癌前和恶性眼表鳞状细胞瘤:一项18年的回顾性医院研究。

Dumebi Hedwig Kayoma, Dele Eradebamwen Imasogie
{"title":"癌前和恶性眼表鳞状细胞瘤:一项18年的回顾性医院研究。","authors":"Dumebi Hedwig Kayoma, Dele Eradebamwen Imasogie","doi":"10.4103/jwas.jwas_6_24","DOIUrl":null,"url":null,"abstract":"<p><p>Ocular surface squamous cell neoplasia can arise from a premalignant lesion (conjunctival intraepithelial neoplasia or ocular surface squamous cell intraepithelial neoplasia). Their respective magnitudes will provide an indication of early treatment or progression of the disease. This study, therefore, aims to determine the frequency of premalignant and malignant ocular surface squamous neoplasia. This is a retrospective study of all cases of premalignant and malignant ocular surface squamous neoplastic lesions histologically diagnosed over an 18-year period at the Department of Anatomic Pathology, University of Benin Teaching Hospital. The results showed that there were more malignant ocular surface squamous neoplastic lesions relative to ocular surface squamous cell intraepithelial neoplastic lesions. Also, the latter occurs at a relatively lower median age in comparison to the former. In conclusion, our findings suggest that late presentation of symptoms may account for higher frequency of malignant ocular surface squamous neoplastic lesions.</p>","PeriodicalId":73993,"journal":{"name":"Journal of the West African College of Surgeons","volume":"15 3","pages":"265-268"},"PeriodicalIF":0.0000,"publicationDate":"2025-07-01","publicationTypes":"Journal Article","fieldsOfStudy":null,"isOpenAccess":false,"openAccessPdf":"https://www.ncbi.nlm.nih.gov/pmc/articles/PMC12200791/pdf/","citationCount":"0","resultStr":"{\"title\":\"Premalignant and Malignant Ocular Surface Squamous Cell Neoplasia: A Retrospective Hospital-Based Study Spanning 18 Years.\",\"authors\":\"Dumebi Hedwig Kayoma, Dele Eradebamwen Imasogie\",\"doi\":\"10.4103/jwas.jwas_6_24\",\"DOIUrl\":null,\"url\":null,\"abstract\":\"<p><p>Ocular surface squamous cell neoplasia can arise from a premalignant lesion (conjunctival intraepithelial neoplasia or ocular surface squamous cell intraepithelial neoplasia). Their respective magnitudes will provide an indication of early treatment or progression of the disease. This study, therefore, aims to determine the frequency of premalignant and malignant ocular surface squamous neoplasia. This is a retrospective study of all cases of premalignant and malignant ocular surface squamous neoplastic lesions histologically diagnosed over an 18-year period at the Department of Anatomic Pathology, University of Benin Teaching Hospital. The results showed that there were more malignant ocular surface squamous neoplastic lesions relative to ocular surface squamous cell intraepithelial neoplastic lesions. Also, the latter occurs at a relatively lower median age in comparison to the former. In conclusion, our findings suggest that late presentation of symptoms may account for higher frequency of malignant ocular surface squamous neoplastic lesions.</p>\",\"PeriodicalId\":73993,\"journal\":{\"name\":\"Journal of the West African College of Surgeons\",\"volume\":\"15 3\",\"pages\":\"265-268\"},\"PeriodicalIF\":0.0000,\"publicationDate\":\"2025-07-01\",\"publicationTypes\":\"Journal Article\",\"fieldsOfStudy\":null,\"isOpenAccess\":false,\"openAccessPdf\":\"https://www.ncbi.nlm.nih.gov/pmc/articles/PMC12200791/pdf/\",\"citationCount\":\"0\",\"resultStr\":null,\"platform\":\"Semanticscholar\",\"paperid\":null,\"PeriodicalName\":\"Journal of the West African College of Surgeons\",\"FirstCategoryId\":\"1085\",\"ListUrlMain\":\"https://doi.org/10.4103/jwas.jwas_6_24\",\"RegionNum\":0,\"RegionCategory\":null,\"ArticlePicture\":[],\"TitleCN\":null,\"AbstractTextCN\":null,\"PMCID\":null,\"EPubDate\":\"2024/8/23 0:00:00\",\"PubModel\":\"Epub\",\"JCR\":\"\",\"JCRName\":\"\",\"Score\":null,\"Total\":0}","platform":"Semanticscholar","paperid":null,"PeriodicalName":"Journal of the West African College of Surgeons","FirstCategoryId":"1085","ListUrlMain":"https://doi.org/10.4103/jwas.jwas_6_24","RegionNum":0,"RegionCategory":null,"ArticlePicture":[],"TitleCN":null,"AbstractTextCN":null,"PMCID":null,"EPubDate":"2024/8/23 0:00:00","PubModel":"Epub","JCR":"","JCRName":"","Score":null,"Total":0}
引用次数: 0

