急性视网膜坏死中孔源性视网膜脱离的临床特点及预后。

IF 1.2 Q4 OPHTHALMOLOGY
Taiwan Journal of Ophthalmology Pub Date : 2025-06-03 eCollection Date: 2025-04-01 DOI:10.4103/tjo.TJO-D-25-00012
Shabtab Nasir, Samreen Mehfooz, Soumyava Basu, Rajeev R Pappuru, Mudit Tyagi
{"title":"急性视网膜坏死中孔源性视网膜脱离的临床特点及预后。","authors":"Shabtab Nasir, Samreen Mehfooz, Soumyava Basu, Rajeev R Pappuru, Mudit Tyagi","doi":"10.4103/tjo.TJO-D-25-00012","DOIUrl":null,"url":null,"abstract":"<p><strong>Purpose: </strong>Rhegmatogenous retinal detachments (RRD) are the most common and sight-threatening complication of acute retinal necrosis (ARN). This study aims to analyze the clinical characteristics, treatment outcomes, and factors influencing RRD outcomes in ARN patients.</p><p><strong>Materials and methods: </strong>A retrospective review of ARN and ARN-related RRD cases diagnosed between 2014 and 2023 at a tertiary eye institute in South India was conducted. Data on demographics, clinical presentation, quadrant involvement, visual acuity, treatment modalities, outcomes, and RRD recurrence patterns were analyzed.</p><p><strong>Results: </strong>Among 322 ARN patients, RRD was observed in 111 eyes (27.32%) of 88 patients, with a mean age of 38 years and a male predominance (63%). HIV positivity was noted in 11.38%. Despite prophylactic photocoagulation in 17 eyes, RRD developed in 15 eyes within 2 months to 2 years. Silicone oil tamponade was used during primary surgical intervention, with 1000 cc in 77 eyes and 5000 cc in 34 eyes. RRD recurrence occurred in 42.6%. Multivariate analysis revealed significant associations between RRD recurrence and factors such as RRD at presentation or extensive retinitis involvement (over 50% of quadrants affected). Among the patients with recurrent RRD, roughly half (50%, <i>n</i> = 18) had involvement of over 50% retinal quadrants by ARN, and over half (71.42%, <i>n</i> = 35) presented with RD initially.</p><p><strong>Conclusion: </strong>This study underscores the high prevalence of RRD in ARN. Retinal detachment at initial presentation and retinitis involving more than two quadrants were significant risk factors for RRD recurrence. Prophylactic laser photocoagulation did not prevent RRD occurrence.</p>","PeriodicalId":44978,"journal":{"name":"Taiwan Journal of Ophthalmology","volume":"15 2","pages":"277-282"},"PeriodicalIF":1.2000,"publicationDate":"2025-06-03","publicationTypes":"Journal Article","fieldsOfStudy":null,"isOpenAccess":false,"openAccessPdf":"https://www.ncbi.nlm.nih.gov/pmc/articles/PMC12204657/pdf/","citationCount":"0","resultStr":"{\"title\":\"Clinical features and outcomes of Rhegmatogenous Retinal Detachments in Acute Retinal Necrosis.\",\"authors\":\"Shabtab Nasir, Samreen Mehfooz, Soumyava Basu, Rajeev R Pappuru, Mudit Tyagi\",\"doi\":\"10.4103/tjo.TJO-D-25-00012\",\"DOIUrl\":null,\"url\":null,\"abstract\":\"<p><strong>Purpose: </strong>Rhegmatogenous retinal detachments (RRD) are the most common and sight-threatening complication of acute retinal necrosis (ARN). This study aims to analyze the clinical characteristics, treatment outcomes, and factors influencing RRD outcomes in ARN patients.</p><p><strong>Materials and methods: </strong>A retrospective review of ARN and ARN-related RRD cases diagnosed between 2014 and 2023 at a tertiary eye institute in South India was conducted. Data on demographics, clinical presentation, quadrant involvement, visual acuity, treatment modalities, outcomes, and RRD recurrence patterns were analyzed.</p><p><strong>Results: </strong>Among 322 ARN patients, RRD was observed in 111 eyes (27.32%) of 88 patients, with a mean age of 38 years and a male predominance (63%). HIV positivity was noted in 11.38%. Despite prophylactic photocoagulation in 17 eyes, RRD developed in 15 eyes within 2 months to 2 years. Silicone oil tamponade was used during primary surgical intervention, with 1000 cc in 77 eyes and 5000 cc in 34 eyes. RRD recurrence occurred in 42.6%. Multivariate analysis revealed significant associations between RRD recurrence and factors such as RRD at presentation or extensive retinitis involvement (over 50% of quadrants affected). Among the patients with recurrent RRD, roughly half (50%, <i>n</i> = 18) had involvement of over 50% retinal quadrants by ARN, and over half (71.42%, <i>n</i> = 35) presented with RD initially.</p><p><strong>Conclusion: </strong>This study underscores the high prevalence of RRD in ARN. Retinal detachment at initial presentation and retinitis involving more than two quadrants were significant risk factors for RRD recurrence. Prophylactic laser photocoagulation did not prevent RRD occurrence.</p>\",\"PeriodicalId\":44978,\"journal\":{\"name\":\"Taiwan Journal of Ophthalmology\",\"volume\":\"15 2\",\"pages\":\"277-282\"},\"PeriodicalIF\":1.2000,\"publicationDate\":\"2025-06-03\",\"publicationTypes\":\"Journal Article\",\"fieldsOfStudy\":null,\"isOpenAccess\":false,\"openAccessPdf\":\"https://www.ncbi.nlm.nih.gov/pmc/articles/PMC12204657/pdf/\",\"citationCount\":\"0\",\"resultStr\":null,\"platform\":\"Semanticscholar\",\"paperid\":null,\"PeriodicalName\":\"Taiwan Journal of Ophthalmology\",\"FirstCategoryId\":\"1085\",\"ListUrlMain\":\"https://doi.org/10.4103/tjo.TJO-D-25-00012\",\"RegionNum\":0,\"RegionCategory\":null,\"ArticlePicture\":[],\"TitleCN\":null,\"AbstractTextCN\":null,\"PMCID\":null,\"EPubDate\":\"2025/4/1 0:00:00\",\"PubModel\":\"eCollection\",\"JCR\":\"Q4\",\"JCRName\":\"OPHTHALMOLOGY\",\"Score\":null,\"Total\":0}","platform":"Semanticscholar","paperid":null,"PeriodicalName":"Taiwan Journal of Ophthalmology","FirstCategoryId":"1085","ListUrlMain":"https://doi.org/10.4103/tjo.TJO-D-25-00012","RegionNum":0,"RegionCategory":null,"ArticlePicture":[],"TitleCN":null,"AbstractTextCN":null,"PMCID":null,"EPubDate":"2025/4/1 0:00:00","PubModel":"eCollection","JCR":"Q4","JCRName":"OPHTHALMOLOGY","Score":null,"Total":0}
引用次数: 0

