胰腺癌多发肝转移的转化治疗及R0切除1例报告。

IF 2.8 3区 医学 Q3 ONCOLOGY
Sifan Dong, Yunlong Gao, Zhe Wang, Jinqiang Liang, An Jiang
{"title":"胰腺癌多发肝转移的转化治疗及R0切除1例报告。","authors":"Sifan Dong, Yunlong Gao, Zhe Wang, Jinqiang Liang, An Jiang","doi":"10.1007/s00432-025-06180-3","DOIUrl":null,"url":null,"abstract":"<p><strong>Background: </strong>Pancreatic cancer has a high degree of malignancy, poor prognosis, and short survival time. Surgical resection is the main treatment for pancreatic cancer, but the resection rate is only 20%. Liver metastases are the main reason of unresectable. The conversion therapy for pancreatic cancer with liver metastases is rare and less reported.</p><p><strong>Case presentation: </strong>A 52-year-old male patient with pancreatic cancer and multiple liver metastases was reported. Imaging examination showed multiple low-density shadows in the liver. Laboratory tests showed elevated levels of pro-gastrin-releasing peptide and CEA. After gemcitabine combined with albumin-bound paclitaxel chemotherapy, the liver metastases disappeared and the primary pancreatic head tumor was significantly reduced. Pancreaticoduodenectomy was performed, and the patient recovered well without any other adjuvant therapy. The patient has been alive for 36 months without tumor recurrence.</p><p><strong>Conclusions: </strong>The efficacy of Gemcitabine combined with Albumin-bound paclitaxel in conversion therapy for pancreatic cancer patients with multiple liver metastases may be related to the size and duration of metastases, which needs to be further studied.</p>","PeriodicalId":15118,"journal":{"name":"Journal of Cancer Research and Clinical Oncology","volume":"151 7","pages":"200"},"PeriodicalIF":2.8000,"publicationDate":"2025-07-03","publicationTypes":"Journal Article","fieldsOfStudy":null,"isOpenAccess":false,"openAccessPdf":"https://www.ncbi.nlm.nih.gov/pmc/articles/PMC12226612/pdf/","citationCount":"0","resultStr":"{\"title\":\"Conversion therapy and R0 resection for pancreatic cancer with multiple liver metastases: a case report.\",\"authors\":\"Sifan Dong, Yunlong Gao, Zhe Wang, Jinqiang Liang, An Jiang\",\"doi\":\"10.1007/s00432-025-06180-3\",\"DOIUrl\":null,\"url\":null,\"abstract\":\"<p><strong>Background: </strong>Pancreatic cancer has a high degree of malignancy, poor prognosis, and short survival time. Surgical resection is the main treatment for pancreatic cancer, but the resection rate is only 20%. Liver metastases are the main reason of unresectable. The conversion therapy for pancreatic cancer with liver metastases is rare and less reported.</p><p><strong>Case presentation: </strong>A 52-year-old male patient with pancreatic cancer and multiple liver metastases was reported. Imaging examination showed multiple low-density shadows in the liver. Laboratory tests showed elevated levels of pro-gastrin-releasing peptide and CEA. After gemcitabine combined with albumin-bound paclitaxel chemotherapy, the liver metastases disappeared and the primary pancreatic head tumor was significantly reduced. Pancreaticoduodenectomy was performed, and the patient recovered well without any other adjuvant therapy. The patient has been alive for 36 months without tumor recurrence.</p><p><strong>Conclusions: </strong>The efficacy of Gemcitabine combined with Albumin-bound paclitaxel in conversion therapy for pancreatic cancer patients with multiple liver metastases may be related to the size and duration of metastases, which needs to be further studied.</p>\",\"PeriodicalId\":15118,\"journal\":{\"name\":\"Journal of Cancer Research and Clinical Oncology\",\"volume\":\"151 7\",\"pages\":\"200\"},\"PeriodicalIF\":2.8000,\"publicationDate\":\"2025-07-03\",\"publicationTypes\":\"Journal Article\",\"fieldsOfStudy\":null,\"isOpenAccess\":false,\"openAccessPdf\":\"https://www.ncbi.nlm.nih.gov/pmc/articles/PMC12226612/pdf/\",\"citationCount\":\"0\",\"resultStr\":null,\"platform\":\"Semanticscholar\",\"paperid\":null,\"PeriodicalName\":\"Journal of Cancer Research and Clinical Oncology\",\"FirstCategoryId\":\"3\",\"ListUrlMain\":\"https://doi.org/10.1007/s00432-025-06180-3\",\"RegionNum\":3,\"RegionCategory\":\"医学\",\"ArticlePicture\":[],\"TitleCN\":null,\"AbstractTextCN\":null,\"PMCID\":null,\"EPubDate\":\"\",\"PubModel\":\"\",\"JCR\":\"Q3\",\"JCRName\":\"ONCOLOGY\",\"Score\":null,\"Total\":0}","platform":"Semanticscholar","paperid":null,"PeriodicalName":"Journal of Cancer Research and Clinical Oncology","FirstCategoryId":"3","ListUrlMain":"https://doi.org/10.1007/s00432-025-06180-3","RegionNum":3,"RegionCategory":"医学","ArticlePicture":[],"TitleCN":null,"AbstractTextCN":null,"PMCID":null,"EPubDate":"","PubModel":"","JCR":"Q3","JCRName":"ONCOLOGY","Score":null,"Total":0}
引用次数: 0

