以初始高胆红素血症和显著升高的肝转氨酶为表现的急性淋巴细胞白血病:一例罕见的未经调整化疗的儿童病例。

IF 0.6 Q3 MEDICINE, GENERAL & INTERNAL
Clinical Medicine Insights. Case Reports Pub Date : 2025-06-26 eCollection Date: 2025-01-01 DOI:10.1177/11795476251351514
Atbin Latifi, Mahbod Soltani, Mohammad Satarzadeh, Negar Pourahmadian, Amirreza Hesami Rad
{"title":"以初始高胆红素血症和显著升高的肝转氨酶为表现的急性淋巴细胞白血病:一例罕见的未经调整化疗的儿童病例。","authors":"Atbin Latifi, Mahbod Soltani, Mohammad Satarzadeh, Negar Pourahmadian, Amirreza Hesami Rad","doi":"10.1177/11795476251351514","DOIUrl":null,"url":null,"abstract":"<p><p>Acute lymphoblastic leukemia (ALL) rarely presents with initial liver failure. We describe a 9-year-old boy with no past medical history who presented with jaundice, hyperbilirubinemia (total bilirubin 13.1 mg/dL), and significantly elevated transaminases (ALT 1283 U/L, AST 1325 U/L). Bone marrow aspiration confirmed precursor B-cell ALL. Despite severe hepatic dysfunction, full-dose induction chemotherapy was administered following corticosteroid therapy, leading to rapid improvement in liver function and normalization by day 29. No complications were observed, and at the end of induction, minimal residual disease was 0.001%. This case of successful unadjusted chemotherapy, with leukemic infiltration identified as the etiology of hepatitis, underscores the importance of early diagnosis, multidisciplinary management, close monitoring, and highlights the need for further investigation into safe treatment protocols in such cases.</p>","PeriodicalId":10357,"journal":{"name":"Clinical Medicine Insights. Case Reports","volume":"18 ","pages":"11795476251351514"},"PeriodicalIF":0.6000,"publicationDate":"2025-06-26","publicationTypes":"Journal Article","fieldsOfStudy":null,"isOpenAccess":false,"openAccessPdf":"https://www.ncbi.nlm.nih.gov/pmc/articles/PMC12202906/pdf/","citationCount":"0","resultStr":"{\"title\":\"Acute Lymphoblastic Leukemia Presenting With Initial Hyperbilirubinemia and Significantly Elevated Liver Transaminases: A Rare Pediatric Case With Unadjusted Chemotherapy.\",\"authors\":\"Atbin Latifi, Mahbod Soltani, Mohammad Satarzadeh, Negar Pourahmadian, Amirreza Hesami Rad\",\"doi\":\"10.1177/11795476251351514\",\"DOIUrl\":null,\"url\":null,\"abstract\":\"<p><p>Acute lymphoblastic leukemia (ALL) rarely presents with initial liver failure. We describe a 9-year-old boy with no past medical history who presented with jaundice, hyperbilirubinemia (total bilirubin 13.1 mg/dL), and significantly elevated transaminases (ALT 1283 U/L, AST 1325 U/L). Bone marrow aspiration confirmed precursor B-cell ALL. Despite severe hepatic dysfunction, full-dose induction chemotherapy was administered following corticosteroid therapy, leading to rapid improvement in liver function and normalization by day 29. No complications were observed, and at the end of induction, minimal residual disease was 0.001%. This case of successful unadjusted chemotherapy, with leukemic infiltration identified as the etiology of hepatitis, underscores the importance of early diagnosis, multidisciplinary management, close monitoring, and highlights the need for further investigation into safe treatment protocols in such cases.</p>\",\"PeriodicalId\":10357,\"journal\":{\"name\":\"Clinical Medicine Insights. Case Reports\",\"volume\":\"18 \",\"pages\":\"11795476251351514\"},\"PeriodicalIF\":0.6000,\"publicationDate\":\"2025-06-26\",\"publicationTypes\":\"Journal Article\",\"fieldsOfStudy\":null,\"isOpenAccess\":false,\"openAccessPdf\":\"https://www.ncbi.nlm.nih.gov/pmc/articles/PMC12202906/pdf/\",\"citationCount\":\"0\",\"resultStr\":null,\"platform\":\"Semanticscholar\",\"paperid\":null,\"PeriodicalName\":\"Clinical Medicine Insights. Case Reports\",\"FirstCategoryId\":\"1085\",\"ListUrlMain\":\"https://doi.org/10.1177/11795476251351514\",\"RegionNum\":0,\"RegionCategory\":null,\"ArticlePicture\":[],\"TitleCN\":null,\"AbstractTextCN\":null,\"PMCID\":null,\"EPubDate\":\"2025/1/1 0:00:00\",\"PubModel\":\"eCollection\",\"JCR\":\"Q3\",\"JCRName\":\"MEDICINE, GENERAL & INTERNAL\",\"Score\":null,\"Total\":0}","platform":"Semanticscholar","paperid":null,"PeriodicalName":"Clinical Medicine Insights. Case Reports","FirstCategoryId":"1085","ListUrlMain":"https://doi.org/10.1177/11795476251351514","RegionNum":0,"RegionCategory":null,"ArticlePicture":[],"TitleCN":null,"AbstractTextCN":null,"PMCID":null,"EPubDate":"2025/1/1 0:00:00","PubModel":"eCollection","JCR":"Q3","JCRName":"MEDICINE, GENERAL & INTERNAL","Score":null,"Total":0}
引用次数: 0

