基于计算机断层扫描的心血管疾病冠状动脉周围脂肪组织评估:诊断和预后意义

IF 1.5 Q3 RADIOLOGY, NUCLEAR MEDICINE & MEDICAL IMAGING
Ling-Li Wang, Yuan-Bo Xiong, Xin-Yi Feng, Ya-Yudie Liu, Kai-Xiang Su, Si-Yu Jiang, Si-Yu Wang, Ling Zhou, Shao-Ke Li, Dan-Dan Guo, Rui Li
{"title":"基于计算机断层扫描的心血管疾病冠状动脉周围脂肪组织评估:诊断和预后意义","authors":"Ling-Li Wang, Yuan-Bo Xiong, Xin-Yi Feng, Ya-Yudie Liu, Kai-Xiang Su, Si-Yu Jiang, Si-Yu Wang, Ling Zhou, Shao-Ke Li, Dan-Dan Guo, Rui Li","doi":"10.4329/wjr.v17.i6.107281","DOIUrl":null,"url":null,"abstract":"<p><p>Pericoronary adipose tissue (PCAT) plays an important role in the pathogenesis and progression of cardiovascular diseases due to its bidirectional communication with the coronary artery wall. In recent years, PCAT parameters measured using coronary computed tomography have emerged as potential noninvasive imaging biomarkers for quantifying coronary artery inflammation, with significant clinical value in the early detection, disease progression assessment, treatment efficacy evaluation, and prognosis prediction of cardiovascular diseases. Furthermore, new technologies such as PCAT radiomics analysis have broadened its potential applications in evaluating coronary plaque vulnerability, predicting cardiovascular events, and improving risk stratification. This review discusses recent advances in PCAT research, focusing on its role in coronary artery disease risk identification and inflammation monitoring, and aims to offer imaging-based insights to support its future clinical use in cardiovascular disease management.</p>","PeriodicalId":23819,"journal":{"name":"World journal of radiology","volume":"17 6","pages":"107281"},"PeriodicalIF":1.5000,"publicationDate":"2025-06-28","publicationTypes":"Journal Article","fieldsOfStudy":null,"isOpenAccess":false,"openAccessPdf":"https://www.ncbi.nlm.nih.gov/pmc/articles/PMC12210204/pdf/","citationCount":"0","resultStr":"{\"title\":\"Computed tomography-based assessment of pericoronary adipose tissue in cardiovascular diseases: Diagnostic and prognostic implications.\",\"authors\":\"Ling-Li Wang, Yuan-Bo Xiong, Xin-Yi Feng, Ya-Yudie Liu, Kai-Xiang Su, Si-Yu Jiang, Si-Yu Wang, Ling Zhou, Shao-Ke Li, Dan-Dan Guo, Rui Li\",\"doi\":\"10.4329/wjr.v17.i6.107281\",\"DOIUrl\":null,\"url\":null,\"abstract\":\"<p><p>Pericoronary adipose tissue (PCAT) plays an important role in the pathogenesis and progression of cardiovascular diseases due to its bidirectional communication with the coronary artery wall. In recent years, PCAT parameters measured using coronary computed tomography have emerged as potential noninvasive imaging biomarkers for quantifying coronary artery inflammation, with significant clinical value in the early detection, disease progression assessment, treatment efficacy evaluation, and prognosis prediction of cardiovascular diseases. Furthermore, new technologies such as PCAT radiomics analysis have broadened its potential applications in evaluating coronary plaque vulnerability, predicting cardiovascular events, and improving risk stratification. This review discusses recent advances in PCAT research, focusing on its role in coronary artery disease risk identification and inflammation monitoring, and aims to offer imaging-based insights to support its future clinical use in cardiovascular disease management.</p>\",\"PeriodicalId\":23819,\"journal\":{\"name\":\"World journal of radiology\",\"volume\":\"17 6\",\"pages\":\"107281\"},\"PeriodicalIF\":1.5000,\"publicationDate\":\"2025-06-28\",\"publicationTypes\":\"Journal Article\",\"fieldsOfStudy\":null,\"isOpenAccess\":false,\"openAccessPdf\":\"https://www.ncbi.nlm.nih.gov/pmc/articles/PMC12210204/pdf/\",\"citationCount\":\"0\",\"resultStr\":null,\"platform\":\"Semanticscholar\",\"paperid\":null,\"PeriodicalName\":\"World journal of radiology\",\"FirstCategoryId\":\"1085\",\"ListUrlMain\":\"https://doi.org/10.4329/wjr.v17.i6.107281\",\"RegionNum\":0,\"RegionCategory\":null,\"ArticlePicture\":[],\"TitleCN\":null,\"AbstractTextCN\":null,\"PMCID\":null,\"EPubDate\":\"\",\"PubModel\":\"\",\"JCR\":\"Q3\",\"JCRName\":\"RADIOLOGY, NUCLEAR MEDICINE & MEDICAL IMAGING\",\"Score\":null,\"Total\":0}","platform":"Semanticscholar","paperid":null,"PeriodicalName":"World journal of radiology","FirstCategoryId":"1085","ListUrlMain":"https://doi.org/10.4329/wjr.v17.i6.107281","RegionNum":0,"RegionCategory":null,"ArticlePicture":[],"TitleCN":null,"AbstractTextCN":null,"PMCID":null,"EPubDate":"","PubModel":"","JCR":"Q3","JCRName":"RADIOLOGY, NUCLEAR MEDICINE & MEDICAL IMAGING","Score":null,"Total":0}
引用次数: 0

