基线终末回肠CT和MRI测量与儿童克罗恩病的成像结果相关:一项队列研究

IF 2.3 3区 医学 Q2 PEDIATRICS
Pediatric Radiology Pub Date : 2025-07-01 Epub Date: 2025-07-03 DOI:10.1007/s00247-025-06302-6
Allison D Ta, Jonathan R Dillman, Nicholas J Ollberding, Yael Haberman, Robert Baldassano, James Markowitz, Anthony Otley, Jennifer L Dotson, Marian Pfefferkorn, Jeffrey S Hyams, Melvin B Heyman, Sandra C Kim, Joshua Noe, Scott Snapper, Adina Alazraki, Subra Kugathasan, Lee A Denson
{"title":"基线终末回肠CT和MRI测量与儿童克罗恩病的成像结果相关:一项队列研究","authors":"Allison D Ta, Jonathan R Dillman, Nicholas J Ollberding, Yael Haberman, Robert Baldassano, James Markowitz, Anthony Otley, Jennifer L Dotson, Marian Pfefferkorn, Jeffrey S Hyams, Melvin B Heyman, Sandra C Kim, Joshua Noe, Scott Snapper, Adina Alazraki, Subra Kugathasan, Lee A Denson","doi":"10.1007/s00247-025-06302-6","DOIUrl":null,"url":null,"abstract":"<p><strong>Background: </strong>Cross-sectional imaging is increasingly used for both initial diagnosis and long-term monitoring of Crohn's disease. The quantitative morphology of the terminal ileum may predict treatment response.</p><p><strong>Objective: </strong>We aimed to identify baseline qualitative and quantitative imaging features that are associated with clinical and radiologic treatment response in a large cohort of children with Crohn's disease.</p><p><strong>Materials and methods: </strong>This was a retrospective study of the RISK cohort study in pediatric Crohn's disease. This multicenter study included 1,136 children <18 years from 28 sites in North America. Subjects enrolled with newly diagnosed Crohn's disease who underwent endoscopy with baseline and follow-up CT or MRI were considered for this study. Exclusion criteria were incomplete data or surgical resection prior to follow-up imaging. Imaging analysis included assessing a qualitative terminal ileum (TI) categorical score based on SAR-AGA consensus definitions ((1) normal, (2) inflammation only without luminal narrowing, (3) inflammation with luminal narrowing, or (4) stricture with pre-stenotic dilation ≥3 cm) and quantitative measurements (maximum bowel wall thickness and maximum/minimum lumen diameter). Two endpoints were considered: (1) clinical response (off corticosteroids and quiescent Physician Global Assessment at follow-up imaging) and (2) CT and MRI response (follow-up imaging normalization). Multivariable logistic regression analyses were developed for each endpoint.</p><p><strong>Results: </strong>Ninety-six subjects were included. Clinical response endpoint was achieved in 38% (n=36) of participants, and imaging normalization was achieved in only 20% (n=19) of participants. Follow-up imaging showed disease progression in 24 (25%) patients, 7 (7%) of whom were radiologically normal at baseline (7%). A higher baseline TI categorical score was associated with lower odds of imaging normalization during follow-up (OR 0.4 [0.2, 0.8], P=0.009). Larger TI minimum lumen diameter (OR 1.1 [1.01, 1.3], P=0.04) and smaller maximum bowel wall thickness at baseline (OR 0.8 [0.6, 0.97], P=0.03) were associated with imaging normalization. There were no baseline imaging measurements associated with clinical response.</p><p><strong>Conclusions: </strong>Baseline increased terminal ileal minimum lumen diameter and decreasing wall thickness were associated with imaging normalization at follow-up, but not clinical response.</p>","PeriodicalId":19755,"journal":{"name":"Pediatric Radiology","volume":" ","pages":"1642-1651"},"PeriodicalIF":2.3000,"publicationDate":"2025-07-01","publicationTypes":"Journal Article","fieldsOfStudy":null,"isOpenAccess":false,"openAccessPdf":"https://www.ncbi.nlm.nih.gov/pmc/articles/PMC12321652/pdf/","citationCount":"0","resultStr":"{\"title\":\"Baseline terminal ileal CT and MRI measurements are associated with imaging outcomes in pediatric Crohn's disease: a cohort study.\",\"authors\":\"Allison D Ta, Jonathan R Dillman, Nicholas J Ollberding, Yael Haberman, Robert Baldassano, James Markowitz, Anthony Otley, Jennifer L Dotson, Marian Pfefferkorn, Jeffrey S Hyams, Melvin B Heyman, Sandra C Kim, Joshua Noe, Scott Snapper, Adina Alazraki, Subra Kugathasan, Lee A Denson\",\"doi\":\"10.1007/s00247-025-06302-6\",\"DOIUrl\":null,\"url\":null,\"abstract\":\"<p><strong>Background: </strong>Cross-sectional imaging is increasingly used for both initial diagnosis and long-term monitoring of Crohn's disease. The quantitative morphology of the terminal ileum may predict treatment response.</p><p><strong>Objective: </strong>We aimed to identify baseline qualitative and quantitative imaging features that are associated with clinical and radiologic treatment response in a large cohort of children with Crohn's disease.</p><p><strong>Materials and methods: </strong>This was a retrospective study of the RISK cohort study in pediatric Crohn's disease. This multicenter study included 1,136 children <18 years from 28 sites in North America. Subjects enrolled with newly diagnosed Crohn's disease who underwent endoscopy with baseline and follow-up CT or MRI were considered for this study. Exclusion criteria were incomplete data or surgical resection prior to follow-up imaging. Imaging analysis included assessing a qualitative terminal ileum (TI) categorical score based on SAR-AGA consensus definitions ((1) normal, (2) inflammation only without luminal narrowing, (3) inflammation with luminal narrowing, or (4) stricture with pre-stenotic dilation ≥3 cm) and quantitative measurements (maximum bowel wall thickness and maximum/minimum lumen diameter). Two endpoints were considered: (1) clinical response (off corticosteroids and quiescent Physician Global Assessment at follow-up imaging) and (2) CT and MRI response (follow-up imaging normalization). Multivariable logistic regression analyses were developed for each endpoint.</p><p><strong>Results: </strong>Ninety-six subjects were included. Clinical response endpoint was achieved in 38% (n=36) of participants, and imaging normalization was achieved in only 20% (n=19) of participants. Follow-up imaging showed disease progression in 24 (25%) patients, 7 (7%) of whom were radiologically normal at baseline (7%). A higher baseline TI categorical score was associated with lower odds of imaging normalization during follow-up (OR 0.4 [0.2, 0.8], P=0.009). Larger TI minimum lumen diameter (OR 1.1 [1.01, 1.3], P=0.04) and smaller maximum bowel wall thickness at baseline (OR 0.8 [0.6, 0.97], P=0.03) were associated with imaging normalization. There were no baseline imaging measurements associated with clinical response.</p><p><strong>Conclusions: </strong>Baseline increased terminal ileal minimum lumen diameter and decreasing wall thickness were associated with imaging normalization at follow-up, but not clinical response.</p>\",\"PeriodicalId\":19755,\"journal\":{\"name\":\"Pediatric Radiology\",\"volume\":\" \",\"pages\":\"1642-1651\"},\"PeriodicalIF\":2.3000,\"publicationDate\":\"2025-07-01\",\"publicationTypes\":\"Journal Article\",\"fieldsOfStudy\":null,\"isOpenAccess\":false,\"openAccessPdf\":\"https://www.ncbi.nlm.nih.gov/pmc/articles/PMC12321652/pdf/\",\"citationCount\":\"0\",\"resultStr\":null,\"platform\":\"Semanticscholar\",\"paperid\":null,\"PeriodicalName\":\"Pediatric Radiology\",\"FirstCategoryId\":\"3\",\"ListUrlMain\":\"https://doi.org/10.1007/s00247-025-06302-6\",\"RegionNum\":3,\"RegionCategory\":\"医学\",\"ArticlePicture\":[],\"TitleCN\":null,\"AbstractTextCN\":null,\"PMCID\":null,\"EPubDate\":\"2025/7/3 0:00:00\",\"PubModel\":\"Epub\",\"JCR\":\"Q2\",\"JCRName\":\"PEDIATRICS\",\"Score\":null,\"Total\":0}","platform":"Semanticscholar","paperid":null,"PeriodicalName":"Pediatric Radiology","FirstCategoryId":"3","ListUrlMain":"https://doi.org/10.1007/s00247-025-06302-6","RegionNum":3,"RegionCategory":"医学","ArticlePicture":[],"TitleCN":null,"AbstractTextCN":null,"PMCID":null,"EPubDate":"2025/7/3 0:00:00","PubModel":"Epub","JCR":"Q2","JCRName":"PEDIATRICS","Score":null,"Total":0}
引用次数: 0

