[S -甲基- 11C] - L -蛋氨酸PET/CT治疗前代谢肿瘤体积对局部非小细胞肺癌单段式碳离子放疗的预后价值

IF 2.5 4区 医学 Q2 RADIOLOGY, NUCLEAR MEDICINE & MEDICAL IMAGING
Kentaro Tamura, Ryuichi Nishii, Atsushi B. Tsuji, Jitsuro Tsukada, Takamasa Maeda, Mio Nakajima, Shigeru Yamada, Hitoshi Ishikawa, Kana Yamazaki, Tatsuya Higashi, Masahiro Jinzaki
{"title":"[S -甲基- 11C] - L -蛋氨酸PET/CT治疗前代谢肿瘤体积对局部非小细胞肺癌单段式碳离子放疗的预后价值","authors":"Kentaro Tamura,&nbsp;Ryuichi Nishii,&nbsp;Atsushi B. Tsuji,&nbsp;Jitsuro Tsukada,&nbsp;Takamasa Maeda,&nbsp;Mio Nakajima,&nbsp;Shigeru Yamada,&nbsp;Hitoshi Ishikawa,&nbsp;Kana Yamazaki,&nbsp;Tatsuya Higashi,&nbsp;Masahiro Jinzaki","doi":"10.1007/s12149-025-02067-y","DOIUrl":null,"url":null,"abstract":"<div><h3>Purpose</h3><p>This study aimed to evaluate the prognostic predictive ability of MET PET/CT-derived imaging biomarkers in patients with localized non-small cell lung cancer (NSCLC) undergoing single-fraction carbon-ion radiotherapy (CIRT) and to clarify the additional prognostic information these biomarkers can provide beyond the standard UICC staging protocol.</p><h3>Methods</h3><p>With institutional review board approval, 67 localized NSCLC patients eligible for CIRT between 2007 and 2012 were included. Single-fraction doses of 40–50 Gy were irradiated. MET PET imaging using the Toshiba Aquiduo or Siemens Biograph 16 commenced 20 min post 740 MBq MET injection before CIRT. Experienced radiologists analyzed the images, defining metabolic tumor volume (MTV) as areas with SUV &gt; 1.5. Statistical analysis was performed using SPSS 29, including Cox proportional hazard models for disease-free and overall survival.</p><h3>Results</h3><p>Seven cases with Tis of T stage were excluded because of low MET radiotracer uptake. A total of 60 patients were analyzed: 36 males and 24 females with a mean age of 73 years; 35 cases of T1, 24 cases of T2, and one T3 case. The average follow-up period was 74.3 months. The univariate Cox proportional hazard analyses showed that SUVmax, MTV, and total lesion retention (TLR) correlated with disease-free survival (DFS), while no significant difference was noted in treatment dose. For overall survival (OS), solid tumor diameter, SUVmax, MTV, TLR, and sex showed significant correlations in the univariate analysis. The multivariate analysis identified MTV as the only significant prognostic factor for both DFS and OS. Kaplan–Meier survival curves further supported these findings, with log-rank tests indicating a significant difference in survival duration related to MTV in both DFS and OS.</p><h3>Conclusion</h3><p>MTV in pre-treatment MET PET/CT would be a valuable predictor of DFS and OS of localized NSCLC treated with single-fraction CIRT.</p></div>","PeriodicalId":8007,"journal":{"name":"Annals of Nuclear Medicine","volume":"39 10","pages":"1074 - 1082"},"PeriodicalIF":2.5000,"publicationDate":"2025-06-30","publicationTypes":"Journal Article","fieldsOfStudy":null,"isOpenAccess":false,"openAccessPdf":"","citationCount":"0","resultStr":"{\"title\":\"Prognostic value of pre-treatment metabolic tumor volume on [S‑methyl‑11C]‑L‑methionine PET/CT in patients with local non-small cell lung carcinoma treated with single-fraction carbon-ion radiotherapy\",\"authors\":\"Kentaro Tamura,&nbsp;Ryuichi Nishii,&nbsp;Atsushi B. Tsuji,&nbsp;Jitsuro Tsukada,&nbsp;Takamasa Maeda,&nbsp;Mio Nakajima,&nbsp;Shigeru Yamada,&nbsp;Hitoshi Ishikawa,&nbsp;Kana Yamazaki,&nbsp;Tatsuya Higashi,&nbsp;Masahiro Jinzaki\",\"doi\":\"10.1007/s12149-025-02067-y\",\"DOIUrl\":null,\"url\":null,\"abstract\":\"<div><h3>Purpose</h3><p>This study aimed to evaluate the prognostic predictive ability of MET PET/CT-derived imaging biomarkers in patients with localized non-small cell lung cancer (NSCLC) undergoing single-fraction carbon-ion radiotherapy (CIRT) and to clarify the additional prognostic information these biomarkers can provide beyond the standard UICC staging protocol.</p><h3>Methods</h3><p>With institutional review board approval, 67 localized NSCLC patients eligible for CIRT between 2007 and 2012 were included. Single-fraction doses of 40–50 Gy were irradiated. MET PET imaging using the Toshiba Aquiduo or Siemens Biograph 16 commenced 20 min post 740 MBq MET injection before CIRT. Experienced radiologists analyzed the images, defining metabolic tumor volume (MTV) as areas with SUV &gt; 1.5. Statistical analysis was performed using SPSS 29, including Cox proportional hazard models for disease-free and overall survival.</p><h3>Results</h3><p>Seven cases with Tis of T stage were excluded because of low MET radiotracer uptake. A total of 60 patients were analyzed: 36 males and 24 females with a mean age of 73 years; 35 cases of T1, 24 cases of T2, and one T3 case. The average follow-up period was 74.3 months. The univariate Cox proportional hazard analyses showed that SUVmax, MTV, and total lesion retention (TLR) correlated with disease-free survival (DFS), while no significant difference was noted in treatment dose. For overall survival (OS), solid tumor diameter, SUVmax, MTV, TLR, and sex showed significant correlations in the univariate analysis. The multivariate analysis identified MTV as the only significant prognostic factor for both DFS and OS. Kaplan–Meier survival curves further supported these findings, with log-rank tests indicating a significant difference in survival duration related to MTV in both DFS and OS.</p><h3>Conclusion</h3><p>MTV in pre-treatment MET PET/CT would be a valuable predictor of DFS and OS of localized NSCLC treated with single-fraction CIRT.</p></div>\",\"PeriodicalId\":8007,\"journal\":{\"name\":\"Annals of Nuclear Medicine\",\"volume\":\"39 10\",\"pages\":\"1074 - 1082\"},\"PeriodicalIF\":2.5000,\"publicationDate\":\"2025-06-30\",\"publicationTypes\":\"Journal Article\",\"fieldsOfStudy\":null,\"isOpenAccess\":false,\"openAccessPdf\":\"\",\"citationCount\":\"0\",\"resultStr\":null,\"platform\":\"Semanticscholar\",\"paperid\":null,\"PeriodicalName\":\"Annals of Nuclear Medicine\",\"FirstCategoryId\":\"3\",\"ListUrlMain\":\"https://link.springer.com/article/10.1007/s12149-025-02067-y\",\"RegionNum\":4,\"RegionCategory\":\"医学\",\"ArticlePicture\":[],\"TitleCN\":null,\"AbstractTextCN\":null,\"PMCID\":null,\"EPubDate\":\"\",\"PubModel\":\"\",\"JCR\":\"Q2\",\"JCRName\":\"RADIOLOGY, NUCLEAR MEDICINE & MEDICAL IMAGING\",\"Score\":null,\"Total\":0}","platform":"Semanticscholar","paperid":null,"PeriodicalName":"Annals of Nuclear Medicine","FirstCategoryId":"3","ListUrlMain":"https://link.springer.com/article/10.1007/s12149-025-02067-y","RegionNum":4,"RegionCategory":"医学","ArticlePicture":[],"TitleCN":null,"AbstractTextCN":null,"PMCID":null,"EPubDate":"","PubModel":"","JCR":"Q2","JCRName":"RADIOLOGY, NUCLEAR MEDICINE & MEDICAL IMAGING","Score":null,"Total":0}
引用次数: 0