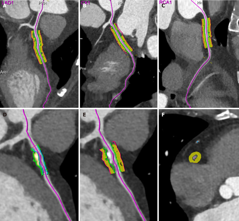
摘要

冠状动脉周围脂肪组织(PCAT)与冠状动脉壁双向沟通,在心血管疾病的发病和进展中起着重要作用。近年来,冠状动脉计算机断层扫描测量的PCAT参数已成为量化冠状动脉炎症的潜在无创成像生物标志物,在心血管疾病的早期发现、疾病进展评估、治疗效果评估和预后预测等方面具有重要的临床价值。此外,PCAT放射组学分析等新技术已经拓宽了其在评估冠状动脉斑块易损性、预测心血管事件和改善风险分层方面的潜在应用。本文综述了PCAT研究的最新进展,重点讨论了其在冠状动脉疾病风险识别和炎症监测中的作用,旨在提供基于成像的见解,以支持其在心血管疾病管理中的未来临床应用。
本文章由计算机程序翻译,如有差异,请以英文原文为准。

Computed tomography-based assessment of pericoronary adipose tissue in cardiovascular diseases: Diagnostic and prognostic implications.

Computed tomography-based assessment of pericoronary adipose tissue in cardiovascular diseases: Diagnostic and prognostic implications.

Computed tomography-based assessment of pericoronary adipose tissue in cardiovascular diseases: Diagnostic and prognostic implications.

Pericoronary adipose tissue (PCAT) plays an important role in the pathogenesis and progression of cardiovascular diseases due to its bidirectional communication with the coronary artery wall. In recent years, PCAT parameters measured using coronary computed tomography have emerged as potential noninvasive imaging biomarkers for quantifying coronary artery inflammation, with significant clinical value in the early detection, disease progression assessment, treatment efficacy evaluation, and prognosis prediction of cardiovascular diseases. Furthermore, new technologies such as PCAT radiomics analysis have broadened its potential applications in evaluating coronary plaque vulnerability, predicting cardiovascular events, and improving risk stratification. This review discusses recent advances in PCAT research, focusing on its role in coronary artery disease risk identification and inflammation monitoring, and aims to offer imaging-based insights to support its future clinical use in cardiovascular disease management.

求助全文
通过发布文献求助,成功后即可免费获取论文全文。 去求助
来源期刊
World journal of radiology
World journal of radiology RADIOLOGY, NUCLEAR MEDICINE & MEDICAL IMAGING-
自引率
8.00%
发文量
35
×
引用
GB/T 7714-2015
复制
MLA
复制
APA
复制
导出至
BibTeX EndNote RefMan NoteFirst NoteExpress
×
提示
您的信息不完整,为了账户安全,请先补充。
现在去补充
×
提示
您因"违规操作"
具体请查看互助需知
我知道了
×
提示
确定
请完成安全验证×
copy
已复制链接
快去分享给好友吧!
我知道了
右上角分享
点击右上角分享
0
联系我们:info@booksci.cn Book学术提供免费学术资源搜索服务,方便国内外学者检索中英文文献。致力于提供最便捷和优质的服务体验。 Copyright © 2023 布克学术 All rights reserved.
京ICP备2023020795号-1
ghs 京公网安备 11010802042870号
Book学术文献互助
Book学术文献互助群
群 号:604180095
Book学术官方微信