摘要

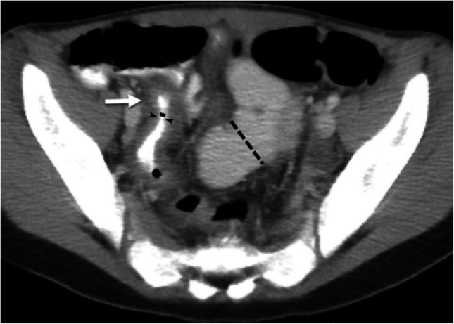
背景:横断面成像越来越多地用于克罗恩病的初始诊断和长期监测。回肠末端的定量形态学可以预测治疗效果。目的:我们旨在确定与克罗恩病儿童大队列临床和放射学治疗反应相关的基线定性和定量影像学特征。材料和方法:这是一项针对儿童克罗恩病的风险队列研究的回顾性研究。本多中心研究纳入1136名儿童。结果:纳入96名受试者。38% (n=36)的参与者达到了临床缓解终点,只有20% (n=19)的参与者达到了影像学正常化。随访影像显示24例(25%)患者疾病进展,其中7例(7%)在基线时放射学正常(7%)。较高的基线TI分类评分与随访期间影像正常化的几率较低相关(OR 0.4 [0.2, 0.8], P=0.009)。较大的TI最小管腔直径(OR 1.1 [1.01, 1.3], P=0.04)和较小的基线肠壁最大厚度(OR 0.8 [0.6, 0.97], P=0.03)与影像学正常化相关。没有与临床反应相关的基线影像学测量。结论:基线回肠末端最小管腔直径增加和壁厚减少与随访时的影像学正常化有关,但与临床反应无关。
本文章由计算机程序翻译,如有差异,请以英文原文为准。

Baseline terminal ileal CT and MRI measurements are associated with imaging outcomes in pediatric Crohn's disease: a cohort study.