摘要

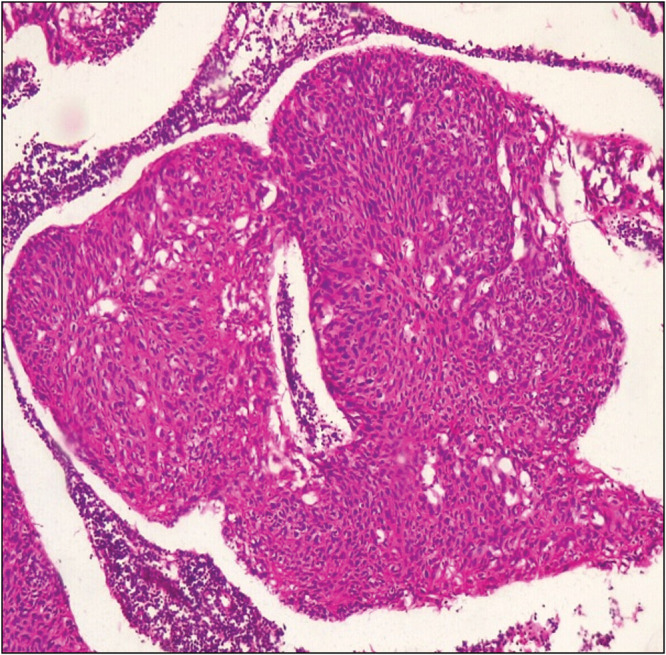
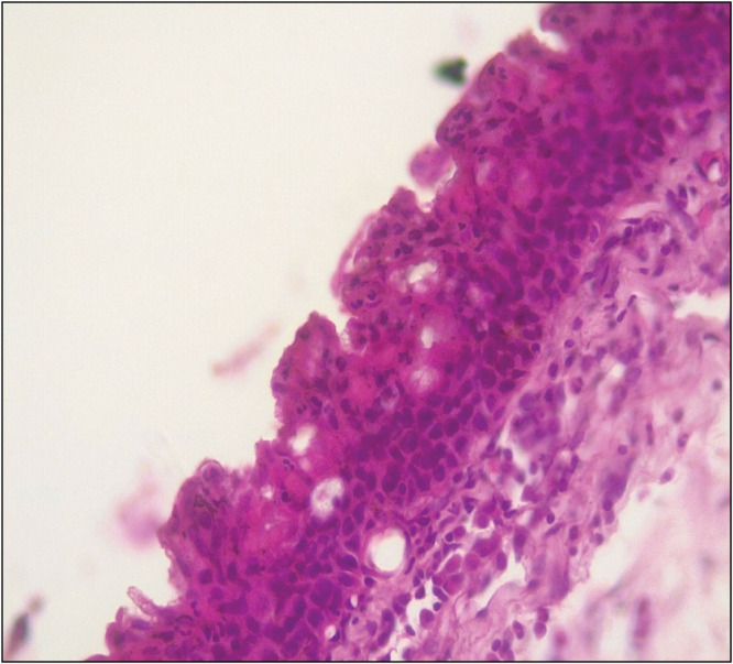
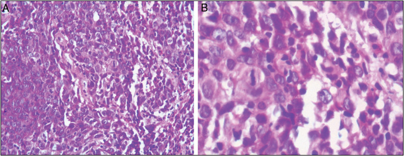
眼表鳞状细胞瘤可由癌前病变引起(结膜上皮内瘤变或眼表鳞状细胞上皮内瘤变)。它们各自的大小将提供早期治疗或疾病进展的指示。因此,本研究旨在确定恶性前病变和恶性眼表鳞状瘤变的发生频率。这是一项回顾性研究的所有病例癌前和恶性眼表鳞状肿瘤病变组织学诊断超过18年期间在贝宁大学教学医院解剖病理学系。结果表明,恶性眼表鳞状肿瘤病变发生率高于眼表鳞状上皮内肿瘤病变。此外,与前者相比,后者发生在相对较低的中位年龄。总之,我们的研究结果表明,较晚出现症状可能是恶性眼表鳞状肿瘤病变发生率较高的原因。
本文章由计算机程序翻译,如有差异,请以英文原文为准。

Premalignant and Malignant Ocular Surface Squamous Cell Neoplasia: A Retrospective Hospital-Based Study Spanning 18 Years.

Premalignant and Malignant Ocular Surface Squamous Cell Neoplasia: A Retrospective Hospital-Based Study Spanning 18 Years.

Premalignant and Malignant Ocular Surface Squamous Cell Neoplasia: A Retrospective Hospital-Based Study Spanning 18 Years.

Premalignant and Malignant Ocular Surface Squamous Cell Neoplasia: A Retrospective Hospital-Based Study Spanning 18 Years.

Ocular surface squamous cell neoplasia can arise from a premalignant lesion (conjunctival intraepithelial neoplasia or ocular surface squamous cell intraepithelial neoplasia). Their respective magnitudes will provide an indication of early treatment or progression of the disease. This study, therefore, aims to determine the frequency of premalignant and malignant ocular surface squamous neoplasia. This is a retrospective study of all cases of premalignant and malignant ocular surface squamous neoplastic lesions histologically diagnosed over an 18-year period at the Department of Anatomic Pathology, University of Benin Teaching Hospital. The results showed that there were more malignant ocular surface squamous neoplastic lesions relative to ocular surface squamous cell intraepithelial neoplastic lesions. Also, the latter occurs at a relatively lower median age in comparison to the former. In conclusion, our findings suggest that late presentation of symptoms may account for higher frequency of malignant ocular surface squamous neoplastic lesions.

求助全文
通过发布文献求助,成功后即可免费获取论文全文。 去求助
来源期刊
自引率
0.00%
发文量
0
×
引用
GB/T 7714-2015
复制
MLA
复制
APA
复制
导出至
BibTeX EndNote RefMan NoteFirst NoteExpress
×
提示
您的信息不完整,为了账户安全,请先补充。
现在去补充
×
提示
您因"违规操作"
具体请查看互助需知
我知道了
×
提示
确定
请完成安全验证×
copy
已复制链接
快去分享给好友吧!
我知道了
右上角分享
点击右上角分享
0
联系我们:info@booksci.cn Book学术提供免费学术资源搜索服务,方便国内外学者检索中英文文献。致力于提供最便捷和优质的服务体验。 Copyright © 2023 布克学术 All rights reserved.
京ICP备2023020795号-1
ghs 京公网安备 11010802042870号
Book学术文献互助
Book学术文献互助群
群 号:604180095
Book学术官方微信