眼弓形虫病免疫正常病例点状视网膜外弓形虫病的临床特征、影像学特征和预后。

IF 1.2 Q4 OPHTHALMOLOGY
Taiwan Journal of Ophthalmology Pub Date : 2025-06-18 eCollection Date: 2025-04-01 DOI:10.4103/tjo.TJO-D-25-00011
Anup Kelgaonkar, Vishal Jadhav, Anamika Patel, Soumyava Basu, Avinash Pathengay
{"title":"眼弓形虫病免疫正常病例点状视网膜外弓形虫病的临床特征、影像学特征和预后。","authors":"Anup Kelgaonkar, Vishal Jadhav, Anamika Patel, Soumyava Basu, Avinash Pathengay","doi":"10.4103/tjo.TJO-D-25-00011","DOIUrl":null,"url":null,"abstract":"<p><strong>Purpose: </strong>The purpose of this study was to study clinical characteristics, imaging features, and fate of punctate outer retinal toxoplasmosis (PORT).</p><p><strong>Materials and methods: </strong>A retrospective, observational, descriptive analysis of PORT lesions presenting as satellite lesions of typical full-thickness necrotizing Toxoplasma retinochoroiditis (TRC) or isolated lesions in immunocompetent cases.</p><p><strong>Results: </strong>We analyzed 34 eyes of 34 cases (22 males and 12 females). PORT lesions appeared as deep, dull, yellowish-gray outer retinal lesions, either as satellite lesions to a TRC (<i>n</i> = 30) or isolated macular punctate lesions (<i>n</i> = 4). The mean lesion size was 562 μm (50-1000). The recurrence rate was high (23.52%), manifesting as either typical TRC (<i>n</i> = 4) or new satellite PORT lesions (<i>n</i> = 4). Active lesions had hyperreflective outer retinal foci on optical coherence tomography (OCT), hyperautofluorescent in the active phase, and stippled upon resolution. Healed lesions exhibited outer nuclear layer thinning and outer retinal atrophy on OCT and were hypoautofluorescent.</p><p><strong>Conclusion: </strong>PORT lesions were observed as multiple punctate lesions, either adjacent to TRC in active or healed phases or as isolated macular punctate toxoplasmosis. Autofluorescence, angiography, and OCT assist in differentiating active from healed lesions. The fate of PORT lesions was healing with granularity, fading, or complete resolution. Some cases recurred with new satellite PORT lesions, whereas others progressed to typical retinochoroiditis or CNVM.</p>","PeriodicalId":44978,"journal":{"name":"Taiwan Journal of Ophthalmology","volume":"15 2","pages":"270-276"},"PeriodicalIF":1.2000,"publicationDate":"2025-06-18","publicationTypes":"Journal Article","fieldsOfStudy":null,"isOpenAccess":false,"openAccessPdf":"https://www.ncbi.nlm.nih.gov/pmc/articles/PMC12204666/pdf/","citationCount":"0","resultStr":"{\"title\":\"Clinical characteristics, imaging features, and fate of punctate outer retinal toxoplasmosis lesions in immunocompetent cases of ocular toxoplasmosis.\",\"authors\":\"Anup Kelgaonkar, Vishal Jadhav, Anamika Patel, Soumyava Basu, Avinash Pathengay\",\"doi\":\"10.4103/tjo.TJO-D-25-00011\",\"DOIUrl\":null,\"url\":null,\"abstract\":\"<p><strong>Purpose: </strong>The purpose of this study was to study clinical characteristics, imaging features, and fate of punctate outer retinal toxoplasmosis (PORT).</p><p><strong>Materials and methods: </strong>A retrospective, observational, descriptive analysis of PORT lesions presenting as satellite lesions of typical full-thickness necrotizing Toxoplasma retinochoroiditis (TRC) or isolated lesions in immunocompetent cases.</p><p><strong>Results: </strong>We analyzed 34 eyes of 34 cases (22 males and 12 females). PORT lesions appeared as deep, dull, yellowish-gray outer retinal lesions, either as satellite lesions to a TRC (<i>n</i> = 30) or isolated macular punctate lesions (<i>n</i> = 4). The mean lesion size was 562 μm (50-1000). The recurrence rate was high (23.52%), manifesting as either typical TRC (<i>n</i> = 4) or new satellite PORT lesions (<i>n</i> = 4). Active lesions had hyperreflective outer retinal foci on optical coherence tomography (OCT), hyperautofluorescent in the active phase, and stippled upon resolution. Healed lesions exhibited outer nuclear layer thinning and outer retinal atrophy on OCT and were hypoautofluorescent.</p><p><strong>Conclusion: </strong>PORT lesions were observed as multiple punctate lesions, either adjacent to TRC in active or healed phases or as isolated macular punctate toxoplasmosis. Autofluorescence, angiography, and OCT assist in differentiating active from healed lesions. The fate of PORT lesions was healing with granularity, fading, or complete resolution. Some cases recurred with new satellite PORT lesions, whereas others progressed to typical retinochoroiditis or CNVM.</p>\",\"PeriodicalId\":44978,\"journal\":{\"name\":\"Taiwan Journal of Ophthalmology\",\"volume\":\"15 2\",\"pages\":\"270-276\"},\"PeriodicalIF\":1.2000,\"publicationDate\":\"2025-06-18\",\"publicationTypes\":\"Journal Article\",\"fieldsOfStudy\":null,\"isOpenAccess\":false,\"openAccessPdf\":\"https://www.ncbi.nlm.nih.gov/pmc/articles/PMC12204666/pdf/\",\"citationCount\":\"0\",\"resultStr\":null,\"platform\":\"Semanticscholar\",\"paperid\":null,\"PeriodicalName\":\"Taiwan Journal of Ophthalmology\",\"FirstCategoryId\":\"1085\",\"ListUrlMain\":\"https://doi.org/10.4103/tjo.TJO-D-25-00011\",\"RegionNum\":0,\"RegionCategory\":null,\"ArticlePicture\":[],\"TitleCN\":null,\"AbstractTextCN\":null,\"PMCID\":null,\"EPubDate\":\"2025/4/1 0:00:00\",\"PubModel\":\"eCollection\",\"JCR\":\"Q4\",\"JCRName\":\"OPHTHALMOLOGY\",\"Score\":null,\"Total\":0}","platform":"Semanticscholar","paperid":null,"PeriodicalName":"Taiwan Journal of Ophthalmology","FirstCategoryId":"1085","ListUrlMain":"https://doi.org/10.4103/tjo.TJO-D-25-00011","RegionNum":0,"RegionCategory":null,"ArticlePicture":[],"TitleCN":null,"AbstractTextCN":null,"PMCID":null,"EPubDate":"2025/4/1 0:00:00","PubModel":"eCollection","JCR":"Q4","JCRName":"OPHTHALMOLOGY","Score":null,"Total":0}
引用次数: 0

