使用手术指南放置微型支架治疗II类细分:1例2年随访报告。

IF 0.9 Q4 DENTISTRY, ORAL SURGERY & MEDICINE
Case Reports in Dentistry Pub Date : 2025-06-24 eCollection Date: 2025-01-01 DOI:10.1155/crid/3082753
Wenyong Liang
{"title":"使用手术指南放置微型支架治疗II类细分:1例2年随访报告。","authors":"Wenyong Liang","doi":"10.1155/crid/3082753","DOIUrl":null,"url":null,"abstract":"<p><p><b>Background:</b> Treatment of Class II subdivision can present a challenge for the clinician because of its asymmetry and possible midline deviation. This case report documents the use of a computer-aided design/computer-aided manufacturing (CAD/CAM) surgical guide for miniscrew placement in a Class II subdivision treatment. <b>Case Presentation:</b> A 17-year and 1-month-old female presented with a skeletal Class I relationship, but mild mandibular skeletal and dental midline shift to the right relative to the facial midline. A full-step Class II molar relationship on the right side and slight Class III molar relationship on the left side and a 4.0 mm deficiency of space in the maxillary were noticed. Using CAD/CAM technology, a surgical guide was designed virtually and 3D printed for predrilling. With the surgical guide, one ø1.3 mm twist drill was chosen to prepare a 4-5 mm deep hole in the alveolar process distobuccal to the maxillary right second premolar. A <i>ø</i>1.4 <i>mm</i> × 8.0 <i>mm</i> miniscrew was inserted into the prepared hole. With this miniscrew, the unilateral Class II relationship was corrected successfully by distalization of the unilateral maxillary dentition on the Class II side after 13 months of treatment. <b>Conclusion:</b> Application of CAD/CAM surgical guide is very helpful for placement of the miniscrew. Class II subdivision may be treated by distalizing unilateral maxillary dentition on the Class II side using the miniscrew.</p>","PeriodicalId":46841,"journal":{"name":"Case Reports in Dentistry","volume":"2025 ","pages":"3082753"},"PeriodicalIF":0.9000,"publicationDate":"2025-06-24","publicationTypes":"Journal Article","fieldsOfStudy":null,"isOpenAccess":false,"openAccessPdf":"https://www.ncbi.nlm.nih.gov/pmc/articles/PMC12213053/pdf/","citationCount":"0","resultStr":"{\"title\":\"The Use of the Surgical Guide for Placing Miniscrew in Treatment of Class II Subdivision: A Case Report With 2-Year Follow-Up.\",\"authors\":\"Wenyong Liang\",\"doi\":\"10.1155/crid/3082753\",\"DOIUrl\":null,\"url\":null,\"abstract\":\"<p><p><b>Background:</b> Treatment of Class II subdivision can present a challenge for the clinician because of its asymmetry and possible midline deviation. This case report documents the use of a computer-aided design/computer-aided manufacturing (CAD/CAM) surgical guide for miniscrew placement in a Class II subdivision treatment. <b>Case Presentation:</b> A 17-year and 1-month-old female presented with a skeletal Class I relationship, but mild mandibular skeletal and dental midline shift to the right relative to the facial midline. A full-step Class II molar relationship on the right side and slight Class III molar relationship on the left side and a 4.0 mm deficiency of space in the maxillary were noticed. Using CAD/CAM technology, a surgical guide was designed virtually and 3D printed for predrilling. With the surgical guide, one ø1.3 mm twist drill was chosen to prepare a 4-5 mm deep hole in the alveolar process distobuccal to the maxillary right second premolar. A <i>ø</i>1.4 <i>mm</i> × 8.0 <i>mm</i> miniscrew was inserted into the prepared hole. With this miniscrew, the unilateral Class II relationship was corrected successfully by distalization of the unilateral maxillary dentition on the Class II side after 13 months of treatment. <b>Conclusion:</b> Application of CAD/CAM surgical guide is very helpful for placement of the miniscrew. Class II subdivision may be treated by distalizing unilateral maxillary dentition on the Class II side using the miniscrew.</p>\",\"PeriodicalId\":46841,\"journal\":{\"name\":\"Case Reports in Dentistry\",\"volume\":\"2025 \",\"pages\":\"3082753\"},\"PeriodicalIF\":0.9000,\"publicationDate\":\"2025-06-24\",\"publicationTypes\":\"Journal Article\",\"fieldsOfStudy\":null,\"isOpenAccess\":false,\"openAccessPdf\":\"https://www.ncbi.nlm.nih.gov/pmc/articles/PMC12213053/pdf/\",\"citationCount\":\"0\",\"resultStr\":null,\"platform\":\"Semanticscholar\",\"paperid\":null,\"PeriodicalName\":\"Case Reports in Dentistry\",\"FirstCategoryId\":\"1085\",\"ListUrlMain\":\"https://doi.org/10.1155/crid/3082753\",\"RegionNum\":0,\"RegionCategory\":null,\"ArticlePicture\":[],\"TitleCN\":null,\"AbstractTextCN\":null,\"PMCID\":null,\"EPubDate\":\"2025/1/1 0:00:00\",\"PubModel\":\"eCollection\",\"JCR\":\"Q4\",\"JCRName\":\"DENTISTRY, ORAL SURGERY & MEDICINE\",\"Score\":null,\"Total\":0}","platform":"Semanticscholar","paperid":null,"PeriodicalName":"Case Reports in Dentistry","FirstCategoryId":"1085","ListUrlMain":"https://doi.org/10.1155/crid/3082753","RegionNum":0,"RegionCategory":null,"ArticlePicture":[],"TitleCN":null,"AbstractTextCN":null,"PMCID":null,"EPubDate":"2025/1/1 0:00:00","PubModel":"eCollection","JCR":"Q4","JCRName":"DENTISTRY, ORAL SURGERY & MEDICINE","Score":null,"Total":0}
引用次数: 0

