ebv相关淋巴瘤的积液细胞学:简明回顾。

IF 2.8 Q2 HEMATOLOGY
Chih-Yi Liu, Yen-Chuan Hsieh, Sheng-Tsung Chang, Hung-Chang Wu, Shang-Wen Chen, Shih-Sung Chuang
{"title":"ebv相关淋巴瘤的积液细胞学:简明回顾。","authors":"Chih-Yi Liu, Yen-Chuan Hsieh, Sheng-Tsung Chang, Hung-Chang Wu, Shang-Wen Chen, Shih-Sung Chuang","doi":"10.1007/s44313-025-00088-0","DOIUrl":null,"url":null,"abstract":"<p><p>Epstein-Barr virus (EBV)-associated lymphomas can, on rare occasions, involve body cavities, making effusion cytology an important diagnostic tool. This mini-review explores the spectrum of EBV-related lymphomas that may be detected in serous fluids, including EBV-positive nodal T/NK-cell lymphoma (EBV + nT/NKCL), extranodal NK/T-cell lymphoma, primary effusion lymphoma, EBV-positive diffuse large B-cell lymphoma, and classic Hodgkin lymphoma. We present an index case of EBV + nT/NKCL with lymphomatous pleural effusion and discuss the cytologic features, differential diagnoses, and role of ancillary studies such as immunocytochemistry, EBER in situ hybridization, and molecular assays. Accurate diagnosis requires the integration of cytomorphologic, immunophenotypic, and molecular findings with clinical information to establish a definitive diagnosis and distinguish these aggressive lymphomas from reactive and non-hematologic mimics.</p>","PeriodicalId":46224,"journal":{"name":"Blood Research","volume":"60 1","pages":"37"},"PeriodicalIF":2.8000,"publicationDate":"2025-07-02","publicationTypes":"Journal Article","fieldsOfStudy":null,"isOpenAccess":false,"openAccessPdf":"https://www.ncbi.nlm.nih.gov/pmc/articles/PMC12222570/pdf/","citationCount":"0","resultStr":"{\"title\":\"Effusion cytology of EBV-associated lymphoma: a concise review.\",\"authors\":\"Chih-Yi Liu, Yen-Chuan Hsieh, Sheng-Tsung Chang, Hung-Chang Wu, Shang-Wen Chen, Shih-Sung Chuang\",\"doi\":\"10.1007/s44313-025-00088-0\",\"DOIUrl\":null,\"url\":null,\"abstract\":\"<p><p>Epstein-Barr virus (EBV)-associated lymphomas can, on rare occasions, involve body cavities, making effusion cytology an important diagnostic tool. This mini-review explores the spectrum of EBV-related lymphomas that may be detected in serous fluids, including EBV-positive nodal T/NK-cell lymphoma (EBV + nT/NKCL), extranodal NK/T-cell lymphoma, primary effusion lymphoma, EBV-positive diffuse large B-cell lymphoma, and classic Hodgkin lymphoma. We present an index case of EBV + nT/NKCL with lymphomatous pleural effusion and discuss the cytologic features, differential diagnoses, and role of ancillary studies such as immunocytochemistry, EBER in situ hybridization, and molecular assays. Accurate diagnosis requires the integration of cytomorphologic, immunophenotypic, and molecular findings with clinical information to establish a definitive diagnosis and distinguish these aggressive lymphomas from reactive and non-hematologic mimics.</p>\",\"PeriodicalId\":46224,\"journal\":{\"name\":\"Blood Research\",\"volume\":\"60 1\",\"pages\":\"37\"},\"PeriodicalIF\":2.8000,\"publicationDate\":\"2025-07-02\",\"publicationTypes\":\"Journal Article\",\"fieldsOfStudy\":null,\"isOpenAccess\":false,\"openAccessPdf\":\"https://www.ncbi.nlm.nih.gov/pmc/articles/PMC12222570/pdf/\",\"citationCount\":\"0\",\"resultStr\":null,\"platform\":\"Semanticscholar\",\"paperid\":null,\"PeriodicalName\":\"Blood Research\",\"FirstCategoryId\":\"1085\",\"ListUrlMain\":\"https://doi.org/10.1007/s44313-025-00088-0\",\"RegionNum\":0,\"RegionCategory\":null,\"ArticlePicture\":[],\"TitleCN\":null,\"AbstractTextCN\":null,\"PMCID\":null,\"EPubDate\":\"\",\"PubModel\":\"\",\"JCR\":\"Q2\",\"JCRName\":\"HEMATOLOGY\",\"Score\":null,\"Total\":0}","platform":"Semanticscholar","paperid":null,"PeriodicalName":"Blood Research","FirstCategoryId":"1085","ListUrlMain":"https://doi.org/10.1007/s44313-025-00088-0","RegionNum":0,"RegionCategory":null,"ArticlePicture":[],"TitleCN":null,"AbstractTextCN":null,"PMCID":null,"EPubDate":"","PubModel":"","JCR":"Q2","JCRName":"HEMATOLOGY","Score":null,"Total":0}
引用次数: 0