摘要

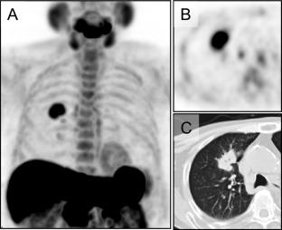
目的:本研究旨在评估MET PET/ ct衍生成像生物标志物在接受单组分碳离子放疗(CIRT)的局限性非小细胞肺癌(NSCLC)患者中的预后预测能力,并阐明这些生物标志物在标准UICC分期方案之外可以提供的额外预后信息。方法:经机构审查委员会批准,纳入2007年至2012年67例符合CIRT条件的局限性NSCLC患者。辐照剂量为40-50 Gy。在CIRT前注入740 MBq MET后20分钟,使用东芝Aquiduo或西门子Biograph 16进行MET PET成像。经验丰富的放射科医生分析了图像,将代谢肿瘤体积(MTV)定义为SUV bbb1.5的区域。采用SPSS 29进行统计分析,包括无病生存期和总生存期的Cox比例风险模型。结果:7例T期ti患者因MET示踪剂摄取低而被排除。共分析60例患者:男性36例,女性24例,平均年龄73岁;T1 35例,T2 24例,T3 1例。平均随访时间为74.3个月。单因素Cox比例风险分析显示,SUVmax、MTV和总病变保留(TLR)与无病生存(DFS)相关,而治疗剂量无显著差异。对于总生存率(OS),实体瘤直径、SUVmax、MTV、TLR和性别在单变量分析中显示出显著相关性。多变量分析确定MTV是DFS和OS的唯一重要预后因素。Kaplan-Meier生存曲线进一步支持了这些发现,log-rank检验表明,在DFS和OS中,与MTV相关的生存时间存在显著差异。结论:MET PET/CT治疗前的MTV可作为局部NSCLC单组分CIRT治疗的DFS和OS的重要预测指标。
本文章由计算机程序翻译,如有差异,请以英文原文为准。

