被遗忘的缺陷:一个突出21世纪坏血病非典型表现的病例系列。

IF 0.7 Q3 MEDICINE, GENERAL & INTERNAL
Case Reports in Medicine Pub Date : 2025-06-23 eCollection Date: 2025-01-01 DOI:10.1155/carm/2118907
Mohammed Ayyad, Lilian Tran, Safia Ansari, Dennis Levy, Daniel Matassa
{"title":"被遗忘的缺陷:一个突出21世纪坏血病非典型表现的病例系列。","authors":"Mohammed Ayyad, Lilian Tran, Safia Ansari, Dennis Levy, Daniel Matassa","doi":"10.1155/carm/2118907","DOIUrl":null,"url":null,"abstract":"<p><p>Scurvy, caused by vitamin C deficiency, is increasingly recognized in contemporary clinical practice, particularly among vulnerable populations. Despite its historical association with maritime exploration, scurvy persists in patients with malnutrition, alcoholism, psychiatric disorders, and limited access to fresh produce. This report presents two cases of scurvy diagnosed in a low socioeconomic urban setting, emphasizing the diverse and atypical manifestations of this condition. The first case involves a 76-year-old female presenting with altered mental status and pulmonary hypertension, ultimately attributed to severe vitamin C deficiency. Echocardiography revealed a pulmonary artery pressure of 36 mmHg and severe tricuspid regurgitation. A thorough evaluation, combined with evidence of malnourishment and neuropsychiatric symptoms, led to the diagnosis of scurvy, confirmed by undetectable serum vitamin C levels. High-dose intravenous vitamin C supplementation resulted in marked clinical improvement and resolution of cardiopulmonary abnormalities. The second case describes a 68-year-old male with alcohol use disorder presenting with syncope, anemia, and systemic inflammation. Laboratory tests revealed leukocytosis, acute kidney injury, elevated ferritin, and undetectable iron-binding capacity. A nutritional workup identified severe vitamin C deficiency (0.2 mg/dL). Oral vitamin C supplementation improved inflammatory markers, anemia, and general well-being. These cases highlight the importance of considering scurvy in patients with unexplained systemic symptoms and malnutrition. Early diagnosis and prompt treatment with vitamin C supplementation can lead to full recovery and prevent severe complications. Clinicians should maintain a high index of suspicion for scurvy, especially in at-risk populations with atypical clinical presentations.</p>","PeriodicalId":9627,"journal":{"name":"Case Reports in Medicine","volume":"2025 ","pages":"2118907"},"PeriodicalIF":0.7000,"publicationDate":"2025-06-23","publicationTypes":"Journal Article","fieldsOfStudy":null,"isOpenAccess":false,"openAccessPdf":"https://www.ncbi.nlm.nih.gov/pmc/articles/PMC12208746/pdf/","citationCount":"0","resultStr":"{\"title\":\"Forgotten Deficiency: A Case Series Highlighting Atypical Presentations of Scurvy in the 21st Century.\",\"authors\":\"Mohammed Ayyad, Lilian Tran, Safia Ansari, Dennis Levy, Daniel Matassa\",\"doi\":\"10.1155/carm/2118907\",\"DOIUrl\":null,\"url\":null,\"abstract\":\"<p><p>Scurvy, caused by vitamin C deficiency, is increasingly recognized in contemporary clinical practice, particularly among vulnerable populations. Despite its historical association with maritime exploration, scurvy persists in patients with malnutrition, alcoholism, psychiatric disorders, and limited access to fresh produce. This report presents two cases of scurvy diagnosed in a low socioeconomic urban setting, emphasizing the diverse and atypical manifestations of this condition. The first case involves a 76-year-old female presenting with altered mental status and pulmonary hypertension, ultimately attributed to severe vitamin C deficiency. Echocardiography revealed a pulmonary artery pressure of 36 mmHg and severe tricuspid regurgitation. A thorough evaluation, combined with evidence of malnourishment and neuropsychiatric symptoms, led to the diagnosis of scurvy, confirmed by undetectable serum vitamin C levels. High-dose intravenous vitamin C supplementation resulted in marked clinical improvement and resolution of cardiopulmonary abnormalities. The second case describes a 68-year-old male with alcohol use disorder presenting with syncope, anemia, and systemic inflammation. Laboratory tests revealed leukocytosis, acute kidney injury, elevated ferritin, and undetectable iron-binding capacity. A nutritional workup identified severe vitamin C deficiency (0.2 mg/dL). Oral vitamin C supplementation improved inflammatory markers, anemia, and general well-being. These cases highlight the importance of considering scurvy in patients with unexplained systemic symptoms and malnutrition. Early diagnosis and prompt treatment with vitamin C supplementation can lead to full recovery and prevent severe complications. Clinicians should maintain a high index of suspicion for scurvy, especially in at-risk populations with atypical clinical presentations.</p>\",\"PeriodicalId\":9627,\"journal\":{\"name\":\"Case Reports in Medicine\",\"volume\":\"2025 \",\"pages\":\"2118907\"},\"PeriodicalIF\":0.7000,\"publicationDate\":\"2025-06-23\",\"publicationTypes\":\"Journal Article\",\"fieldsOfStudy\":null,\"isOpenAccess\":false,\"openAccessPdf\":\"https://www.ncbi.nlm.nih.gov/pmc/articles/PMC12208746/pdf/\",\"citationCount\":\"0\",\"resultStr\":null,\"platform\":\"Semanticscholar\",\"paperid\":null,\"PeriodicalName\":\"Case Reports in Medicine\",\"FirstCategoryId\":\"1085\",\"ListUrlMain\":\"https://doi.org/10.1155/carm/2118907\",\"RegionNum\":0,\"RegionCategory\":null,\"ArticlePicture\":[],\"TitleCN\":null,\"AbstractTextCN\":null,\"PMCID\":null,\"EPubDate\":\"2025/1/1 0:00:00\",\"PubModel\":\"eCollection\",\"JCR\":\"Q3\",\"JCRName\":\"MEDICINE, GENERAL & INTERNAL\",\"Score\":null,\"Total\":0}","platform":"Semanticscholar","paperid":null,"PeriodicalName":"Case Reports in Medicine","FirstCategoryId":"1085","ListUrlMain":"https://doi.org/10.1155/carm/2118907","RegionNum":0,"RegionCategory":null,"ArticlePicture":[],"TitleCN":null,"AbstractTextCN":null,"PMCID":null,"EPubDate":"2025/1/1 0:00:00","PubModel":"eCollection","JCR":"Q3","JCRName":"MEDICINE, GENERAL & INTERNAL","Score":null,"Total":0}
引用次数: 0

