糖甙通过抑制小鼠模型巨噬细胞活化保护糖尿病肾损伤。

IF 3.4 3区 医学 Q2 ENDOCRINOLOGY & METABOLISM
Journal of Diabetes Research Pub Date : 2025-06-24 eCollection Date: 2025-01-01 DOI:10.1155/jdr/5291562
Fangyi Jiang, Xiaoli Huang, Man Yan, Jiajun Tan, Xueyun Dong, Xianhai Liu, Jiayuan He, Asmaa Ali, Min Chen, Leilei Zhang, Liang Wu, Pingping Wang
{"title":"糖甙通过抑制小鼠模型巨噬细胞活化保护糖尿病肾损伤。","authors":"Fangyi Jiang, Xiaoli Huang, Man Yan, Jiajun Tan, Xueyun Dong, Xianhai Liu, Jiayuan He, Asmaa Ali, Min Chen, Leilei Zhang, Liang Wu, Pingping Wang","doi":"10.1155/jdr/5291562","DOIUrl":null,"url":null,"abstract":"<p><p>Diabetic kidney injury is an almost unavoidable complication in diabetic patients. The activation of macrophages with high glucose in the patient's body is a key factor in triggering diabetic kidney disease (DKD). Mogrosides are commonly used sweeteners, but their effects on diabetic kidney injury are still unclear. This study used THP-1 cell models and diabetic mouse models to examine the impacts and pathways of mogrosides in inhibiting hyperglycemia-activated macrophages and alleviating kidney damage. This study used high glucose (33.3 mmol/L) to induce activation of macrophage-like THP-1 cells for studying the anti-inflammatory mechanism of mogrosides. At the same time, a diabetic mouse model was prepared using a high-fat diet and intraperitoneal injection of streptozotocin in order to further study the effects of mogrosides on alleviating symptoms of DKD. Mogrosides can suppress the activation of macrophages and kidney damage in diabetic mice, and this anti-inflammatory effect seems to be mediated through the NF-<i>κ</i>B/NLRP3/Caspase-1 axis in macrophages. Moreover, the metabolomic results revealed that the anti-inflammatory properties of mogrosides were associated with the modulation of glutamate metabolism and glycerophospholipid metabolism in macrophages. Our results indicated that supplementing diabetic patients with mogrosides may help inhibit inflammatory responses and prevent kidney damage.</p>","PeriodicalId":15576,"journal":{"name":"Journal of Diabetes Research","volume":"2025 ","pages":"5291562"},"PeriodicalIF":3.4000,"publicationDate":"2025-06-24","publicationTypes":"Journal Article","fieldsOfStudy":null,"isOpenAccess":false,"openAccessPdf":"https://www.ncbi.nlm.nih.gov/pmc/articles/PMC12213039/pdf/","citationCount":"0","resultStr":"{\"title\":\"Mogrosides Protect Against Diabetic Kidney Injury via Inhibiting Macrophage Activation in a Mouse Model.\",\"authors\":\"Fangyi Jiang, Xiaoli Huang, Man Yan, Jiajun Tan, Xueyun Dong, Xianhai Liu, Jiayuan He, Asmaa Ali, Min Chen, Leilei Zhang, Liang Wu, Pingping Wang\",\"doi\":\"10.1155/jdr/5291562\",\"DOIUrl\":null,\"url\":null,\"abstract\":\"<p><p>Diabetic kidney injury is an almost unavoidable complication in diabetic patients. The activation of macrophages with high glucose in the patient's body is a key factor in triggering diabetic kidney disease (DKD). Mogrosides are commonly used sweeteners, but their effects on diabetic kidney injury are still unclear. This study used THP-1 cell models and diabetic mouse models to examine the impacts and pathways of mogrosides in inhibiting hyperglycemia-activated macrophages and alleviating kidney damage. This study used high glucose (33.3 mmol/L) to induce activation of macrophage-like THP-1 cells for studying the anti-inflammatory mechanism of mogrosides. At the same time, a diabetic mouse model was prepared using a high-fat diet and intraperitoneal injection of streptozotocin in order to further study the effects of mogrosides on alleviating symptoms of DKD. Mogrosides can suppress the activation of macrophages and kidney damage in diabetic mice, and this anti-inflammatory effect seems to be mediated through the NF-<i>κ</i>B/NLRP3/Caspase-1 axis in macrophages. Moreover, the metabolomic results revealed that the anti-inflammatory properties of mogrosides were associated with the modulation of glutamate metabolism and glycerophospholipid metabolism in macrophages. Our results indicated that supplementing diabetic patients with mogrosides may help inhibit inflammatory responses and prevent kidney damage.</p>\",\"PeriodicalId\":15576,\"journal\":{\"name\":\"Journal of Diabetes Research\",\"volume\":\"2025 \",\"pages\":\"5291562\"},\"PeriodicalIF\":3.4000,\"publicationDate\":\"2025-06-24\",\"publicationTypes\":\"Journal Article\",\"fieldsOfStudy\":null,\"isOpenAccess\":false,\"openAccessPdf\":\"https://www.ncbi.nlm.nih.gov/pmc/articles/PMC12213039/pdf/\",\"citationCount\":\"0\",\"resultStr\":null,\"platform\":\"Semanticscholar\",\"paperid\":null,\"PeriodicalName\":\"Journal of Diabetes Research\",\"FirstCategoryId\":\"3\",\"ListUrlMain\":\"https://doi.org/10.1155/jdr/5291562\",\"RegionNum\":3,\"RegionCategory\":\"医学\",\"ArticlePicture\":[],\"TitleCN\":null,\"AbstractTextCN\":null,\"PMCID\":null,\"EPubDate\":\"2025/1/1 0:00:00\",\"PubModel\":\"eCollection\",\"JCR\":\"Q2\",\"JCRName\":\"ENDOCRINOLOGY & METABOLISM\",\"Score\":null,\"Total\":0}","platform":"Semanticscholar","paperid":null,"PeriodicalName":"Journal of Diabetes Research","FirstCategoryId":"3","ListUrlMain":"https://doi.org/10.1155/jdr/5291562","RegionNum":3,"RegionCategory":"医学","ArticlePicture":[],"TitleCN":null,"AbstractTextCN":null,"PMCID":null,"EPubDate":"2025/1/1 0:00:00","PubModel":"eCollection","JCR":"Q2","JCRName":"ENDOCRINOLOGY & METABOLISM","Score":null,"Total":0}
引用次数: 0

