糖尿病新生血管性青光眼的黄斑水肿及其与全身性疾病的关系。

Korean journal of ophthalmology : KJO Pub Date : 2025-08-01 Epub Date: 2025-06-30 DOI:10.3341/kjo.2024.0122
Kyumin Kang, Kyung Tae Kang, Yu Cheol Kim
{"title":"糖尿病新生血管性青光眼的黄斑水肿及其与全身性疾病的关系。","authors":"Kyumin Kang, Kyung Tae Kang, Yu Cheol Kim","doi":"10.3341/kjo.2024.0122","DOIUrl":null,"url":null,"abstract":"<p><strong>Purpose: </strong>This study assessed the development of macular edema (ME) and its association with systemic diseases in patients with diabetic neovascular glaucoma (NVG).</p><p><strong>Methods: </strong>The medical records of 40 patients (45 eyes) diagnosed with diabetic NVG, between January 2017 and April 2022, were retrospectively reviewed. At the time of NVG diagnosis, central retinal thickness (CRT) was measured using optical coherence tomography. The eyes were categorized into groups with ME (CRT ≥300 μm) and without ME. Systemic diseases, ocular parameters, and prior treatments such as panretinal photocoagulation and intravitreal anti-vascular endothelial growth factor injections were compared between the two groups.</p><p><strong>Results: </strong>Only 6 of the 45 eyes (13.3%) had ME at the time of NVG diagnosis. No significant differences were observed between the ME and non-ME groups in terms of systemic diseases, including hypertension, hyperlipidemia, ischemic heart disease, cerebrovascular accident, and chronic kidney disease. Other clinical characteristics, such as age, sex, body mass index, smoking history, best-corrected visual acuity, intraocular pressure, lens status, and history of ocular treatment, were also comparable between groups.</p><p><strong>Conclusions: </strong>In patients with diabetic NVG, ME was observed in a minority of cases and showed no significant association with systemic diseases.</p>","PeriodicalId":101356,"journal":{"name":"Korean journal of ophthalmology : KJO","volume":" ","pages":"330-338"},"PeriodicalIF":0.0000,"publicationDate":"2025-08-01","publicationTypes":"Journal Article","fieldsOfStudy":null,"isOpenAccess":false,"openAccessPdf":"https://www.ncbi.nlm.nih.gov/pmc/articles/PMC12358730/pdf/","citationCount":"0","resultStr":"{\"title\":\"Macular Edema in Diabetic Neovascular Glaucoma and Its Association with Systemic Diseases.\",\"authors\":\"Kyumin Kang, Kyung Tae Kang, Yu Cheol Kim\",\"doi\":\"10.3341/kjo.2024.0122\",\"DOIUrl\":null,\"url\":null,\"abstract\":\"<p><strong>Purpose: </strong>This study assessed the development of macular edema (ME) and its association with systemic diseases in patients with diabetic neovascular glaucoma (NVG).</p><p><strong>Methods: </strong>The medical records of 40 patients (45 eyes) diagnosed with diabetic NVG, between January 2017 and April 2022, were retrospectively reviewed. At the time of NVG diagnosis, central retinal thickness (CRT) was measured using optical coherence tomography. The eyes were categorized into groups with ME (CRT ≥300 μm) and without ME. Systemic diseases, ocular parameters, and prior treatments such as panretinal photocoagulation and intravitreal anti-vascular endothelial growth factor injections were compared between the two groups.</p><p><strong>Results: </strong>Only 6 of the 45 eyes (13.3%) had ME at the time of NVG diagnosis. No significant differences were observed between the ME and non-ME groups in terms of systemic diseases, including hypertension, hyperlipidemia, ischemic heart disease, cerebrovascular accident, and chronic kidney disease. Other clinical characteristics, such as age, sex, body mass index, smoking history, best-corrected visual acuity, intraocular pressure, lens status, and history of ocular treatment, were also comparable between groups.</p><p><strong>Conclusions: </strong>In patients with diabetic NVG, ME was observed in a minority of cases and showed no significant association with systemic diseases.</p>\",\"PeriodicalId\":101356,\"journal\":{\"name\":\"Korean journal of ophthalmology : KJO\",\"volume\":\" \",\"pages\":\"330-338\"},\"PeriodicalIF\":0.0000,\"publicationDate\":\"2025-08-01\",\"publicationTypes\":\"Journal Article\",\"fieldsOfStudy\":null,\"isOpenAccess\":false,\"openAccessPdf\":\"https://www.ncbi.nlm.nih.gov/pmc/articles/PMC12358730/pdf/\",\"citationCount\":\"0\",\"resultStr\":null,\"platform\":\"Semanticscholar\",\"paperid\":null,\"PeriodicalName\":\"Korean journal of ophthalmology : KJO\",\"FirstCategoryId\":\"1085\",\"ListUrlMain\":\"https://doi.org/10.3341/kjo.2024.0122\",\"RegionNum\":0,\"RegionCategory\":null,\"ArticlePicture\":[],\"TitleCN\":null,\"AbstractTextCN\":null,\"PMCID\":null,\"EPubDate\":\"2025/6/30 0:00:00\",\"PubModel\":\"Epub\",\"JCR\":\"\",\"JCRName\":\"\",\"Score\":null,\"Total\":0}","platform":"Semanticscholar","paperid":null,"PeriodicalName":"Korean journal of ophthalmology : KJO","FirstCategoryId":"1085","ListUrlMain":"https://doi.org/10.3341/kjo.2024.0122","RegionNum":0,"RegionCategory":null,"ArticlePicture":[],"TitleCN":null,"AbstractTextCN":null,"PMCID":null,"EPubDate":"2025/6/30 0:00:00","PubModel":"Epub","JCR":"","JCRName":"","Score":null,"Total":0}
引用次数: 0

