药物致过敏反应表现为系统性毛细血管渗漏样综合征伴多浆液炎1例。

IF 2.5 Q3 RHEUMATOLOGY
Ninh Xuan Nguyen, Ngoc Tien Pham, Huong Thi Thanh Le, Quoc Viet Tran, Hang Ngoc Thuy Tran, An Thien Do
{"title":"药物致过敏反应表现为系统性毛细血管渗漏样综合征伴多浆液炎1例。","authors":"Ninh Xuan Nguyen, Ngoc Tien Pham, Huong Thi Thanh Le, Quoc Viet Tran, Hang Ngoc Thuy Tran, An Thien Do","doi":"10.1186/s41927-025-00535-6","DOIUrl":null,"url":null,"abstract":"<p><strong>Background: </strong>Systemic capillary leak syndrome (SCLS) is a rare disorder characterized by increased vascular permeability leading to third-spacing of fluids and protein. Drug-induced hypersensitivity reactions can mimic SCLS clinically and radiologically.</p><p><strong>Case presentation: </strong>A 42-year-old Vietnamese man developed abdominal distension, facial edema, and dyspnea after initiation of Helicobacter pylori eradication therapy. Imaging revealed pleural, pericardial, and peritoneal effusions, periportal edema, and interstitial pulmonary edema. Laboratory results showed hyponatremia, hypoalbuminemia, and mild anemia. Autoimmune screening revealed ANA positivity (1:80, speckled) and lupus anticoagulant, though extractable nuclear antigens were negative. The patient improved rapidly with corticosteroids and antihistamines.</p><p><strong>Conclusion: </strong>This case suggests a probable drug-induced systemic hypersensitivity reaction mimicking capillary leak syndrome, occurring in a patient with latent immune dysregulation. Awareness of this presentation may facilitate early recognition and appropriate immunomodulatory treatment while avoiding unnecessary interventions.</p>","PeriodicalId":9150,"journal":{"name":"BMC Rheumatology","volume":"9 1","pages":"74"},"PeriodicalIF":2.5000,"publicationDate":"2025-07-01","publicationTypes":"Journal Article","fieldsOfStudy":null,"isOpenAccess":false,"openAccessPdf":"https://www.ncbi.nlm.nih.gov/pmc/articles/PMC12220190/pdf/","citationCount":"0","resultStr":"{\"title\":\"Drug-induced hypersensitivity reaction presenting as systemic capillary leak-like syndrome with polyserositis: a case report.\",\"authors\":\"Ninh Xuan Nguyen, Ngoc Tien Pham, Huong Thi Thanh Le, Quoc Viet Tran, Hang Ngoc Thuy Tran, An Thien Do\",\"doi\":\"10.1186/s41927-025-00535-6\",\"DOIUrl\":null,\"url\":null,\"abstract\":\"<p><strong>Background: </strong>Systemic capillary leak syndrome (SCLS) is a rare disorder characterized by increased vascular permeability leading to third-spacing of fluids and protein. Drug-induced hypersensitivity reactions can mimic SCLS clinically and radiologically.</p><p><strong>Case presentation: </strong>A 42-year-old Vietnamese man developed abdominal distension, facial edema, and dyspnea after initiation of Helicobacter pylori eradication therapy. Imaging revealed pleural, pericardial, and peritoneal effusions, periportal edema, and interstitial pulmonary edema. Laboratory results showed hyponatremia, hypoalbuminemia, and mild anemia. Autoimmune screening revealed ANA positivity (1:80, speckled) and lupus anticoagulant, though extractable nuclear antigens were negative. The patient improved rapidly with corticosteroids and antihistamines.</p><p><strong>Conclusion: </strong>This case suggests a probable drug-induced systemic hypersensitivity reaction mimicking capillary leak syndrome, occurring in a patient with latent immune dysregulation. Awareness of this presentation may facilitate early recognition and appropriate immunomodulatory treatment while avoiding unnecessary interventions.</p>\",\"PeriodicalId\":9150,\"journal\":{\"name\":\"BMC Rheumatology\",\"volume\":\"9 1\",\"pages\":\"74\"},\"PeriodicalIF\":2.5000,\"publicationDate\":\"2025-07-01\",\"publicationTypes\":\"Journal Article\",\"fieldsOfStudy\":null,\"isOpenAccess\":false,\"openAccessPdf\":\"https://www.ncbi.nlm.nih.gov/pmc/articles/PMC12220190/pdf/\",\"citationCount\":\"0\",\"resultStr\":null,\"platform\":\"Semanticscholar\",\"paperid\":null,\"PeriodicalName\":\"BMC Rheumatology\",\"FirstCategoryId\":\"1085\",\"ListUrlMain\":\"https://doi.org/10.1186/s41927-025-00535-6\",\"RegionNum\":0,\"RegionCategory\":null,\"ArticlePicture\":[],\"TitleCN\":null,\"AbstractTextCN\":null,\"PMCID\":null,\"EPubDate\":\"\",\"PubModel\":\"\",\"JCR\":\"Q3\",\"JCRName\":\"RHEUMATOLOGY\",\"Score\":null,\"Total\":0}","platform":"Semanticscholar","paperid":null,"PeriodicalName":"BMC Rheumatology","FirstCategoryId":"1085","ListUrlMain":"https://doi.org/10.1186/s41927-025-00535-6","RegionNum":0,"RegionCategory":null,"ArticlePicture":[],"TitleCN":null,"AbstractTextCN":null,"PMCID":null,"EPubDate":"","PubModel":"","JCR":"Q3","JCRName":"RHEUMATOLOGY","Score":null,"Total":0}
引用次数: 0

