他汀类药物、维生素E和辣木提取物对核糖素诱导大鼠肝毒性中CD3表达的调节作用。

Q2 Medicine
Suha Khayri Ababneh, Alia Khwaldeh, Ali Ata Alsarhan, Israa Yousef, Ramadan Al-Shdefat, Aiman Shoiab, Sokiyna Ababneh
{"title":"他汀类药物、维生素E和辣木提取物对核糖素诱导大鼠肝毒性中CD3表达的调节作用。","authors":"Suha Khayri Ababneh, Alia Khwaldeh, Ali Ata Alsarhan, Israa Yousef, Ramadan Al-Shdefat, Aiman Shoiab, Sokiyna Ababneh","doi":"10.5455/aim.2025.33.90-95","DOIUrl":null,"url":null,"abstract":"<p><strong>Background: </strong>The use of Ribociclib leads to hepatotoxicity that may be evaluated by the presence of infiltrated CD3 cells.</p><p><strong>Objective: </strong>To evaluate the expression level of CD3 in the liver tissue of the control group and other groups exposed to Ribociclib and groups received Ribociclib and other treatments including vitamin E, statin, and and Moringa Olifera.</p><p><strong>Methods: </strong>This experiment utilized fifty adult male albino rats (9 - 10 weeks old). The rats were randomly assigned into five groups (N = 10). Rats in the Group 1 (control) were given 2 ml normal saline. Group 2 rats received 5 mg/kg of ribociclib, while Group 3 rats received the same dose of ribociclib in conjunction with a daily dose of 200 mg/kg of a statin. Group 4 rats were given ribociclib treatment, alongside a daily dose of Vitamin E. Group 5 rats were given daily doses of 5 mg/kg ribociclib and a 200 mg/kg extract of Moringa Olifera. Following the end of the experiment, all rats were terminated and the liver tissues wee excised and fixed in formalin for 24 hours, processed, and stained for CD3 using indirect immunoperoxidase stain. Liver tissues were examined microscopically and the expression level was evaluated employing Adope photoshop. The relationships between groups were computed by independent T test.</p><p><strong>Results: </strong>The study showed ribociclib caused hepatotoxicity of liver through the increased expression of CD3 in comparison to the control group. Treatment with statin and vitamin E lowered the expression of CD3, but this was not statistically significant (p>0.05), while the treatment with Moringa Olifera extract lowered significantly the expression of CD3 in the liver (p=0.043).</p><p><strong>Conclusion: </strong>Giving Statin, Vitamin E, or Moringa Olifera extract can protect the liver from the liver toxicity that ribociclib causes.</p>","PeriodicalId":7074,"journal":{"name":"Acta Informatica Medica","volume":"33 2","pages":"90-95"},"PeriodicalIF":0.0000,"publicationDate":"2025-01-01","publicationTypes":"Journal Article","fieldsOfStudy":null,"isOpenAccess":false,"openAccessPdf":"https://www.ncbi.nlm.nih.gov/pmc/articles/PMC12212283/pdf/","citationCount":"0","resultStr":"{\"title\":\"The Modulatory Effects of Statins, Vitamin E, and Moringa Oleifera Extract on CD3 Expression in Ribociclib-Induced Hepatotoxicity in Rats.\",\"authors\":\"Suha Khayri Ababneh, Alia Khwaldeh, Ali Ata Alsarhan, Israa Yousef, Ramadan Al-Shdefat, Aiman Shoiab, Sokiyna Ababneh\",\"doi\":\"10.5455/aim.2025.33.90-95\",\"DOIUrl\":null,\"url\":null,\"abstract\":\"<p><strong>Background: </strong>The use of Ribociclib leads to hepatotoxicity that may be evaluated by the presence of infiltrated CD3 cells.</p><p><strong>Objective: </strong>To evaluate the expression level of CD3 in the liver tissue of the control group and other groups exposed to Ribociclib and groups received Ribociclib and other treatments including vitamin E, statin, and and Moringa Olifera.</p><p><strong>Methods: </strong>This experiment utilized fifty adult male albino rats (9 - 10 weeks old). The rats were randomly assigned into five groups (N = 10). Rats in the Group 1 (control) were given 2 ml normal saline. Group 2 rats received 5 mg/kg of ribociclib, while Group 3 rats received the same dose of ribociclib in conjunction with a daily dose of 200 mg/kg of a statin. Group 4 rats were given ribociclib treatment, alongside a daily dose of Vitamin E. Group 5 rats were given daily doses of 5 mg/kg ribociclib and a 200 mg/kg extract of Moringa Olifera. Following the end of the experiment, all rats were terminated and the liver tissues wee excised and fixed in formalin for 24 hours, processed, and stained for CD3 using indirect immunoperoxidase stain. Liver tissues were examined microscopically and the expression level was evaluated employing Adope photoshop. The relationships between groups were computed by independent T test.</p><p><strong>Results: </strong>The study showed ribociclib caused hepatotoxicity of liver through the increased expression of CD3 in comparison to the control group. Treatment with statin and vitamin E lowered the expression of CD3, but this was not statistically significant (p>0.05), while the treatment with Moringa Olifera extract lowered significantly the expression of CD3 in the liver (p=0.043).</p><p><strong>Conclusion: </strong>Giving Statin, Vitamin E, or Moringa Olifera extract can protect the liver from the liver toxicity that ribociclib causes.</p>\",\"PeriodicalId\":7074,\"journal\":{\"name\":\"Acta Informatica Medica\",\"volume\":\"33 2\",\"pages\":\"90-95\"},\"PeriodicalIF\":0.0000,\"publicationDate\":\"2025-01-01\",\"publicationTypes\":\"Journal Article\",\"fieldsOfStudy\":null,\"isOpenAccess\":false,\"openAccessPdf\":\"https://www.ncbi.nlm.nih.gov/pmc/articles/PMC12212283/pdf/\",\"citationCount\":\"0\",\"resultStr\":null,\"platform\":\"Semanticscholar\",\"paperid\":null,\"PeriodicalName\":\"Acta Informatica Medica\",\"FirstCategoryId\":\"1085\",\"ListUrlMain\":\"https://doi.org/10.5455/aim.2025.33.90-95\",\"RegionNum\":0,\"RegionCategory\":null,\"ArticlePicture\":[],\"TitleCN\":null,\"AbstractTextCN\":null,\"PMCID\":null,\"EPubDate\":\"\",\"PubModel\":\"\",\"JCR\":\"Q2\",\"JCRName\":\"Medicine\",\"Score\":null,\"Total\":0}","platform":"Semanticscholar","paperid":null,"PeriodicalName":"Acta Informatica Medica","FirstCategoryId":"1085","ListUrlMain":"https://doi.org/10.5455/aim.2025.33.90-95","RegionNum":0,"RegionCategory":null,"ArticlePicture":[],"TitleCN":null,"AbstractTextCN":null,"PMCID":null,"EPubDate":"","PubModel":"","JCR":"Q2","JCRName":"Medicine","Score":null,"Total":0}
引用次数: 0

