甲基化ARHGAP40 DNA作为高级别卵巢浆液性癌早期诊断的潜在生物标志物

IF 4.2 3区 医学 Q1 REPRODUCTIVE BIOLOGY
Jiaxin Chai, Dongni Leng, Shuwei Guo, Rusong Zhang, Jiandong Wang, Yun Gu, Qiu Rao
{"title":"甲基化ARHGAP40 DNA作为高级别卵巢浆液性癌早期诊断的潜在生物标志物","authors":"Jiaxin Chai, Dongni Leng, Shuwei Guo, Rusong Zhang, Jiandong Wang, Yun Gu, Qiu Rao","doi":"10.1186/s13048-025-01729-9","DOIUrl":null,"url":null,"abstract":"<p><p>Ovarian cancer ranks as the eighth most common malignancy in women globally. Early detection remains a critical challenge for improving ovarian cancer diagnosis and treatment outcomes. Our prior study demonstrated that ARHGAP40 downregulation in basal cell carcinoma is attributed to CpG island hypermethylation. However, the expression and methylation status of ARHGAP40 in ovarian cancer remain unexplored. Here, we investigated ARHGAP40 protein expression in normal fallopian tubes, ovarian benign tumors, borderline tumors, low-grade serous carcinoma (LGSC) and high-grade serous carcinomas (HGSC). Methylation analysis of the ARHGAP40 was performed using bisulfite sequencing PCR (BSP). MethyLight assays were developed to detect methylated circulating tumor DNA (ctDNA) fragments of ARHGAP40. IHC results revealed absent or weak ARHGAP40 protein expression in 93.8% (30/32) of HGSC, 11.1% (2/18) of borderline tumors, and in 14.3% (1/7) of LGSC cases. ARHGAP40 protein expression was robust expressed in all normal fallopian tubes (15/15) and benign ovarian tumors (8/8). CpG island hypermethylation in the ARHGAP40 promoter showed a strong inverse correlation with protein expression (P < 0.001). Furthermore, methylated ctDNA for ARHGAP40 was detected in 80.0% (4/5) of HGSC patients' plasma, but not in benign tumor (0/3) and healthy controls (0/15). Our findings suggest that promoter hypermethylation may be a mechanism underlying ARHGAP40 silencing in HGSC. Detection of methylated ARHGAP40 ctDNA may serve as a noninvasive biomarker for early diagnosis and monitoring of HGSC. While our findings suggest the potential of methylated ARHGAP40 as an early diagnostic biomarker, the small sample size warrants validation in larger cohorts.</p>","PeriodicalId":16610,"journal":{"name":"Journal of Ovarian Research","volume":"18 1","pages":"140"},"PeriodicalIF":4.2000,"publicationDate":"2025-07-02","publicationTypes":"Journal Article","fieldsOfStudy":null,"isOpenAccess":false,"openAccessPdf":"https://www.ncbi.nlm.nih.gov/pmc/articles/PMC12218080/pdf/","citationCount":"0","resultStr":"{\"title\":\"Methylated ARHGAP40 DNA as a potential biomarker for early diagnosis in high-grade ovarian serous cancer.\",\"authors\":\"Jiaxin Chai, Dongni Leng, Shuwei Guo, Rusong Zhang, Jiandong Wang, Yun Gu, Qiu Rao\",\"doi\":\"10.1186/s13048-025-01729-9\",\"DOIUrl\":null,\"url\":null,\"abstract\":\"<p><p>Ovarian cancer ranks as the eighth most common malignancy in women globally. Early detection remains a critical challenge for improving ovarian cancer diagnosis and treatment outcomes. Our prior study demonstrated that ARHGAP40 downregulation in basal cell carcinoma is attributed to CpG island hypermethylation. However, the expression and methylation status of ARHGAP40 in ovarian cancer remain unexplored. Here, we investigated ARHGAP40 protein expression in normal fallopian tubes, ovarian benign tumors, borderline tumors, low-grade serous carcinoma (LGSC) and high-grade serous carcinomas (HGSC). Methylation analysis of the ARHGAP40 was performed using bisulfite sequencing PCR (BSP). MethyLight assays were developed to detect methylated circulating tumor DNA (ctDNA) fragments of ARHGAP40. IHC results revealed absent or weak ARHGAP40 protein expression in 93.8% (30/32) of HGSC, 11.1% (2/18) of borderline tumors, and in 14.3% (1/7) of LGSC cases. ARHGAP40 protein expression was robust expressed in all normal fallopian tubes (15/15) and benign ovarian tumors (8/8). CpG island hypermethylation in the ARHGAP40 promoter showed a strong inverse correlation with protein expression (P < 0.001). Furthermore, methylated ctDNA for ARHGAP40 was detected in 80.0% (4/5) of HGSC patients' plasma, but not in benign tumor (0/3) and healthy controls (0/15). Our findings suggest that promoter hypermethylation may be a mechanism underlying ARHGAP40 silencing in HGSC. Detection of methylated ARHGAP40 ctDNA may serve as a noninvasive biomarker for early diagnosis and monitoring of HGSC. While our findings suggest the potential of methylated ARHGAP40 as an early diagnostic biomarker, the small sample size warrants validation in larger cohorts.</p>\",\"PeriodicalId\":16610,\"journal\":{\"name\":\"Journal of Ovarian Research\",\"volume\":\"18 1\",\"pages\":\"140\"},\"PeriodicalIF\":4.2000,\"publicationDate\":\"2025-07-02\",\"publicationTypes\":\"Journal Article\",\"fieldsOfStudy\":null,\"isOpenAccess\":false,\"openAccessPdf\":\"https://www.ncbi.nlm.nih.gov/pmc/articles/PMC12218080/pdf/\",\"citationCount\":\"0\",\"resultStr\":null,\"platform\":\"Semanticscholar\",\"paperid\":null,\"PeriodicalName\":\"Journal of Ovarian Research\",\"FirstCategoryId\":\"3\",\"ListUrlMain\":\"https://doi.org/10.1186/s13048-025-01729-9\",\"RegionNum\":3,\"RegionCategory\":\"医学\",\"ArticlePicture\":[],\"TitleCN\":null,\"AbstractTextCN\":null,\"PMCID\":null,\"EPubDate\":\"\",\"PubModel\":\"\",\"JCR\":\"Q1\",\"JCRName\":\"REPRODUCTIVE BIOLOGY\",\"Score\":null,\"Total\":0}","platform":"Semanticscholar","paperid":null,"PeriodicalName":"Journal of Ovarian Research","FirstCategoryId":"3","ListUrlMain":"https://doi.org/10.1186/s13048-025-01729-9","RegionNum":3,"RegionCategory":"医学","ArticlePicture":[],"TitleCN":null,"AbstractTextCN":null,"PMCID":null,"EPubDate":"","PubModel":"","JCR":"Q1","JCRName":"REPRODUCTIVE BIOLOGY","Score":null,"Total":0}
引用次数: 0