Prognostic value of pre-treatment metabolic tumor volume on [S‑methyl‑11C]‑L‑methionine PET/CT in patients with local non-small cell lung carcinoma treated with single-fraction carbon-ion radiotherapy

Prognostic value of pre-treatment metabolic tumor volume on [S‑methyl‑11C]‑L‑methionine PET/CT in patients with local non-small cell lung carcinoma treated with single-fraction carbon-ion radiotherapy

Prognostic value of pre-treatment metabolic tumor volume on [S‑methyl‑11C]‑L‑methionine PET/CT in patients with local non-small cell lung carcinoma treated with single-fraction carbon-ion radiotherapy

Purpose

This study aimed to evaluate the prognostic predictive ability of MET PET/CT-derived imaging biomarkers in patients with localized non-small cell lung cancer (NSCLC) undergoing single-fraction carbon-ion radiotherapy (CIRT) and to clarify the additional prognostic information these biomarkers can provide beyond the standard UICC staging protocol.

Methods

With institutional review board approval, 67 localized NSCLC patients eligible for CIRT between 2007 and 2012 were included. Single-fraction doses of 40–50 Gy were irradiated. MET PET imaging using the Toshiba Aquiduo or Siemens Biograph 16 commenced 20 min post 740 MBq MET injection before CIRT. Experienced radiologists analyzed the images, defining metabolic tumor volume (MTV) as areas with SUV > 1.5. Statistical analysis was performed using SPSS 29, including Cox proportional hazard models for disease-free and overall survival.

Results

Seven cases with Tis of T stage were excluded because of low MET radiotracer uptake. A total of 60 patients were analyzed: 36 males and 24 females with a mean age of 73 years; 35 cases of T1, 24 cases of T2, and one T3 case. The average follow-up period was 74.3 months. The univariate Cox proportional hazard analyses showed that SUVmax, MTV, and total lesion retention (TLR) correlated with disease-free survival (DFS), while no significant difference was noted in treatment dose. For overall survival (OS), solid tumor diameter, SUVmax, MTV, TLR, and sex showed significant correlations in the univariate analysis. The multivariate analysis identified MTV as the only significant prognostic factor for both DFS and OS. Kaplan–Meier survival curves further supported these findings, with log-rank tests indicating a significant difference in survival duration related to MTV in both DFS and OS.

Conclusion

MTV in pre-treatment MET PET/CT would be a valuable predictor of DFS and OS of localized NSCLC treated with single-fraction CIRT.

求助全文
通过发布文献求助,成功后即可免费获取论文全文。 去求助
来源期刊
Annals of Nuclear Medicine
Annals of Nuclear Medicine 医学-核医学
CiteScore
4.90
自引率
7.70%
发文量
111
审稿时长
4-8 weeks
期刊介绍: Annals of Nuclear Medicine is an official journal of the Japanese Society of Nuclear Medicine. It develops the appropriate application of radioactive substances and stable nuclides in the field of medicine. The journal promotes the exchange of ideas and information and research in nuclear medicine and includes the medical application of radionuclides and related subjects. It presents original articles, short communications, reviews and letters to the editor.
×
引用
GB/T 7714-2015
复制
MLA
复制
APA
复制
导出至
BibTeX EndNote RefMan NoteFirst NoteExpress
×
提示
您的信息不完整,为了账户安全,请先补充。
现在去补充
×
提示
您因"违规操作"
具体请查看互助需知
我知道了
×
提示
确定
请完成安全验证×
copy
已复制链接
快去分享给好友吧!
我知道了
右上角分享
点击右上角分享
0
联系我们:info@booksci.cn Book学术提供免费学术资源搜索服务,方便国内外学者检索中英文文献。致力于提供最便捷和优质的服务体验。 Copyright © 2023 布克学术 All rights reserved.
京ICP备2023020795号-1
ghs 京公网安备 11010802042870号
Book学术文献互助
Book学术文献互助群
群 号:604180095
Book学术官方微信