摘要

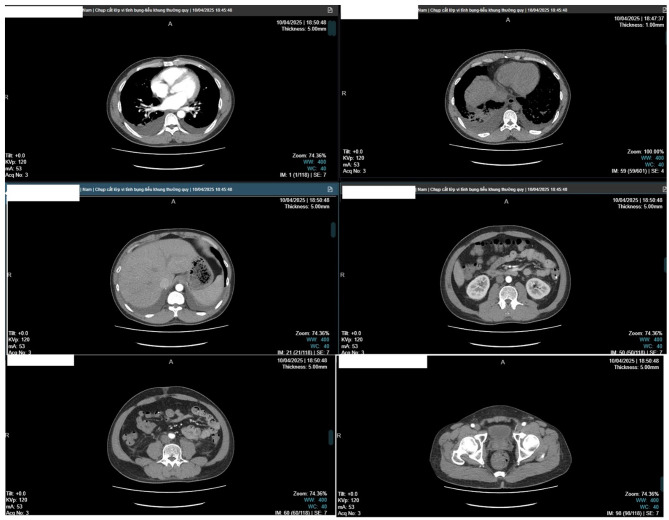
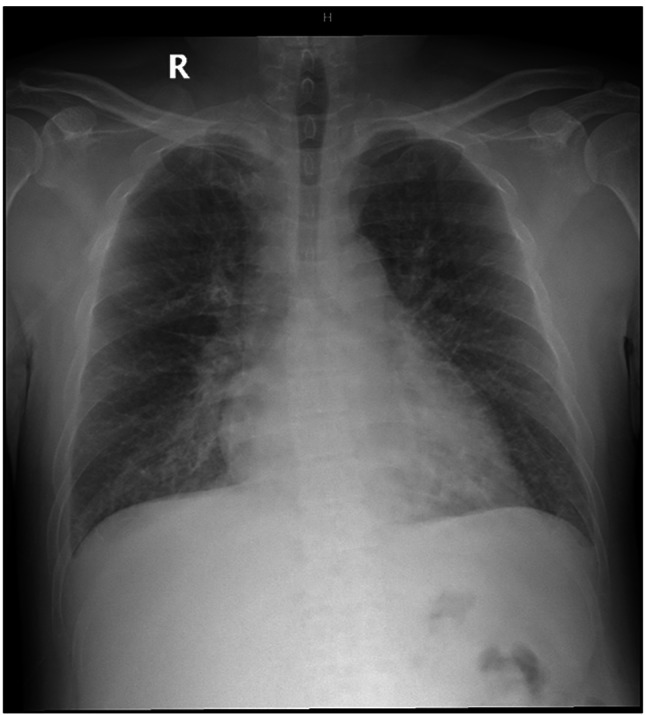
背景:系统性毛细血管渗漏综合征(SCLS)是一种罕见的疾病,其特征是血管通透性增加导致液体和蛋白质的第三间距。药物引起的超敏反应在临床和放射学上可以模拟scs。病例介绍:一名42岁越南男性在接受幽门螺杆菌根除治疗后出现腹胀、面部水肿和呼吸困难。影像显示胸膜、心包及腹膜积液、门静脉周围水肿及间质性肺水肿。实验室结果显示低钠血症、低白蛋白血症和轻度贫血。自身免疫筛查显示ANA阳性(1:80,斑点)和狼疮抗凝血,尽管可提取的核抗原为阴性。患者使用皮质类固醇和抗组胺药后病情迅速好转。结论:本病例提示潜在免疫失调患者可能存在类似毛细血管渗漏综合征的药物致全身超敏反应。意识到这种表现可能有助于早期识别和适当的免疫调节治疗,同时避免不必要的干预。
本文章由计算机程序翻译,如有差异,请以英文原文为准。

