊断和管理计划的工具,尽管临床医生必须仔细平衡其利益与辐射暴露问题和资源分配限制。目的:全面评估CT对急性下腹痛患者的诊断准确性、实用性和临床意义,强调罕见的解剖变异、妊娠相关问题,以及日本急诊环境中其他成像方式的实际局限性。方法:本回顾性研究纳入了2014年在俊天道大学静冈县医院接受CT扫描的230例急性下腹痛患者。CT表现与最终临床诊断有系统的相关性。诊断不确定的病例由两位经验丰富的放射科医生独立复查。CT方案包括门静脉期成像和临床指征时选择性动脉期成像。结果:特发性疼痛是最常见的诊断(104例,45.2%),其次是阑尾炎(46例,20.0%)和憩室炎(27例,11.7%)。右下腹疼痛主要表现为阑尾炎(20.2%),而左下腹疼痛通常表现为憩室炎(12.1%)。非特异性疼痛病例有多种病因。罕见的情况包括倒置位(1例)和肠道旋转不良(1例)。与妊娠相关的诊断包括急性阑尾炎和子宫肌瘤变性。结论:CT对下腹痛的诊断有重要帮助,特别是在日本急诊时间超声和MRI检查有限的情况下。对解剖变异和妊娠相关限制的认识是至关重要的。基于疼痛位置的CT诊断特异性方案可以优化临床管理和资源利用。
本文章由计算机程序翻译,如有差异,请以英文原文为准。

Retrospective analysis of computed tomography examinations in patients with lower abdominal pain: A single-center experience.

Retrospective analysis of computed tomography examinations in patients with lower abdominal pain: A single-center experience.

Retrospective analysis of computed tomography examinations in patients with lower abdominal pain: A single-center experience.

Retrospective analysis of computed tomography examinations in patients with lower abdominal pain: A single-center experience.

Background: Lower abdominal pain presents as a common complaint with diverse etiologies ranging from benign conditions to surgical emergencies. Computed tomography (CT) imaging has become instrumental in accurate diagnosis and management planning, though clinicians must carefully balance its benefits against radiation exposure concerns and resource allocation constraints.

Aim: To comprehensively evaluate the diagnostic accuracy, utility and clinical implications of CT in patients with acute lower abdominal pain, emphasizing rare anatomical variations, pregnancy-related issues, and practical limitations of other imaging modalities in emergency settings in Japan.

Methods: This retrospective review included 230 patients who underwent CT scans for acute lower abdominal pain at Juntendo University Shizuoka Hospital throughout 2014. CT findings were systematically correlated with the final clinical diagnoses. Cases with diagnostic uncertain underwent independent reviewed by two experienced radiologists. The CT protocols included portal venous-phase imaging with selective arterial-phase acquisition when clinically indicated.

Results: Idiopathic pain was the most common diagnosis (104 cases, 45.2%), followed by appendicitis (46 cases, 20.0%) and diverticulitis (27 cases, 11.7%). Right lower quadrant pain predominantly revealed appendicitis (20.2%), whereas left lower quadrant pain frequently indicated diverticulitis (12.1%). Nonspecific pain cases have diverse etiologies. Rare conditions included situs inversus (one case) and intestinal malrotation (one case). Pregnancy-related diagnoses included acute appendicitis and uterine fibroid degeneration.

Conclusion: CT significantly aids in the diagnosis of lower abdominal pain, especially given limited access to ultrasonography and MRI during emergency hours in Japan. Awareness of the anatomical variations and pregnancy-related constraints is crucial. Diagnosis-specific protocols for CT based on pain location can optimize clinical management and resource utilization.

求助全文
通过发布文献求助,成功后即可免费获取论文全文。 去求助
来源期刊
World journal of radiology
World journal of radiology RADIOLOGY, NUCLEAR MEDICINE & MEDICAL IMAGING-
自引率
8.00%
发文量
35
×
引用
GB/T 7714-2015
复制
MLA
复制
APA
复制
导出至
BibTeX EndNote RefMan NoteFirst NoteExpress
×
提示
您的信息不完整,为了账户安全,请先补充。
现在去补充
×
提示
您因"违规操作"
具体请查看互助需知
我知道了
×
提示
确定
请完成安全验证×
copy
已复制链接
快去分享给好友吧!
我知道了
右上角分享
点击右上角分享
0
联系我们:info@booksci.cn Book学术提供免费学术资源搜索服务,方便国内外学者检索中英文文献。致力于提供最便捷和优质的服务体验。 Copyright © 2023 布克学术 All rights reserved.
京ICP备2023020795号-1
ghs 京公网安备 11010802042870号
Book学术文献互助
Book学术文献互助群
群 号:604180095
Book学术官方微信