欧亚秃鹫(Buteo Buteo)的阴囊小四足虫:病理、系统发育和季节性。

IF 2 3区 医学 Q2 PARASITOLOGY
Katarzyna Anna Hołówka, Andrada Negoescu, Marian Taulescu, Angela Monica Ionică, Georgiana Deak, Andrei Daniel Mihalca, Călin Mircea Gherman
{"title":"欧亚秃鹫(Buteo Buteo)的阴囊小四足虫:病理、系统发育和季节性。","authors":"Katarzyna Anna Hołówka, Andrada Negoescu, Marian Taulescu, Angela Monica Ionică, Georgiana Deak, Andrei Daniel Mihalca, Călin Mircea Gherman","doi":"10.1007/s00436-025-08517-w","DOIUrl":null,"url":null,"abstract":"<p><p>Microtetrameres cloacitectus is a nematode of the family Tetrameridae Travassos, 1914, parasitising the proventricular glands of diurnal raptors. First described by Oschmarin (1956) from the Eurasian buzzard (Buteo buteo) in Primorsky Krai, Russia, it has since been reported in several raptor species. Between 2017 and 2024, 88 deceased Eurasian buzzards were collected from various regions in Romania. For each specimen, GPS coordinates, sex, and age were recorded, and full parasitological necropsies were performed. One individual (over three-year-old male found as roadkill in Tureni, Cluj County, Northwestern Romania) had Microtetrameres-like nematodes; a section of its proventriculus was preserved in 10% formalin for histopathological examination. In the remaining positive cases, nematodes were preserved in ethanol for molecular analyses and in 4% formalin for morphological identification. Overall, 25 buzzards were infected with M. cloacitectus, resulting in a prevalence of 28.4% (95% CI 20.0-38.6%). A total of 779 specimens (464♀, 315♂) were recovered, with an intensity range of 1-316 parasites (mean = 31.2). Infections showed a seasonal pattern, peaking in summer, and were more frequent in birds over 2 years old. Molecular analysis yielded a novel cox1 sequence and revealed new phylogenetic relationships. Histopathology revealed multifocal glandular distention and inflammatory nodules centred on parasites. This study provides the first comprehensive parasitological, molecular, and histopathological characterisation of M. cloacitectus in Romania.</p>","PeriodicalId":19968,"journal":{"name":"Parasitology Research","volume":"124 7","pages":"74"},"PeriodicalIF":2.0000,"publicationDate":"2025-07-02","publicationTypes":"Journal Article","fieldsOfStudy":null,"isOpenAccess":false,"openAccessPdf":"https://www.ncbi.nlm.nih.gov/pmc/articles/PMC12222378/pdf/","citationCount":"0","resultStr":"{\"title\":\"Microtetrameres cloacitectus in Eurasian buzzard (Buteo buteo): pathology, phylogenetics, and seasonality.\",\"authors\":\"Katarzyna Anna Hołówka, Andrada Negoescu, Marian Taulescu, Angela Monica Ionică, Georgiana Deak, Andrei Daniel Mihalca, Călin Mircea Gherman\",\"doi\":\"10.1007/s00436-025-08517-w\",\"DOIUrl\":null,\"url\":null,\"abstract\":\"<p><p>Microtetrameres cloacitectus is a nematode of the family Tetrameridae Travassos, 1914, parasitising the proventricular glands of diurnal raptors. First described by Oschmarin (1956) from the Eurasian buzzard (Buteo buteo) in Primorsky Krai, Russia, it has since been reported in several raptor species. Between 2017 and 2024, 88 deceased Eurasian buzzards were collected from various regions in Romania. For each specimen, GPS coordinates, sex, and age were recorded, and full parasitological necropsies were performed. One individual (over three-year-old male found as roadkill in Tureni, Cluj County, Northwestern Romania) had Microtetrameres-like nematodes; a section of its proventriculus was preserved in 10% formalin for histopathological examination. In the remaining positive cases, nematodes were preserved in ethanol for molecular analyses and in 4% formalin for morphological identification. Overall, 25 buzzards were infected with M. cloacitectus, resulting in a prevalence of 28.4% (95% CI 20.0-38.6%). A total of 779 specimens (464♀, 315♂) were recovered, with an intensity range of 1-316 parasites (mean = 31.2). Infections showed a seasonal pattern, peaking in summer, and were more frequent in birds over 2 years old. Molecular analysis yielded a novel cox1 sequence and revealed new phylogenetic relationships. Histopathology revealed multifocal glandular distention and inflammatory nodules centred on parasites. This study provides the first comprehensive parasitological, molecular, and histopathological characterisation of M. cloacitectus in Romania.</p>\",\"PeriodicalId\":19968,\"journal\":{\"name\":\"Parasitology Research\",\"volume\":\"124 7\",\"pages\":\"74\"},\"PeriodicalIF\":2.0000,\"publicationDate\":\"2025-07-02\",\"publicationTypes\":\"Journal Article\",\"fieldsOfStudy\":null,\"isOpenAccess\":false,\"openAccessPdf\":\"https://www.ncbi.nlm.nih.gov/pmc/articles/PMC12222378/pdf/\",\"citationCount\":\"0\",\"resultStr\":null,\"platform\":\"Semanticscholar\",\"paperid\":null,\"PeriodicalName\":\"Parasitology Research\",\"FirstCategoryId\":\"3\",\"ListUrlMain\":\"https://doi.org/10.1007/s00436-025-08517-w\",\"RegionNum\":3,\"RegionCategory\":\"医学\",\"ArticlePicture\":[],\"TitleCN\":null,\"AbstractTextCN\":null,\"PMCID\":null,\"EPubDate\":\"\",\"PubModel\":\"\",\"JCR\":\"Q2\",\"JCRName\":\"PARASITOLOGY\",\"Score\":null,\"Total\":0}","platform":"Semanticscholar","paperid":null,"PeriodicalName":"Parasitology Research","FirstCategoryId":"3","ListUrlMain":"https://doi.org/10.1007/s00436-025-08517-w","RegionNum":3,"RegionCategory":"医学","ArticlePicture":[],"TitleCN":null,"AbstractTextCN":null,"PMCID":null,"EPubDate":"","PubModel":"","JCR":"Q2","JCRName":"PARASITOLOGY","Score":null,"Total":0}
引用次数: 0

