阈值生长对LI-RADS诊断肝细胞癌的价值。

IF 3.5 2区 医学 Q2 ONCOLOGY
Jae Seok Bae, Jeong Min Lee, Jeong Hee Yoon, Jae Hyun Kim, Sun Kyung Jeon, Jeongin Yoo
{"title":"阈值生长对LI-RADS诊断肝细胞癌的价值。","authors":"Jae Seok Bae, Jeong Min Lee, Jeong Hee Yoon, Jae Hyun Kim, Sun Kyung Jeon, Jeongin Yoo","doi":"10.1186/s40644-025-00902-z","DOIUrl":null,"url":null,"abstract":"<p><strong>Background: </strong>The utility of threshold growth (TG) in hepatocellular carcinoma (HCC) imaging remains contentious across major guidelines. This study aimed to investigate the diagnostic implications of TG in HCC diagnosis using the criteria set by the Liver Imaging Reporting and Data System (LI-RADS).</p><p><strong>Methods: </strong>In this single-center retrospective study, three radiologists independently evaluated pre-transplantation hepatobiliary agent-enhanced MR images and prior CT/MR images using LI-RADS v2018 in consecutive patients who underwent liver transplantation between January 2010 and November 2022. TG was defined as a ≥ 50% size increase in ≤ 6 months. Explanted livers served as reference standards. Frequencies of TG between HCCs and non-HCCs were compared using Fisher's exact test, and interobserver agreement was assessed using Fleiss κ statistics. The diagnostic performance of LI-RADS category 5 in the diagnosis of HCC was assessed with and without considering TG as a major feature. McNemar tests were used to compare results.</p><p><strong>Results: </strong>The cohort included 158 patients (mean age, 59.1 ± 7.5 years; 130 males) with 280 observations (207 HCCs, 5 non-HCC malignancies, and 68 benign lesions). TG was identified in 44 (15.7%) observations. Interobserver agreement on TG was moderate (κ = 0.280). Incorporating TG as a major feature significantly enhanced the sensitivity of LI-RADS category 5 in diagnosing HCC (33.8% vs. 40.6%, p < 0.001) without compromising specificity (100.0% vs. 94.5%, p = 0.125).</p><p><strong>Conclusions: </strong>Incorporating TG as a major criterion in LI-RADS category 5 enhanced the diagnostic sensitivity for HCC in liver transplant candidates with minimal impact on specificity. However, TG demonstrated a variable interobserver agreement.</p><p><strong>Trial registration: </strong>Not applicable.</p>","PeriodicalId":9548,"journal":{"name":"Cancer Imaging","volume":"25 1","pages":"84"},"PeriodicalIF":3.5000,"publicationDate":"2025-07-01","publicationTypes":"Journal Article","fieldsOfStudy":null,"isOpenAccess":false,"openAccessPdf":"https://www.ncbi.nlm.nih.gov/pmc/articles/PMC12217194/pdf/","citationCount":"0","resultStr":"{\"title\":\"Value of threshold growth for the diagnosis of hepatocellular carcinoma using LI-RADS.\",\"authors\":\"Jae Seok Bae, Jeong Min Lee, Jeong Hee Yoon, Jae Hyun Kim, Sun Kyung Jeon, Jeongin Yoo\",\"doi\":\"10.1186/s40644-025-00902-z\",\"DOIUrl\":null,\"url\":null,\"abstract\":\"<p><strong>Background: </strong>The utility of threshold growth (TG) in hepatocellular carcinoma (HCC) imaging remains contentious across major guidelines. This study aimed to investigate the diagnostic implications of TG in HCC diagnosis using the criteria set by the Liver Imaging Reporting and Data System (LI-RADS).</p><p><strong>Methods: </strong>In this single-center retrospective study, three radiologists independently evaluated pre-transplantation hepatobiliary agent-enhanced MR images and prior CT/MR images using LI-RADS v2018 in consecutive patients who underwent liver transplantation between January 2010 and November 2022. TG was defined as a ≥ 50% size increase in ≤ 6 months. Explanted livers served as reference standards. Frequencies of TG between HCCs and non-HCCs were compared using Fisher's exact test, and interobserver agreement was assessed using Fleiss κ statistics. The diagnostic performance of LI-RADS category 5 in the diagnosis of HCC was assessed with and without considering TG as a major feature. McNemar tests were used to compare results.</p><p><strong>Results: </strong>The cohort included 158 patients (mean age, 59.1 ± 7.5 years; 130 males) with 280 observations (207 HCCs, 5 non-HCC malignancies, and 68 benign lesions). TG was identified in 44 (15.7%) observations. Interobserver agreement on TG was moderate (κ = 0.280). Incorporating TG as a major feature significantly enhanced the sensitivity of LI-RADS category 5 in diagnosing HCC (33.8% vs. 40.6%, p < 0.001) without compromising specificity (100.0% vs. 94.5%, p = 0.125).</p><p><strong>Conclusions: </strong>Incorporating TG as a major criterion in LI-RADS category 5 enhanced the diagnostic sensitivity for HCC in liver transplant candidates with minimal impact on specificity. However, TG demonstrated a variable interobserver agreement.</p><p><strong>Trial registration: </strong>Not applicable.</p>\",\"PeriodicalId\":9548,\"journal\":{\"name\":\"Cancer Imaging\",\"volume\":\"25 1\",\"pages\":\"84\"},\"PeriodicalIF\":3.5000,\"publicationDate\":\"2025-07-01\",\"publicationTypes\":\"Journal Article\",\"fieldsOfStudy\":null,\"isOpenAccess\":false,\"openAccessPdf\":\"https://www.ncbi.nlm.nih.gov/pmc/articles/PMC12217194/pdf/\",\"citationCount\":\"0\",\"resultStr\":null,\"platform\":\"Semanticscholar\",\"paperid\":null,\"PeriodicalName\":\"Cancer Imaging\",\"FirstCategoryId\":\"3\",\"ListUrlMain\":\"https://doi.org/10.1186/s40644-025-00902-z\",\"RegionNum\":2,\"RegionCategory\":\"医学\",\"ArticlePicture\":[],\"TitleCN\":null,\"AbstractTextCN\":null,\"PMCID\":null,\"EPubDate\":\"\",\"PubModel\":\"\",\"JCR\":\"Q2\",\"JCRName\":\"ONCOLOGY\",\"Score\":null,\"Total\":0}","platform":"Semanticscholar","paperid":null,"PeriodicalName":"Cancer Imaging","FirstCategoryId":"3","ListUrlMain":"https://doi.org/10.1186/s40644-025-00902-z","RegionNum":2,"RegionCategory":"医学","ArticlePicture":[],"TitleCN":null,"AbstractTextCN":null,"PMCID":null,"EPubDate":"","PubModel":"","JCR":"Q2","JCRName":"ONCOLOGY","Score":null,"Total":0}
引用次数: 0

