脊索瘤:部位偏好和病理原则。

Anshima Singh, Ram Nawal Rao, Yash Billore, Raj Kumar
{"title":"脊索瘤:部位偏好和病理原则。","authors":"Anshima Singh, Ram Nawal Rao, Yash Billore, Raj Kumar","doi":"10.4103/jwas.jwas_27_24","DOIUrl":null,"url":null,"abstract":"<p><strong>Background: </strong>Chordomas are rare tumours of presumptive notochordal origin, mostly occurring in the axial skeleton of the body. These tumours are slow growing but are locally invasive neoplasms. Diagnosis requires qualification of the radiological, histopathological, and immunohistochemical criteria. Management predominantly comprises surgical resection with negative margins.</p><p><strong>Objective: </strong>Our study aimed to analyse the clinico-pathological spectrum of these rare chordoma cases visiting our tertiary care institute.</p><p><strong>Materials and methods: </strong>The study was retrospective, comprising chordoma cases reported histopathologically between January 01, 2013, and August 31, 2023 (a total period of 10.5 years). Clinico-radiological data were recorded. Histopathological diagnosis was separately reviewed by two pathologists. All data were statistically analysed.</p><p><strong>Results: </strong>In total, 41 chordoma cases were received, with a mean age of 43.2 + 17.4 years (6-72 years). Male:female ratio was 1.2:1. Spheno-occipital region chordomas (27 cases) were most common, followed by sacrococcygeal (8 cases) and vertebral (6 cases) chordomas. Symptoms varied with location. However, the commonest presenting complaint was pain. These region-wise chordoma categories were statistically compared in terms of patients' age, male:female ratio, symptomatic duration, tumour size, histopathological tumour type, and recurrence on follow-up. Of these, only patients' age and tumour size were found to be statistically significant (<i>P</i> value was 0.011 and 0.0004, respectively).</p><p><strong>Conclusion: </strong>Clinico-pathological parameters vary with the anatomical location of chordoma. We present the experience of this rare tumour in terms of clinico-radiopathological features visiting our tertiary care institute in northern India.</p>","PeriodicalId":73993,"journal":{"name":"Journal of the West African College of Surgeons","volume":"15 3","pages":"245-251"},"PeriodicalIF":0.0000,"publicationDate":"2025-07-01","publicationTypes":"Journal Article","fieldsOfStudy":null,"isOpenAccess":false,"openAccessPdf":"https://www.ncbi.nlm.nih.gov/pmc/articles/PMC12200786/pdf/","citationCount":"0","resultStr":"{\"title\":\"Chordoma: Site-Wise Predilections and Pathological Tenets.\",\"authors\":\"Anshima Singh, Ram Nawal Rao, Yash Billore, Raj Kumar\",\"doi\":\"10.4103/jwas.jwas_27_24\",\"DOIUrl\":null,\"url\":null,\"abstract\":\"<p><strong>Background: </strong>Chordomas are rare tumours of presumptive notochordal origin, mostly occurring in the axial skeleton of the body. These tumours are slow growing but are locally invasive neoplasms. Diagnosis requires qualification of the radiological, histopathological, and immunohistochemical criteria. Management predominantly comprises surgical resection with negative margins.</p><p><strong>Objective: </strong>Our study aimed to analyse the clinico-pathological spectrum of these rare chordoma cases visiting our tertiary care institute.</p><p><strong>Materials and methods: </strong>The study was retrospective, comprising chordoma cases reported histopathologically between January 01, 2013, and August 31, 2023 (a total period of 10.5 years). Clinico-radiological data were recorded. Histopathological diagnosis was separately reviewed by two pathologists. All data were statistically analysed.</p><p><strong>Results: </strong>In total, 41 chordoma cases were received, with a mean age of 43.2 + 17.4 years (6-72 years). Male:female ratio was 1.2:1. Spheno-occipital region chordomas (27 cases) were most common, followed by sacrococcygeal (8 cases) and vertebral (6 cases) chordomas. Symptoms varied with location. However, the commonest presenting complaint was pain. These region-wise chordoma categories were statistically compared in terms of patients' age, male:female ratio, symptomatic duration, tumour size, histopathological tumour type, and recurrence on follow-up. Of these, only patients' age and tumour size were found to be statistically significant (<i>P</i> value was 0.011 and 0.0004, respectively).</p><p><strong>Conclusion: </strong>Clinico-pathological parameters vary with the anatomical location of chordoma. We present the experience of this rare tumour in terms of clinico-radiopathological features visiting our tertiary care institute in northern India.</p>\",\"PeriodicalId\":73993,\"journal\":{\"name\":\"Journal of the West African College of Surgeons\",\"volume\":\"15 3\",\"pages\":\"245-251\"},\"PeriodicalIF\":0.0000,\"publicationDate\":\"2025-07-01\",\"publicationTypes\":\"Journal Article\",\"fieldsOfStudy\":null,\"isOpenAccess\":false,\"openAccessPdf\":\"https://www.ncbi.nlm.nih.gov/pmc/articles/PMC12200786/pdf/\",\"citationCount\":\"0\",\"resultStr\":null,\"platform\":\"Semanticscholar\",\"paperid\":null,\"PeriodicalName\":\"Journal of the West African College of Surgeons\",\"FirstCategoryId\":\"1085\",\"ListUrlMain\":\"https://doi.org/10.4103/jwas.jwas_27_24\",\"RegionNum\":0,\"RegionCategory\":null,\"ArticlePicture\":[],\"TitleCN\":null,\"AbstractTextCN\":null,\"PMCID\":null,\"EPubDate\":\"2024/9/2 0:00:00\",\"PubModel\":\"Epub\",\"JCR\":\"\",\"JCRName\":\"\",\"Score\":null,\"Total\":0}","platform":"Semanticscholar","paperid":null,"PeriodicalName":"Journal of the West African College of Surgeons","FirstCategoryId":"1085","ListUrlMain":"https://doi.org/10.4103/jwas.jwas_27_24","RegionNum":0,"RegionCategory":null,"ArticlePicture":[],"TitleCN":null,"AbstractTextCN":null,"PMCID":null,"EPubDate":"2024/9/2 0:00:00","PubModel":"Epub","JCR":"","JCRName":"","Score":null,"Total":0}
引用次数: 0

