猫嗜酸性硬化性纤维增生伴局部耐甲氧西林金黄色葡萄球菌双腔浸润。

IF 0.7 Q3 VETERINARY SCIENCES
Journal of Feline Medicine and Surgery Open Reports Pub Date : 2025-06-27 eCollection Date: 2025-01-01 DOI:10.1177/20551169251340288
Melody J Ward, Alisia Weyna, Katie L Anderson
{"title":"猫嗜酸性硬化性纤维增生伴局部耐甲氧西林金黄色葡萄球菌双腔浸润。","authors":"Melody J Ward, Alisia Weyna, Katie L Anderson","doi":"10.1177/20551169251340288","DOIUrl":null,"url":null,"abstract":"<p><strong>Case summary: </strong>A 4-year-old spayed female domestic shorthair cat was presented for evaluation of multiple abdominal masses and hyperglobulinemia. Thoracic radiographs and abdominal ultrasonography revealed a cranial abdominal mass with extension through the aortic hiatus of the diaphragm and into the caudodorsal mediastinum. A diagnosis of feline eosinophilic sclerosing fibroplasia (FESF) with intralesional methicillin-resistant <i>Staphylococcus aureus</i> (MRSA) was obtained based on necropsy results.</p><p><strong>Relevance and novel information: </strong>To the authors' knowledge, this case report is the first to describe extension of a primary FESF lesion through the diaphragm and is the first confirmed case of intralesional MRSA in an FESF lesion. In addition, this case is one of a growing number of reports of FESF lesions that do not involve the gastrointestinal tract. This case further contributes to the growing evidence that FESF should be considered as a differential diagnosis, in addition to neoplasia, feline infectious peritonitis or abscessation, in cats with masses, especially when there is concurrent hyperglobulinemia, a low albumin:globulin ratio and/or eosinophilia. This case also highlights the importance of considering this differential for masses outside the abdominal cavity, those involving both the chest and the abdomen, and those that do not involve the gastrointestinal tract.</p>","PeriodicalId":36588,"journal":{"name":"Journal of Feline Medicine and Surgery Open Reports","volume":"11 1","pages":"20551169251340288"},"PeriodicalIF":0.7000,"publicationDate":"2025-06-27","publicationTypes":"Journal Article","fieldsOfStudy":null,"isOpenAccess":false,"openAccessPdf":"https://www.ncbi.nlm.nih.gov/pmc/articles/PMC12206253/pdf/","citationCount":"0","resultStr":"{\"title\":\"Bicavitary involvement of feline eosinophilic sclerosing fibroplasia with intralesional methicillin-resistant <i>Staphylococcus aureus</i>.\",\"authors\":\"Melody J Ward, Alisia Weyna, Katie L Anderson\",\"doi\":\"10.1177/20551169251340288\",\"DOIUrl\":null,\"url\":null,\"abstract\":\"<p><strong>Case summary: </strong>A 4-year-old spayed female domestic shorthair cat was presented for evaluation of multiple abdominal masses and hyperglobulinemia. Thoracic radiographs and abdominal ultrasonography revealed a cranial abdominal mass with extension through the aortic hiatus of the diaphragm and into the caudodorsal mediastinum. A diagnosis of feline eosinophilic sclerosing fibroplasia (FESF) with intralesional methicillin-resistant <i>Staphylococcus aureus</i> (MRSA) was obtained based on necropsy results.</p><p><strong>Relevance and novel information: </strong>To the authors' knowledge, this case report is the first to describe extension of a primary FESF lesion through the diaphragm and is the first confirmed case of intralesional MRSA in an FESF lesion. In addition, this case is one of a growing number of reports of FESF lesions that do not involve the gastrointestinal tract. This case further contributes to the growing evidence that FESF should be considered as a differential diagnosis, in addition to neoplasia, feline infectious peritonitis or abscessation, in cats with masses, especially when there is concurrent hyperglobulinemia, a low albumin:globulin ratio and/or eosinophilia. This case also highlights the importance of considering this differential for masses outside the abdominal cavity, those involving both the chest and the abdomen, and those that do not involve the gastrointestinal tract.</p>\",\"PeriodicalId\":36588,\"journal\":{\"name\":\"Journal of Feline Medicine and Surgery Open Reports\",\"volume\":\"11 1\",\"pages\":\"20551169251340288\"},\"PeriodicalIF\":0.7000,\"publicationDate\":\"2025-06-27\",\"publicationTypes\":\"Journal Article\",\"fieldsOfStudy\":null,\"isOpenAccess\":false,\"openAccessPdf\":\"https://www.ncbi.nlm.nih.gov/pmc/articles/PMC12206253/pdf/\",\"citationCount\":\"0\",\"resultStr\":null,\"platform\":\"Semanticscholar\",\"paperid\":null,\"PeriodicalName\":\"Journal of Feline Medicine and Surgery Open Reports\",\"FirstCategoryId\":\"1085\",\"ListUrlMain\":\"https://doi.org/10.1177/20551169251340288\",\"RegionNum\":0,\"RegionCategory\":null,\"ArticlePicture\":[],\"TitleCN\":null,\"AbstractTextCN\":null,\"PMCID\":null,\"EPubDate\":\"2025/1/1 0:00:00\",\"PubModel\":\"eCollection\",\"JCR\":\"Q3\",\"JCRName\":\"VETERINARY SCIENCES\",\"Score\":null,\"Total\":0}","platform":"Semanticscholar","paperid":null,"PeriodicalName":"Journal of Feline Medicine and Surgery Open Reports","FirstCategoryId":"1085","ListUrlMain":"https://doi.org/10.1177/20551169251340288","RegionNum":0,"RegionCategory":null,"ArticlePicture":[],"TitleCN":null,"AbstractTextCN":null,"PMCID":null,"EPubDate":"2025/1/1 0:00:00","PubModel":"eCollection","JCR":"Q3","JCRName":"VETERINARY SCIENCES","Score":null,"Total":0}
引用次数: 0