摘要

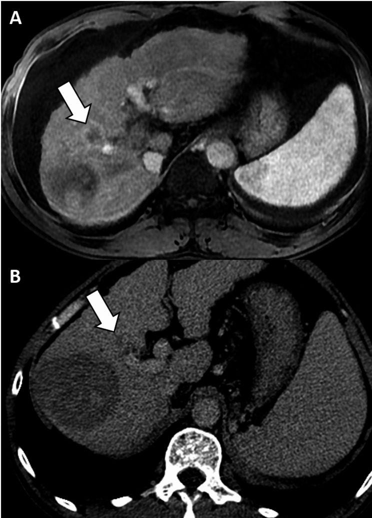
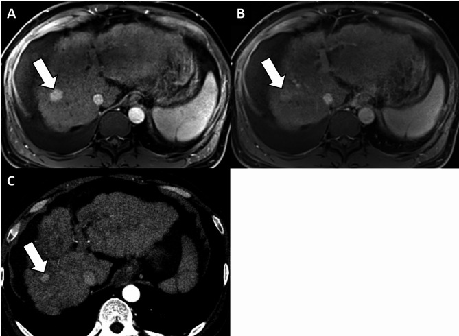
背景:阈值生长(TG)在肝细胞癌(HCC)成像中的应用在主要指南中仍然存在争议。本研究旨在探讨TG在肝成像报告和数据系统(LI-RADS)标准下肝癌诊断中的诊断意义。方法:在这项单中心回顾性研究中,三名放射科医生独立评估了2010年1月至2022年11月期间连续接受肝移植的患者的移植前肝胆剂增强MR图像和先前的CT/MR图像,使用LI-RADS v2018。TG定义为≥50%的尺寸增加≤6个月。肝脏作为参考标准。使用Fisher精确检验比较hcc和非hcc之间的TG频率,并使用Fleiss κ统计评估观察者间的一致性。在考虑TG为主要特征和不考虑TG为主要特征的情况下,评估LI-RADS第5类在HCC诊断中的诊断性能。麦克尼马尔试验用于比较结果。结果:纳入158例患者(平均年龄59.1±7.5岁;130例男性),280例观察(207例hcc, 5例非hcc恶性病变,68例良性病变)。有44例(15.7%)观察到TG。观察者间对TG的一致性为中等(κ = 0.280)。将TG作为主要特征可显著提高LI-RADS第5类诊断HCC的敏感性(33.8% vs. 40.6%)。结论:将TG作为LI-RADS第5类的主要标准可提高肝移植候选人HCC的诊断敏感性,对特异性影响最小。然而,TG显示了一个可变的观察者之间的协议。试验注册:不适用。
本文章由计算机程序翻译,如有差异,请以英文原文为准。