Drug-induced hypersensitivity reaction presenting as systemic capillary leak-like syndrome with polyserositis: a case report.

Drug-induced hypersensitivity reaction presenting as systemic capillary leak-like syndrome with polyserositis: a case report.

Drug-induced hypersensitivity reaction presenting as systemic capillary leak-like syndrome with polyserositis: a case report.

Drug-induced hypersensitivity reaction presenting as systemic capillary leak-like syndrome with polyserositis: a case report.

Background: Systemic capillary leak syndrome (SCLS) is a rare disorder characterized by increased vascular permeability leading to third-spacing of fluids and protein. Drug-induced hypersensitivity reactions can mimic SCLS clinically and radiologically.

Case presentation: A 42-year-old Vietnamese man developed abdominal distension, facial edema, and dyspnea after initiation of Helicobacter pylori eradication therapy. Imaging revealed pleural, pericardial, and peritoneal effusions, periportal edema, and interstitial pulmonary edema. Laboratory results showed hyponatremia, hypoalbuminemia, and mild anemia. Autoimmune screening revealed ANA positivity (1:80, speckled) and lupus anticoagulant, though extractable nuclear antigens were negative. The patient improved rapidly with corticosteroids and antihistamines.

Conclusion: This case suggests a probable drug-induced systemic hypersensitivity reaction mimicking capillary leak syndrome, occurring in a patient with latent immune dysregulation. Awareness of this presentation may facilitate early recognition and appropriate immunomodulatory treatment while avoiding unnecessary interventions.

求助全文
通过发布文献求助,成功后即可免费获取论文全文。 去求助
来源期刊
BMC Rheumatology
BMC Rheumatology Medicine-Rheumatology
CiteScore
3.80
自引率
0.00%
发文量
73
审稿时长
15 weeks
×
引用
GB/T 7714-2015
复制
MLA
复制
APA
复制
导出至
BibTeX EndNote RefMan NoteFirst NoteExpress
×
提示
您的信息不完整,为了账户安全,请先补充。
现在去补充
×
提示
您因"违规操作"
具体请查看互助需知
我知道了
×
提示
确定
请完成安全验证×
copy
已复制链接
快去分享给好友吧!
我知道了
右上角分享
点击右上角分享
0
联系我们:info@booksci.cn Book学术提供免费学术资源搜索服务,方便国内外学者检索中英文文献。致力于提供最便捷和优质的服务体验。 Copyright © 2023 布克学术 All rights reserved.
京ICP备2023020795号-1
ghs 京公网安备 11010802042870号
Book学术文献互助
Book学术文献互助群
群 号:604180095
Book学术官方微信