沙特市场品牌和仿制拉莫三嗪产品安全性和有效性的比较分析。

IF 2.7 3区 医学 Q2 PHARMACOLOGY & PHARMACY
Haya Alotaibi, Sarah Sulaiman Alenazi, Sarah Alrubia, Maria Arafah, Nourah Alzoman, Aliyah Almomen
{"title":"沙特市场品牌和仿制拉莫三嗪产品安全性和有效性的比较分析。","authors":"Haya Alotaibi, Sarah Sulaiman Alenazi, Sarah Alrubia, Maria Arafah, Nourah Alzoman, Aliyah Almomen","doi":"10.1186/s40360-025-00963-7","DOIUrl":null,"url":null,"abstract":"<p><strong>Background: </strong>Epilepsy is one of the most chronic neurological disorders worldwide. In 2023, the World Health Organization (WHO) estimates that approximately 50 million individuals globally would be affected by epilepsy. Furthermore, it was suggested that as many as 70% of patients could experience a life without seizure if they received appropriate treatment. Lamotrigine (LTG) is one of the newer antiepileptic drugs. It has been globally marketed under the name Lamictal<sup>00AE</sup>. Due to the increasing demand for transformation between brand and generic products, this study aims to evaluate the product safety and efficacy on liver enzymes, as well as the behavioral effects and pharmacokinetics of lamotrigine, specifically the brand Lamictal<sup>00AE</sup> and its generics available in the Saudi market.</p><p><strong>Methods: </strong>Male albino mice with an average weight of 24 g will be randomly divided into groups (n = 6) for pharmacokinetic study, liver enzyme analysis, and behavioral evaluation of brand Lamictal<sup>00AE</sup> and generics. One-way ANOVA and Bonferroni's post hoc test will be used to compare results in the different animal groups. Statistical significance p-values will be determined at P < 0.05.</p><p><strong>Results: </strong>The study found that generics had a significant difference PK parameters were compared to those of Lamictal<sup>00AE</sup>, which was mostly found in generics 1 and 2. Liver analysis revealed liver enzyme elevation in all generics compared to the brand Lamictal<sup>00AE</sup>, which was primarily pronounced in AST and GGT with generic 2, and an increase in ALT, ALP, and GGT was primarily found in generic 1. The behavioral study indicates higher seizure attacks in generics compared to the brand Lamictal<sup>00AE</sup>, with an increase in mortality rates mainly observed with generics 1 and 2.</p><p><strong>Conclusions: </strong>This research finds that there is a significant difference in safety and efficacy between brand and generic lamotrigine products in terms of liver enzyme tests, behavioral analysis, and PK parameters. Future studies to evaluate lamotrigine brand and generic drugs in humans are recommended.</p>","PeriodicalId":9023,"journal":{"name":"BMC Pharmacology & Toxicology","volume":"26 1","pages":"125"},"PeriodicalIF":2.7000,"publicationDate":"2025-07-01","publicationTypes":"Journal Article","fieldsOfStudy":null,"isOpenAccess":false,"openAccessPdf":"https://www.ncbi.nlm.nih.gov/pmc/articles/PMC12210708/pdf/","citationCount":"0","resultStr":"{\"title\":\"Comparative analysis of safety and efficacy between brand and generic lamotrigine products in the Saudi market.\",\"authors\":\"Haya Alotaibi, Sarah Sulaiman Alenazi, Sarah Alrubia, Maria Arafah, Nourah Alzoman, Aliyah Almomen\",\"doi\":\"10.1186/s40360-025-00963-7\",\"DOIUrl\":null,\"url\":null,\"abstract\":\"<p><strong>Background: </strong>Epilepsy is one of the most chronic neurological disorders worldwide. In 2023, the World Health Organization (WHO) estimates that approximately 50 million individuals globally would be affected by epilepsy. Furthermore, it was suggested that as many as 70% of patients could experience a life without seizure if they received appropriate treatment. Lamotrigine (LTG) is one of the newer antiepileptic drugs. It has been globally marketed under the name Lamictal<sup>00AE</sup>. Due to the increasing demand for transformation between brand and generic products, this study aims to evaluate the product safety and efficacy on liver enzymes, as well as the behavioral effects and pharmacokinetics of lamotrigine, specifically the brand Lamictal<sup>00AE</sup> and its generics available in the Saudi market.</p><p><strong>Methods: </strong>Male albino mice with an average weight of 24 g will be randomly divided into groups (n = 6) for pharmacokinetic study, liver enzyme analysis, and behavioral evaluation of brand Lamictal<sup>00AE</sup> and generics. One-way ANOVA and Bonferroni's post hoc test will be used to compare results in the different animal groups. Statistical significance p-values will be determined at P < 0.05.</p><p><strong>Results: </strong>The study found that generics had a significant difference PK parameters were compared to those of Lamictal<sup>00AE</sup>, which was mostly found in generics 1 and 2. Liver analysis revealed liver enzyme elevation in all generics compared to the brand Lamictal<sup>00AE</sup>, which was primarily pronounced in AST and GGT with generic 2, and an increase in ALT, ALP, and GGT was primarily found in generic 1. The behavioral study indicates higher seizure attacks in generics compared to the brand Lamictal<sup>00AE</sup>, with an increase in mortality rates mainly observed with generics 1 and 2.</p><p><strong>Conclusions: </strong>This research finds that there is a significant difference in safety and efficacy between brand and generic lamotrigine products in terms of liver enzyme tests, behavioral analysis, and PK parameters. Future studies to evaluate lamotrigine brand and generic drugs in humans are recommended.</p>\",\"PeriodicalId\":9023,\"journal\":{\"name\":\"BMC Pharmacology & Toxicology\",\"volume\":\"26 1\",\"pages\":\"125\"},\"PeriodicalIF\":2.7000,\"publicationDate\":\"2025-07-01\",\"publicationTypes\":\"Journal Article\",\"fieldsOfStudy\":null,\"isOpenAccess\":false,\"openAccessPdf\":\"https://www.ncbi.nlm.nih.gov/pmc/articles/PMC12210708/pdf/\",\"citationCount\":\"0\",\"resultStr\":null,\"platform\":\"Semanticscholar\",\"paperid\":null,\"PeriodicalName\":\"BMC Pharmacology & Toxicology\",\"FirstCategoryId\":\"3\",\"ListUrlMain\":\"https://doi.org/10.1186/s40360-025-00963-7\",\"RegionNum\":3,\"RegionCategory\":\"医学\",\"ArticlePicture\":[],\"TitleCN\":null,\"AbstractTextCN\":null,\"PMCID\":null,\"EPubDate\":\"\",\"PubModel\":\"\",\"JCR\":\"Q2\",\"JCRName\":\"PHARMACOLOGY & PHARMACY\",\"Score\":null,\"Total\":0}","platform":"Semanticscholar","paperid":null,"PeriodicalName":"BMC Pharmacology & Toxicology","FirstCategoryId":"3","ListUrlMain":"https://doi.org/10.1186/s40360-025-00963-7","RegionNum":3,"RegionCategory":"医学","ArticlePicture":[],"TitleCN":null,"AbstractTextCN":null,"PMCID":null,"EPubDate":"","PubModel":"","JCR":"Q2","JCRName":"PHARMACOLOGY & PHARMACY","Score":null,"Total":0}
引用次数: 0