Value of threshold growth for the diagnosis of hepatocellular carcinoma using LI-RADS.

Value of threshold growth for the diagnosis of hepatocellular carcinoma using LI-RADS.

Value of threshold growth for the diagnosis of hepatocellular carcinoma using LI-RADS.

Value of threshold growth for the diagnosis of hepatocellular carcinoma using LI-RADS.

Background: The utility of threshold growth (TG) in hepatocellular carcinoma (HCC) imaging remains contentious across major guidelines. This study aimed to investigate the diagnostic implications of TG in HCC diagnosis using the criteria set by the Liver Imaging Reporting and Data System (LI-RADS).

Methods: In this single-center retrospective study, three radiologists independently evaluated pre-transplantation hepatobiliary agent-enhanced MR images and prior CT/MR images using LI-RADS v2018 in consecutive patients who underwent liver transplantation between January 2010 and November 2022. TG was defined as a ≥ 50% size increase in ≤ 6 months. Explanted livers served as reference standards. Frequencies of TG between HCCs and non-HCCs were compared using Fisher's exact test, and interobserver agreement was assessed using Fleiss κ statistics. The diagnostic performance of LI-RADS category 5 in the diagnosis of HCC was assessed with and without considering TG as a major feature. McNemar tests were used to compare results.

Results: The cohort included 158 patients (mean age, 59.1 ± 7.5 years; 130 males) with 280 observations (207 HCCs, 5 non-HCC malignancies, and 68 benign lesions). TG was identified in 44 (15.7%) observations. Interobserver agreement on TG was moderate (κ = 0.280). Incorporating TG as a major feature significantly enhanced the sensitivity of LI-RADS category 5 in diagnosing HCC (33.8% vs. 40.6%, p < 0.001) without compromising specificity (100.0% vs. 94.5%, p = 0.125).

Conclusions: Incorporating TG as a major criterion in LI-RADS category 5 enhanced the diagnostic sensitivity for HCC in liver transplant candidates with minimal impact on specificity. However, TG demonstrated a variable interobserver agreement.

Trial registration: Not applicable.

求助全文
通过发布文献求助,成功后即可免费获取论文全文。 去求助
来源期刊
Cancer Imaging
Cancer Imaging ONCOLOGY-RADIOLOGY, NUCLEAR MEDICINE & MEDICAL IMAGING
CiteScore
7.00
自引率
0.00%
发文量
66
审稿时长
>12 weeks
期刊介绍: Cancer Imaging is an open access, peer-reviewed journal publishing original articles, reviews and editorials written by expert international radiologists working in oncology. The journal encompasses CT, MR, PET, ultrasound, radionuclide and multimodal imaging in all kinds of malignant tumours, plus new developments, techniques and innovations. Topics of interest include: Breast Imaging Chest Complications of treatment Ear, Nose & Throat Gastrointestinal Hepatobiliary & Pancreatic Imaging biomarkers Interventional Lymphoma Measurement of tumour response Molecular functional imaging Musculoskeletal Neuro oncology Nuclear Medicine Paediatric.
×
引用
GB/T 7714-2015
复制
MLA
复制
APA
复制
导出至
BibTeX EndNote RefMan NoteFirst NoteExpress
×
提示
您的信息不完整,为了账户安全,请先补充。
现在去补充
×
提示
您因"违规操作"
具体请查看互助需知
我知道了
×
提示
确定
请完成安全验证×
copy
已复制链接
快去分享给好友吧!
我知道了
右上角分享
点击右上角分享
0
联系我们:info@booksci.cn Book学术提供免费学术资源搜索服务,方便国内外学者检索中英文文献。致力于提供最便捷和优质的服务体验。 Copyright © 2023 布克学术 All rights reserved.
京ICP备2023020795号-1
ghs 京公网安备 11010802042870号
Book学术文献互助
Book学术文献互助群
群 号:604180095
Book学术官方微信