摘要

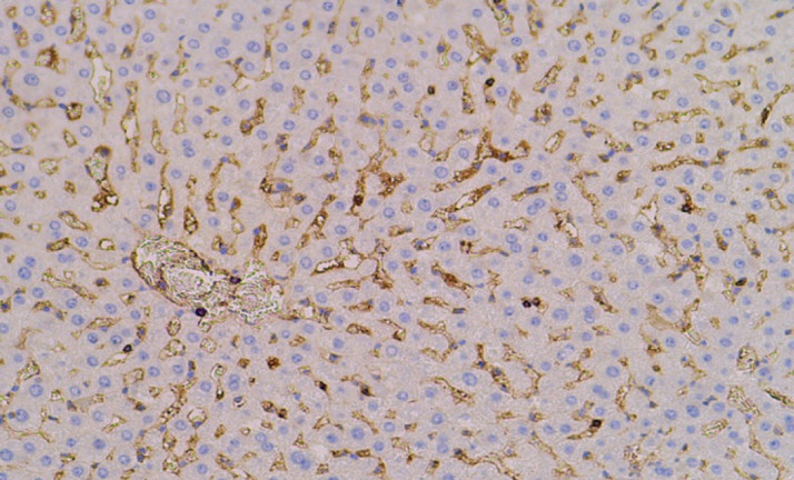
背景:使用Ribociclib可导致肝毒性,可通过CD3细胞浸润来评估。目的:评价核素西尼治疗组和对照组及核素西尼联合维生素E、他汀类药物、辣木治疗组肝组织中CD3的表达水平。方法:以成年雄性白化大鼠50只(9 ~ 10周龄)为实验对象。大鼠随机分为5组(N = 10)。1组大鼠(对照组)给予生理盐水2 ml。2组大鼠给予5 mg/kg的核糖素,3组大鼠给予相同剂量的核糖素,同时给予200 mg/kg的他汀类药物。第4组大鼠在给予每日剂量维生素e的同时给予核素环尼治疗,第5组大鼠每日剂量核素环尼5 mg/kg,辣木提取物200 mg/kg。实验结束后,所有大鼠均终止,切除肝组织,福尔马林固定24小时,处理后用间接免疫过氧化物酶染色CD3。显微镜下观察肝组织,采用adopephotoshop检测表达水平。组间关系采用独立T检验计算。结果:研究表明,与对照组相比,核糖环尼通过增加CD3的表达引起肝脏的肝毒性。他汀类药物和维生素E组降低了CD3的表达,但差异无统计学意义(p < 0.05),辣木提取物组显著降低了肝脏中CD3的表达(p=0.043)。结论:给予他汀类药物、维生素E或辣木提取物可保护肝脏免受核糖素引起的肝毒性。
本文章由计算机程序翻译,如有差异,请以英文原文为准。

