洛杉矶县内源性克雷伯菌眼内炎4例:病例系列。

IF 1.2 Q4 OPHTHALMOLOGY
Taiwan Journal of Ophthalmology Pub Date : 2025-05-20 eCollection Date: 2025-04-01 DOI:10.4103/tjo.TJO-D-24-00155
Christopher Chung, Alexander M Tseng, Yicheng K Bao, Betty A Situ, Maria Sibug Saber, Brian Toy, Juan Carlos Martinez-Camarillo
{"title":"洛杉矶县内源性克雷伯菌眼内炎4例:病例系列。","authors":"Christopher Chung, Alexander M Tseng, Yicheng K Bao, Betty A Situ, Maria Sibug Saber, Brian Toy, Juan Carlos Martinez-Camarillo","doi":"10.4103/tjo.TJO-D-24-00155","DOIUrl":null,"url":null,"abstract":"<p><p><i>Klebsiella pneumoniae (K</i>. <i>pneumoniae)</i> represents a frequent cause of endogenous endophthalmitis in East Asia but remains an uncommon cause of endogenous endophthalmitis in the United States. Recent reports have characterized the emergence of hypervirulent <i>K</i>. <i>pneumoniae</i> strains, which are now thought to be the predominant cause of endogenous <i>K</i>. <i>pneumoniae</i> endophthalmitis. We document four cases of endogenous <i>Klebsiella</i> endophthalmitis in Los Angeles County from 2022 to 2024, including two cases confirmed secondary to a hypervirulent strain. The first two cases occurred in diabetic females with associated renal abscesses. While both patients were initially treated with systemic and intravitreal antibiotics, they ultimately required evisceration or enucleation. The third case occurred in a 54-year-old diabetic male, who presented with panophthalmitis of the left eye, subsequently found to have multiple hepatic abscesses. Our final case occurred in a 47-year-old diabetic male with bilateral endogenous endophthalmitis and disseminated cerebral, pulmonary, and hepatic abscesses consistent with <i>K</i>. <i>pneumoniae</i> invasive syndrome. Both the latter two patients were treated with intravitreal and systemic antibiotics, followed by vitrectomy. These cases underscore the importance of recognizing endogenous <i>Klebsiella</i> endophthalmitis as a potential complication in diabetic patients and its association with both hepatic and renal abscesses, as prompt systemic workup may facilitate timely diagnosis and intervention.</p>","PeriodicalId":44978,"journal":{"name":"Taiwan Journal of Ophthalmology","volume":"15 2","pages":"313-318"},"PeriodicalIF":1.2000,"publicationDate":"2025-05-20","publicationTypes":"Journal Article","fieldsOfStudy":null,"isOpenAccess":false,"openAccessPdf":"https://www.ncbi.nlm.nih.gov/pmc/articles/PMC12204652/pdf/","citationCount":"0","resultStr":"{\"title\":\"Four cases of endogenous <i>Klebsiella</i> endophthalmitis in Los Angeles County: A case series.\",\"authors\":\"Christopher Chung, Alexander M Tseng, Yicheng K Bao, Betty A Situ, Maria Sibug Saber, Brian Toy, Juan Carlos Martinez-Camarillo\",\"doi\":\"10.4103/tjo.TJO-D-24-00155\",\"DOIUrl\":null,\"url\":null,\"abstract\":\"<p><p><i>Klebsiella pneumoniae (K</i>. <i>pneumoniae)</i> represents a frequent cause of endogenous endophthalmitis in East Asia but remains an uncommon cause of endogenous endophthalmitis in the United States. Recent reports have characterized the emergence of hypervirulent <i>K</i>. <i>pneumoniae</i> strains, which are now thought to be the predominant cause of endogenous <i>K</i>. <i>pneumoniae</i> endophthalmitis. We document four cases of endogenous <i>Klebsiella</i> endophthalmitis in Los Angeles County from 2022 to 2024, including two cases confirmed secondary to a hypervirulent strain. The first two cases occurred in diabetic females with associated renal abscesses. While both patients were initially treated with systemic and intravitreal antibiotics, they ultimately required evisceration or enucleation. The third case occurred in a 54-year-old diabetic male, who presented with panophthalmitis of the left eye, subsequently found to have multiple hepatic abscesses. Our final case occurred in a 47-year-old diabetic male with bilateral endogenous endophthalmitis and disseminated cerebral, pulmonary, and hepatic abscesses consistent with <i>K</i>. <i>pneumoniae</i> invasive syndrome. Both the latter two patients were treated with intravitreal and systemic antibiotics, followed by vitrectomy. These cases underscore the importance of recognizing endogenous <i>Klebsiella</i> endophthalmitis as a potential complication in diabetic patients and its association with both hepatic and renal abscesses, as prompt systemic workup may facilitate timely diagnosis and intervention.</p>\",\"PeriodicalId\":44978,\"journal\":{\"name\":\"Taiwan Journal of Ophthalmology\",\"volume\":\"15 2\",\"pages\":\"313-318\"},\"PeriodicalIF\":1.2000,\"publicationDate\":\"2025-05-20\",\"publicationTypes\":\"Journal Article\",\"fieldsOfStudy\":null,\"isOpenAccess\":false,\"openAccessPdf\":\"https://www.ncbi.nlm.nih.gov/pmc/articles/PMC12204652/pdf/\",\"citationCount\":\"0\",\"resultStr\":null,\"platform\":\"Semanticscholar\",\"paperid\":null,\"PeriodicalName\":\"Taiwan Journal of Ophthalmology\",\"FirstCategoryId\":\"1085\",\"ListUrlMain\":\"https://doi.org/10.4103/tjo.TJO-D-24-00155\",\"RegionNum\":0,\"RegionCategory\":null,\"ArticlePicture\":[],\"TitleCN\":null,\"AbstractTextCN\":null,\"PMCID\":null,\"EPubDate\":\"2025/4/1 0:00:00\",\"PubModel\":\"eCollection\",\"JCR\":\"Q4\",\"JCRName\":\"OPHTHALMOLOGY\",\"Score\":null,\"Total\":0}","platform":"Semanticscholar","paperid":null,"PeriodicalName":"Taiwan Journal of Ophthalmology","FirstCategoryId":"1085","ListUrlMain":"https://doi.org/10.4103/tjo.TJO-D-24-00155","RegionNum":0,"RegionCategory":null,"ArticlePicture":[],"TitleCN":null,"AbstractTextCN":null,"PMCID":null,"EPubDate":"2025/4/1 0:00:00","PubModel":"eCollection","JCR":"Q4","JCRName":"OPHTHALMOLOGY","Score":null,"Total":0}
引用次数: 0