摘要

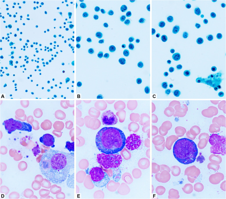
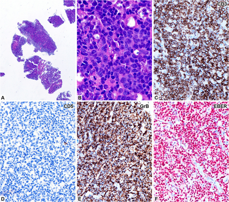
eb病毒(EBV)相关淋巴瘤在极少数情况下可累及体腔,这使得积液细胞学成为重要的诊断工具。本综述探讨了可在浆液中检测到的EBV相关淋巴瘤的谱,包括EBV阳性淋巴结T/NK细胞淋巴瘤(EBV + nT/NKCL)、结外NK/T细胞淋巴瘤、原发性积液淋巴瘤、EBV阳性弥漫性大b细胞淋巴瘤和经典霍奇金淋巴瘤。我们报告一例EBV + nT/NKCL合并淋巴瘤性胸腔积液的病例,并讨论其细胞学特征、鉴别诊断和辅助研究的作用,如免疫细胞化学、EBER原位杂交和分子检测。准确的诊断需要将细胞形态学、免疫表型和分子特征与临床信息相结合,以建立明确的诊断,并将这些侵袭性淋巴瘤与反应性和非血液学模拟瘤区分开来。
本文章由计算机程序翻译,如有差异,请以英文原文为准。

Effusion cytology of EBV-associated lymphoma: a concise review.

Effusion cytology of EBV-associated lymphoma: a concise review.

Effusion cytology of EBV-associated lymphoma: a concise review.

Effusion cytology of EBV-associated lymphoma: a concise review.

Epstein-Barr virus (EBV)-associated lymphomas can, on rare occasions, involve body cavities, making effusion cytology an important diagnostic tool. This mini-review explores the spectrum of EBV-related lymphomas that may be detected in serous fluids, including EBV-positive nodal T/NK-cell lymphoma (EBV + nT/NKCL), extranodal NK/T-cell lymphoma, primary effusion lymphoma, EBV-positive diffuse large B-cell lymphoma, and classic Hodgkin lymphoma. We present an index case of EBV + nT/NKCL with lymphomatous pleural effusion and discuss the cytologic features, differential diagnoses, and role of ancillary studies such as immunocytochemistry, EBER in situ hybridization, and molecular assays. Accurate diagnosis requires the integration of cytomorphologic, immunophenotypic, and molecular findings with clinical information to establish a definitive diagnosis and distinguish these aggressive lymphomas from reactive and non-hematologic mimics.

求助全文
通过发布文献求助,成功后即可免费获取论文全文。 去求助
来源期刊
Blood Research
Blood Research HEMATOLOGY-
CiteScore
3.70
自引率
0.00%
发文量
64
×
引用
GB/T 7714-2015
复制
MLA
复制
APA
复制
导出至
BibTeX EndNote RefMan NoteFirst NoteExpress
×
提示
您的信息不完整,为了账户安全,请先补充。
现在去补充
×
提示
您因"违规操作"
具体请查看互助需知
我知道了
×
提示
确定
请完成安全验证×
copy
已复制链接
快去分享给好友吧!
我知道了
右上角分享
点击右上角分享
0
联系我们:info@booksci.cn Book学术提供免费学术资源搜索服务,方便国内外学者检索中英文文献。致力于提供最便捷和优质的服务体验。 Copyright © 2023 布克学术 All rights reserved.
京ICP备2023020795号-1
ghs 京公网安备 11010802042870号
Book学术文献互助
Book学术文献互助群
群 号:604180095
Book学术官方微信