垂体腺瘤患者术后鞍区磁共振成像的最佳时机。

IF 1.1 Q4 NEUROSCIENCES
Mohammad Ghorbani, Ehsan Keykhosravi, Mohammad Hasanpour, Ali Abbasian Ardakani, Ehsan Mohammad Hosseini
{"title":"垂体腺瘤患者术后鞍区磁共振成像的最佳时机。","authors":"Mohammad Ghorbani, Ehsan Keykhosravi, Mohammad Hasanpour, Ali Abbasian Ardakani, Ehsan Mohammad Hosseini","doi":"10.32598/bcn.2023.5005.1","DOIUrl":null,"url":null,"abstract":"<p><strong>Introduction: </strong>Magnetic resonance imaging (MRI) is the preferred neuroradiologic tool for evaluating the sellar region. Pituitary adenomas account for about 15% of primary intracranial tumors. The optimal time for postoperative MRI of central nervous system neoplasms is 48 hours after surgery. Nevertheless, controversy exists regarding the timing of postoperative MRI in the sellar region. This study analyzed the sellar MRI findings of patients with pituitary adenoma at different times before and after surgery. Finally, we suggest the optimal time for postoperative sellar MRI imaging in patients with pituitary adenoma.</p><p><strong>Methods: </strong>A total of 28 patients with pituitary adenoma were evaluated. All patients did four sellar MRIs. The first MRI was done before surgery, and three were done 48 hours, two weeks, and three months after the surgery. Finally, the MRI findings at different times were compared to each other.</p><p><strong>Results: </strong>The pituitary gland and adenoma signals were constant at all time points. The signal of the packing material showed no differences in T1-weighted and T1-weighted with contrast sequences but showed changes in T2-weighted sequences.</p><p><strong>Conclusion: </strong>Contrary to other intracranial neoplasms, there were no apparent changes in MRI signal intensity during the 3 months after surgery in patients with pituitary adenoma. There was also no superiority of one time point for performing follow-up imaging.</p>","PeriodicalId":8701,"journal":{"name":"Basic and Clinical Neuroscience","volume":"15 5","pages":"649-658"},"PeriodicalIF":1.1000,"publicationDate":"2024-09-01","publicationTypes":"Journal Article","fieldsOfStudy":null,"isOpenAccess":false,"openAccessPdf":"https://www.ncbi.nlm.nih.gov/pmc/articles/PMC12198737/pdf/","citationCount":"0","resultStr":"{\"title\":\"The Optimal Time for Postoperative Magnetic Resonance Imaging of the Sella in Patients With Pituitary Adenoma.\",\"authors\":\"Mohammad Ghorbani, Ehsan Keykhosravi, Mohammad Hasanpour, Ali Abbasian Ardakani, Ehsan Mohammad Hosseini\",\"doi\":\"10.32598/bcn.2023.5005.1\",\"DOIUrl\":null,\"url\":null,\"abstract\":\"<p><strong>Introduction: </strong>Magnetic resonance imaging (MRI) is the preferred neuroradiologic tool for evaluating the sellar region. Pituitary adenomas account for about 15% of primary intracranial tumors. The optimal time for postoperative MRI of central nervous system neoplasms is 48 hours after surgery. Nevertheless, controversy exists regarding the timing of postoperative MRI in the sellar region. This study analyzed the sellar MRI findings of patients with pituitary adenoma at different times before and after surgery. Finally, we suggest the optimal time for postoperative sellar MRI imaging in patients with pituitary adenoma.</p><p><strong>Methods: </strong>A total of 28 patients with pituitary adenoma were evaluated. All patients did four sellar MRIs. The first MRI was done before surgery, and three were done 48 hours, two weeks, and three months after the surgery. Finally, the MRI findings at different times were compared to each other.</p><p><strong>Results: </strong>The pituitary gland and adenoma signals were constant at all time points. The signal of the packing material showed no differences in T1-weighted and T1-weighted with contrast sequences but showed changes in T2-weighted sequences.</p><p><strong>Conclusion: </strong>Contrary to other intracranial neoplasms, there were no apparent changes in MRI signal intensity during the 3 months after surgery in patients with pituitary adenoma. There was also no superiority of one time point for performing follow-up imaging.</p>\",\"PeriodicalId\":8701,\"journal\":{\"name\":\"Basic and Clinical Neuroscience\",\"volume\":\"15 5\",\"pages\":\"649-658\"},\"PeriodicalIF\":1.1000,\"publicationDate\":\"2024-09-01\",\"publicationTypes\":\"Journal Article\",\"fieldsOfStudy\":null,\"isOpenAccess\":false,\"openAccessPdf\":\"https://www.ncbi.nlm.nih.gov/pmc/articles/PMC12198737/pdf/\",\"citationCount\":\"0\",\"resultStr\":null,\"platform\":\"Semanticscholar\",\"paperid\":null,\"PeriodicalName\":\"Basic and Clinical Neuroscience\",\"FirstCategoryId\":\"1085\",\"ListUrlMain\":\"https://doi.org/10.32598/bcn.2023.5005.1\",\"RegionNum\":0,\"RegionCategory\":null,\"ArticlePicture\":[],\"TitleCN\":null,\"AbstractTextCN\":null,\"PMCID\":null,\"EPubDate\":\"\",\"PubModel\":\"\",\"JCR\":\"Q4\",\"JCRName\":\"NEUROSCIENCES\",\"Score\":null,\"Total\":0}","platform":"Semanticscholar","paperid":null,"PeriodicalName":"Basic and Clinical Neuroscience","FirstCategoryId":"1085","ListUrlMain":"https://doi.org/10.32598/bcn.2023.5005.1","RegionNum":0,"RegionCategory":null,"ArticlePicture":[],"TitleCN":null,"AbstractTextCN":null,"PMCID":null,"EPubDate":"","PubModel":"","JCR":"Q4","JCRName":"NEUROSCIENCES","Score":null,"Total":0}
引用次数: 0

