Cri du Chat综合征合并先天性髋膝脱位1例。

Q3 Medicine
Natã Nascimento de Jesus Graça, Maria Luiza Alessi Ribeiro, Márcio Luís Duarte
{"title":"Cri du Chat综合征合并先天性髋膝脱位1例。","authors":"Natã Nascimento de Jesus Graça, Maria Luiza Alessi Ribeiro, Márcio Luís Duarte","doi":"10.31053/1853.0605.v82.n2.45341","DOIUrl":null,"url":null,"abstract":"<p><strong>Introduction: </strong>Cri Du Chat Syndrome (CdCS) is an autosomal genetic disorder involving the complete or partial deletion of the short arm of chromosome 5 (5p). The size of the CdCS deletion ranges from approximately 10-45 Mb.</p><p><strong>Clinical case: </strong>Female patient, one year and three months old, presents hyperextension of the knees. On physical examination, the patient presents bilateral cleft palate, absence of soft palate, cleft lip and tracheostomy, positive Hart sign, negative Peter Bade sign and fixed retrocurved knees with limited range of motion. Radiographs reveal bilateral hip dislocation and knee dislocation. Karyotype analysis confirms the diagnosis of CdCS.</p><p><strong>Results: </strong>Surgery was performed to laterally release the knee joint capsule, lengthen the quadriceps tendon, capsuloplasty and closed reduction of the knee joint, followed by application of a co-pediatric plaster with knee flexion. After two months in a cast, physiotherapy was started. Approximately three months after surgery, the patient presented a healed surgical incision, full knee extension and almost complete flexion (100° flexion), in addition to a negative Lachmann test.</p><p><strong>Conclusion: </strong>The presence of multiple congenital anomalies constitutes an exceptionally unique clinical picture. It is crucial to emphasize that congenital dislocation of the hips and knees in this patient is particularly rare and has not been described in the medical literature among CdCS patients.</p>","PeriodicalId":38814,"journal":{"name":"Revista de la Facultad de Ciencias Medicas de Cordoba","volume":"82 2","pages":"399-408"},"PeriodicalIF":0.0000,"publicationDate":"2025-06-26","publicationTypes":"Journal Article","fieldsOfStudy":null,"isOpenAccess":false,"openAccessPdf":"https://www.ncbi.nlm.nih.gov/pmc/articles/PMC12455747/pdf/","citationCount":"0","resultStr":"{\"title\":\"Cri du Chat Syndrome and congenital dislocation of the hips and knees: case report.\",\"authors\":\"Natã Nascimento de Jesus Graça, Maria Luiza Alessi Ribeiro, Márcio Luís Duarte\",\"doi\":\"10.31053/1853.0605.v82.n2.45341\",\"DOIUrl\":null,\"url\":null,\"abstract\":\"<p><strong>Introduction: </strong>Cri Du Chat Syndrome (CdCS) is an autosomal genetic disorder involving the complete or partial deletion of the short arm of chromosome 5 (5p). The size of the CdCS deletion ranges from approximately 10-45 Mb.</p><p><strong>Clinical case: </strong>Female patient, one year and three months old, presents hyperextension of the knees. On physical examination, the patient presents bilateral cleft palate, absence of soft palate, cleft lip and tracheostomy, positive Hart sign, negative Peter Bade sign and fixed retrocurved knees with limited range of motion. Radiographs reveal bilateral hip dislocation and knee dislocation. Karyotype analysis confirms the diagnosis of CdCS.</p><p><strong>Results: </strong>Surgery was performed to laterally release the knee joint capsule, lengthen the quadriceps tendon, capsuloplasty and closed reduction of the knee joint, followed by application of a co-pediatric plaster with knee flexion. After two months in a cast, physiotherapy was started. Approximately three months after surgery, the patient presented a healed surgical incision, full knee extension and almost complete flexion (100° flexion), in addition to a negative Lachmann test.</p><p><strong>Conclusion: </strong>The presence of multiple congenital anomalies constitutes an exceptionally unique clinical picture. It is crucial to emphasize that congenital dislocation of the hips and knees in this patient is particularly rare and has not been described in the medical literature among CdCS patients.</p>\",\"PeriodicalId\":38814,\"journal\":{\"name\":\"Revista de la Facultad de Ciencias Medicas de Cordoba\",\"volume\":\"82 2\",\"pages\":\"399-408\"},\"PeriodicalIF\":0.0000,\"publicationDate\":\"2025-06-26\",\"publicationTypes\":\"Journal Article\",\"fieldsOfStudy\":null,\"isOpenAccess\":false,\"openAccessPdf\":\"https://www.ncbi.nlm.nih.gov/pmc/articles/PMC12455747/pdf/\",\"citationCount\":\"0\",\"resultStr\":null,\"platform\":\"Semanticscholar\",\"paperid\":null,\"PeriodicalName\":\"Revista de la Facultad de Ciencias Medicas de Cordoba\",\"FirstCategoryId\":\"1085\",\"ListUrlMain\":\"https://doi.org/10.31053/1853.0605.v82.n2.45341\",\"RegionNum\":0,\"RegionCategory\":null,\"ArticlePicture\":[],\"TitleCN\":null,\"AbstractTextCN\":null,\"PMCID\":null,\"EPubDate\":\"\",\"PubModel\":\"\",\"JCR\":\"Q3\",\"JCRName\":\"Medicine\",\"Score\":null,\"Total\":0}","platform":"Semanticscholar","paperid":null,"PeriodicalName":"Revista de la Facultad de Ciencias Medicas de Cordoba","FirstCategoryId":"1085","ListUrlMain":"https://doi.org/10.31053/1853.0605.v82.n2.45341","RegionNum":0,"RegionCategory":null,"ArticlePicture":[],"TitleCN":null,"AbstractTextCN":null,"PMCID":null,"EPubDate":"","PubModel":"","JCR":"Q3","JCRName":"Medicine","Score":null,"Total":0}
引用次数: 0

