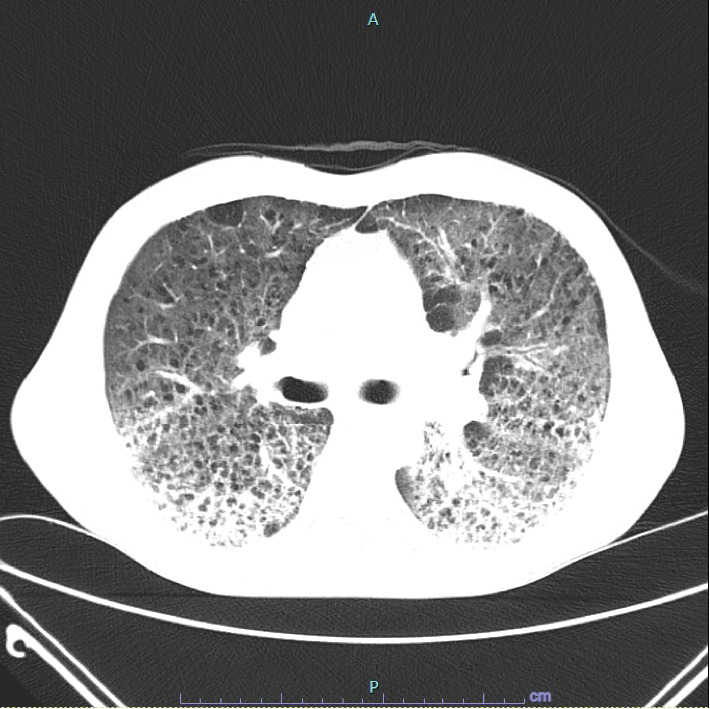
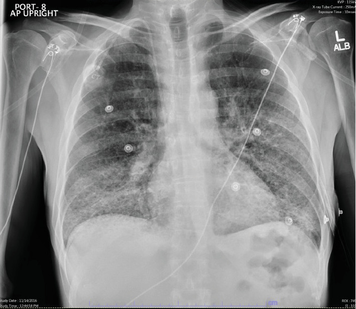
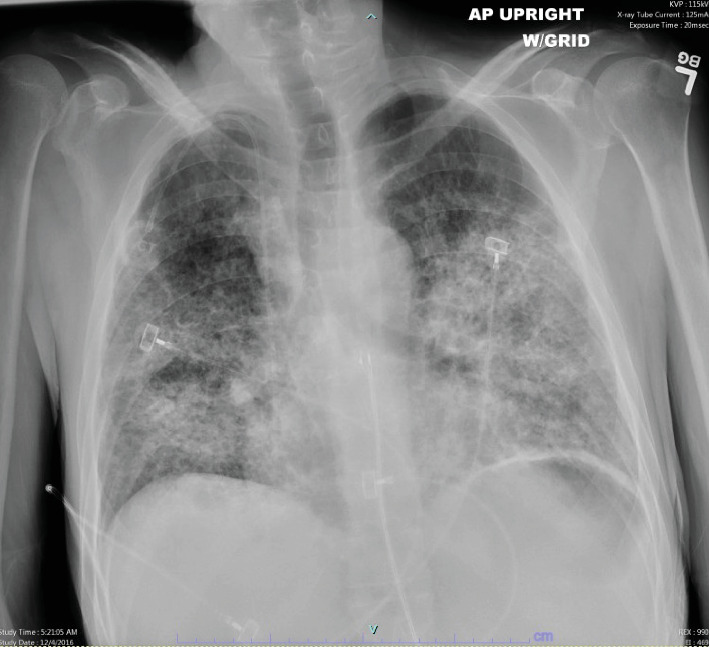
我不能呼吸了!丝裂霉素c致肺炎导致急性呼吸窘迫综合征,罕见病例。