摘要

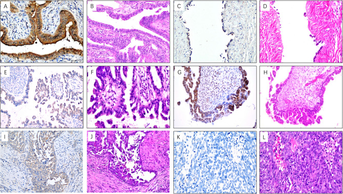
卵巢癌是全球第八大最常见的女性恶性肿瘤。早期发现仍然是改善卵巢癌诊断和治疗结果的关键挑战。我们之前的研究表明,ARHGAP40在基底细胞癌中的下调与CpG岛高甲基化有关。然而,ARHGAP40在卵巢癌中的表达和甲基化状态尚不清楚。我们研究了ARHGAP40蛋白在正常输卵管、卵巢良性肿瘤、交界性肿瘤、低级别浆液性癌(LGSC)和高级别浆液性癌(HGSC)中的表达。采用亚硫酸酯测序PCR (BSP)对ARHGAP40进行甲基化分析。MethyLight检测ARHGAP40的甲基化循环肿瘤DNA (ctDNA)片段。免疫组化结果显示,93.8%(30/32)的HGSC、11.1%(2/18)的交界性肿瘤和14.3%(1/7)的LGSC中ARHGAP40蛋白表达缺失或表达弱。ARHGAP40蛋白在所有正常输卵管(15/15)和卵巢良性肿瘤(8/8)中均有强表达。ARHGAP40启动子CpG岛高甲基化与蛋白表达呈强烈的负相关(P
本文章由计算机程序翻译,如有差异,请以英文原文为准。

Methylated ARHGAP40 DNA as a potential biomarker for early diagnosis in high-grade ovarian serous cancer.