摘要

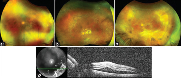
目的:孔源性视网膜脱离(RRD)是急性视网膜坏死(ARN)最常见和最严重的并发症。本研究旨在分析ARN患者的临床特点、治疗结局及影响RRD结局的因素。材料与方法:回顾性分析2014 - 2023年印度南部某三级眼科研究所诊断的ARN及ARN相关RRD病例。分析了人口统计学、临床表现、象限累及、视力、治疗方式、结果和RRD复发模式的数据。结果:322例ARN患者中,88例患者中111眼(27.32%)出现RRD,平均年龄38岁,男性占63%。HIV阳性占11.38%。尽管有17只眼睛进行了预防性光凝治疗,但仍有15只眼睛在2个月至2年内发生了RRD。初次手术时使用硅油填塞,77只眼1000cc, 34只眼5000cc。复发率为42.6%。多因素分析显示,RRD复发与表现时的RRD或广泛的视网膜炎累及(超过50%的象限受影响)等因素有显著关联。在复发性RRD患者中,大约一半(50%,n = 18)的ARN累及超过50%的视网膜象限,超过一半(71.42%,n = 35)的患者最初表现为RD。结论:本研究强调了ARN中RRD的高患病率。首发视网膜脱离和超过两个象限的视网膜炎是RRD复发的重要危险因素。预防性激光光凝不能预防RRD的发生。
本文章由计算机程序翻译,如有差异,请以英文原文为准。

Clinical features and outcomes of Rhegmatogenous Retinal Detachments in Acute Retinal Necrosis.

Clinical features and outcomes of Rhegmatogenous Retinal Detachments in Acute Retinal Necrosis.

Clinical features and outcomes of Rhegmatogenous Retinal Detachments in Acute Retinal Necrosis.

Clinical features and outcomes of Rhegmatogenous Retinal Detachments in Acute Retinal Necrosis.

Purpose: Rhegmatogenous retinal detachments (RRD) are the most common and sight-threatening complication of acute retinal necrosis (ARN). This study aims to analyze the clinical characteristics, treatment outcomes, and factors influencing RRD outcomes in ARN patients.

Materials and methods: A retrospective review of ARN and ARN-related RRD cases diagnosed between 2014 and 2023 at a tertiary eye institute in South India was conducted. Data on demographics, clinical presentation, quadrant involvement, visual acuity, treatment modalities, outcomes, and RRD recurrence patterns were analyzed.

Results: Among 322 ARN patients, RRD was observed in 111 eyes (27.32%) of 88 patients, with a mean age of 38 years and a male predominance (63%). HIV positivity was noted in 11.38%. Despite prophylactic photocoagulation in 17 eyes, RRD developed in 15 eyes within 2 months to 2 years. Silicone oil tamponade was used during primary surgical intervention, with 1000 cc in 77 eyes and 5000 cc in 34 eyes. RRD recurrence occurred in 42.6%. Multivariate analysis revealed significant associations between RRD recurrence and factors such as RRD at presentation or extensive retinitis involvement (over 50% of quadrants affected). Among the patients with recurrent RRD, roughly half (50%, n = 18) had involvement of over 50% retinal quadrants by ARN, and over half (71.42%, n = 35) presented with RD initially.

Conclusion: This study underscores the high prevalence of RRD in ARN. Retinal detachment at initial presentation and retinitis involving more than two quadrants were significant risk factors for RRD recurrence. Prophylactic laser photocoagulation did not prevent RRD occurrence.

求助全文
通过发布文献求助,成功后即可免费获取论文全文。 去求助
来源期刊
CiteScore
1.80
自引率
9.10%
发文量
68
审稿时长
19 weeks
×
引用
GB/T 7714-2015
复制
MLA
复制
APA
复制
导出至
BibTeX EndNote RefMan NoteFirst NoteExpress
×
提示
您的信息不完整,为了账户安全,请先补充。
现在去补充
×
提示
您因"违规操作"
具体请查看互助需知
我知道了
×
提示
确定
请完成安全验证×
copy
已复制链接
快去分享给好友吧!
我知道了
右上角分享
点击右上角分享
0
联系我们:info@booksci.cn Book学术提供免费学术资源搜索服务,方便国内外学者检索中英文文献。致力于提供最便捷和优质的服务体验。 Copyright © 2023 布克学术 All rights reserved.
京ICP备2023020795号-1
ghs 京公网安备 11010802042870号
Book学术文献互助
Book学术文献互助群
群 号:604180095
Book学术官方微信