间质性膀胱炎伴双侧输尿管亨氏病变1例

Q4 Medicine
Satoki Otsuka, Yoshiyuki Akiyama, Daichi Maeda, Aya Niimi, Kenichi Hashimoto, Jun Kamei, Satoru Taguchi, Yuta Yamada, Yusuke Sato, Daisuke Yamada, Tomonori Minagawa, Tetsuo Ushiku, Yukio Homma, Haruki Kume
{"title":"间质性膀胱炎伴双侧输尿管亨氏病变1例","authors":"Satoki Otsuka,&nbsp;Yoshiyuki Akiyama,&nbsp;Daichi Maeda,&nbsp;Aya Niimi,&nbsp;Kenichi Hashimoto,&nbsp;Jun Kamei,&nbsp;Satoru Taguchi,&nbsp;Yuta Yamada,&nbsp;Yusuke Sato,&nbsp;Daisuke Yamada,&nbsp;Tomonori Minagawa,&nbsp;Tetsuo Ushiku,&nbsp;Yukio Homma,&nbsp;Haruki Kume","doi":"10.1002/iju5.70010","DOIUrl":null,"url":null,"abstract":"<div>\n \n \n <section>\n \n <h3> Introduction</h3>\n \n <p>Interstitial cystitis with Hunner lesion (IC/HL) is an enigmatic, chronic inflammatory disease of the urinary bladder. Few documented cases have reported the IC/HL involving the upper urinary tract.</p>\n </section>\n \n <section>\n \n <h3> Case Presentation</h3>\n \n <p>A 51-year-old Japanese woman with IC/HL developed bilateral ureteral stenosis and associated hydronephrosis, resulting in increased serum creatinine concentrations. Cystography showed no evidence of bilateral vesicoureteral reflux or bladder deformity. Ureteroscopy showed severe ureteral stenosis due to mucosal hyperplasia at the mid/upper levels of both ureters, leading to the insertion of bilateral ureteral stents. Histological examination of the ureteral lesions showed similar chronic inflammatory changes to the bladder lesions, which were compatible with IC/HL. Bilateral ureteral stenosis persisted after a two-year corticosteroid treatment (prednisolone, 7.5 mg/day), while IC/HL symptoms have disappeared.</p>\n </section>\n \n <section>\n \n <h3> Conclusion</h3>\n \n <p>IC/HL could involve the upper ureters, and thus regular follow-up imaging of upper urinary tracts in patients with IC/HL is warranted.</p>\n </section>\n </div>","PeriodicalId":52909,"journal":{"name":"IJU Case Reports","volume":"8 4","pages":"310-314"},"PeriodicalIF":0.0000,"publicationDate":"2025-04-29","publicationTypes":"Journal Article","fieldsOfStudy":null,"isOpenAccess":false,"openAccessPdf":"https://onlinelibrary.wiley.com/doi/epdf/10.1002/iju5.70010","citationCount":"0","resultStr":"{\"title\":\"A Case of Interstitial Cystitis With Hunner Lesions Involving Bilateral Ureters\",\"authors\":\"Satoki Otsuka,&nbsp;Yoshiyuki Akiyama,&nbsp;Daichi Maeda,&nbsp;Aya Niimi,&nbsp;Kenichi Hashimoto,&nbsp;Jun Kamei,&nbsp;Satoru Taguchi,&nbsp;Yuta Yamada,&nbsp;Yusuke Sato,&nbsp;Daisuke Yamada,&nbsp;Tomonori Minagawa,&nbsp;Tetsuo Ushiku,&nbsp;Yukio Homma,&nbsp;Haruki Kume\",\"doi\":\"10.1002/iju5.70010\",\"DOIUrl\":null,\"url\":null,\"abstract\":\"<div>\\n \\n \\n <section>\\n \\n <h3> Introduction</h3>\\n \\n <p>Interstitial cystitis with Hunner lesion (IC/HL) is an enigmatic, chronic inflammatory disease of the urinary bladder. Few documented cases have reported the IC/HL involving the upper urinary tract.</p>\\n </section>\\n \\n <section>\\n \\n <h3> Case Presentation</h3>\\n \\n <p>A 51-year-old Japanese woman with IC/HL developed bilateral ureteral stenosis and associated hydronephrosis, resulting in increased serum creatinine concentrations. Cystography showed no evidence of bilateral vesicoureteral reflux or bladder deformity. Ureteroscopy showed severe ureteral stenosis due to mucosal hyperplasia at the mid/upper levels of both ureters, leading to the insertion of bilateral ureteral stents. Histological examination of the ureteral lesions showed similar chronic inflammatory changes to the bladder lesions, which were compatible with IC/HL. Bilateral ureteral stenosis persisted after a two-year corticosteroid treatment (prednisolone, 7.5 mg/day), while IC/HL symptoms have disappeared.</p>\\n </section>\\n \\n <section>\\n \\n <h3> Conclusion</h3>\\n \\n <p>IC/HL could involve the upper ureters, and thus regular follow-up imaging of upper urinary tracts in patients with IC/HL is warranted.</p>\\n </section>\\n </div>\",\"PeriodicalId\":52909,\"journal\":{\"name\":\"IJU Case Reports\",\"volume\":\"8 4\",\"pages\":\"310-314\"},\"PeriodicalIF\":0.0000,\"publicationDate\":\"2025-04-29\",\"publicationTypes\":\"Journal Article\",\"fieldsOfStudy\":null,\"isOpenAccess\":false,\"openAccessPdf\":\"https://onlinelibrary.wiley.com/doi/epdf/10.1002/iju5.70010\",\"citationCount\":\"0\",\"resultStr\":null,\"platform\":\"Semanticscholar\",\"paperid\":null,\"PeriodicalName\":\"IJU Case Reports\",\"FirstCategoryId\":\"1085\",\"ListUrlMain\":\"https://onlinelibrary.wiley.com/doi/10.1002/iju5.70010\",\"RegionNum\":0,\"RegionCategory\":null,\"ArticlePicture\":[],\"TitleCN\":null,\"AbstractTextCN\":null,\"PMCID\":null,\"EPubDate\":\"\",\"PubModel\":\"\",\"JCR\":\"Q4\",\"JCRName\":\"Medicine\",\"Score\":null,\"Total\":0}","platform":"Semanticscholar","paperid":null,"PeriodicalName":"IJU Case Reports","FirstCategoryId":"1085","ListUrlMain":"https://onlinelibrary.wiley.com/doi/10.1002/iju5.70010","RegionNum":0,"RegionCategory":null,"ArticlePicture":[],"TitleCN":null,"AbstractTextCN":null,"PMCID":null,"EPubDate":"","PubModel":"","JCR":"Q4","JCRName":"Medicine","Score":null,"Total":0}
引用次数: 0