摘要

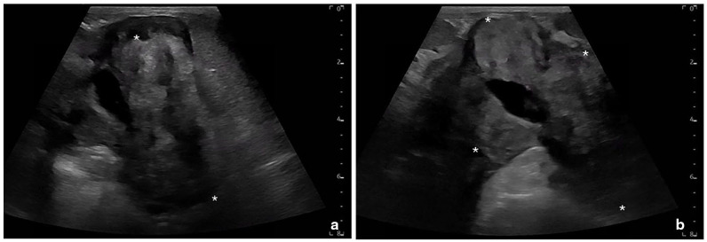
病例总结:一只4岁的雌性家养短毛猫被提出评估多发性腹部肿块和高球蛋白血症。胸部x线片和腹部超声检查显示一颅腹部肿块,其延伸穿过横膈膜主动脉裂孔并进入尾背纵隔。根据尸检结果,诊断为猫嗜酸性硬化性纤维增生(FESF)伴有局灶内耐甲氧西林金黄色葡萄球菌(MRSA)。相关性和新信息:据作者所知,该病例报告是第一个描述原发性FESF病变通过横膈膜延伸的病例,也是第一个在FESF病变中确诊的局内MRSA病例。此外,该病例是越来越多的不涉及胃肠道的FESF病变报告之一。本病例进一步证明,除了肿瘤、猫传染性腹膜炎或脓肿外,对于有肿块的猫,特别是同时伴有高球蛋白血症、低白蛋白:球蛋白比和/或嗜酸性粒细胞增多症时,FESF也应被视为一种鉴别诊断。该病例也强调了考虑腹腔外肿块的重要性,这些肿块包括胸腹部和不包括胃肠道的肿块。
本文章由计算机程序翻译,如有差异,请以英文原文为准。

Bicavitary involvement of feline eosinophilic sclerosing fibroplasia with intralesional methicillin-resistant <i>Staphylococcus aureus</i>.

Bicavitary involvement of feline eosinophilic sclerosing fibroplasia with intralesional methicillin-resistant <i>Staphylococcus aureus</i>.

Bicavitary involvement of feline eosinophilic sclerosing fibroplasia with intralesional methicillin-resistant <i>Staphylococcus aureus</i>.

Bicavitary involvement of feline eosinophilic sclerosing fibroplasia with intralesional methicillin-resistant Staphylococcus aureus.

Case summary: A 4-year-old spayed female domestic shorthair cat was presented for evaluation of multiple abdominal masses and hyperglobulinemia. Thoracic radiographs and abdominal ultrasonography revealed a cranial abdominal mass with extension through the aortic hiatus of the diaphragm and into the caudodorsal mediastinum. A diagnosis of feline eosinophilic sclerosing fibroplasia (FESF) with intralesional methicillin-resistant Staphylococcus aureus (MRSA) was obtained based on necropsy results.

Relevance and novel information: To the authors' knowledge, this case report is the first to describe extension of a primary FESF lesion through the diaphragm and is the first confirmed case of intralesional MRSA in an FESF lesion. In addition, this case is one of a growing number of reports of FESF lesions that do not involve the gastrointestinal tract. This case further contributes to the growing evidence that FESF should be considered as a differential diagnosis, in addition to neoplasia, feline infectious peritonitis or abscessation, in cats with masses, especially when there is concurrent hyperglobulinemia, a low albumin:globulin ratio and/or eosinophilia. This case also highlights the importance of considering this differential for masses outside the abdominal cavity, those involving both the chest and the abdomen, and those that do not involve the gastrointestinal tract.

求助全文
通过发布文献求助,成功后即可免费获取论文全文。 去求助
来源期刊
CiteScore
1.30
自引率
14.30%
发文量
57
审稿时长
15 weeks
×
引用
GB/T 7714-2015
复制
MLA
复制
APA
复制
导出至
BibTeX EndNote RefMan NoteFirst NoteExpress
×
提示
您的信息不完整,为了账户安全,请先补充。
现在去补充
×
提示
您因"违规操作"
具体请查看互助需知
我知道了
×
提示
确定
请完成安全验证×
copy
已复制链接
快去分享给好友吧!
我知道了
右上角分享
点击右上角分享
0
联系我们:info@booksci.cn Book学术提供免费学术资源搜索服务,方便国内外学者检索中英文文献。致力于提供最便捷和优质的服务体验。 Copyright © 2023 布克学术 All rights reserved.
京ICP备2023020795号-1
ghs 京公网安备 11010802042870号
Book学术文献互助
Book学术文献互助群
群 号:604180095
Book学术官方微信