放疗治疗类固醇抵抗性甲状腺眼病的疗效:眼眶炎症和突出眼的临床结果。

Radiation oncology journal Pub Date : 2025-06-01 Epub Date: 2025-06-25 DOI:10.3857/roj.2025.00115
Junhee Park, Jeong Eun Lee
{"title":"放疗治疗类固醇抵抗性甲状腺眼病的疗效:眼眶炎症和突出眼的临床结果。","authors":"Junhee Park, Jeong Eun Lee","doi":"10.3857/roj.2025.00115","DOIUrl":null,"url":null,"abstract":"<p><strong>Purpose: </strong>This study aims to evaluate the efficacy of radiotherapy (RT) in patients with steroid-resistant thyroid eye disease (TED) by assessing clinical outcomes in orbital inflammation and exophthalmos.</p><p><strong>Materials and methods: </strong>Sixty-two patients with confirmed TED and resistance to intravenous steroid therapy were treated with RT. Most patients received intravenous methylprednisolone (500 mg weekly for 6 weeks, followed by 250 mg weekly for 6 weeks). After steroid treatment, patients underwent RT with a total dose of 20 Gy delivered in 10 fractions. Clinical parameters were assessed at five time points: initial presentation, post-intravenous steroid therapy, and 1, 6, and 12 months after RT. Inflammation was evaluated using clinical activity score (CAS). Exophthalmos was quantified through posterior scleral distance (PSD) measurements on computed tomography imaging. Statistical analysis involved repeated measures analysis of variance and Cohen's d effect size calculations.</p><p><strong>Results: </strong>CAS showed significant reduction from baseline (mean, 3.309) to 12 months post-RT (mean, 0.187), with the largest effect size observed between baseline and 12 months (Cohen's d = 10.88). PSD showed worsening after intravenous steroid therapy but gradually improved after RT, approaching baseline values at 12 months. Disease reactivation occurred in only two patients, and three required strabismus correction surgery. Minimal adverse events were reported during follow-up.</p><p><strong>Conclusion: </strong>RT demonstrated significant efficacy in treating steroid-resistant TED, with sustained improvements in both orbital inflammation and exophthalmos. These findings suggest RT as a viable alternative for patients unresponsive to steroid therapy, offering meaningful long-term clinical benefits with minimal adverse effects.</p>","PeriodicalId":94184,"journal":{"name":"Radiation oncology journal","volume":"43 2","pages":"88-98"},"PeriodicalIF":0.0000,"publicationDate":"2025-06-01","publicationTypes":"Journal Article","fieldsOfStudy":null,"isOpenAccess":false,"openAccessPdf":"https://www.ncbi.nlm.nih.gov/pmc/articles/PMC12215323/pdf/","citationCount":"0","resultStr":"{\"title\":\"The efficacy of radiotherapy for steroid-resistant thyroid eye disease: clinical outcomes in orbital inflammation and exophthalmos.\",\"authors\":\"Junhee Park, Jeong Eun Lee\",\"doi\":\"10.3857/roj.2025.00115\",\"DOIUrl\":null,\"url\":null,\"abstract\":\"<p><strong>Purpose: </strong>This study aims to evaluate the efficacy of radiotherapy (RT) in patients with steroid-resistant thyroid eye disease (TED) by assessing clinical outcomes in orbital inflammation and exophthalmos.</p><p><strong>Materials and methods: </strong>Sixty-two patients with confirmed TED and resistance to intravenous steroid therapy were treated with RT. Most patients received intravenous methylprednisolone (500 mg weekly for 6 weeks, followed by 250 mg weekly for 6 weeks). After steroid treatment, patients underwent RT with a total dose of 20 Gy delivered in 10 fractions. Clinical parameters were assessed at five time points: initial presentation, post-intravenous steroid therapy, and 1, 6, and 12 months after RT. Inflammation was evaluated using clinical activity score (CAS). Exophthalmos was quantified through posterior scleral distance (PSD) measurements on computed tomography imaging. Statistical analysis involved repeated measures analysis of variance and Cohen's d effect size calculations.</p><p><strong>Results: </strong>CAS showed significant reduction from baseline (mean, 3.309) to 12 months post-RT (mean, 0.187), with the largest effect size observed between baseline and 12 months (Cohen's d = 10.88). PSD showed worsening after intravenous steroid therapy but gradually improved after RT, approaching baseline values at 12 months. Disease reactivation occurred in only two patients, and three required strabismus correction surgery. Minimal adverse events were reported during follow-up.</p><p><strong>Conclusion: </strong>RT demonstrated significant efficacy in treating steroid-resistant TED, with sustained improvements in both orbital inflammation and exophthalmos. These findings suggest RT as a viable alternative for patients unresponsive to steroid therapy, offering meaningful long-term clinical benefits with minimal adverse effects.</p>\",\"PeriodicalId\":94184,\"journal\":{\"name\":\"Radiation oncology journal\",\"volume\":\"43 2\",\"pages\":\"88-98\"},\"PeriodicalIF\":0.0000,\"publicationDate\":\"2025-06-01\",\"publicationTypes\":\"Journal Article\",\"fieldsOfStudy\":null,\"isOpenAccess\":false,\"openAccessPdf\":\"https://www.ncbi.nlm.nih.gov/pmc/articles/PMC12215323/pdf/\",\"citationCount\":\"0\",\"resultStr\":null,\"platform\":\"Semanticscholar\",\"paperid\":null,\"PeriodicalName\":\"Radiation oncology journal\",\"FirstCategoryId\":\"1085\",\"ListUrlMain\":\"https://doi.org/10.3857/roj.2025.00115\",\"RegionNum\":0,\"RegionCategory\":null,\"ArticlePicture\":[],\"TitleCN\":null,\"AbstractTextCN\":null,\"PMCID\":null,\"EPubDate\":\"2025/6/25 0:00:00\",\"PubModel\":\"Epub\",\"JCR\":\"\",\"JCRName\":\"\",\"Score\":null,\"Total\":0}","platform":"Semanticscholar","paperid":null,"PeriodicalName":"Radiation oncology journal","FirstCategoryId":"1085","ListUrlMain":"https://doi.org/10.3857/roj.2025.00115","RegionNum":0,"RegionCategory":null,"ArticlePicture":[],"TitleCN":null,"AbstractTextCN":null,"PMCID":null,"EPubDate":"2025/6/25 0:00:00","PubModel":"Epub","JCR":"","JCRName":"","Score":null,"Total":0}
引用次数: 0