摘要

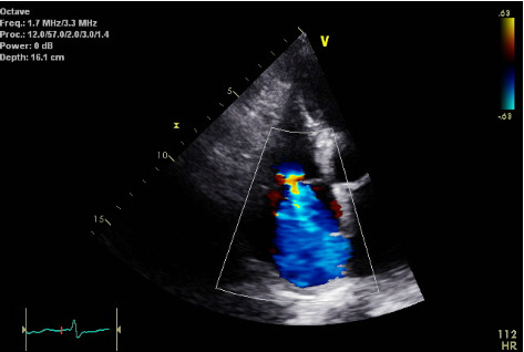
由维生素C缺乏引起的坏血病,在当代临床实践中越来越被认识到,特别是在脆弱人群中。尽管坏血病在历史上与航海探险有关,但在营养不良、酗酒、精神障碍和获取新鲜农产品有限的患者中,坏血病仍然存在。本报告提出两例坏血病诊断在低社会经济的城市设置,强调多样化和非典型的表现,这种情况。第一个病例涉及一名76岁女性,表现为精神状态改变和肺动脉高压,最终归因于严重的维生素C缺乏。超声心动图显示肺动脉压36毫米汞柱和严重的三尖瓣反流。经过全面的评估,结合营养不良和神经精神症状的证据,诊断为坏血病,血清维生素C水平无法检测。大剂量静脉补充维生素C可显著改善临床症状,缓解心肺功能异常。第二个病例描述了一个68岁的男性酒精使用障碍,表现为晕厥、贫血和全身炎症。实验室检查显示白细胞增多,急性肾损伤,铁蛋白升高,铁结合能力检测不到。营养检查发现严重的维生素C缺乏症(0.2 mg/dL)。口服维生素C补充剂可改善炎症标志物、贫血和总体健康状况。这些病例强调了考虑坏血病的重要性,患者无法解释的全身性症状和营养不良。早期诊断和及时治疗补充维生素C可导致完全康复和防止严重并发症。临床医生应保持对坏血病的高度怀疑,特别是在具有非典型临床表现的高危人群中。
本文章由计算机程序翻译,如有差异,请以英文原文为准。

