血管内碎石术治疗严重支架扩张不足。

IF 0.8 4区 医学 Q3 MEDICINE, GENERAL & INTERNAL
Dario Dilber, Igor Šesto, Janko Szavits-Nossan, Alan Jelić, Andrija Škopljanac Mačina, Krešimir Štambuk
{"title":"血管内碎石术治疗严重支架扩张不足。","authors":"Dario Dilber, Igor Šesto, Janko Szavits-Nossan, Alan Jelić, Andrija Škopljanac Mačina, Krešimir Štambuk","doi":"10.20471/acc.2024.63.s1.19","DOIUrl":null,"url":null,"abstract":"<p><p>Management of heavily calcified lesions during percutaneous coronary intervention (PCI) is often associated with a high incidence of complications and long-term adverse outcomes as the suboptimal coronary stent expansion due to calcified lesion is one of the strongest predictors of adverse outcomes. Shockwave intravascular lithotripsy (S-IVL) is a new technique used in the optimal debulking and preparation of severely calcified coronary artery stenoses, but there is few data on its efficacy in acute or postponed optimization of underexpanded stents. We report a case of a 66-year-old male patient with severe underlying calcification of LAD and a marked stent underexpansion after PCI of chronic total occlusion (CTO) due to a lack of adequate predilatation and postdilatation, where S-IVL was applied, resulting in excellent stent expansion. S-IVL could be considered for treating acute and late stent underexpansion caused by severe underlying calcification.</p>","PeriodicalId":7072,"journal":{"name":"Acta clinica Croatica","volume":"63 Suppl1","pages":"101-104"},"PeriodicalIF":0.8000,"publicationDate":"2024-03-01","publicationTypes":"Journal Article","fieldsOfStudy":null,"isOpenAccess":false,"openAccessPdf":"https://www.ncbi.nlm.nih.gov/pmc/articles/PMC12207885/pdf/","citationCount":"0","resultStr":"{\"title\":\"INTRAVASCULAR LITHOTRIPSY FOR SEVERE STENT UNDEREXPANSION.\",\"authors\":\"Dario Dilber, Igor Šesto, Janko Szavits-Nossan, Alan Jelić, Andrija Škopljanac Mačina, Krešimir Štambuk\",\"doi\":\"10.20471/acc.2024.63.s1.19\",\"DOIUrl\":null,\"url\":null,\"abstract\":\"<p><p>Management of heavily calcified lesions during percutaneous coronary intervention (PCI) is often associated with a high incidence of complications and long-term adverse outcomes as the suboptimal coronary stent expansion due to calcified lesion is one of the strongest predictors of adverse outcomes. Shockwave intravascular lithotripsy (S-IVL) is a new technique used in the optimal debulking and preparation of severely calcified coronary artery stenoses, but there is few data on its efficacy in acute or postponed optimization of underexpanded stents. We report a case of a 66-year-old male patient with severe underlying calcification of LAD and a marked stent underexpansion after PCI of chronic total occlusion (CTO) due to a lack of adequate predilatation and postdilatation, where S-IVL was applied, resulting in excellent stent expansion. S-IVL could be considered for treating acute and late stent underexpansion caused by severe underlying calcification.</p>\",\"PeriodicalId\":7072,\"journal\":{\"name\":\"Acta clinica Croatica\",\"volume\":\"63 Suppl1\",\"pages\":\"101-104\"},\"PeriodicalIF\":0.8000,\"publicationDate\":\"2024-03-01\",\"publicationTypes\":\"Journal Article\",\"fieldsOfStudy\":null,\"isOpenAccess\":false,\"openAccessPdf\":\"https://www.ncbi.nlm.nih.gov/pmc/articles/PMC12207885/pdf/\",\"citationCount\":\"0\",\"resultStr\":null,\"platform\":\"Semanticscholar\",\"paperid\":null,\"PeriodicalName\":\"Acta clinica Croatica\",\"FirstCategoryId\":\"3\",\"ListUrlMain\":\"https://doi.org/10.20471/acc.2024.63.s1.19\",\"RegionNum\":4,\"RegionCategory\":\"医学\",\"ArticlePicture\":[],\"TitleCN\":null,\"AbstractTextCN\":null,\"PMCID\":null,\"EPubDate\":\"\",\"PubModel\":\"\",\"JCR\":\"Q3\",\"JCRName\":\"MEDICINE, GENERAL & INTERNAL\",\"Score\":null,\"Total\":0}","platform":"Semanticscholar","paperid":null,"PeriodicalName":"Acta clinica Croatica","FirstCategoryId":"3","ListUrlMain":"https://doi.org/10.20471/acc.2024.63.s1.19","RegionNum":4,"RegionCategory":"医学","ArticlePicture":[],"TitleCN":null,"AbstractTextCN":null,"PMCID":null,"EPubDate":"","PubModel":"","JCR":"Q3","JCRName":"MEDICINE, GENERAL & INTERNAL","Score":null,"Total":0}
引用次数: 0

