局部注射硫酸氢钠综合诊断和成功治疗输入性旧大陆皮肤利什曼病1例。

IF 2 3区 医学 Q2 PARASITOLOGY
Junzhu Xu, Xiujiao Xia, Zehu Liu
{"title":"局部注射硫酸氢钠综合诊断和成功治疗输入性旧大陆皮肤利什曼病1例。","authors":"Junzhu Xu, Xiujiao Xia, Zehu Liu","doi":"10.1007/s00436-025-08524-x","DOIUrl":null,"url":null,"abstract":"<p><p>This study presents the case of a 54-year-old woman, otherwise healthy, who presented with a 4-month history of red plaques with central ulceration, which had initially developed from painless papules. The lesions appeared on her right arm and trunk, two months after her travel to Morocco. Physical examination revealed a 7 cm × 5 cm red plaque with central ulceration and crusting on her right arm, along with papules and plaques on her trunk. Based on microbiological, histopathological, and PCR results, the patient was diagnosed with Old World cutaneous leishmaniasis. After receiving two sessions of intralesional pentavalent antimonial treatment, the patient was left with only a minor scar and experienced negligible side effects, except for moderate aching during therapy.</p>","PeriodicalId":19968,"journal":{"name":"Parasitology Research","volume":"124 7","pages":"75"},"PeriodicalIF":2.0000,"publicationDate":"2025-07-02","publicationTypes":"Journal Article","fieldsOfStudy":null,"isOpenAccess":false,"openAccessPdf":"https://www.ncbi.nlm.nih.gov/pmc/articles/PMC12222432/pdf/","citationCount":"0","resultStr":"{\"title\":\"Integrated diagnosis and successful treatment of imported old world cutaneous leishmaniasis with intralesional sodium stibogluconate in china: a case report.\",\"authors\":\"Junzhu Xu, Xiujiao Xia, Zehu Liu\",\"doi\":\"10.1007/s00436-025-08524-x\",\"DOIUrl\":null,\"url\":null,\"abstract\":\"<p><p>This study presents the case of a 54-year-old woman, otherwise healthy, who presented with a 4-month history of red plaques with central ulceration, which had initially developed from painless papules. The lesions appeared on her right arm and trunk, two months after her travel to Morocco. Physical examination revealed a 7 cm × 5 cm red plaque with central ulceration and crusting on her right arm, along with papules and plaques on her trunk. Based on microbiological, histopathological, and PCR results, the patient was diagnosed with Old World cutaneous leishmaniasis. After receiving two sessions of intralesional pentavalent antimonial treatment, the patient was left with only a minor scar and experienced negligible side effects, except for moderate aching during therapy.</p>\",\"PeriodicalId\":19968,\"journal\":{\"name\":\"Parasitology Research\",\"volume\":\"124 7\",\"pages\":\"75\"},\"PeriodicalIF\":2.0000,\"publicationDate\":\"2025-07-02\",\"publicationTypes\":\"Journal Article\",\"fieldsOfStudy\":null,\"isOpenAccess\":false,\"openAccessPdf\":\"https://www.ncbi.nlm.nih.gov/pmc/articles/PMC12222432/pdf/\",\"citationCount\":\"0\",\"resultStr\":null,\"platform\":\"Semanticscholar\",\"paperid\":null,\"PeriodicalName\":\"Parasitology Research\",\"FirstCategoryId\":\"3\",\"ListUrlMain\":\"https://doi.org/10.1007/s00436-025-08524-x\",\"RegionNum\":3,\"RegionCategory\":\"医学\",\"ArticlePicture\":[],\"TitleCN\":null,\"AbstractTextCN\":null,\"PMCID\":null,\"EPubDate\":\"\",\"PubModel\":\"\",\"JCR\":\"Q2\",\"JCRName\":\"PARASITOLOGY\",\"Score\":null,\"Total\":0}","platform":"Semanticscholar","paperid":null,"PeriodicalName":"Parasitology Research","FirstCategoryId":"3","ListUrlMain":"https://doi.org/10.1007/s00436-025-08524-x","RegionNum":3,"RegionCategory":"医学","ArticlePicture":[],"TitleCN":null,"AbstractTextCN":null,"PMCID":null,"EPubDate":"","PubModel":"","JCR":"Q2","JCRName":"PARASITOLOGY","Score":null,"Total":0}
引用次数: 0

