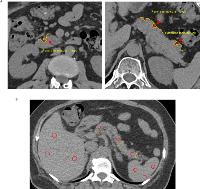
计算机断层扫描显示胰腺切口深度增加是T2DM的独立预测指标。

IF 3.9 2区 综合性期刊 Q1 MULTIDISCIPLINARY SCIENCES
Yilong Huang, Zhangwaner Yao, Yongchun Zeng, Junjie Hua, Ning Yao, Zhixiao Luo, Zhibo Xiao, Qian Ge
{"title":"计算机断层扫描显示胰腺切口深度增加是T2DM的独立预测指标。","authors":"Yilong Huang, Zhangwaner Yao, Yongchun Zeng, Junjie Hua, Ning Yao, Zhixiao Luo, Zhibo Xiao, Qian Ge","doi":"10.1038/s41598-025-08193-x","DOIUrl":null,"url":null,"abstract":"<p><p>We aim to identify CT-based biomarkers in the pancreas for predicting both the presence and prognosis of T2DM. Between January and December 2021, a population of 2246 subjects undertaken health-check were recruited. Between January 2023 and June 2024, another 244 hospitalized patients with T2DM were recruited. Depth of pancreas incisure (DPI), CT attenuation, and thickness were measured using an unenhanced CT scan. Compared to individuals without T2DM, DPI was significantly increased in subjects with T2DM, regardless of whether they were of normal weight or obese. After adjusting for age, sex, BMI, waist circumference, lipid, liver function, and hepatic fat content, DPI remained independently associated with the presence of T2DM. However, no significant difference in DPI was observed between T2DM patients without insulin deficiency [Fasting C-peptide (FCP) ≥ 0.6 ng/ml] and those with absolute insulin deficiency (FCP < 0.6 ng/ml). DPI was not associated with the presence of absolute insulin deficiency; conversely, reduced pancreatic thickness was independently associated with this condition. Additionally, our findings did not reveal any significant association between pancreatic fat content and T2DM. Increased DPI may serve as a potential biomarker for predicting the risk of T2DM, whereas reduced pancreatic size may indicate a poorer prognosis for this disease.</p>","PeriodicalId":21811,"journal":{"name":"Scientific Reports","volume":"15 1","pages":"23389"},"PeriodicalIF":3.9000,"publicationDate":"2025-07-02","publicationTypes":"Journal Article","fieldsOfStudy":null,"isOpenAccess":false,"openAccessPdf":"https://www.ncbi.nlm.nih.gov/pmc/articles/PMC12222510/pdf/","citationCount":"0","resultStr":"{\"title\":\"Increased depth of pancreas incisure on computed tomography as an independent predictor for T2DM.\",\"authors\":\"Yilong Huang, Zhangwaner Yao, Yongchun Zeng, Junjie Hua, Ning Yao, Zhixiao Luo, Zhibo Xiao, Qian Ge\",\"doi\":\"10.1038/s41598-025-08193-x\",\"DOIUrl\":null,\"url\":null,\"abstract\":\"<p><p>We aim to identify CT-based biomarkers in the pancreas for predicting both the presence and prognosis of T2DM. Between January and December 2021, a population of 2246 subjects undertaken health-check were recruited. Between January 2023 and June 2024, another 244 hospitalized patients with T2DM were recruited. Depth of pancreas incisure (DPI), CT attenuation, and thickness were measured using an unenhanced CT scan. Compared to individuals without T2DM, DPI was significantly increased in subjects with T2DM, regardless of whether they were of normal weight or obese. After adjusting for age, sex, BMI, waist circumference, lipid, liver function, and hepatic fat content, DPI remained independently associated with the presence of T2DM. However, no significant difference in DPI was observed between T2DM patients without insulin deficiency [Fasting C-peptide (FCP) ≥ 0.6 ng/ml] and those with absolute insulin deficiency (FCP < 0.6 ng/ml). DPI was not associated with the presence of absolute insulin deficiency; conversely, reduced pancreatic thickness was independently associated with this condition. Additionally, our findings did not reveal any significant association between pancreatic fat content and T2DM. Increased DPI may serve as a potential biomarker for predicting the risk of T2DM, whereas reduced pancreatic size may indicate a poorer prognosis for this disease.</p>\",\"PeriodicalId\":21811,\"journal\":{\"name\":\"Scientific Reports\",\"volume\":\"15 1\",\"pages\":\"23389\"},\"PeriodicalIF\":3.9000,\"publicationDate\":\"2025-07-02\",\"publicationTypes\":\"Journal Article\",\"fieldsOfStudy\":null,\"isOpenAccess\":false,\"openAccessPdf\":\"https://www.ncbi.nlm.nih.gov/pmc/articles/PMC12222510/pdf/\",\"citationCount\":\"0\",\"resultStr\":null,\"platform\":\"Semanticscholar\",\"paperid\":null,\"PeriodicalName\":\"Scientific Reports\",\"FirstCategoryId\":\"103\",\"ListUrlMain\":\"https://doi.org/10.1038/s41598-025-08193-x\",\"RegionNum\":2,\"RegionCategory\":\"综合性期刊\",\"ArticlePicture\":[],\"TitleCN\":null,\"AbstractTextCN\":null,\"PMCID\":null,\"EPubDate\":\"\",\"PubModel\":\"\",\"JCR\":\"Q1\",\"JCRName\":\"MULTIDISCIPLINARY SCIENCES\",\"Score\":null,\"Total\":0}","platform":"Semanticscholar","paperid":null,"PeriodicalName":"Scientific Reports","FirstCategoryId":"103","ListUrlMain":"https://doi.org/10.1038/s41598-025-08193-x","RegionNum":2,"RegionCategory":"综合性期刊","ArticlePicture":[],"TitleCN":null,"AbstractTextCN":null,"PMCID":null,"EPubDate":"","PubModel":"","JCR":"Q1","JCRName":"MULTIDISCIPLINARY SCIENCES","Score":null,"Total":0}
引用次数: 0