The Modulatory Effects of Statins, Vitamin E, and Moringa Oleifera Extract on CD3 Expression in Ribociclib-Induced Hepatotoxicity in Rats.

The Modulatory Effects of Statins, Vitamin E, and Moringa Oleifera Extract on CD3 Expression in Ribociclib-Induced Hepatotoxicity in Rats.

The Modulatory Effects of Statins, Vitamin E, and Moringa Oleifera Extract on CD3 Expression in Ribociclib-Induced Hepatotoxicity in Rats.

The Modulatory Effects of Statins, Vitamin E, and Moringa Oleifera Extract on CD3 Expression in Ribociclib-Induced Hepatotoxicity in Rats.

Background: The use of Ribociclib leads to hepatotoxicity that may be evaluated by the presence of infiltrated CD3 cells.

Objective: To evaluate the expression level of CD3 in the liver tissue of the control group and other groups exposed to Ribociclib and groups received Ribociclib and other treatments including vitamin E, statin, and and Moringa Olifera.

Methods: This experiment utilized fifty adult male albino rats (9 - 10 weeks old). The rats were randomly assigned into five groups (N = 10). Rats in the Group 1 (control) were given 2 ml normal saline. Group 2 rats received 5 mg/kg of ribociclib, while Group 3 rats received the same dose of ribociclib in conjunction with a daily dose of 200 mg/kg of a statin. Group 4 rats were given ribociclib treatment, alongside a daily dose of Vitamin E. Group 5 rats were given daily doses of 5 mg/kg ribociclib and a 200 mg/kg extract of Moringa Olifera. Following the end of the experiment, all rats were terminated and the liver tissues wee excised and fixed in formalin for 24 hours, processed, and stained for CD3 using indirect immunoperoxidase stain. Liver tissues were examined microscopically and the expression level was evaluated employing Adope photoshop. The relationships between groups were computed by independent T test.

Results: The study showed ribociclib caused hepatotoxicity of liver through the increased expression of CD3 in comparison to the control group. Treatment with statin and vitamin E lowered the expression of CD3, but this was not statistically significant (p>0.05), while the treatment with Moringa Olifera extract lowered significantly the expression of CD3 in the liver (p=0.043).

Conclusion: Giving Statin, Vitamin E, or Moringa Olifera extract can protect the liver from the liver toxicity that ribociclib causes.

求助全文
通过发布文献求助,成功后即可免费获取论文全文。 去求助
来源期刊
Acta Informatica Medica
Acta Informatica Medica Medicine-Medicine (all)
CiteScore
2.90
自引率
0.00%
发文量
37
×
引用
GB/T 7714-2015
复制
MLA
复制
APA
复制
导出至
BibTeX EndNote RefMan NoteFirst NoteExpress
×
提示
您的信息不完整,为了账户安全,请先补充。
现在去补充
×
提示
您因"违规操作"
具体请查看互助需知
我知道了
×
提示
确定
请完成安全验证×
copy
已复制链接
快去分享给好友吧!
我知道了
右上角分享
点击右上角分享
0
联系我们:info@booksci.cn Book学术提供免费学术资源搜索服务,方便国内外学者检索中英文文献。致力于提供最便捷和优质的服务体验。 Copyright © 2023 布克学术 All rights reserved.
京ICP备2023020795号-1
ghs 京公网安备 11010802042870号
Book学术文献互助
Book学术文献互助群
群 号:604180095
Book学术官方微信