Upadacitinib治疗上消化道克罗恩病

IF 0.5 Q4 GASTROENTEROLOGY & HEPATOLOGY
ACG Case Reports Journal Pub Date : 2025-06-27 eCollection Date: 2025-07-01 DOI:10.14309/crj.0000000000001749
Bader AlBader, Rishi Jairath, Haneen Baitalmal, Talat Bessissow
{"title":"Upadacitinib治疗上消化道克罗恩病","authors":"Bader AlBader, Rishi Jairath, Haneen Baitalmal, Talat Bessissow","doi":"10.14309/crj.0000000000001749","DOIUrl":null,"url":null,"abstract":"<p><p>Data on the use of antitumor necrosis factor therapy have shown some positive outcomes in case reports or small observational studies such as the data showing the benefit of adalimumab in this rare presentation of Crohn's disease. To our knowledge, there is no published data on the use of upadacitinib in the treatment of upper gastrointestinal Crohn's disease. We present a case report of a young patient with severe oral and esophageal Crohn's disease that was successfully treated with upadacitinib.</p>","PeriodicalId":7394,"journal":{"name":"ACG Case Reports Journal","volume":"12 7","pages":"e01749"},"PeriodicalIF":0.5000,"publicationDate":"2025-06-27","publicationTypes":"Journal Article","fieldsOfStudy":null,"isOpenAccess":false,"openAccessPdf":"https://www.ncbi.nlm.nih.gov/pmc/articles/PMC12204142/pdf/","citationCount":"0","resultStr":"{\"title\":\"Upadacitinib for the Treatment of Upper Gastrointestinal Crohn's Disease.\",\"authors\":\"Bader AlBader, Rishi Jairath, Haneen Baitalmal, Talat Bessissow\",\"doi\":\"10.14309/crj.0000000000001749\",\"DOIUrl\":null,\"url\":null,\"abstract\":\"<p><p>Data on the use of antitumor necrosis factor therapy have shown some positive outcomes in case reports or small observational studies such as the data showing the benefit of adalimumab in this rare presentation of Crohn's disease. To our knowledge, there is no published data on the use of upadacitinib in the treatment of upper gastrointestinal Crohn's disease. We present a case report of a young patient with severe oral and esophageal Crohn's disease that was successfully treated with upadacitinib.</p>\",\"PeriodicalId\":7394,\"journal\":{\"name\":\"ACG Case Reports Journal\",\"volume\":\"12 7\",\"pages\":\"e01749\"},\"PeriodicalIF\":0.5000,\"publicationDate\":\"2025-06-27\",\"publicationTypes\":\"Journal Article\",\"fieldsOfStudy\":null,\"isOpenAccess\":false,\"openAccessPdf\":\"https://www.ncbi.nlm.nih.gov/pmc/articles/PMC12204142/pdf/\",\"citationCount\":\"0\",\"resultStr\":null,\"platform\":\"Semanticscholar\",\"paperid\":null,\"PeriodicalName\":\"ACG Case Reports Journal\",\"FirstCategoryId\":\"1085\",\"ListUrlMain\":\"https://doi.org/10.14309/crj.0000000000001749\",\"RegionNum\":0,\"RegionCategory\":null,\"ArticlePicture\":[],\"TitleCN\":null,\"AbstractTextCN\":null,\"PMCID\":null,\"EPubDate\":\"2025/7/1 0:00:00\",\"PubModel\":\"eCollection\",\"JCR\":\"Q4\",\"JCRName\":\"GASTROENTEROLOGY & HEPATOLOGY\",\"Score\":null,\"Total\":0}","platform":"Semanticscholar","paperid":null,"PeriodicalName":"ACG Case Reports Journal","FirstCategoryId":"1085","ListUrlMain":"https://doi.org/10.14309/crj.0000000000001749","RegionNum":0,"RegionCategory":null,"ArticlePicture":[],"TitleCN":null,"AbstractTextCN":null,"PMCID":null,"EPubDate":"2025/7/1 0:00:00","PubModel":"eCollection","JCR":"Q4","JCRName":"GASTROENTEROLOGY & HEPATOLOGY","Score":null,"Total":0}
引用次数: 0