摘要

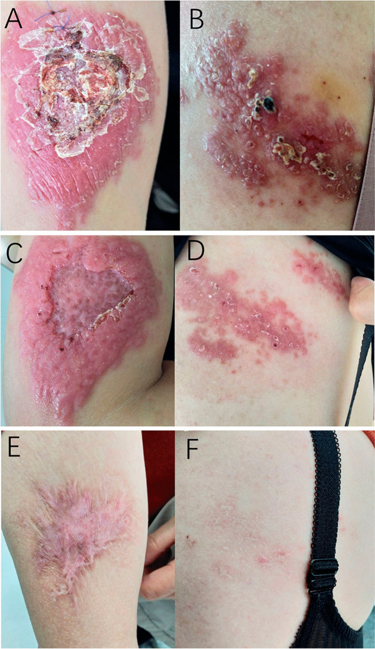
本研究报告了一名54岁的女性,其他方面健康,4个月的红色斑块伴中枢性溃疡史,最初由无痛丘疹发展而来。在她去摩洛哥旅行两个月后,她的右臂和躯干出现了病变。体格检查发现右臂有7厘米× 5厘米的红色斑块,中央性溃疡和结痂,躯干有丘疹和斑块。根据微生物学、组织病理学和PCR结果,患者被诊断为旧大陆皮肤利什曼病。在接受了两次局内五价锑治疗后,患者只留下了一个小疤痕,除了治疗期间的中度疼痛外,副作用可以忽略不计。
本文章由计算机程序翻译,如有差异,请以英文原文为准。

Integrated diagnosis and successful treatment of imported old world cutaneous leishmaniasis with intralesional sodium stibogluconate in china: a case report.

Integrated diagnosis and successful treatment of imported old world cutaneous leishmaniasis with intralesional sodium stibogluconate in china: a case report.

Integrated diagnosis and successful treatment of imported old world cutaneous leishmaniasis with intralesional sodium stibogluconate in china: a case report.

This study presents the case of a 54-year-old woman, otherwise healthy, who presented with a 4-month history of red plaques with central ulceration, which had initially developed from painless papules. The lesions appeared on her right arm and trunk, two months after her travel to Morocco. Physical examination revealed a 7 cm × 5 cm red plaque with central ulceration and crusting on her right arm, along with papules and plaques on her trunk. Based on microbiological, histopathological, and PCR results, the patient was diagnosed with Old World cutaneous leishmaniasis. After receiving two sessions of intralesional pentavalent antimonial treatment, the patient was left with only a minor scar and experienced negligible side effects, except for moderate aching during therapy.

求助全文
通过发布文献求助,成功后即可免费获取论文全文。 去求助
来源期刊
Parasitology Research
Parasitology Research 医学-寄生虫学
CiteScore
4.10
自引率
5.00%
发文量
346
审稿时长
6 months
期刊介绍: The journal Parasitology Research covers the latest developments in parasitology across a variety of disciplines, including biology, medicine and veterinary medicine. Among many topics discussed are chemotherapy and control of parasitic disease, and the relationship of host and parasite. Other coverage includes: Protozoology, Helminthology, Entomology; Morphology (incl. Pathomorphology, Ultrastructure); Biochemistry, Physiology including Pathophysiology; Parasite-Host-Relationships including Immunology and Host Specificity; life history, ecology and epidemiology; and Diagnosis, Chemotherapy and Control of Parasitic Diseases.
×
引用
GB/T 7714-2015
复制
MLA
复制
APA
复制
导出至
BibTeX EndNote RefMan NoteFirst NoteExpress
×
提示
您的信息不完整,为了账户安全,请先补充。
现在去补充
×
提示
您因"违规操作"
具体请查看互助需知
我知道了
×
提示
确定
请完成安全验证×
copy
已复制链接
快去分享给好友吧!
我知道了
右上角分享
点击右上角分享
0
联系我们:info@booksci.cn Book学术提供免费学术资源搜索服务,方便国内外学者检索中英文文献。致力于提供最便捷和优质的服务体验。 Copyright © 2023 布克学术 All rights reserved.
京ICP备2023020795号-1
ghs 京公网安备 11010802042870号
Book学术文献互助
Book学术文献互助群
群 号:604180095
Book学术官方微信