摘要

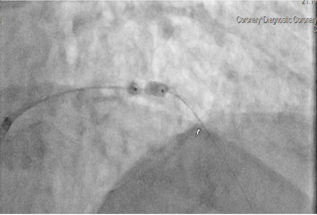
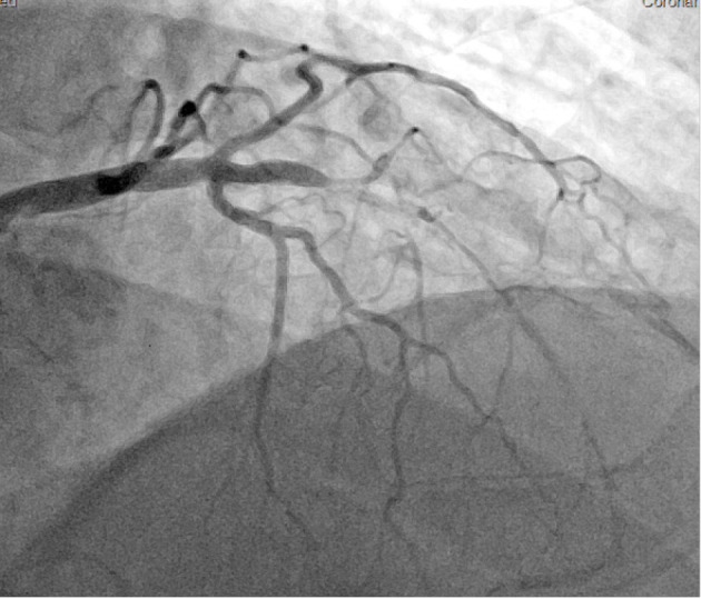
经皮冠状动脉介入治疗(PCI)中严重钙化病变的处理通常与并发症和长期不良结果的高发相关,因为钙化病变导致的冠状动脉支架扩张不理想是不良结果的最强预测因素之一。冲击波血管内碎石术(S-IVL)是一种用于严重钙化冠状动脉狭窄的最佳减积和准备的新技术,但其在急性或延迟优化未扩张支架的疗效方面的数据很少。我们报告了一例66岁男性患者,慢性全闭塞(CTO) PCI术后由于缺乏充分的预扩张和后扩张,导致LAD严重潜在钙化,支架明显扩张不足,其中S-IVL应用,支架扩张良好。S-IVL可考虑用于治疗严重的底层钙化引起的急性和晚期支架扩张不足。
本文章由计算机程序翻译,如有差异,请以英文原文为准。

INTRAVASCULAR LITHOTRIPSY FOR SEVERE STENT UNDEREXPANSION.

INTRAVASCULAR LITHOTRIPSY FOR SEVERE STENT UNDEREXPANSION.

INTRAVASCULAR LITHOTRIPSY FOR SEVERE STENT UNDEREXPANSION.

INTRAVASCULAR LITHOTRIPSY FOR SEVERE STENT UNDEREXPANSION.

Management of heavily calcified lesions during percutaneous coronary intervention (PCI) is often associated with a high incidence of complications and long-term adverse outcomes as the suboptimal coronary stent expansion due to calcified lesion is one of the strongest predictors of adverse outcomes. Shockwave intravascular lithotripsy (S-IVL) is a new technique used in the optimal debulking and preparation of severely calcified coronary artery stenoses, but there is few data on its efficacy in acute or postponed optimization of underexpanded stents. We report a case of a 66-year-old male patient with severe underlying calcification of LAD and a marked stent underexpansion after PCI of chronic total occlusion (CTO) due to a lack of adequate predilatation and postdilatation, where S-IVL was applied, resulting in excellent stent expansion. S-IVL could be considered for treating acute and late stent underexpansion caused by severe underlying calcification.

求助全文
通过发布文献求助,成功后即可免费获取论文全文。 去求助
来源期刊
Acta clinica Croatica
Acta clinica Croatica 医学-医学:内科
CiteScore
1.10
自引率
16.70%
发文量
38
审稿时长
6-12 weeks
期刊介绍: Acta Clinica Croatica is a peer reviewed general medical journal that publishes original articles that advance and improve medical science and practice and that serve the purpose of transfer of original and valuable information to journal readers. Acta Clinica Croatica is published in English four times a year.
×
引用
GB/T 7714-2015
复制
MLA
复制
APA
复制
导出至
BibTeX EndNote RefMan NoteFirst NoteExpress
×
提示
您的信息不完整,为了账户安全,请先补充。
现在去补充
×
提示
您因"违规操作"
具体请查看互助需知
我知道了
×
提示
确定
请完成安全验证×
copy
已复制链接
快去分享给好友吧!
我知道了
右上角分享
点击右上角分享
0
联系我们:info@booksci.cn Book学术提供免费学术资源搜索服务,方便国内外学者检索中英文文献。致力于提供最便捷和优质的服务体验。 Copyright © 2023 布克学术 All rights reserved.
京ICP备2023020795号-1
ghs 京公网安备 11010802042870号
Book学术文献互助
Book学术文献互助群
群 号:604180095
Book学术官方微信