异物摄入:放射学评估、发现和处理。

IF 5.3 2区 医学 Q1 RADIOLOGY, NUCLEAR MEDICINE & MEDICAL IMAGING
Sang Min Lee, Song-Ee Baek, Choong Wook Lee, Young Chul Kim, Min-Jeong Kim
{"title":"异物摄入:放射学评估、发现和处理。","authors":"Sang Min Lee, Song-Ee Baek, Choong Wook Lee, Young Chul Kim, Min-Jeong Kim","doi":"10.3348/kjr.2025.0118","DOIUrl":null,"url":null,"abstract":"<p><p>Foreign body ingestion and sensation are common clinical conditions encountered in emergency and outpatient settings. True foreign body ingestion typically involves a history of swallowing a foreign object and is often confirmed by radiographic findings. The management of foreign body ingestion depends on the type, size, and location of the object, as well as the patient's symptoms. High-risk objects, such as button/disk batteries, multiple magnets, and sharp objects, often require urgent or emergent endoscopic removal to prevent severe complications such as perforation, obstruction, and fistula formation. Imaging is crucial for diagnosis and management, with radiographs being the first-line modality and CT offering superior sensitivity for detecting radiolucent objects and complications. Mimickers of foreign body ingestion and sensations, even without the presence of an actual foreign body, arise from motility disorders (e.g., achalasia), structural or mucosal abnormalities (e.g., Zenker's diverticulum, reflux esophagitis, and esophageal strictures), and extrinsic compression. Although these mimickers produce similar symptoms, they require different diagnostic approaches. This review highlights the radiological findings, management strategies for various foreign bodies, and the distinguishing features of their mimickers, emphasizing the importance of timely and accurate differentiation to guide appropriate interventions and improve patient outcomes.</p>","PeriodicalId":17881,"journal":{"name":"Korean Journal of Radiology","volume":"26 7","pages":"638-649"},"PeriodicalIF":5.3000,"publicationDate":"2025-07-01","publicationTypes":"Journal Article","fieldsOfStudy":null,"isOpenAccess":false,"openAccessPdf":"https://www.ncbi.nlm.nih.gov/pmc/articles/PMC12235546/pdf/","citationCount":"0","resultStr":"{\"title\":\"Foreign Body Ingestion: Radiologic Evaluation, Findings, and Management.\",\"authors\":\"Sang Min Lee, Song-Ee Baek, Choong Wook Lee, Young Chul Kim, Min-Jeong Kim\",\"doi\":\"10.3348/kjr.2025.0118\",\"DOIUrl\":null,\"url\":null,\"abstract\":\"<p><p>Foreign body ingestion and sensation are common clinical conditions encountered in emergency and outpatient settings. True foreign body ingestion typically involves a history of swallowing a foreign object and is often confirmed by radiographic findings. The management of foreign body ingestion depends on the type, size, and location of the object, as well as the patient's symptoms. High-risk objects, such as button/disk batteries, multiple magnets, and sharp objects, often require urgent or emergent endoscopic removal to prevent severe complications such as perforation, obstruction, and fistula formation. Imaging is crucial for diagnosis and management, with radiographs being the first-line modality and CT offering superior sensitivity for detecting radiolucent objects and complications. Mimickers of foreign body ingestion and sensations, even without the presence of an actual foreign body, arise from motility disorders (e.g., achalasia), structural or mucosal abnormalities (e.g., Zenker's diverticulum, reflux esophagitis, and esophageal strictures), and extrinsic compression. Although these mimickers produce similar symptoms, they require different diagnostic approaches. This review highlights the radiological findings, management strategies for various foreign bodies, and the distinguishing features of their mimickers, emphasizing the importance of timely and accurate differentiation to guide appropriate interventions and improve patient outcomes.</p>\",\"PeriodicalId\":17881,\"journal\":{\"name\":\"Korean Journal of Radiology\",\"volume\":\"26 7\",\"pages\":\"638-649\"},\"PeriodicalIF\":5.3000,\"publicationDate\":\"2025-07-01\",\"publicationTypes\":\"Journal Article\",\"fieldsOfStudy\":null,\"isOpenAccess\":false,\"openAccessPdf\":\"https://www.ncbi.nlm.nih.gov/pmc/articles/PMC12235546/pdf/\",\"citationCount\":\"0\",\"resultStr\":null,\"platform\":\"Semanticscholar\",\"paperid\":null,\"PeriodicalName\":\"Korean Journal of Radiology\",\"FirstCategoryId\":\"3\",\"ListUrlMain\":\"https://doi.org/10.3348/kjr.2025.0118\",\"RegionNum\":2,\"RegionCategory\":\"医学\",\"ArticlePicture\":[],\"TitleCN\":null,\"AbstractTextCN\":null,\"PMCID\":null,\"EPubDate\":\"\",\"PubModel\":\"\",\"JCR\":\"Q1\",\"JCRName\":\"RADIOLOGY, NUCLEAR MEDICINE & MEDICAL IMAGING\",\"Score\":null,\"Total\":0}","platform":"Semanticscholar","paperid":null,"PeriodicalName":"Korean Journal of Radiology","FirstCategoryId":"3","ListUrlMain":"https://doi.org/10.3348/kjr.2025.0118","RegionNum":2,"RegionCategory":"医学","ArticlePicture":[],"TitleCN":null,"AbstractTextCN":null,"PMCID":null,"EPubDate":"","PubModel":"","JCR":"Q1","JCRName":"RADIOLOGY, NUCLEAR MEDICINE & MEDICAL IMAGING","Score":null,"Total":0}
引用次数: 0