摘要

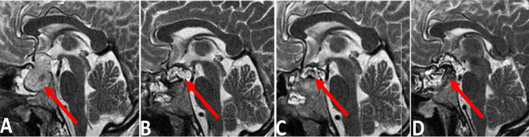
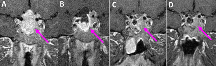
简介:磁共振成像(MRI)是评估鞍区首选的神经放射学工具。垂体腺瘤约占原发性颅内肿瘤的15%。中枢神经系统肿瘤术后MRI检查的最佳时间为术后48小时。然而,关于术后鞍区MRI的时机存在争议。本研究分析垂体腺瘤患者术前、术后不同时间的鞍区MRI表现。最后,我们建议垂体腺瘤患者术后鞍区MRI成像的最佳时间。方法:对28例垂体腺瘤患者进行临床评价。所有患者都做了4次mri。第一次核磁共振是在手术前做的,三次是在手术后48小时、两周和三个月做的。最后,对不同时间的MRI结果进行比较。结果:各时间点垂体及腺瘤信号不变。包装材料的信号在t1和t1加权序列上与对照序列没有差异,但在t2加权序列上有变化。结论:与其他颅内肿瘤不同,垂体腺瘤患者术后3个月内MRI信号强度无明显变化。随访的时间点也没有优势。
本文章由计算机程序翻译,如有差异,请以英文原文为准。

The Optimal Time for Postoperative Magnetic Resonance Imaging of the Sella in Patients With Pituitary Adenoma.

The Optimal Time for Postoperative Magnetic Resonance Imaging of the Sella in Patients With Pituitary Adenoma.

The Optimal Time for Postoperative Magnetic Resonance Imaging of the Sella in Patients With Pituitary Adenoma.

The Optimal Time for Postoperative Magnetic Resonance Imaging of the Sella in Patients With Pituitary Adenoma.

Introduction: Magnetic resonance imaging (MRI) is the preferred neuroradiologic tool for evaluating the sellar region. Pituitary adenomas account for about 15% of primary intracranial tumors. The optimal time for postoperative MRI of central nervous system neoplasms is 48 hours after surgery. Nevertheless, controversy exists regarding the timing of postoperative MRI in the sellar region. This study analyzed the sellar MRI findings of patients with pituitary adenoma at different times before and after surgery. Finally, we suggest the optimal time for postoperative sellar MRI imaging in patients with pituitary adenoma.

Methods: A total of 28 patients with pituitary adenoma were evaluated. All patients did four sellar MRIs. The first MRI was done before surgery, and three were done 48 hours, two weeks, and three months after the surgery. Finally, the MRI findings at different times were compared to each other.

Results: The pituitary gland and adenoma signals were constant at all time points. The signal of the packing material showed no differences in T1-weighted and T1-weighted with contrast sequences but showed changes in T2-weighted sequences.

Conclusion: Contrary to other intracranial neoplasms, there were no apparent changes in MRI signal intensity during the 3 months after surgery in patients with pituitary adenoma. There was also no superiority of one time point for performing follow-up imaging.

求助全文
通过发布文献求助,成功后即可免费获取论文全文。 去求助
来源期刊
CiteScore
2.60
自引率
0.00%
发文量
64
审稿时长
4 weeks
期刊介绍: BCN is an international multidisciplinary journal that publishes editorials, original full-length research articles, short communications, reviews, methodological papers, commentaries, perspectives and “news and reports” in the broad fields of developmental, molecular, cellular, system, computational, behavioral, cognitive, and clinical neuroscience. No area in the neural related sciences is excluded from consideration, although priority is given to studies that provide applied insights into the functioning of the nervous system. BCN aims to advance our understanding of organization and function of the nervous system in health and disease, thereby improving the diagnosis and treatment of neural-related disorders. Manuscripts submitted to BCN should describe novel results generated by experiments that were guided by clearly defined aims or hypotheses. BCN aims to provide serious ties in interdisciplinary communication, accessibility to a broad readership inside Iran and the region and also in all other international academic sites, effective peer review process, and independence from all possible non-scientific interests. BCN also tries to empower national, regional and international collaborative networks in the field of neuroscience in Iran, Middle East, Central Asia and North Africa and to be the voice of the Iranian and regional neuroscience community in the world of neuroscientists. In this way, the journal encourages submission of editorials, review papers, commentaries, methodological notes and perspectives that address this scope.
×
引用
GB/T 7714-2015
复制
MLA
复制
APA
复制
导出至
BibTeX EndNote RefMan NoteFirst NoteExpress
×
提示
您的信息不完整,为了账户安全,请先补充。
现在去补充
×
提示
您因"违规操作"
具体请查看互助需知
我知道了
×
提示
确定
请完成安全验证×
copy
已复制链接
快去分享给好友吧!
我知道了
右上角分享
点击右上角分享
0
联系我们:info@booksci.cn Book学术提供免费学术资源搜索服务,方便国内外学者检索中英文文献。致力于提供最便捷和优质的服务体验。 Copyright © 2023 布克学术 All rights reserved.
京ICP备2023020795号-1
ghs 京公网安备 11010802042870号
Book学术文献互助
Book学术文献互助群
群 号:604180095
Book学术官方微信