摘要

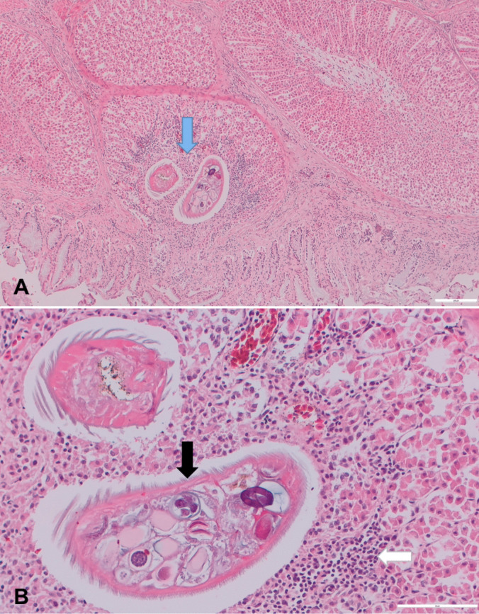
cloacitectus是四虫科的一种线虫,寄生于昼行性猛禽的前脑室腺。Oschmarin(1956)首先在俄罗斯滨海边疆区的欧亚秃鹰(Buteo Buteo)中描述了它,此后在几种猛禽物种中也有报道。2017年至2024年间,在罗马尼亚的不同地区收集了88只死去的欧亚秃鹫。记录每个标本的GPS坐标、性别和年龄,并进行完整的寄生虫学尸检。其中一人(在罗马尼亚西北部克卢日县的图雷尼被发现的三岁以上的男性被路杀)有类似小四虫的线虫;其前脑室切片保存在10%福尔马林中进行组织病理学检查。在其余阳性病例中,将线虫保存在乙醇中进行分子分析,并在4%福尔马林中进行形态学鉴定。总共有25只秃鹰感染了阴囊支原体,患病率为28.4% (95% CI 20.0-38.6%)。共检获寄生虫779只(♀464只,♂315只),强度范围1 ~ 316只(平均31.2只)。感染呈季节性,在夏季达到高峰,在2岁以上的禽类中更为常见。分子分析得到了一个新的cox1序列,并揭示了新的系统发育关系。组织病理学显示多灶性腺体扩张和以寄生虫为中心的炎性结节。这项研究提供了罗马尼亚第一个全面的寄生虫学,分子和组织病理学特征。
本文章由计算机程序翻译,如有差异,请以英文原文为准。