摘要

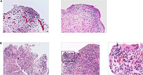
间质性膀胱炎伴Hunner病变(IC/HL)是一种难以理解的膀胱慢性炎症性疾病。很少有文献报道IC/HL累及上尿路。一例51岁日本女性IC/HL患者发展为双侧输尿管狭窄并伴有肾积水,导致血清肌酐浓度升高。膀胱造影未显示双侧膀胱输尿管反流或膀胱畸形。输尿管镜检查显示双侧输尿管中/上段粘膜增生导致输尿管严重狭窄,导致双侧输尿管支架置入。输尿管病变组织学检查显示与膀胱病变相似的慢性炎性改变,符合IC/HL。双侧输尿管狭窄在两年皮质类固醇治疗(强的松龙,7.5 mg/天)后仍然存在,而IC/HL症状消失。结论IC/HL可累及上输尿管,IC/HL患者应定期进行上尿路影像学随访。
本文章由计算机程序翻译,如有差异,请以英文原文为准。

A Case of Interstitial Cystitis With Hunner Lesions Involving Bilateral Ureters

A Case of Interstitial Cystitis With Hunner Lesions Involving Bilateral Ureters

Introduction

Interstitial cystitis with Hunner lesion (IC/HL) is an enigmatic, chronic inflammatory disease of the urinary bladder. Few documented cases have reported the IC/HL involving the upper urinary tract.

Case Presentation

A 51-year-old Japanese woman with IC/HL developed bilateral ureteral stenosis and associated hydronephrosis, resulting in increased serum creatinine concentrations. Cystography showed no evidence of bilateral vesicoureteral reflux or bladder deformity. Ureteroscopy showed severe ureteral stenosis due to mucosal hyperplasia at the mid/upper levels of both ureters, leading to the insertion of bilateral ureteral stents. Histological examination of the ureteral lesions showed similar chronic inflammatory changes to the bladder lesions, which were compatible with IC/HL. Bilateral ureteral stenosis persisted after a two-year corticosteroid treatment (prednisolone, 7.5 mg/day), while IC/HL symptoms have disappeared.

Conclusion

IC/HL could involve the upper ureters, and thus regular follow-up imaging of upper urinary tracts in patients with IC/HL is warranted.

求助全文
通过发布文献求助,成功后即可免费获取论文全文。 去求助
来源期刊
IJU Case Reports
IJU Case Reports Medicine-Urology
CiteScore
0.60
自引率
0.00%
发文量
147
审稿时长
15 weeks
×
引用
GB/T 7714-2015
复制
MLA
复制
APA
复制
导出至
BibTeX EndNote RefMan NoteFirst NoteExpress
×
提示
您的信息不完整,为了账户安全,请先补充。
现在去补充
×
提示
您因"违规操作"
具体请查看互助需知
我知道了
×
提示
确定
请完成安全验证×
copy
已复制链接
快去分享给好友吧!
我知道了
右上角分享
点击右上角分享
0
联系我们:info@booksci.cn Book学术提供免费学术资源搜索服务,方便国内外学者检索中英文文献。致力于提供最便捷和优质的服务体验。 Copyright © 2023 布克学术 All rights reserved.
京ICP备2023020795号-1
ghs 京公网安备 11010802042870号
Book学术文献互助
Book学术文献互助群
群 号:604180095
Book学术官方微信