摘要

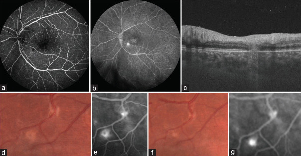
目的:研究点状视网膜外弓形体病(PORT)的临床特征、影像学特征及预后。材料和方法:回顾性、观察性、描述性分析PORT病变表现为典型全层坏死性视网膜脉络膜炎(TRC)的卫星病变或免疫功能正常病例的孤立病变。结果:34例34眼,男22例,女12例。PORT病变表现为深、暗、黄灰色外视网膜病变,为TRC的卫星病变(n = 30)或孤立的黄斑点状病变(n = 4)。平均病变大小为562 μm(50 ~ 1000)。复发率高(23.52%),表现为典型TRC (n = 4)或新的卫星PORT病变(n = 4)。在光学相干断层扫描(OCT)上,活动性病变具有高反射性视网膜外灶,活动性病变具有高自荧光,分辨力病变呈点状。愈合后病变OCT表现为外核层变薄,外视网膜萎缩,低自荧光。结论:PORT病变为多发点状病变,或与TRC相邻,处于活跃期或愈合期,或为孤立的黄斑点状弓形虫病。自体荧光、血管造影和OCT有助于区分活动性病变和愈合性病变。PORT病变的预后是颗粒性愈合、消退或完全消退。一些病例复发为新的卫星PORT病变,而另一些则发展为典型的视网膜脉络膜炎或CNVM。
本文章由计算机程序翻译,如有差异,请以英文原文为准。

Clinical characteristics, imaging features, and fate of punctate outer retinal toxoplasmosis lesions in immunocompetent cases of ocular toxoplasmosis.

Clinical characteristics, imaging features, and fate of punctate outer retinal toxoplasmosis lesions in immunocompetent cases of ocular toxoplasmosis.

Clinical characteristics, imaging features, and fate of punctate outer retinal toxoplasmosis lesions in immunocompetent cases of ocular toxoplasmosis.

Clinical characteristics, imaging features, and fate of punctate outer retinal toxoplasmosis lesions in immunocompetent cases of ocular toxoplasmosis.

Purpose: The purpose of this study was to study clinical characteristics, imaging features, and fate of punctate outer retinal toxoplasmosis (PORT).

Materials and methods: A retrospective, observational, descriptive analysis of PORT lesions presenting as satellite lesions of typical full-thickness necrotizing Toxoplasma retinochoroiditis (TRC) or isolated lesions in immunocompetent cases.

Results: We analyzed 34 eyes of 34 cases (22 males and 12 females). PORT lesions appeared as deep, dull, yellowish-gray outer retinal lesions, either as satellite lesions to a TRC (n = 30) or isolated macular punctate lesions (n = 4). The mean lesion size was 562 μm (50-1000). The recurrence rate was high (23.52%), manifesting as either typical TRC (n = 4) or new satellite PORT lesions (n = 4). Active lesions had hyperreflective outer retinal foci on optical coherence tomography (OCT), hyperautofluorescent in the active phase, and stippled upon resolution. Healed lesions exhibited outer nuclear layer thinning and outer retinal atrophy on OCT and were hypoautofluorescent.

Conclusion: PORT lesions were observed as multiple punctate lesions, either adjacent to TRC in active or healed phases or as isolated macular punctate toxoplasmosis. Autofluorescence, angiography, and OCT assist in differentiating active from healed lesions. The fate of PORT lesions was healing with granularity, fading, or complete resolution. Some cases recurred with new satellite PORT lesions, whereas others progressed to typical retinochoroiditis or CNVM.

求助全文
通过发布文献求助,成功后即可免费获取论文全文。 去求助
来源期刊
CiteScore
1.80
自引率
9.10%
发文量
68
审稿时长
19 weeks
×
引用
GB/T 7714-2015
复制
MLA
复制
APA
复制
导出至
BibTeX EndNote RefMan NoteFirst NoteExpress
×
提示
您的信息不完整,为了账户安全,请先补充。
现在去补充
×
提示
您因"违规操作"
具体请查看互助需知
我知道了
×
提示
确定
请完成安全验证×
copy
已复制链接
快去分享给好友吧!
我知道了
右上角分享
点击右上角分享
0
联系我们:info@booksci.cn Book学术提供免费学术资源搜索服务,方便国内外学者检索中英文文献。致力于提供最便捷和优质的服务体验。 Copyright © 2023 布克学术 All rights reserved.
京ICP备2023020795号-1
ghs 京公网安备 11010802042870号
Book学术文献互助
Book学术文献互助群
群 号:604180095
Book学术官方微信