Baseline terminal ileal CT and MRI measurements are associated with imaging outcomes in pediatric Crohn's disease: a cohort study.

Baseline terminal ileal CT and MRI measurements are associated with imaging outcomes in pediatric Crohn's disease: a cohort study.

Baseline terminal ileal CT and MRI measurements are associated with imaging outcomes in pediatric Crohn's disease: a cohort study.

Background: Cross-sectional imaging is increasingly used for both initial diagnosis and long-term monitoring of Crohn's disease. The quantitative morphology of the terminal ileum may predict treatment response.

Objective: We aimed to identify baseline qualitative and quantitative imaging features that are associated with clinical and radiologic treatment response in a large cohort of children with Crohn's disease.

Materials and methods: This was a retrospective study of the RISK cohort study in pediatric Crohn's disease. This multicenter study included 1,136 children <18 years from 28 sites in North America. Subjects enrolled with newly diagnosed Crohn's disease who underwent endoscopy with baseline and follow-up CT or MRI were considered for this study. Exclusion criteria were incomplete data or surgical resection prior to follow-up imaging. Imaging analysis included assessing a qualitative terminal ileum (TI) categorical score based on SAR-AGA consensus definitions ((1) normal, (2) inflammation only without luminal narrowing, (3) inflammation with luminal narrowing, or (4) stricture with pre-stenotic dilation ≥3 cm) and quantitative measurements (maximum bowel wall thickness and maximum/minimum lumen diameter). Two endpoints were considered: (1) clinical response (off corticosteroids and quiescent Physician Global Assessment at follow-up imaging) and (2) CT and MRI response (follow-up imaging normalization). Multivariable logistic regression analyses were developed for each endpoint.

Results: Ninety-six subjects were included. Clinical response endpoint was achieved in 38% (n=36) of participants, and imaging normalization was achieved in only 20% (n=19) of participants. Follow-up imaging showed disease progression in 24 (25%) patients, 7 (7%) of whom were radiologically normal at baseline (7%). A higher baseline TI categorical score was associated with lower odds of imaging normalization during follow-up (OR 0.4 [0.2, 0.8], P=0.009). Larger TI minimum lumen diameter (OR 1.1 [1.01, 1.3], P=0.04) and smaller maximum bowel wall thickness at baseline (OR 0.8 [0.6, 0.97], P=0.03) were associated with imaging normalization. There were no baseline imaging measurements associated with clinical response.

Conclusions: Baseline increased terminal ileal minimum lumen diameter and decreasing wall thickness were associated with imaging normalization at follow-up, but not clinical response.

求助全文
通过发布文献求助,成功后即可免费获取论文全文。 去求助
来源期刊
Pediatric Radiology
Pediatric Radiology 医学-核医学
CiteScore
4.40
自引率
17.40%
发文量
300
审稿时长
3-6 weeks
期刊介绍: Official Journal of the European Society of Pediatric Radiology, the Society for Pediatric Radiology and the Asian and Oceanic Society for Pediatric Radiology Pediatric Radiology informs its readers of new findings and progress in all areas of pediatric imaging and in related fields. This is achieved by a blend of original papers, complemented by reviews that set out the present state of knowledge in a particular area of the specialty or summarize specific topics in which discussion has led to clear conclusions. Advances in technology, methodology, apparatus and auxiliary equipment are presented, and modifications of standard techniques are described. Manuscripts submitted for publication must contain a statement to the effect that all human studies have been reviewed by the appropriate ethics committee and have therefore been performed in accordance with the ethical standards laid down in an appropriate version of the 1964 Declaration of Helsinki. It should also be stated clearly in the text that all persons gave their informed consent prior to their inclusion in the study. Details that might disclose the identity of the subjects under study should be omitted.
×
引用
GB/T 7714-2015
复制
MLA
复制
APA
复制
导出至
BibTeX EndNote RefMan NoteFirst NoteExpress
×
提示
您的信息不完整,为了账户安全,请先补充。
现在去补充
×
提示
您因"违规操作"
具体请查看互助需知
我知道了
×
提示
确定
请完成安全验证×
copy
已复制链接
快去分享给好友吧!
我知道了
右上角分享
点击右上角分享
0
联系我们:info@booksci.cn Book学术提供免费学术资源搜索服务,方便国内外学者检索中英文文献。致力于提供最便捷和优质的服务体验。 Copyright © 2023 布克学术 All rights reserved.
京ICP备2023020795号-1
ghs 京公网安备 11010802042870号
Book学术文献互助
Book学术文献互助群
群 号:604180095
Book学术官方微信