心脏磁共振诊断在市中心心脏骤停幸存者心肌损伤的有用性和局限性。

IF 1.5 Q3 RADIOLOGY, NUCLEAR MEDICINE & MEDICAL IMAGING
Yasuo Amano, Yasuyuki Suzuki, Kazuki Iso, Chisato Ando, Maki Amano
{"title":"心脏磁共振诊断在市中心心脏骤停幸存者心肌损伤的有用性和局限性。","authors":"Yasuo Amano, Yasuyuki Suzuki, Kazuki Iso, Chisato Ando, Maki Amano","doi":"10.4329/wjr.v17.i6.104473","DOIUrl":null,"url":null,"abstract":"<p><strong>Background: </strong>Cardiac magnetic resonance (CMR) has been reported to identify myocardial damage inducing out-of-hospital cardiac arrest (OHCA). However, the usefulness of CMR may be affected by the medical institutions, patients' ages, and myocardial diseases.</p><p><strong>Aim: </strong>To clarify the clinical usefulness and limitation of CMR for identifying myocardial damage in the survivors of OHCA in midtown.</p><p><strong>Methods: </strong>Nineteen patients underwent CMR to detect myocardial damage related to OHCA in the midtown of a capital city. Cine, T1 and T2 mapping, T2-weighted, and late gadolinium enhancement (LGE) imaging were acquired using a 1.5 T scanner. We described the clinical characteristics of the survivors of OHCA and evaluated usefulness of CMR for identifying myocardial damage related to OHCA.</p><p><strong>Results: </strong>Among 19 patients experiencing OHCA, 7 experienced it in trains or on railway platforms, 4 while practicing sports, and 4 during their daily work. Ten of the 19 survivors were diagnosed with coronary vasospasm (CVS), in whom CMR failed to depict its characteristic findings. CMR was useful for identifying myocardial damage associated with hypertrophic cardiomyopathy (HCM) or myocardial infarction (MI). LGE was related to serious ventricular arrhythmias after implantable cardioverter defibrillator (ICD) installation in 3 patients (CVS, 2; HCM, 1).</p><p><strong>Conclusion: </strong>CMR is useful for identifying myocardial damage of HCM or MI inducing OHCA and predicting ventricular arrhythmias after ICD implantation but has limited capability for detecting myocardial damage of CVS.</p>","PeriodicalId":23819,"journal":{"name":"World journal of radiology","volume":"17 6","pages":"104473"},"PeriodicalIF":1.5000,"publicationDate":"2025-06-28","publicationTypes":"Journal Article","fieldsOfStudy":null,"isOpenAccess":false,"openAccessPdf":"https://www.ncbi.nlm.nih.gov/pmc/articles/PMC12210199/pdf/","citationCount":"0","resultStr":"{\"title\":\"Diagnostic usefulness and limitation of cardiac magnetic resonance for identifying myocardial damage in survivors of cardiac arrest in midtown.\",\"authors\":\"Yasuo Amano, Yasuyuki Suzuki, Kazuki Iso, Chisato Ando, Maki Amano\",\"doi\":\"10.4329/wjr.v17.i6.104473\",\"DOIUrl\":null,\"url\":null,\"abstract\":\"<p><strong>Background: </strong>Cardiac magnetic resonance (CMR) has been reported to identify myocardial damage inducing out-of-hospital cardiac arrest (OHCA). However, the usefulness of CMR may be affected by the medical institutions, patients' ages, and myocardial diseases.</p><p><strong>Aim: </strong>To clarify the clinical usefulness and limitation of CMR for identifying myocardial damage in the survivors of OHCA in midtown.</p><p><strong>Methods: </strong>Nineteen patients underwent CMR to detect myocardial damage related to OHCA in the midtown of a capital city. Cine, T1 and T2 mapping, T2-weighted, and late gadolinium enhancement (LGE) imaging were acquired using a 1.5 T scanner. We described the clinical characteristics of the survivors of OHCA and evaluated usefulness of CMR for identifying myocardial damage related to OHCA.</p><p><strong>Results: </strong>Among 19 patients experiencing OHCA, 7 experienced it in trains or on railway platforms, 4 while practicing sports, and 4 during their daily work. Ten of the 19 survivors were diagnosed with coronary vasospasm (CVS), in whom CMR failed to depict its characteristic findings. CMR was useful for identifying myocardial damage associated with hypertrophic cardiomyopathy (HCM) or myocardial infarction (MI). LGE was related to serious ventricular arrhythmias after implantable cardioverter defibrillator (ICD) installation in 3 patients (CVS, 2; HCM, 1).</p><p><strong>Conclusion: </strong>CMR is useful for identifying myocardial damage of HCM or MI inducing OHCA and predicting ventricular arrhythmias after ICD implantation but has limited capability for detecting myocardial damage of CVS.</p>\",\"PeriodicalId\":23819,\"journal\":{\"name\":\"World journal of radiology\",\"volume\":\"17 6\",\"pages\":\"104473\"},\"PeriodicalIF\":1.5000,\"publicationDate\":\"2025-06-28\",\"publicationTypes\":\"Journal Article\",\"fieldsOfStudy\":null,\"isOpenAccess\":false,\"openAccessPdf\":\"https://www.ncbi.nlm.nih.gov/pmc/articles/PMC12210199/pdf/\",\"citationCount\":\"0\",\"resultStr\":null,\"platform\":\"Semanticscholar\",\"paperid\":null,\"PeriodicalName\":\"World journal of radiology\",\"FirstCategoryId\":\"1085\",\"ListUrlMain\":\"https://doi.org/10.4329/wjr.v17.i6.104473\",\"RegionNum\":0,\"RegionCategory\":null,\"ArticlePicture\":[],\"TitleCN\":null,\"AbstractTextCN\":null,\"PMCID\":null,\"EPubDate\":\"\",\"PubModel\":\"\",\"JCR\":\"Q3\",\"JCRName\":\"RADIOLOGY, NUCLEAR MEDICINE & MEDICAL IMAGING\",\"Score\":null,\"Total\":0}","platform":"Semanticscholar","paperid":null,"PeriodicalName":"World journal of radiology","FirstCategoryId":"1085","ListUrlMain":"https://doi.org/10.4329/wjr.v17.i6.104473","RegionNum":0,"RegionCategory":null,"ArticlePicture":[],"TitleCN":null,"AbstractTextCN":null,"PMCID":null,"EPubDate":"","PubModel":"","JCR":"Q3","JCRName":"RADIOLOGY, NUCLEAR MEDICINE & MEDICAL IMAGING","Score":null,"Total":0}
引用次数: 0