摘要

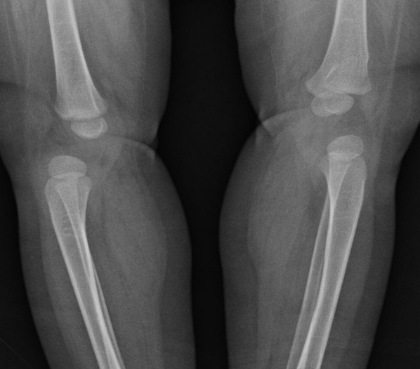
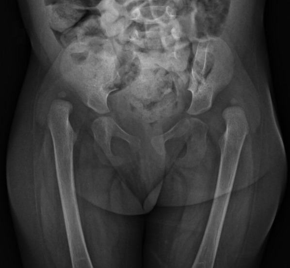
Cri Du Chat综合征(CdCS)是一种常染色体遗传疾病,涉及5号染色体短臂(5p)的完全或部分缺失。CdCS缺失的大小约为10- 45mb。临床病例:女性,1岁3个月大,表现为膝关节过伸。体格检查,患者表现为双侧腭裂、软腭缺失、唇裂、气管造口,Hart征阳性,Peter Bade征阴性,膝关节后弯固定,活动范围有限。x线片显示双侧髋关节脱位和膝关节脱位。核型分析证实了CdCS的诊断。结果:手术向外侧释放膝关节囊,延长股四头肌肌腱,囊成形术和膝关节闭合复位,随后应用联合儿童石膏膝关节屈曲。打了两个月石膏后,我开始了物理治疗。术后约3个月,患者手术切口愈合,膝关节完全伸直,几乎完全屈曲(100°屈曲),Lachmann试验阴性。结论:多发先天性畸形的存在构成了一种异常独特的临床表现。需要强调的是,该患者的先天性髋关节和膝关节脱位特别罕见,在cdc患者的医学文献中未见描述。
本文章由计算机程序翻译,如有差异,请以英文原文为准。

Cri du Chat Syndrome and congenital dislocation of the hips and knees: case report.

Cri du Chat Syndrome and congenital dislocation of the hips and knees: case report.

Cri du Chat Syndrome and congenital dislocation of the hips and knees: case report.

Cri du Chat Syndrome and congenital dislocation of the hips and knees: case report.

Introduction: Cri Du Chat Syndrome (CdCS) is an autosomal genetic disorder involving the complete or partial deletion of the short arm of chromosome 5 (5p). The size of the CdCS deletion ranges from approximately 10-45 Mb.

Clinical case: Female patient, one year and three months old, presents hyperextension of the knees. On physical examination, the patient presents bilateral cleft palate, absence of soft palate, cleft lip and tracheostomy, positive Hart sign, negative Peter Bade sign and fixed retrocurved knees with limited range of motion. Radiographs reveal bilateral hip dislocation and knee dislocation. Karyotype analysis confirms the diagnosis of CdCS.

Results: Surgery was performed to laterally release the knee joint capsule, lengthen the quadriceps tendon, capsuloplasty and closed reduction of the knee joint, followed by application of a co-pediatric plaster with knee flexion. After two months in a cast, physiotherapy was started. Approximately three months after surgery, the patient presented a healed surgical incision, full knee extension and almost complete flexion (100° flexion), in addition to a negative Lachmann test.

Conclusion: The presence of multiple congenital anomalies constitutes an exceptionally unique clinical picture. It is crucial to emphasize that congenital dislocation of the hips and knees in this patient is particularly rare and has not been described in the medical literature among CdCS patients.

求助全文
通过发布文献求助,成功后即可免费获取论文全文。 去求助
来源期刊
CiteScore
1.60
自引率
0.00%
发文量
60
审稿时长
20 weeks
期刊介绍: The Journal of the Faculty of Medical Sciences is a scientific publication of the Secretariat of Science and Technology of the Faculty of Medical Sciences of the National University of Cordoba. Its objective is to disseminate and promote research work related to Medical and Biological Sciences. It publishes scientific works of national and international professionals on different topics related to health sciences from the field of medicine, nursing, kinesiology, diagnostic imaging, phonoaudiology, nutrition, public health, chemical sciences, dentistry and related.
×
引用
GB/T 7714-2015
复制
MLA
复制
APA
复制
导出至
BibTeX EndNote RefMan NoteFirst NoteExpress
×
提示
您的信息不完整,为了账户安全,请先补充。
现在去补充
×
提示
您因"违规操作"
具体请查看互助需知
我知道了
×
提示
确定
请完成安全验证×
copy
已复制链接
快去分享给好友吧!
我知道了
右上角分享
点击右上角分享
0
联系我们:info@booksci.cn Book学术提供免费学术资源搜索服务,方便国内外学者检索中英文文献。致力于提供最便捷和优质的服务体验。 Copyright © 2023 布克学术 All rights reserved.
京ICP备2023020795号-1
ghs 京公网安备 11010802042870号
Book学术文献互助
Book学术文献互助群
群 号:604180095
Book学术官方微信