IF 0.6 Q4 ONCOLOGY
Case Reports in Oncological Medicine Pub Date : 2025-06-23 eCollection Date: 2025-01-01 DOI:10.1155/crom/5587748
Tyler Steve, Prarthna V Bhardwaj
{"title":"我不能呼吸了!丝裂霉素c致肺炎导致急性呼吸窘迫综合征,罕见病例。","authors":"Tyler Steve, Prarthna V Bhardwaj","doi":"10.1155/crom/5587748","DOIUrl":null,"url":null,"abstract":"<p><p>Mitomycin C (MMC) pneumonitis leading to acute respiratory distress syndrome (ARDS) is a rare and life-threatening adverse reaction to MMC. Diagnosing MMC pneumonitis can be challenging as more frequent etiologies such as bacterial infections are often targeted first due to patients being immunocompromised from chemotherapy. We report a case of a middle-aged male who was administered MMC without concomitant vinca alkaloid, who developed ARDS secondary to MMC pneumonitis requiring intubation and intensive care. The patient recovered with steroid treatment after being on antibiotics for many days, and no infectious etiology was ever identified. This case emphasizes the importance of recognizing MMC as a potential cause for pneumonitis which can lead to ARDS and death.</p>","PeriodicalId":9636,"journal":{"name":"Case Reports in Oncological Medicine","volume":"2025 ","pages":"5587748"},"PeriodicalIF":0.6000,"publicationDate":"2025-06-23","publicationTypes":"Journal Article","fieldsOfStudy":null,"isOpenAccess":false,"openAccessPdf":"https://www.ncbi.nlm.nih.gov/pmc/articles/PMC12208747/pdf/","citationCount":"0","resultStr":"{\"title\":\"Mit-O-My I Can't Breath! Mitomycin C-Induced Pneumonitis Leading to Acute Respiratory Distress Syndrome, a Rare Case.\",\"authors\":\"Tyler Steve, Prarthna V Bhardwaj\",\"doi\":\"10.1155/crom/5587748\",\"DOIUrl\":null,\"url\":null,\"abstract\":\"<p><p>Mitomycin C (MMC) pneumonitis leading to acute respiratory distress syndrome (ARDS) is a rare and life-threatening adverse reaction to MMC. Diagnosing MMC pneumonitis can be challenging as more frequent etiologies such as bacterial infections are often targeted first due to patients being immunocompromised from chemotherapy. We report a case of a middle-aged male who was administered MMC without concomitant vinca alkaloid, who developed ARDS secondary to MMC pneumonitis requiring intubation and intensive care. The patient recovered with steroid treatment after being on antibiotics for many days, and no infectious etiology was ever identified. This case emphasizes the importance of recognizing MMC as a potential cause for pneumonitis which can lead to ARDS and death.</p>\",\"PeriodicalId\":9636,\"journal\":{\"name\":\"Case Reports in Oncological Medicine\",\"volume\":\"2025 \",\"pages\":\"5587748\"},\"PeriodicalIF\":0.6000,\"publicationDate\":\"2025-06-23\",\"publicationTypes\":\"Journal Article\",\"fieldsOfStudy\":null,\"isOpenAccess\":false,\"openAccessPdf\":\"https://www.ncbi.nlm.nih.gov/pmc/articles/PMC12208747/pdf/\",\"citationCount\":\"0\",\"resultStr\":null,\"platform\":\"Semanticscholar\",\"paperid\":null,\"PeriodicalName\":\"Case Reports in Oncological Medicine\",\"FirstCategoryId\":\"1085\",\"ListUrlMain\":\"https://doi.org/10.1155/crom/5587748\",\"RegionNum\":0,\"RegionCategory\":null,\"ArticlePicture\":[],\"TitleCN\":null,\"AbstractTextCN\":null,\"PMCID\":null,\"EPubDate\":\"2025/1/1 0:00:00\",\"PubModel\":\"eCollection\",\"JCR\":\"Q4\",\"JCRName\":\"ONCOLOGY\",\"Score\":null,\"Total\":0}","platform":"Semanticscholar","paperid":null,"PeriodicalName":"Case Reports in Oncological Medicine","FirstCategoryId":"1085","ListUrlMain":"https://doi.org/10.1155/crom/5587748","RegionNum":0,"RegionCategory":null,"ArticlePicture":[],"TitleCN":null,"AbstractTextCN":null,"PMCID":null,"EPubDate":"2025/1/1 0:00:00","PubModel":"eCollection","JCR":"Q4","JCRName":"ONCOLOGY","Score":null,"Total":0}
引用次数: 0