摘要

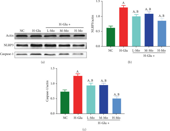
糖尿病肾损伤是糖尿病患者不可避免的并发症。患者体内高糖巨噬细胞的激活是引发糖尿病肾病(DKD)的关键因素。甜菊苷是常用的甜味剂,但其对糖尿病肾损伤的影响尚不清楚。本研究采用THP-1细胞模型和糖尿病小鼠模型,考察了甜苷在抑制高血糖活化巨噬细胞和减轻肾损害中的作用及其途径。本研究采用高糖(33.3 mmol/L)诱导巨噬细胞样THP-1细胞活化,研究甜苷的抗炎机制。同时,采用高脂饮食和腹腔注射链脲佐菌素制备糖尿病小鼠模型,进一步研究甜苷对DKD症状的缓解作用。甜苷可以抑制糖尿病小鼠巨噬细胞的活化和肾脏损伤,这种抗炎作用可能是通过巨噬细胞的NF-κB/NLRP3/Caspase-1轴介导的。此外,代谢组学结果显示,甜苷的抗炎特性与巨噬细胞中谷氨酸代谢和甘油磷脂代谢的调节有关。我们的研究结果表明,给糖尿病患者补充甜苷可能有助于抑制炎症反应,防止肾脏损害。
本文章由计算机程序翻译,如有差异,请以英文原文为准。

Mogrosides Protect Against Diabetic Kidney Injury via Inhibiting Macrophage Activation in a Mouse Model.

Mogrosides Protect Against Diabetic Kidney Injury via Inhibiting Macrophage Activation in a Mouse Model.

Mogrosides Protect Against Diabetic Kidney Injury via Inhibiting Macrophage Activation in a Mouse Model.

Mogrosides Protect Against Diabetic Kidney Injury via Inhibiting Macrophage Activation in a Mouse Model.

Diabetic kidney injury is an almost unavoidable complication in diabetic patients. The activation of macrophages with high glucose in the patient's body is a key factor in triggering diabetic kidney disease (DKD). Mogrosides are commonly used sweeteners, but their effects on diabetic kidney injury are still unclear. This study used THP-1 cell models and diabetic mouse models to examine the impacts and pathways of mogrosides in inhibiting hyperglycemia-activated macrophages and alleviating kidney damage. This study used high glucose (33.3 mmol/L) to induce activation of macrophage-like THP-1 cells for studying the anti-inflammatory mechanism of mogrosides. At the same time, a diabetic mouse model was prepared using a high-fat diet and intraperitoneal injection of streptozotocin in order to further study the effects of mogrosides on alleviating symptoms of DKD. Mogrosides can suppress the activation of macrophages and kidney damage in diabetic mice, and this anti-inflammatory effect seems to be mediated through the NF-κB/NLRP3/Caspase-1 axis in macrophages. Moreover, the metabolomic results revealed that the anti-inflammatory properties of mogrosides were associated with the modulation of glutamate metabolism and glycerophospholipid metabolism in macrophages. Our results indicated that supplementing diabetic patients with mogrosides may help inhibit inflammatory responses and prevent kidney damage.

求助全文
通过发布文献求助,成功后即可免费获取论文全文。 去求助
来源期刊
Journal of Diabetes Research
Journal of Diabetes Research ENDOCRINOLOGY & METABOLISM-MEDICINE, RESEARCH & EXPERIMENTAL
CiteScore
8.40
自引率
2.30%
发文量
152
审稿时长
14 weeks
期刊介绍: Journal of Diabetes Research is a peer-reviewed, Open Access journal that publishes research articles, review articles, and clinical studies related to type 1 and type 2 diabetes. The journal welcomes submissions focusing on the epidemiology, etiology, pathogenesis, management, and prevention of diabetes, as well as associated complications, such as diabetic retinopathy, neuropathy and nephropathy.
×
引用
GB/T 7714-2015
复制
MLA
复制
APA
复制
导出至
BibTeX EndNote RefMan NoteFirst NoteExpress
×
提示
您的信息不完整,为了账户安全,请先补充。
现在去补充
×
提示
您因"违规操作"
具体请查看互助需知
我知道了
×
提示
确定
请完成安全验证×
copy
已复制链接
快去分享给好友吧!
我知道了
右上角分享
点击右上角分享
0
联系我们:info@booksci.cn Book学术提供免费学术资源搜索服务,方便国内外学者检索中英文文献。致力于提供最便捷和优质的服务体验。 Copyright © 2023 布克学术 All rights reserved.
京ICP备2023020795号-1
ghs 京公网安备 11010802042870号
Book学术文献互助
Book学术文献互助群
群 号:604180095
Book学术官方微信