摘要

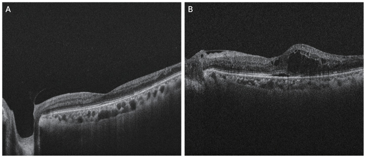
目的:本研究评估糖尿病新生血管性青光眼(NVG)患者黄斑水肿(ME)的发展及其与全身性疾病的关系。方法:回顾性分析2017年1月至2022年4月诊断为糖尿病性NVG的40例患者(45只眼)的病历。在诊断NVG时,使用光学相干断层扫描测量视网膜中央厚度(CRT)。将眼分为有ME组(CRT≥300 um)和无ME组。比较两组患者的全身性疾病、眼部参数和既往治疗,如全视网膜光凝和玻璃体内抗vegf注射。结果:45只眼中仅有6只(13.3%)在NVG诊断时存在ME。在高血压、高脂血症、缺血性心脏病、脑血管意外、慢性肾病等全身性疾病方面,ME组与非ME组无显著差异。其他临床特征,如年龄、性别、体重指数、吸烟史、最佳矫正视力、眼压、晶状体状态和眼部治疗史,在两组之间也具有可比性。结论:在糖尿病性NVG患者中,ME仅在少数病例中出现,且与全身性疾病无显著相关性。
本文章由计算机程序翻译,如有差异,请以英文原文为准。

Macular Edema in Diabetic Neovascular Glaucoma and Its Association with Systemic Diseases.

Macular Edema in Diabetic Neovascular Glaucoma and Its Association with Systemic Diseases.

Purpose: This study assessed the development of macular edema (ME) and its association with systemic diseases in patients with diabetic neovascular glaucoma (NVG).

Methods: The medical records of 40 patients (45 eyes) diagnosed with diabetic NVG, between January 2017 and April 2022, were retrospectively reviewed. At the time of NVG diagnosis, central retinal thickness (CRT) was measured using optical coherence tomography. The eyes were categorized into groups with ME (CRT ≥300 μm) and without ME. Systemic diseases, ocular parameters, and prior treatments such as panretinal photocoagulation and intravitreal anti-vascular endothelial growth factor injections were compared between the two groups.

Results: Only 6 of the 45 eyes (13.3%) had ME at the time of NVG diagnosis. No significant differences were observed between the ME and non-ME groups in terms of systemic diseases, including hypertension, hyperlipidemia, ischemic heart disease, cerebrovascular accident, and chronic kidney disease. Other clinical characteristics, such as age, sex, body mass index, smoking history, best-corrected visual acuity, intraocular pressure, lens status, and history of ocular treatment, were also comparable between groups.

Conclusions: In patients with diabetic NVG, ME was observed in a minority of cases and showed no significant association with systemic diseases.

求助全文
通过发布文献求助,成功后即可免费获取论文全文。 去求助
来源期刊
自引率
0.00%
发文量
0
×
引用
GB/T 7714-2015
复制
MLA
复制
APA
复制
导出至
BibTeX EndNote RefMan NoteFirst NoteExpress
×
提示
您的信息不完整,为了账户安全,请先补充。
现在去补充
×
提示
您因"违规操作"
具体请查看互助需知
我知道了
×
提示
确定
请完成安全验证×
copy
已复制链接
快去分享给好友吧!
我知道了
右上角分享
点击右上角分享
0
联系我们:info@booksci.cn Book学术提供免费学术资源搜索服务,方便国内外学者检索中英文文献。致力于提供最便捷和优质的服务体验。 Copyright © 2023 布克学术 All rights reserved.
京ICP备2023020795号-1
ghs 京公网安备 11010802042870号
Book学术文献互助
Book学术文献互助群
群 号:604180095
Book学术官方微信