摘要

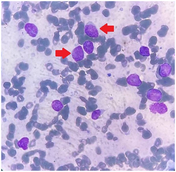
急性淋巴细胞白血病(ALL)很少以肝功能衰竭为首发表现。我们描述了一个9岁的男孩,没有既往病史,表现为黄疸,高胆红素血症(总胆红素13.1 mg/dL),转氨酶显著升高(ALT 1283 U/L, AST 1325 U/L)。骨髓穿刺证实前体b细胞ALL。尽管存在严重的肝功能障碍,但在皮质类固醇治疗后给予全剂量诱导化疗,导致肝功能迅速改善并在第29天恢复正常。未观察到并发症,诱导结束时,最小残留病变为0.001%。这例成功的未经调整的化疗,白血病浸润被确定为肝炎的病因,强调了早期诊断、多学科管理、密切监测的重要性,并强调了进一步研究此类病例的安全治疗方案的必要性。
本文章由计算机程序翻译,如有差异,请以英文原文为准。

Acute Lymphoblastic Leukemia Presenting With Initial Hyperbilirubinemia and Significantly Elevated Liver Transaminases: A Rare Pediatric Case With Unadjusted Chemotherapy.

Acute Lymphoblastic Leukemia Presenting With Initial Hyperbilirubinemia and Significantly Elevated Liver Transaminases: A Rare Pediatric Case With Unadjusted Chemotherapy.

Acute Lymphoblastic Leukemia Presenting With Initial Hyperbilirubinemia and Significantly Elevated Liver Transaminases: A Rare Pediatric Case With Unadjusted Chemotherapy.

Acute Lymphoblastic Leukemia Presenting With Initial Hyperbilirubinemia and Significantly Elevated Liver Transaminases: A Rare Pediatric Case With Unadjusted Chemotherapy.

Acute lymphoblastic leukemia (ALL) rarely presents with initial liver failure. We describe a 9-year-old boy with no past medical history who presented with jaundice, hyperbilirubinemia (total bilirubin 13.1 mg/dL), and significantly elevated transaminases (ALT 1283 U/L, AST 1325 U/L). Bone marrow aspiration confirmed precursor B-cell ALL. Despite severe hepatic dysfunction, full-dose induction chemotherapy was administered following corticosteroid therapy, leading to rapid improvement in liver function and normalization by day 29. No complications were observed, and at the end of induction, minimal residual disease was 0.001%. This case of successful unadjusted chemotherapy, with leukemic infiltration identified as the etiology of hepatitis, underscores the importance of early diagnosis, multidisciplinary management, close monitoring, and highlights the need for further investigation into safe treatment protocols in such cases.

求助全文
通过发布文献求助,成功后即可免费获取论文全文。 去求助
来源期刊
Clinical Medicine Insights. Case Reports
Clinical Medicine Insights. Case Reports MEDICINE, GENERAL & INTERNAL-
CiteScore
1.10
自引率
0.00%
发文量
57
审稿时长
8 weeks
×
引用
GB/T 7714-2015
复制
MLA
复制
APA
复制
导出至
BibTeX EndNote RefMan NoteFirst NoteExpress
×
提示
您的信息不完整,为了账户安全,请先补充。
现在去补充
×
提示
您因"违规操作"
具体请查看互助需知
我知道了
×
提示
确定
请完成安全验证×
copy
已复制链接
快去分享给好友吧!
我知道了
右上角分享
点击右上角分享
0
联系我们:info@booksci.cn Book学术提供免费学术资源搜索服务,方便国内外学者检索中英文文献。致力于提供最便捷和优质的服务体验。 Copyright © 2023 布克学术 All rights reserved.
京ICP备2023020795号-1
ghs 京公网安备 11010802042870号
Book学术文献互助
Book学术文献互助群
群 号:604180095
Book学术官方微信