摘要

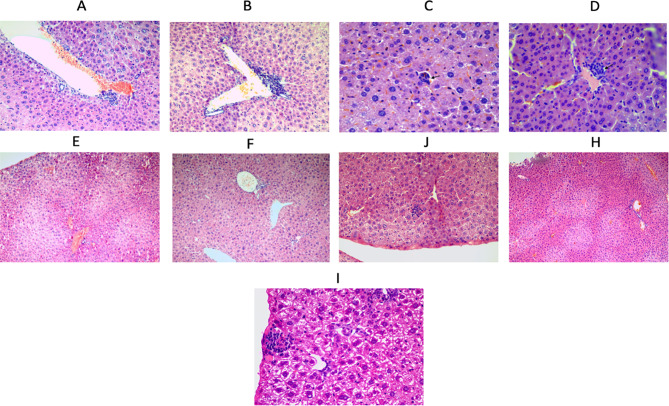
背景:癫痫是世界范围内最严重的慢性神经系统疾病之一。世界卫生组织(世卫组织)估计,到2023年,全球约有5000万人将受到癫痫的影响。此外,有人建议,如果接受适当的治疗,多达70%的患者可以在没有癫痫发作的情况下度过一生。拉莫三嗪(LTG)是一种较新的抗癫痫药物。它以Lamictal00AE的名称在全球销售。由于品牌与仿制药之间的转换需求日益增加,本研究旨在评估产品对肝酶的安全性和有效性,以及拉莫三嗪的行为效应和药代动力学,特别是在沙特市场上销售的品牌Lamictal00AE及其仿制药。方法:选取平均体重24 g的雄性白化小鼠,随机分为组(n = 6),分别进行Lamictal00AE品牌和仿制药的药代动力学研究、肝酶分析和行为评价。将使用单因素方差分析和Bonferroni事后检验来比较不同动物组的结果。结果:本研究发现仿制药与Lamictal00AE的PK参数存在显著差异,主要存在于仿制药1和2中。肝脏分析显示,与Lamictal00AE品牌相比,所有仿制药的肝酶均升高,其中仿制药2主要表现为AST和GGT升高,仿制药1主要表现为ALT、ALP和GGT升高。行为学研究表明,与Lamictal00AE品牌相比,仿制药的癫痫发作率更高,死亡率的增加主要体现在仿制药1和2上。结论:本研究发现品牌拉莫三嗪与仿制药在肝酶检测、行为分析、PK参数等方面的安全性和有效性均存在显著差异。建议今后进行拉莫三嗪品牌药和仿制药的研究。
本文章由计算机程序翻译,如有差异,请以英文原文为准。