摘要

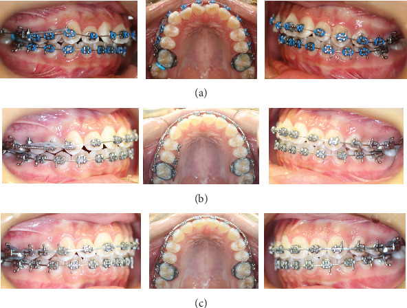
背景:II类细分由于其不对称和可能的中线偏离,对临床医生来说是一个挑战。本病例报告记录了在II类细分治疗中使用计算机辅助设计/计算机辅助制造(CAD/CAM)手术指南放置微型螺钉。病例介绍:一名17岁零1个月的女性,表现为骨骼I级关系,但下颌骨骼和牙齿中线相对于面部中线轻微右移。右侧有完整的II类磨牙关系,左侧有轻微的III类磨牙关系,上颌间隙不足4.0 mm。利用CAD/CAM技术,虚拟设计并3D打印手术导向器进行预钻。在手术指导下,选择一个ø1.3 mm麻花钻在上颌右第二前磨牙分布的牙槽突上准备一个4-5 mm深的孔。将一个ø1.4 mm × 8.0 mm的微型螺钉插入准备好的孔中。经过13个月的治疗,通过在II类侧的单侧上颌牙列远端化,成功矫正了单侧II类关系。结论:CAD/CAM手术指南的应用对置入微型支架有一定的帮助。II类细分可通过在II类侧使用微型支架远距单侧上颌牙列来治疗。
本文章由计算机程序翻译,如有差异,请以英文原文为准。

The Use of the Surgical Guide for Placing Miniscrew in Treatment of Class II Subdivision: A Case Report With 2-Year Follow-Up.

The Use of the Surgical Guide for Placing Miniscrew in Treatment of Class II Subdivision: A Case Report With 2-Year Follow-Up.

The Use of the Surgical Guide for Placing Miniscrew in Treatment of Class II Subdivision: A Case Report With 2-Year Follow-Up.

The Use of the Surgical Guide for Placing Miniscrew in Treatment of Class II Subdivision: A Case Report With 2-Year Follow-Up.

Background: Treatment of Class II subdivision can present a challenge for the clinician because of its asymmetry and possible midline deviation. This case report documents the use of a computer-aided design/computer-aided manufacturing (CAD/CAM) surgical guide for miniscrew placement in a Class II subdivision treatment. Case Presentation: A 17-year and 1-month-old female presented with a skeletal Class I relationship, but mild mandibular skeletal and dental midline shift to the right relative to the facial midline. A full-step Class II molar relationship on the right side and slight Class III molar relationship on the left side and a 4.0 mm deficiency of space in the maxillary were noticed. Using CAD/CAM technology, a surgical guide was designed virtually and 3D printed for predrilling. With the surgical guide, one ø1.3 mm twist drill was chosen to prepare a 4-5 mm deep hole in the alveolar process distobuccal to the maxillary right second premolar. A ø1.4 mm × 8.0 mm miniscrew was inserted into the prepared hole. With this miniscrew, the unilateral Class II relationship was corrected successfully by distalization of the unilateral maxillary dentition on the Class II side after 13 months of treatment. Conclusion: Application of CAD/CAM surgical guide is very helpful for placement of the miniscrew. Class II subdivision may be treated by distalizing unilateral maxillary dentition on the Class II side using the miniscrew.

求助全文
通过发布文献求助,成功后即可免费获取论文全文。 去求助
来源期刊
Case Reports in Dentistry
Case Reports in Dentistry DENTISTRY, ORAL SURGERY & MEDICINE-
CiteScore
1.40
自引率
12.50%
发文量
107
审稿时长
14 weeks
期刊介绍: Case Reports in Dentistry is a peer-reviewed, Open Access journal that publishes case reports and case series in all areas of dentistry, including periodontal diseases, dental implants, oral pathology, as well as oral and maxillofacial surgery.
×
引用
GB/T 7714-2015
复制
MLA
复制
APA
复制
导出至
BibTeX EndNote RefMan NoteFirst NoteExpress
×
提示
您的信息不完整,为了账户安全,请先补充。
现在去补充
×
提示
您因"违规操作"
具体请查看互助需知
我知道了
×
提示
确定
请完成安全验证×
copy
已复制链接
快去分享给好友吧!
我知道了
右上角分享
点击右上角分享
0
联系我们:info@booksci.cn Book学术提供免费学术资源搜索服务,方便国内外学者检索中英文文献。致力于提供最便捷和优质的服务体验。 Copyright © 2023 布克学术 All rights reserved.
京ICP备2023020795号-1
ghs 京公网安备 11010802042870号
Book学术文献互助
Book学术文献互助群
群 号:604180095
Book学术官方微信