Methylated ARHGAP40 DNA as a potential biomarker for early diagnosis in high-grade ovarian serous cancer.

Methylated ARHGAP40 DNA as a potential biomarker for early diagnosis in high-grade ovarian serous cancer.

Ovarian cancer ranks as the eighth most common malignancy in women globally. Early detection remains a critical challenge for improving ovarian cancer diagnosis and treatment outcomes. Our prior study demonstrated that ARHGAP40 downregulation in basal cell carcinoma is attributed to CpG island hypermethylation. However, the expression and methylation status of ARHGAP40 in ovarian cancer remain unexplored. Here, we investigated ARHGAP40 protein expression in normal fallopian tubes, ovarian benign tumors, borderline tumors, low-grade serous carcinoma (LGSC) and high-grade serous carcinomas (HGSC). Methylation analysis of the ARHGAP40 was performed using bisulfite sequencing PCR (BSP). MethyLight assays were developed to detect methylated circulating tumor DNA (ctDNA) fragments of ARHGAP40. IHC results revealed absent or weak ARHGAP40 protein expression in 93.8% (30/32) of HGSC, 11.1% (2/18) of borderline tumors, and in 14.3% (1/7) of LGSC cases. ARHGAP40 protein expression was robust expressed in all normal fallopian tubes (15/15) and benign ovarian tumors (8/8). CpG island hypermethylation in the ARHGAP40 promoter showed a strong inverse correlation with protein expression (P < 0.001). Furthermore, methylated ctDNA for ARHGAP40 was detected in 80.0% (4/5) of HGSC patients' plasma, but not in benign tumor (0/3) and healthy controls (0/15). Our findings suggest that promoter hypermethylation may be a mechanism underlying ARHGAP40 silencing in HGSC. Detection of methylated ARHGAP40 ctDNA may serve as a noninvasive biomarker for early diagnosis and monitoring of HGSC. While our findings suggest the potential of methylated ARHGAP40 as an early diagnostic biomarker, the small sample size warrants validation in larger cohorts.

求助全文
通过发布文献求助,成功后即可免费获取论文全文。 去求助
来源期刊
Journal of Ovarian Research
Journal of Ovarian Research REPRODUCTIVE BIOLOGY-
CiteScore
6.20
自引率
2.50%
发文量
125
审稿时长
>12 weeks
期刊介绍: Journal of Ovarian Research is an open access, peer reviewed, online journal that aims to provide a forum for high-quality basic and clinical research on ovarian function, abnormalities, and cancer. The journal focuses on research that provides new insights into ovarian functions as well as prevention and treatment of diseases afflicting the organ. Topical areas include, but are not restricted to: Ovary development, hormone secretion and regulation Follicle growth and ovulation Infertility and Polycystic ovarian syndrome Regulation of pituitary and other biological functions by ovarian hormones Ovarian cancer, its prevention, diagnosis and treatment Drug development and screening Role of stem cells in ovary development and function.
×
引用
GB/T 7714-2015
复制
MLA
复制
APA
复制
导出至
BibTeX EndNote RefMan NoteFirst NoteExpress
×
提示
您的信息不完整,为了账户安全,请先补充。
现在去补充
×
提示
您因"违规操作"
具体请查看互助需知
我知道了
×
提示
确定
请完成安全验证×
copy
已复制链接
快去分享给好友吧!
我知道了
右上角分享
点击右上角分享
0
联系我们:info@booksci.cn Book学术提供免费学术资源搜索服务,方便国内外学者检索中英文文献。致力于提供最便捷和优质的服务体验。 Copyright © 2023 布克学术 All rights reserved.
京ICP备2023020795号-1
ghs 京公网安备 11010802042870号
Book学术文献互助
Book学术文献互助群
群 号:604180095
Book学术官方微信