Comparative analysis of safety and efficacy between brand and generic lamotrigine products in the Saudi market.

Comparative analysis of safety and efficacy between brand and generic lamotrigine products in the Saudi market.

Comparative analysis of safety and efficacy between brand and generic lamotrigine products in the Saudi market.

Comparative analysis of safety and efficacy between brand and generic lamotrigine products in the Saudi market.

Background: Epilepsy is one of the most chronic neurological disorders worldwide. In 2023, the World Health Organization (WHO) estimates that approximately 50 million individuals globally would be affected by epilepsy. Furthermore, it was suggested that as many as 70% of patients could experience a life without seizure if they received appropriate treatment. Lamotrigine (LTG) is one of the newer antiepileptic drugs. It has been globally marketed under the name Lamictal00AE. Due to the increasing demand for transformation between brand and generic products, this study aims to evaluate the product safety and efficacy on liver enzymes, as well as the behavioral effects and pharmacokinetics of lamotrigine, specifically the brand Lamictal00AE and its generics available in the Saudi market.

Methods: Male albino mice with an average weight of 24 g will be randomly divided into groups (n = 6) for pharmacokinetic study, liver enzyme analysis, and behavioral evaluation of brand Lamictal00AE and generics. One-way ANOVA and Bonferroni's post hoc test will be used to compare results in the different animal groups. Statistical significance p-values will be determined at P < 0.05.

Results: The study found that generics had a significant difference PK parameters were compared to those of Lamictal00AE, which was mostly found in generics 1 and 2. Liver analysis revealed liver enzyme elevation in all generics compared to the brand Lamictal00AE, which was primarily pronounced in AST and GGT with generic 2, and an increase in ALT, ALP, and GGT was primarily found in generic 1. The behavioral study indicates higher seizure attacks in generics compared to the brand Lamictal00AE, with an increase in mortality rates mainly observed with generics 1 and 2.

Conclusions: This research finds that there is a significant difference in safety and efficacy between brand and generic lamotrigine products in terms of liver enzyme tests, behavioral analysis, and PK parameters. Future studies to evaluate lamotrigine brand and generic drugs in humans are recommended.

求助全文
通过发布文献求助,成功后即可免费获取论文全文。 去求助
来源期刊
BMC Pharmacology & Toxicology
BMC Pharmacology & Toxicology PHARMACOLOGY & PHARMACYTOXICOLOGY&nb-TOXICOLOGY
CiteScore
4.80
自引率
0.00%
发文量
87
审稿时长
12 weeks
期刊介绍: BMC Pharmacology and Toxicology is an open access, peer-reviewed journal that considers articles on all aspects of chemically defined therapeutic and toxic agents. The journal welcomes submissions from all fields of experimental and clinical pharmacology including clinical trials and toxicology.
×
引用
GB/T 7714-2015
复制
MLA
复制
APA
复制
导出至
BibTeX EndNote RefMan NoteFirst NoteExpress
×
提示
您的信息不完整,为了账户安全,请先补充。
现在去补充
×
提示
您因"违规操作"
具体请查看互助需知
我知道了
×
提示
确定
请完成安全验证×
copy
已复制链接
快去分享给好友吧!
我知道了
右上角分享
点击右上角分享
0
联系我们:info@booksci.cn Book学术提供免费学术资源搜索服务,方便国内外学者检索中英文文献。致力于提供最便捷和优质的服务体验。 Copyright © 2023 布克学术 All rights reserved.
京ICP备2023020795号-1
ghs 京公网安备 11010802042870号
Book学术文献互助
Book学术文献互助群
群 号:604180095
Book学术官方微信