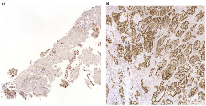
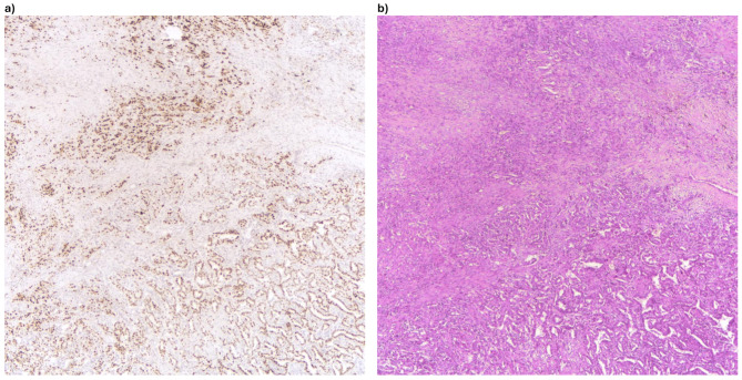
P53异常表达在肺多形性癌中普遍存在,是活检标本的敏感诊断辅助手段。

IF 2.3 3区 医学 Q2 PATHOLOGY
Joshua Jing Xi Li, Chit Chow, Joanna Ka Man Ng, Ka Pang Chan, Molly Siu Ching Li, Ka-Fai To
{"title":"P53异常表达在肺多形性癌中普遍存在,是活检标本的敏感诊断辅助手段。","authors":"Joshua Jing Xi Li, Chit Chow, Joanna Ka Man Ng, Ka Pang Chan, Molly Siu Ching Li, Ka-Fai To","doi":"10.1186/s13000-025-01677-4","DOIUrl":null,"url":null,"abstract":"","PeriodicalId":11237,"journal":{"name":"Diagnostic Pathology","volume":"20 1","pages":"78"},"PeriodicalIF":2.3000,"publicationDate":"2025-07-01","publicationTypes":"Journal Article","fieldsOfStudy":null,"isOpenAccess":false,"openAccessPdf":"https://www.ncbi.nlm.nih.gov/pmc/articles/PMC12219613/pdf/","citationCount":"0","resultStr":"{\"title\":\"p53 aberrant expression is pervasive in pleomorphic carcinomas of the lung and a sensitive diagnostic adjunct for biopsy specimens.\",\"authors\":\"Joshua Jing Xi Li, Chit Chow, Joanna Ka Man Ng, Ka Pang Chan, Molly Siu Ching Li, Ka-Fai To\",\"doi\":\"10.1186/s13000-025-01677-4\",\"DOIUrl\":null,\"url\":null,\"abstract\":\"\",\"PeriodicalId\":11237,\"journal\":{\"name\":\"Diagnostic Pathology\",\"volume\":\"20 1\",\"pages\":\"78\"},\"PeriodicalIF\":2.3000,\"publicationDate\":\"2025-07-01\",\"publicationTypes\":\"Journal Article\",\"fieldsOfStudy\":null,\"isOpenAccess\":false,\"openAccessPdf\":\"https://www.ncbi.nlm.nih.gov/pmc/articles/PMC12219613/pdf/\",\"citationCount\":\"0\",\"resultStr\":null,\"platform\":\"Semanticscholar\",\"paperid\":null,\"PeriodicalName\":\"Diagnostic Pathology\",\"FirstCategoryId\":\"3\",\"ListUrlMain\":\"https://doi.org/10.1186/s13000-025-01677-4\",\"RegionNum\":3,\"RegionCategory\":\"医学\",\"ArticlePicture\":[],\"TitleCN\":null,\"AbstractTextCN\":null,\"PMCID\":null,\"EPubDate\":\"\",\"PubModel\":\"\",\"JCR\":\"Q2\",\"JCRName\":\"PATHOLOGY\",\"Score\":null,\"Total\":0}","platform":"Semanticscholar","paperid":null,"PeriodicalName":"Diagnostic Pathology","FirstCategoryId":"3","ListUrlMain":"https://doi.org/10.1186/s13000-025-01677-4","RegionNum":3,"RegionCategory":"医学","ArticlePicture":[],"TitleCN":null,"AbstractTextCN":null,"PMCID":null,"EPubDate":"","PubModel":"","JCR":"Q2","JCRName":"PATHOLOGY","Score":null,"Total":0}
引用次数: 0

摘要

本文章由计算机程序翻译,如有差异,请以英文原文为准。

p53 aberrant expression is pervasive in pleomorphic carcinomas of the lung and a sensitive diagnostic adjunct for biopsy specimens.

p53 aberrant expression is pervasive in pleomorphic carcinomas of the lung and a sensitive diagnostic adjunct for biopsy specimens.

p53 aberrant expression is pervasive in pleomorphic carcinomas of the lung and a sensitive diagnostic adjunct for biopsy specimens.

p53 aberrant expression is pervasive in pleomorphic carcinomas of the lung and a sensitive diagnostic adjunct for biopsy specimens.
求助全文
通过发布文献求助,成功后即可免费获取论文全文。 去求助
来源期刊
Diagnostic Pathology
Diagnostic Pathology 医学-病理学
CiteScore
4.60
自引率
0.00%
发文量
93
审稿时长
1 months
期刊介绍: Diagnostic Pathology is an open access, peer-reviewed, online journal that considers research in surgical and clinical pathology, immunology, and biology, with a special focus on cutting-edge approaches in diagnostic pathology and tissue-based therapy. The journal covers all aspects of surgical pathology, including classic diagnostic pathology, prognosis-related diagnosis (tumor stages, prognosis markers, such as MIB-percentage, hormone receptors, etc.), and therapy-related findings. The journal also focuses on the technological aspects of pathology, including molecular biology techniques, morphometry aspects (stereology, DNA analysis, syntactic structure analysis), communication aspects (telecommunication, virtual microscopy, virtual pathology institutions, etc.), and electronic education and quality assurance (for example interactive publication, on-line references with automated updating, etc.).
×
引用
GB/T 7714-2015
复制
MLA
复制
APA
复制
导出至
BibTeX EndNote RefMan NoteFirst NoteExpress
×
提示
您的信息不完整,为了账户安全,请先补充。
现在去补充
×
提示
您因"违规操作"
具体请查看互助需知
我知道了
×
提示
确定
请完成安全验证×
copy
已复制链接
快去分享给好友吧!
我知道了
右上角分享
点击右上角分享
0
联系我们:info@booksci.cn Book学术提供免费学术资源搜索服务,方便国内外学者检索中英文文献。致力于提供最便捷和优质的服务体验。 Copyright © 2023 布克学术 All rights reserved.
京ICP备2023020795号-1
ghs 京公网安备 11010802042870号
Book学术文献互助
Book学术文献互助群
群 号:604180095
Book学术官方微信