摘要

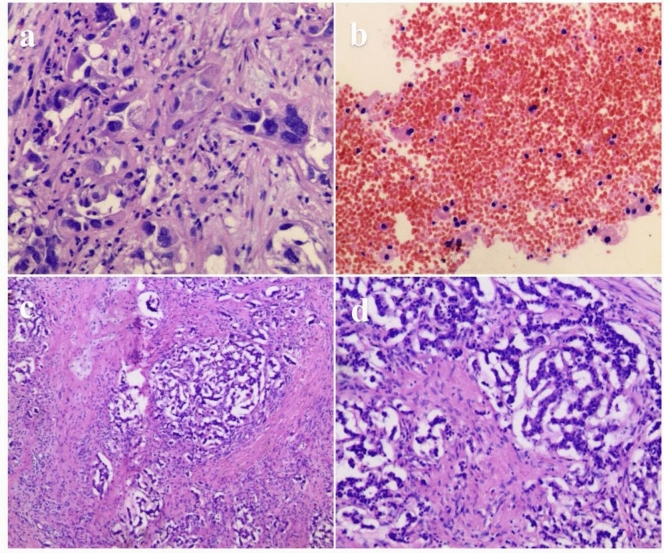
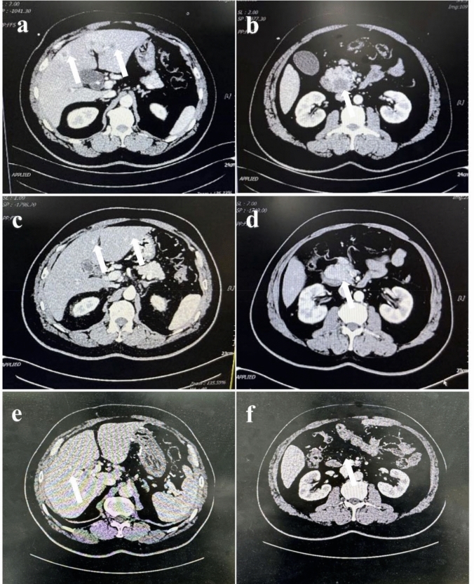
背景:胰腺癌恶性程度高,预后差,生存时间短。手术切除是胰腺癌的主要治疗方法,但手术切除率仅为20%。肝转移是无法切除的主要原因。胰腺癌合并肝转移的转化治疗是罕见的,报道较少。病例介绍:我们报告了一位52岁男性胰腺癌合并多发性肝转移的病例。影像学检查示肝脏多发低密度影。实验室检查显示胃泌素释放前肽和CEA水平升高。吉西他滨联合白蛋白结合紫杉醇化疗后,肝转移灶消失,原发性胰头肿瘤明显减少。行胰十二指肠切除术后,患者恢复良好,无需其他辅助治疗。患者已存活36个月,肿瘤未复发。结论:吉西他滨联合白蛋白结合紫杉醇治疗胰腺癌多发肝转移的疗效可能与转移灶的大小和持续时间有关,有待进一步研究。
本文章由计算机程序翻译,如有差异,请以英文原文为准。