摘要

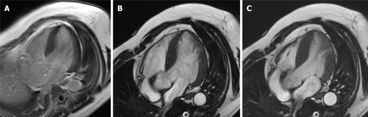
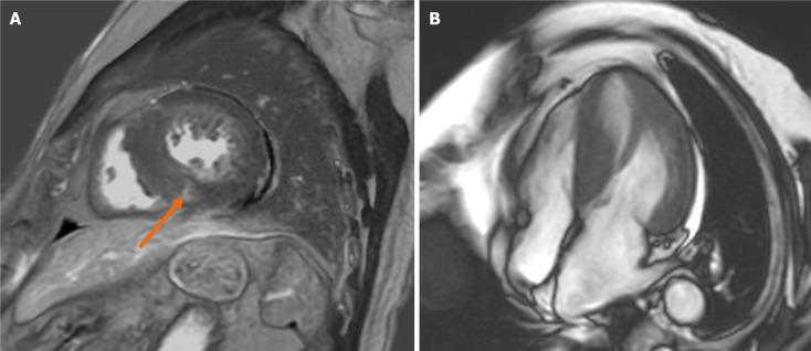
背景:心脏磁共振(CMR)已被报道用于识别引起院外心脏骤停(OHCA)的心肌损伤。然而,CMR的有效性可能受到医疗机构、患者年龄和心肌疾病的影响。目的:阐明CMR在识别市中心OHCA幸存者心肌损伤方面的临床应用价值和局限性。方法:19例首都市中心OHCA患者行CMR检测心肌损伤。使用1.5 T扫描仪获得Cine, T1和T2定位,T2加权和晚期钆增强(LGE)成像。我们描述了OHCA幸存者的临床特征,并评估了CMR在识别OHCA相关心肌损伤方面的有效性。结果:19例发生OHCA的患者中,7例发生在火车或铁路站台,4例发生在体育锻炼中,4例发生在日常工作中。19名幸存者中有10人被诊断为冠状血管痉挛(CVS), CMR未能描述其特征性表现。CMR可用于识别肥厚性心肌病(HCM)或心肌梗死(MI)相关的心肌损伤。3例植入式心律转复除颤器(ICD)安装后LGE与严重室性心律失常有关(CVS, 2;HCM, 1)。结论:CMR对HCM或MI诱发OHCA的心肌损害及ICD植入后室性心律失常的预测有一定的价值,但对CVS心肌损害的检测能力有限。
本文章由计算机程序翻译,如有差异,请以英文原文为准。