摘要

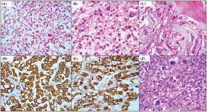
背景:脊索瘤是一种推测起源于脊索的罕见肿瘤,主要发生在身体的中轴骨骼。这些肿瘤生长缓慢,但是局部浸润性肿瘤。诊断需要符合放射学、组织病理学和免疫组织化学标准。治疗主要包括手术切除阴性切缘。目的:我们的研究旨在分析这些罕见的脊索瘤病例的临床病理谱。材料和方法:本研究为回顾性研究,包括2013年1月1日至2023年8月31日期间组织病理学报告的脊索瘤病例(总时间为10.5年)。记录临床放射学资料。组织病理学诊断分别由两名病理学家复查。所有资料均进行统计学分析。结果:共收治脊索瘤41例,平均年龄43.2 + 17.4岁(6 ~ 72岁)。男女比例为1.2:1。以蝶枕区脊索瘤(27例)最为常见,其次为骶尾椎脊索瘤(8例)和椎脊索瘤(6例)。症状因部位而异。然而,最常见的主诉是疼痛。这些区域脊索瘤分类在患者年龄、男女比例、症状持续时间、肿瘤大小、组织病理学肿瘤类型和随访复发方面进行统计学比较。其中,只有患者的年龄和肿瘤大小有统计学意义(P值分别为0.011和0.0004)。结论:脊索瘤的解剖位置不同,临床病理参数也不同。我们目前的经验,这种罕见的肿瘤在临床放射病理特征访问我们的三级保健研究所在印度北部。
本文章由计算机程序翻译,如有差异,请以英文原文为准。

Chordoma: Site-Wise Predilections and Pathological Tenets.

Chordoma: Site-Wise Predilections and Pathological Tenets.

Background: Chordomas are rare tumours of presumptive notochordal origin, mostly occurring in the axial skeleton of the body. These tumours are slow growing but are locally invasive neoplasms. Diagnosis requires qualification of the radiological, histopathological, and immunohistochemical criteria. Management predominantly comprises surgical resection with negative margins.

Objective: Our study aimed to analyse the clinico-pathological spectrum of these rare chordoma cases visiting our tertiary care institute.

Materials and methods: The study was retrospective, comprising chordoma cases reported histopathologically between January 01, 2013, and August 31, 2023 (a total period of 10.5 years). Clinico-radiological data were recorded. Histopathological diagnosis was separately reviewed by two pathologists. All data were statistically analysed.

Results: In total, 41 chordoma cases were received, with a mean age of 43.2 + 17.4 years (6-72 years). Male:female ratio was 1.2:1. Spheno-occipital region chordomas (27 cases) were most common, followed by sacrococcygeal (8 cases) and vertebral (6 cases) chordomas. Symptoms varied with location. However, the commonest presenting complaint was pain. These region-wise chordoma categories were statistically compared in terms of patients' age, male:female ratio, symptomatic duration, tumour size, histopathological tumour type, and recurrence on follow-up. Of these, only patients' age and tumour size were found to be statistically significant (P value was 0.011 and 0.0004, respectively).

Conclusion: Clinico-pathological parameters vary with the anatomical location of chordoma. We present the experience of this rare tumour in terms of clinico-radiopathological features visiting our tertiary care institute in northern India.

求助全文
通过发布文献求助,成功后即可免费获取论文全文。 去求助
来源期刊
自引率
0.00%
发文量
0
×
引用
GB/T 7714-2015
复制
MLA
复制
APA
复制
导出至
BibTeX EndNote RefMan NoteFirst NoteExpress
×
提示
您的信息不完整,为了账户安全,请先补充。
现在去补充
×
提示
您因"违规操作"
具体请查看互助需知
我知道了
×
提示
确定
请完成安全验证×
copy
已复制链接
快去分享给好友吧!
我知道了
右上角分享
点击右上角分享
0
联系我们:info@booksci.cn Book学术提供免费学术资源搜索服务,方便国内外学者检索中英文文献。致力于提供最便捷和优质的服务体验。 Copyright © 2023 布克学术 All rights reserved.
京ICP备2023020795号-1
ghs 京公网安备 11010802042870号
Book学术文献互助
Book学术文献互助群
群 号:604180095
Book学术官方微信