Microtetrameres cloacitectus in Eurasian buzzard (Buteo buteo): pathology, phylogenetics, and seasonality.

Microtetrameres cloacitectus in Eurasian buzzard (Buteo buteo): pathology, phylogenetics, and seasonality.

Microtetrameres cloacitectus in Eurasian buzzard (Buteo buteo): pathology, phylogenetics, and seasonality.

Microtetrameres cloacitectus in Eurasian buzzard (Buteo buteo): pathology, phylogenetics, and seasonality.

Microtetrameres cloacitectus is a nematode of the family Tetrameridae Travassos, 1914, parasitising the proventricular glands of diurnal raptors. First described by Oschmarin (1956) from the Eurasian buzzard (Buteo buteo) in Primorsky Krai, Russia, it has since been reported in several raptor species. Between 2017 and 2024, 88 deceased Eurasian buzzards were collected from various regions in Romania. For each specimen, GPS coordinates, sex, and age were recorded, and full parasitological necropsies were performed. One individual (over three-year-old male found as roadkill in Tureni, Cluj County, Northwestern Romania) had Microtetrameres-like nematodes; a section of its proventriculus was preserved in 10% formalin for histopathological examination. In the remaining positive cases, nematodes were preserved in ethanol for molecular analyses and in 4% formalin for morphological identification. Overall, 25 buzzards were infected with M. cloacitectus, resulting in a prevalence of 28.4% (95% CI 20.0-38.6%). A total of 779 specimens (464♀, 315♂) were recovered, with an intensity range of 1-316 parasites (mean = 31.2). Infections showed a seasonal pattern, peaking in summer, and were more frequent in birds over 2 years old. Molecular analysis yielded a novel cox1 sequence and revealed new phylogenetic relationships. Histopathology revealed multifocal glandular distention and inflammatory nodules centred on parasites. This study provides the first comprehensive parasitological, molecular, and histopathological characterisation of M. cloacitectus in Romania.

求助全文
通过发布文献求助,成功后即可免费获取论文全文。 去求助
来源期刊
Parasitology Research
Parasitology Research 医学-寄生虫学
CiteScore
4.10
自引率
5.00%
发文量
346
审稿时长
6 months
期刊介绍: The journal Parasitology Research covers the latest developments in parasitology across a variety of disciplines, including biology, medicine and veterinary medicine. Among many topics discussed are chemotherapy and control of parasitic disease, and the relationship of host and parasite. Other coverage includes: Protozoology, Helminthology, Entomology; Morphology (incl. Pathomorphology, Ultrastructure); Biochemistry, Physiology including Pathophysiology; Parasite-Host-Relationships including Immunology and Host Specificity; life history, ecology and epidemiology; and Diagnosis, Chemotherapy and Control of Parasitic Diseases.
×
引用
GB/T 7714-2015
复制
MLA
复制
APA
复制
导出至
BibTeX EndNote RefMan NoteFirst NoteExpress
×
提示
您的信息不完整,为了账户安全,请先补充。
现在去补充
×
提示
您因"违规操作"
具体请查看互助需知
我知道了
×
提示
确定
请完成安全验证×
copy
已复制链接
快去分享给好友吧!
我知道了
右上角分享
点击右上角分享
0
联系我们:info@booksci.cn Book学术提供免费学术资源搜索服务,方便国内外学者检索中英文文献。致力于提供最便捷和优质的服务体验。 Copyright © 2023 布克学术 All rights reserved.
京ICP备2023020795号-1
ghs 京公网安备 11010802042870号
Book学术文献互助
Book学术文献互助群
群 号:604180095
Book学术官方微信