Diagnostic usefulness and limitation of cardiac magnetic resonance for identifying myocardial damage in survivors of cardiac arrest in midtown.

Diagnostic usefulness and limitation of cardiac magnetic resonance for identifying myocardial damage in survivors of cardiac arrest in midtown.

Diagnostic usefulness and limitation of cardiac magnetic resonance for identifying myocardial damage in survivors of cardiac arrest in midtown.

Diagnostic usefulness and limitation of cardiac magnetic resonance for identifying myocardial damage in survivors of cardiac arrest in midtown.

Background: Cardiac magnetic resonance (CMR) has been reported to identify myocardial damage inducing out-of-hospital cardiac arrest (OHCA). However, the usefulness of CMR may be affected by the medical institutions, patients' ages, and myocardial diseases.

Aim: To clarify the clinical usefulness and limitation of CMR for identifying myocardial damage in the survivors of OHCA in midtown.

Methods: Nineteen patients underwent CMR to detect myocardial damage related to OHCA in the midtown of a capital city. Cine, T1 and T2 mapping, T2-weighted, and late gadolinium enhancement (LGE) imaging were acquired using a 1.5 T scanner. We described the clinical characteristics of the survivors of OHCA and evaluated usefulness of CMR for identifying myocardial damage related to OHCA.

Results: Among 19 patients experiencing OHCA, 7 experienced it in trains or on railway platforms, 4 while practicing sports, and 4 during their daily work. Ten of the 19 survivors were diagnosed with coronary vasospasm (CVS), in whom CMR failed to depict its characteristic findings. CMR was useful for identifying myocardial damage associated with hypertrophic cardiomyopathy (HCM) or myocardial infarction (MI). LGE was related to serious ventricular arrhythmias after implantable cardioverter defibrillator (ICD) installation in 3 patients (CVS, 2; HCM, 1).

Conclusion: CMR is useful for identifying myocardial damage of HCM or MI inducing OHCA and predicting ventricular arrhythmias after ICD implantation but has limited capability for detecting myocardial damage of CVS.

求助全文
通过发布文献求助,成功后即可免费获取论文全文。 去求助
来源期刊
World journal of radiology
World journal of radiology RADIOLOGY, NUCLEAR MEDICINE & MEDICAL IMAGING-
自引率
8.00%
发文量
35
×
引用
GB/T 7714-2015
复制
MLA
复制
APA
复制
导出至
BibTeX EndNote RefMan NoteFirst NoteExpress
×
提示
您的信息不完整,为了账户安全,请先补充。
现在去补充
×
提示
您因"违规操作"
具体请查看互助需知
我知道了
×
提示
确定
请完成安全验证×
copy
已复制链接
快去分享给好友吧!
我知道了
右上角分享
点击右上角分享
0
联系我们:info@booksci.cn Book学术提供免费学术资源搜索服务,方便国内外学者检索中英文文献。致力于提供最便捷和优质的服务体验。 Copyright © 2023 布克学术 All rights reserved.
京ICP备2023020795号-1
ghs 京公网安备 11010802042870号
Book学术文献互助
Book学术文献互助群
群 号:604180095
Book学术官方微信