摘要

我们的目标是确定胰腺中基于ct的生物标志物,以预测T2DM的存在和预后。在2021年1月至12月期间,招募了2246名接受健康检查的受试者。在2023年1月至2024年6月期间,又招募了244名住院的T2DM患者。使用非增强CT扫描测量胰腺切口深度(DPI), CT衰减和厚度。与非T2DM患者相比,T2DM患者的DPI显著升高,无论他们是正常体重还是肥胖。在调整了年龄、性别、BMI、腰围、血脂、肝功能和肝脏脂肪含量后,DPI仍然与T2DM的存在独立相关。然而,无胰岛素缺乏[空腹c肽(FCP)≥0.6 ng/ml]的T2DM患者与绝对胰岛素缺乏(FCP)的DPI无显著差异
本文章由计算机程序翻译,如有差异,请以英文原文为准。

Increased depth of pancreas incisure on computed tomography as an independent predictor for T2DM.

Increased depth of pancreas incisure on computed tomography as an independent predictor for T2DM.

Increased depth of pancreas incisure on computed tomography as an independent predictor for T2DM.

Increased depth of pancreas incisure on computed tomography as an independent predictor for T2DM.

We aim to identify CT-based biomarkers in the pancreas for predicting both the presence and prognosis of T2DM. Between January and December 2021, a population of 2246 subjects undertaken health-check were recruited. Between January 2023 and June 2024, another 244 hospitalized patients with T2DM were recruited. Depth of pancreas incisure (DPI), CT attenuation, and thickness were measured using an unenhanced CT scan. Compared to individuals without T2DM, DPI was significantly increased in subjects with T2DM, regardless of whether they were of normal weight or obese. After adjusting for age, sex, BMI, waist circumference, lipid, liver function, and hepatic fat content, DPI remained independently associated with the presence of T2DM. However, no significant difference in DPI was observed between T2DM patients without insulin deficiency [Fasting C-peptide (FCP) ≥ 0.6 ng/ml] and those with absolute insulin deficiency (FCP < 0.6 ng/ml). DPI was not associated with the presence of absolute insulin deficiency; conversely, reduced pancreatic thickness was independently associated with this condition. Additionally, our findings did not reveal any significant association between pancreatic fat content and T2DM. Increased DPI may serve as a potential biomarker for predicting the risk of T2DM, whereas reduced pancreatic size may indicate a poorer prognosis for this disease.

求助全文
通过发布文献求助,成功后即可免费获取论文全文。 去求助
来源期刊
Scientific Reports
Scientific Reports Natural Science Disciplines-
CiteScore
7.50
自引率
4.30%
发文量
19567
审稿时长
3.9 months
期刊介绍: We publish original research from all areas of the natural sciences, psychology, medicine and engineering. You can learn more about what we publish by browsing our specific scientific subject areas below or explore Scientific Reports by browsing all articles and collections. Scientific Reports has a 2-year impact factor: 4.380 (2021), and is the 6th most-cited journal in the world, with more than 540,000 citations in 2020 (Clarivate Analytics, 2021). •Engineering Engineering covers all aspects of engineering, technology, and applied science. It plays a crucial role in the development of technologies to address some of the world''s biggest challenges, helping to save lives and improve the way we live. •Physical sciences Physical sciences are those academic disciplines that aim to uncover the underlying laws of nature — often written in the language of mathematics. It is a collective term for areas of study including astronomy, chemistry, materials science and physics. •Earth and environmental sciences Earth and environmental sciences cover all aspects of Earth and planetary science and broadly encompass solid Earth processes, surface and atmospheric dynamics, Earth system history, climate and climate change, marine and freshwater systems, and ecology. It also considers the interactions between humans and these systems. •Biological sciences Biological sciences encompass all the divisions of natural sciences examining various aspects of vital processes. The concept includes anatomy, physiology, cell biology, biochemistry and biophysics, and covers all organisms from microorganisms, animals to plants. •Health sciences The health sciences study health, disease and healthcare. This field of study aims to develop knowledge, interventions and technology for use in healthcare to improve the treatment of patients.
×
引用
GB/T 7714-2015
复制
MLA
复制
APA
复制
导出至
BibTeX EndNote RefMan NoteFirst NoteExpress
×
提示
您的信息不完整,为了账户安全,请先补充。
现在去补充
×
提示
您因"违规操作"
具体请查看互助需知
我知道了
×
提示
确定
请完成安全验证×
copy
已复制链接
快去分享给好友吧!
我知道了
右上角分享
点击右上角分享
0
联系我们:info@booksci.cn Book学术提供免费学术资源搜索服务,方便国内外学者检索中英文文献。致力于提供最便捷和优质的服务体验。 Copyright © 2023 布克学术 All rights reserved.
京ICP备2023020795号-1
ghs 京公网安备 11010802042870号
Book学术文献互助
Book学术文献互助群
群 号:604180095
Book学术官方微信