摘要

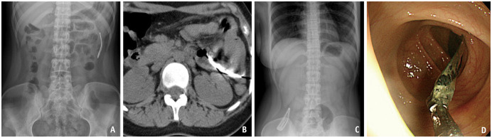
异物摄入和感觉是常见的临床情况遇到急诊和门诊设置。真正的异物摄入通常包括吞咽异物的历史,通常通过x线检查证实。异物摄入的处理取决于异物的类型、大小和位置,以及患者的症状。高风险物体,如钮扣/盘状电池、多个磁铁和尖锐物体,通常需要紧急或紧急内镜切除,以防止穿孔、阻塞和瘘管形成等严重并发症。影像学对诊断和治疗至关重要,x线片是一线方式,CT在检测放射性物体和并发症方面具有卓越的灵敏度。即使没有实际的异物存在,异物摄入和感觉的模拟者也会出现在运动障碍(如贲门失弛缓症)、结构或粘膜异常(如Zenker憩室、反流性食管炎和食管狭窄)和外源性压迫。虽然这些模仿者产生相似的症状,但它们需要不同的诊断方法。本文综述了各种异物的影像学表现、处理策略以及其模仿物的特征,强调了及时准确区分的重要性,以指导适当的干预和改善患者的预后。
本文章由计算机程序翻译,如有差异,请以英文原文为准。

Foreign Body Ingestion: Radiologic Evaluation, Findings, and Management.

Foreign Body Ingestion: Radiologic Evaluation, Findings, and Management.

Foreign Body Ingestion: Radiologic Evaluation, Findings, and Management.

Foreign Body Ingestion: Radiologic Evaluation, Findings, and Management.

Foreign body ingestion and sensation are common clinical conditions encountered in emergency and outpatient settings. True foreign body ingestion typically involves a history of swallowing a foreign object and is often confirmed by radiographic findings. The management of foreign body ingestion depends on the type, size, and location of the object, as well as the patient's symptoms. High-risk objects, such as button/disk batteries, multiple magnets, and sharp objects, often require urgent or emergent endoscopic removal to prevent severe complications such as perforation, obstruction, and fistula formation. Imaging is crucial for diagnosis and management, with radiographs being the first-line modality and CT offering superior sensitivity for detecting radiolucent objects and complications. Mimickers of foreign body ingestion and sensations, even without the presence of an actual foreign body, arise from motility disorders (e.g., achalasia), structural or mucosal abnormalities (e.g., Zenker's diverticulum, reflux esophagitis, and esophageal strictures), and extrinsic compression. Although these mimickers produce similar symptoms, they require different diagnostic approaches. This review highlights the radiological findings, management strategies for various foreign bodies, and the distinguishing features of their mimickers, emphasizing the importance of timely and accurate differentiation to guide appropriate interventions and improve patient outcomes.

求助全文
通过发布文献求助,成功后即可免费获取论文全文。 去求助
来源期刊
Korean Journal of Radiology
Korean Journal of Radiology 医学-核医学
CiteScore
10.60
自引率
12.50%
发文量
141
审稿时长
1.3 months
期刊介绍: The inaugural issue of the Korean J Radiol came out in March 2000. Our journal aims to produce and propagate knowledge on radiologic imaging and related sciences. A unique feature of the articles published in the Journal will be their reflection of global trends in radiology combined with an East-Asian perspective. Geographic differences in disease prevalence will be reflected in the contents of papers, and this will serve to enrich our body of knowledge. World''s outstanding radiologists from many countries are serving as editorial board of our journal.
×
引用
GB/T 7714-2015
复制
MLA
复制
APA
复制
导出至
BibTeX EndNote RefMan NoteFirst NoteExpress
×
提示
您的信息不完整,为了账户安全,请先补充。
现在去补充
×
提示
您因"违规操作"
具体请查看互助需知
我知道了
×
提示
确定
请完成安全验证×
copy
已复制链接
快去分享给好友吧!
我知道了
右上角分享
点击右上角分享
0
联系我们:info@booksci.cn Book学术提供免费学术资源搜索服务,方便国内外学者检索中英文文献。致力于提供最便捷和优质的服务体验。 Copyright © 2023 布克学术 All rights reserved.
京ICP备2023020795号-1
ghs 京公网安备 11010802042870号
Book学术文献互助
Book学术文献互助群
群 号:604180095
Book学术官方微信