摘要

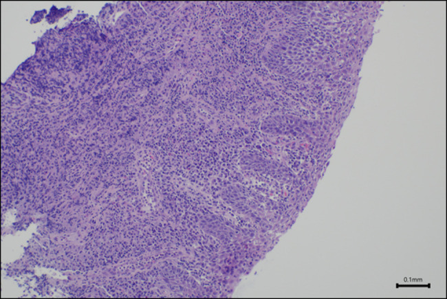
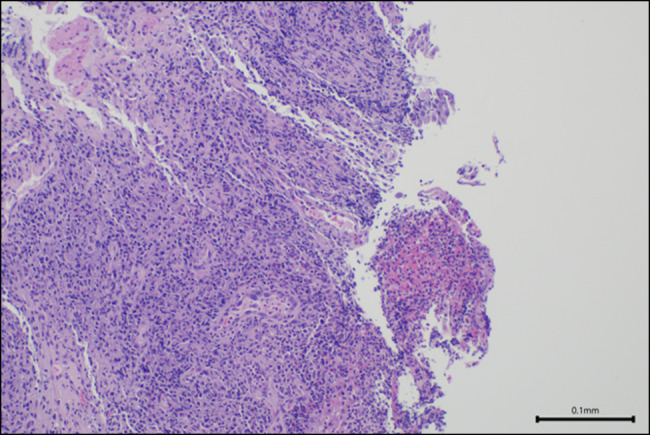
使用抗肿瘤坏死因子治疗的数据在病例报告或小型观察性研究中显示出一些积极的结果,例如阿达木单抗在这种罕见的克罗恩病表现中的益处。据我们所知,尚无关于upadacitinib用于治疗上消化道克罗恩病的公开数据。我们提出一个病例报告的年轻患者与严重的口腔和食道克罗恩病,成功地与upadacitinib治疗。
本文章由计算机程序翻译,如有差异,请以英文原文为准。

Upadacitinib for the Treatment of Upper Gastrointestinal Crohn's Disease.

Upadacitinib for the Treatment of Upper Gastrointestinal Crohn's Disease.

Upadacitinib for the Treatment of Upper Gastrointestinal Crohn's Disease.

Upadacitinib for the Treatment of Upper Gastrointestinal Crohn's Disease.

Data on the use of antitumor necrosis factor therapy have shown some positive outcomes in case reports or small observational studies such as the data showing the benefit of adalimumab in this rare presentation of Crohn's disease. To our knowledge, there is no published data on the use of upadacitinib in the treatment of upper gastrointestinal Crohn's disease. We present a case report of a young patient with severe oral and esophageal Crohn's disease that was successfully treated with upadacitinib.

求助全文
通过发布文献求助,成功后即可免费获取论文全文。 去求助
来源期刊
ACG Case Reports Journal
ACG Case Reports Journal GASTROENTEROLOGY & HEPATOLOGY-
自引率
14.30%
发文量
170
审稿时长
12 weeks
期刊介绍: ACG Case Reports Journal is a peer-reviewed, open-access publication that provides GI and hepatology fellows, private practice clinicians, and other healthcare providers an opportunity to share interesting case reports with their peers and with leaders in the field. ACG Case Reports Journal publishes case reports, images, videos and letters to the editor in all topics of gastroenterology and hepatology, including: Biliary Colon Endoscopy Esophagus Functional Bowel Disorders Inflammatory Bowel Disease Liver Nutrition and Obesity Pancreas Pathology Pediatric Small Bowel Stomach.
×
引用
GB/T 7714-2015
复制
MLA
复制
APA
复制
导出至
BibTeX EndNote RefMan NoteFirst NoteExpress
×
提示
您的信息不完整,为了账户安全,请先补充。
现在去补充
×
提示
您因"违规操作"
具体请查看互助需知
我知道了
×
提示
确定
请完成安全验证×
copy
已复制链接
快去分享给好友吧!
我知道了
右上角分享
点击右上角分享
0
联系我们:info@booksci.cn Book学术提供免费学术资源搜索服务,方便国内外学者检索中英文文献。致力于提供最便捷和优质的服务体验。 Copyright © 2023 布克学术 All rights reserved.
京ICP备2023020795号-1
ghs 京公网安备 11010802042870号
Book学术文献互助
Book学术文献互助群
群 号:604180095
Book学术官方微信