摘要

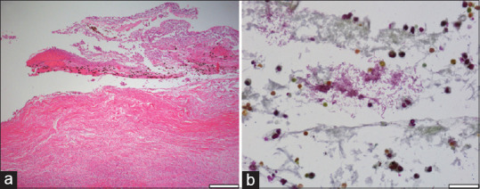
肺炎克雷伯菌(肺炎克雷伯菌)是东亚地区内源性眼内炎的常见病因,但在美国仍是一种不常见的内源性眼内炎病因。最近的报道已经描述了高毒力肺炎克雷伯菌菌株的出现,现在认为这是内源性肺炎克雷伯菌眼内炎的主要原因。我们记录了从2022年到2024年在洛杉矶县发生的4例内源性克雷伯氏菌眼内炎病例,其中2例确诊继发于高毒力菌株。前两例发生于女性糖尿病患者并发肾脓肿。虽然两名患者最初都接受了全身和玻璃体内抗生素治疗,但他们最终都需要剜出或去核。第三例发生在一名54岁的糖尿病男性,他表现为左眼全眼炎,随后发现有多发肝脓肿。我们的最后一个病例发生在一位47岁的男性糖尿病患者,伴有双侧内源性眼内炎和弥散性脑、肺和肝脓肿,符合肺炎克雷伯菌侵袭综合征。后两例患者均接受玻璃体内及全身抗生素治疗,并行玻璃体切除术。这些病例强调了认识内源性克雷伯氏菌眼内炎作为糖尿病患者潜在并发症的重要性,以及它与肝和肾脓肿的关系,因为及时的系统检查可能有助于及时诊断和干预。
本文章由计算机程序翻译,如有差异,请以英文原文为准。

Four cases of endogenous <i>Klebsiella</i> endophthalmitis in Los Angeles County: A case series.

Four cases of endogenous <i>Klebsiella</i> endophthalmitis in Los Angeles County: A case series.

Four cases of endogenous Klebsiella endophthalmitis in Los Angeles County: A case series.

Klebsiella pneumoniae (K. pneumoniae) represents a frequent cause of endogenous endophthalmitis in East Asia but remains an uncommon cause of endogenous endophthalmitis in the United States. Recent reports have characterized the emergence of hypervirulent K. pneumoniae strains, which are now thought to be the predominant cause of endogenous K. pneumoniae endophthalmitis. We document four cases of endogenous Klebsiella endophthalmitis in Los Angeles County from 2022 to 2024, including two cases confirmed secondary to a hypervirulent strain. The first two cases occurred in diabetic females with associated renal abscesses. While both patients were initially treated with systemic and intravitreal antibiotics, they ultimately required evisceration or enucleation. The third case occurred in a 54-year-old diabetic male, who presented with panophthalmitis of the left eye, subsequently found to have multiple hepatic abscesses. Our final case occurred in a 47-year-old diabetic male with bilateral endogenous endophthalmitis and disseminated cerebral, pulmonary, and hepatic abscesses consistent with K. pneumoniae invasive syndrome. Both the latter two patients were treated with intravitreal and systemic antibiotics, followed by vitrectomy. These cases underscore the importance of recognizing endogenous Klebsiella endophthalmitis as a potential complication in diabetic patients and its association with both hepatic and renal abscesses, as prompt systemic workup may facilitate timely diagnosis and intervention.

求助全文
通过发布文献求助,成功后即可免费获取论文全文。 去求助
来源期刊
CiteScore
1.80
自引率
9.10%
发文量
68
审稿时长
19 weeks
×
引用
GB/T 7714-2015
复制
MLA
复制
APA
复制
导出至
BibTeX EndNote RefMan NoteFirst NoteExpress
×
提示
您的信息不完整,为了账户安全,请先补充。
现在去补充
×
提示
您因"违规操作"
具体请查看互助需知
我知道了
×
提示
确定
请完成安全验证×
copy
已复制链接
快去分享给好友吧!
我知道了
右上角分享
点击右上角分享
0
联系我们:info@booksci.cn Book学术提供免费学术资源搜索服务,方便国内外学者检索中英文文献。致力于提供最便捷和优质的服务体验。 Copyright © 2023 布克学术 All rights reserved.
京ICP备2023020795号-1
ghs 京公网安备 11010802042870号
Book学术文献互助
Book学术文献互助群
群 号:604180095
Book学术官方微信