Conversion therapy and R0 resection for pancreatic cancer with multiple liver metastases: a case report.

Conversion therapy and R0 resection for pancreatic cancer with multiple liver metastases: a case report.

Conversion therapy and R0 resection for pancreatic cancer with multiple liver metastases: a case report.

Conversion therapy and R0 resection for pancreatic cancer with multiple liver metastases: a case report.

Background: Pancreatic cancer has a high degree of malignancy, poor prognosis, and short survival time. Surgical resection is the main treatment for pancreatic cancer, but the resection rate is only 20%. Liver metastases are the main reason of unresectable. The conversion therapy for pancreatic cancer with liver metastases is rare and less reported.

Case presentation: A 52-year-old male patient with pancreatic cancer and multiple liver metastases was reported. Imaging examination showed multiple low-density shadows in the liver. Laboratory tests showed elevated levels of pro-gastrin-releasing peptide and CEA. After gemcitabine combined with albumin-bound paclitaxel chemotherapy, the liver metastases disappeared and the primary pancreatic head tumor was significantly reduced. Pancreaticoduodenectomy was performed, and the patient recovered well without any other adjuvant therapy. The patient has been alive for 36 months without tumor recurrence.

Conclusions: The efficacy of Gemcitabine combined with Albumin-bound paclitaxel in conversion therapy for pancreatic cancer patients with multiple liver metastases may be related to the size and duration of metastases, which needs to be further studied.

求助全文
通过发布文献求助,成功后即可免费获取论文全文。 去求助
来源期刊
CiteScore
4.00
自引率
2.80%
发文量
577
审稿时长
2 months
期刊介绍: The "Journal of Cancer Research and Clinical Oncology" publishes significant and up-to-date articles within the fields of experimental and clinical oncology. The journal, which is chiefly devoted to Original papers, also includes Reviews as well as Editorials and Guest editorials on current, controversial topics. The section Letters to the editors provides a forum for a rapid exchange of comments and information concerning previously published papers and topics of current interest. Meeting reports provide current information on the latest results presented at important congresses. The following fields are covered: carcinogenesis - etiology, mechanisms; molecular biology; recent developments in tumor therapy; general diagnosis; laboratory diagnosis; diagnostic and experimental pathology; oncologic surgery; and epidemiology.
×
引用
GB/T 7714-2015
复制
MLA
复制
APA
复制
导出至
BibTeX EndNote RefMan NoteFirst NoteExpress
×
提示
您的信息不完整,为了账户安全,请先补充。
现在去补充
×
提示
您因"违规操作"
具体请查看互助需知
我知道了
×
提示
确定
请完成安全验证×
copy
已复制链接
快去分享给好友吧!
我知道了
右上角分享
点击右上角分享
0
联系我们:info@booksci.cn Book学术提供免费学术资源搜索服务,方便国内外学者检索中英文文献。致力于提供最便捷和优质的服务体验。 Copyright © 2023 布克学术 All rights reserved.
京ICP备2023020795号-1
ghs 京公网安备 11010802042870号
Book学术文献互助
Book学术文献互助群
群 号:604180095
Book学术官方微信