摘要

丝裂霉素C (MMC)肺炎导致急性呼吸窘迫综合征(ARDS)是一种罕见的危及生命的MMC不良反应。诊断MMC肺炎可能具有挑战性,因为更常见的病因(如细菌感染)往往是首先针对的目标,因为患者因化疗而免疫功能低下。我们报告了一例中年男性服用MMC而不同时服用长春花生物碱的病例,他发生了继发于MMC肺炎的ARDS,需要插管和重症监护。患者在服用抗生素多日后,经类固醇治疗恢复,未发现感染性病因。这个病例强调了认识到MMC是可能导致急性呼吸窘迫综合征和死亡的肺炎的潜在病因的重要性。
本文章由计算机程序翻译,如有差异,请以英文原文为准。

Mit-O-My I Can't Breath! Mitomycin C-Induced Pneumonitis Leading to Acute Respiratory Distress Syndrome, a Rare Case.

Mit-O-My I Can't Breath! Mitomycin C-Induced Pneumonitis Leading to Acute Respiratory Distress Syndrome, a Rare Case.

Mit-O-My I Can't Breath! Mitomycin C-Induced Pneumonitis Leading to Acute Respiratory Distress Syndrome, a Rare Case.

Mit-O-My I Can't Breath! Mitomycin C-Induced Pneumonitis Leading to Acute Respiratory Distress Syndrome, a Rare Case.

Mitomycin C (MMC) pneumonitis leading to acute respiratory distress syndrome (ARDS) is a rare and life-threatening adverse reaction to MMC. Diagnosing MMC pneumonitis can be challenging as more frequent etiologies such as bacterial infections are often targeted first due to patients being immunocompromised from chemotherapy. We report a case of a middle-aged male who was administered MMC without concomitant vinca alkaloid, who developed ARDS secondary to MMC pneumonitis requiring intubation and intensive care. The patient recovered with steroid treatment after being on antibiotics for many days, and no infectious etiology was ever identified. This case emphasizes the importance of recognizing MMC as a potential cause for pneumonitis which can lead to ARDS and death.

求助全文
通过发布文献求助,成功后即可免费获取论文全文。 去求助
来源期刊
自引率
0.00%
发文量
11
审稿时长
16 weeks
期刊介绍: Case Reports in Oncological Medicine is a peer-reviewed, Open Access journal that publishes case reports and case series related to breast cancer, lung cancer, gastrointestinal cancer, skin cancer, head and neck cancer, paediatric oncology, neurooncology as well as genitourinary cancer.
×
引用
GB/T 7714-2015
复制
MLA
复制
APA
复制
导出至
BibTeX EndNote RefMan NoteFirst NoteExpress
×
提示
您的信息不完整,为了账户安全,请先补充。
现在去补充
×
提示
您因"违规操作"
具体请查看互助需知
我知道了
×
提示
确定
请完成安全验证×
copy
已复制链接
快去分享给好友吧!
我知道了
右上角分享
点击右上角分享
0
联系我们:info@booksci.cn Book学术提供免费学术资源搜索服务,方便国内外学者检索中英文文献。致力于提供最便捷和优质的服务体验。 Copyright © 2023 布克学术 All rights reserved.
京ICP备2023020795号-1
ghs 京公网安备 11010802042870号
Book学术文献互助
Book学术文献互助群
群 号:604180095
Book学术官方微信