摘要

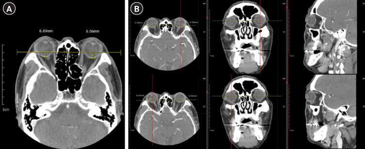
目的:本研究旨在通过评估眼眶炎症和突出眼的临床结局,评价放疗(RT)治疗类固醇抵抗性甲状腺眼病(TED)的疗效。材料与方法:62例确诊为TED且静脉类固醇治疗耐药的患者采用rt治疗,多数患者采用甲泼尼龙静脉注射(每周500 mg,连续6周,随后每周250 mg,连续6周)。类固醇治疗后,患者接受RT,总剂量为20 Gy,分10次递送。临床参数在五个时间点进行评估:初始表现,静脉注射类固醇治疗后,rt后1、6和12个月。使用临床活动评分(CAS)评估炎症。通过计算机断层成像测量后巩膜距离(PSD)来量化眼球突出。统计分析包括重复测量分析方差和科恩效应大小计算。结果:CAS显示从基线(平均3.309)到rt后12个月(平均0.187)显著降低,基线和12个月之间观察到最大的效应量(Cohen’s d = 10.88)。静脉类固醇治疗后PSD恶化,但在放疗后逐渐改善,在12个月时接近基线值。只有2例患者发生疾病再激活,其中3例需要斜视矫正手术。随访期间报告的不良事件最少。结论:RT治疗类固醇抵抗性TED疗效显著,眼窝炎症和眼球突出均有持续改善。这些研究结果表明,对于对类固醇治疗无反应的患者,RT是一种可行的替代方案,可以提供有意义的长期临床益处,副作用最小。
本文章由计算机程序翻译,如有差异,请以英文原文为准。

The efficacy of radiotherapy for steroid-resistant thyroid eye disease: clinical outcomes in orbital inflammation and exophthalmos.

The efficacy of radiotherapy for steroid-resistant thyroid eye disease: clinical outcomes in orbital inflammation and exophthalmos.

The efficacy of radiotherapy for steroid-resistant thyroid eye disease: clinical outcomes in orbital inflammation and exophthalmos.

The efficacy of radiotherapy for steroid-resistant thyroid eye disease: clinical outcomes in orbital inflammation and exophthalmos.

Purpose: This study aims to evaluate the efficacy of radiotherapy (RT) in patients with steroid-resistant thyroid eye disease (TED) by assessing clinical outcomes in orbital inflammation and exophthalmos.

Materials and methods: Sixty-two patients with confirmed TED and resistance to intravenous steroid therapy were treated with RT. Most patients received intravenous methylprednisolone (500 mg weekly for 6 weeks, followed by 250 mg weekly for 6 weeks). After steroid treatment, patients underwent RT with a total dose of 20 Gy delivered in 10 fractions. Clinical parameters were assessed at five time points: initial presentation, post-intravenous steroid therapy, and 1, 6, and 12 months after RT. Inflammation was evaluated using clinical activity score (CAS). Exophthalmos was quantified through posterior scleral distance (PSD) measurements on computed tomography imaging. Statistical analysis involved repeated measures analysis of variance and Cohen's d effect size calculations.

Results: CAS showed significant reduction from baseline (mean, 3.309) to 12 months post-RT (mean, 0.187), with the largest effect size observed between baseline and 12 months (Cohen's d = 10.88). PSD showed worsening after intravenous steroid therapy but gradually improved after RT, approaching baseline values at 12 months. Disease reactivation occurred in only two patients, and three required strabismus correction surgery. Minimal adverse events were reported during follow-up.

Conclusion: RT demonstrated significant efficacy in treating steroid-resistant TED, with sustained improvements in both orbital inflammation and exophthalmos. These findings suggest RT as a viable alternative for patients unresponsive to steroid therapy, offering meaningful long-term clinical benefits with minimal adverse effects.

求助全文
通过发布文献求助,成功后即可免费获取论文全文。 去求助
来源期刊
CiteScore
3.80
自引率
0.00%
发文量
0
×
引用
GB/T 7714-2015
复制
MLA
复制
APA
复制
导出至
BibTeX EndNote RefMan NoteFirst NoteExpress
×
提示
您的信息不完整,为了账户安全,请先补充。
现在去补充
×
提示
您因"违规操作"
具体请查看互助需知
我知道了
×
提示
确定
请完成安全验证×
copy
已复制链接
快去分享给好友吧!
我知道了
右上角分享
点击右上角分享
0
联系我们:info@booksci.cn Book学术提供免费学术资源搜索服务,方便国内外学者检索中英文文献。致力于提供最便捷和优质的服务体验。 Copyright © 2023 布克学术 All rights reserved.
京ICP备2023020795号-1
ghs 京公网安备 11010802042870号
Book学术文献互助
Book学术文献互助群
群 号:604180095
Book学术官方微信