Forgotten Deficiency: A Case Series Highlighting Atypical Presentations of Scurvy in the 21st Century.

Forgotten Deficiency: A Case Series Highlighting Atypical Presentations of Scurvy in the 21st Century.

Scurvy, caused by vitamin C deficiency, is increasingly recognized in contemporary clinical practice, particularly among vulnerable populations. Despite its historical association with maritime exploration, scurvy persists in patients with malnutrition, alcoholism, psychiatric disorders, and limited access to fresh produce. This report presents two cases of scurvy diagnosed in a low socioeconomic urban setting, emphasizing the diverse and atypical manifestations of this condition. The first case involves a 76-year-old female presenting with altered mental status and pulmonary hypertension, ultimately attributed to severe vitamin C deficiency. Echocardiography revealed a pulmonary artery pressure of 36 mmHg and severe tricuspid regurgitation. A thorough evaluation, combined with evidence of malnourishment and neuropsychiatric symptoms, led to the diagnosis of scurvy, confirmed by undetectable serum vitamin C levels. High-dose intravenous vitamin C supplementation resulted in marked clinical improvement and resolution of cardiopulmonary abnormalities. The second case describes a 68-year-old male with alcohol use disorder presenting with syncope, anemia, and systemic inflammation. Laboratory tests revealed leukocytosis, acute kidney injury, elevated ferritin, and undetectable iron-binding capacity. A nutritional workup identified severe vitamin C deficiency (0.2 mg/dL). Oral vitamin C supplementation improved inflammatory markers, anemia, and general well-being. These cases highlight the importance of considering scurvy in patients with unexplained systemic symptoms and malnutrition. Early diagnosis and prompt treatment with vitamin C supplementation can lead to full recovery and prevent severe complications. Clinicians should maintain a high index of suspicion for scurvy, especially in at-risk populations with atypical clinical presentations.

求助全文
通过发布文献求助,成功后即可免费获取论文全文。 去求助
来源期刊
Case Reports in Medicine
Case Reports in Medicine MEDICINE, GENERAL & INTERNAL-
CiteScore
1.70
自引率
0.00%
发文量
53
审稿时长
13 weeks
×
引用
GB/T 7714-2015
复制
MLA
复制
APA
复制
导出至
BibTeX EndNote RefMan NoteFirst NoteExpress
×
提示
您的信息不完整,为了账户安全,请先补充。
现在去补充
×
提示
您因"违规操作"
具体请查看互助需知
我知道了
×
提示
确定
请完成安全验证×
copy
已复制链接
快去分享给好友吧!
我知道了
右上角分享
点击右上角分享
0
联系我们:info@booksci.cn Book学术提供免费学术资源搜索服务,方便国内外学者检索中英文文献。致力于提供最便捷和优质的服务体验。 Copyright © 2023 布克学术 All rights reserved.
京ICP备2023020795号-1
ghs 京公网安备 11010802042870号
Book学术文献互助
Book学术文献互助群
群 号:604180095
Book学术官方微信