从乙状结肠左侧到骶岬的网状固定:机器人辅助骶结肠固定术治疗持续性肠系膜下行症2例

Q4 Medicine
Kojiro Tanabe, Yasuno Takahashi, Yuki Takahashi, Ryohei Hashimoto, Yoshiko Oyama, Yuko Hatakeyama, Hitoshi Niikura
{"title":"从乙状结肠左侧到骶岬的网状固定:机器人辅助骶结肠固定术治疗持续性肠系膜下行症2例","authors":"Kojiro Tanabe,&nbsp;Yasuno Takahashi,&nbsp;Yuki Takahashi,&nbsp;Ryohei Hashimoto,&nbsp;Yoshiko Oyama,&nbsp;Yuko Hatakeyama,&nbsp;Hitoshi Niikura","doi":"10.1002/iju5.70039","DOIUrl":null,"url":null,"abstract":"<div>\n \n \n <section>\n \n <h3> Introduction</h3>\n \n <p>Persistent descending mesocolon is a congenital fixation abnormality where the left-sided colon deviates medially. When significantly displaced to the right, it may affect sacrocolpopexy. We report two cases of persistent descending mesocolon in which robot-assisted sacrocolpopexy was successfully performed with mesh fixation to the sacral promontory from the left side of the mesosigmoid.</p>\n </section>\n \n <section>\n \n <h3> Case Presentation</h3>\n \n <p>Two patients with pelvic organ prolapse underwent robot-assisted sacrocolpopexy. In both cases, the sigmoid colon was displaced to the right, making exposure of the sacral promontory from the right side of the mesosigmoid challenging. Therefore, the sacral promontory was exposed and mesh fixed from the left side of the mesosigmoid. The postoperative course was uneventful.</p>\n </section>\n \n <section>\n \n <h3> Conclusion</h3>\n \n <p>When the sigmoid colon is displaced rightward due to persistent descending mesocolon, sacral promontory fixation from the left mesosigmoid may be a safe, feasible option.</p>\n </section>\n </div>","PeriodicalId":52909,"journal":{"name":"IJU Case Reports","volume":"8 4","pages":"356-360"},"PeriodicalIF":0.0000,"publicationDate":"2025-04-29","publicationTypes":"Journal Article","fieldsOfStudy":null,"isOpenAccess":false,"openAccessPdf":"https://onlinelibrary.wiley.com/doi/epdf/10.1002/iju5.70039","citationCount":"0","resultStr":"{\"title\":\"Mesh Fixation to the Sacral Promontory From the Left Side of the Mesosigmoid: Two Cases of Robot-Assisted Sacrocolpopexy for Persistent Descending Mesocolon\",\"authors\":\"Kojiro Tanabe,&nbsp;Yasuno Takahashi,&nbsp;Yuki Takahashi,&nbsp;Ryohei Hashimoto,&nbsp;Yoshiko Oyama,&nbsp;Yuko Hatakeyama,&nbsp;Hitoshi Niikura\",\"doi\":\"10.1002/iju5.70039\",\"DOIUrl\":null,\"url\":null,\"abstract\":\"<div>\\n \\n \\n <section>\\n \\n <h3> Introduction</h3>\\n \\n <p>Persistent descending mesocolon is a congenital fixation abnormality where the left-sided colon deviates medially. When significantly displaced to the right, it may affect sacrocolpopexy. We report two cases of persistent descending mesocolon in which robot-assisted sacrocolpopexy was successfully performed with mesh fixation to the sacral promontory from the left side of the mesosigmoid.</p>\\n </section>\\n \\n <section>\\n \\n <h3> Case Presentation</h3>\\n \\n <p>Two patients with pelvic organ prolapse underwent robot-assisted sacrocolpopexy. In both cases, the sigmoid colon was displaced to the right, making exposure of the sacral promontory from the right side of the mesosigmoid challenging. Therefore, the sacral promontory was exposed and mesh fixed from the left side of the mesosigmoid. The postoperative course was uneventful.</p>\\n </section>\\n \\n <section>\\n \\n <h3> Conclusion</h3>\\n \\n <p>When the sigmoid colon is displaced rightward due to persistent descending mesocolon, sacral promontory fixation from the left mesosigmoid may be a safe, feasible option.</p>\\n </section>\\n </div>\",\"PeriodicalId\":52909,\"journal\":{\"name\":\"IJU Case Reports\",\"volume\":\"8 4\",\"pages\":\"356-360\"},\"PeriodicalIF\":0.0000,\"publicationDate\":\"2025-04-29\",\"publicationTypes\":\"Journal Article\",\"fieldsOfStudy\":null,\"isOpenAccess\":false,\"openAccessPdf\":\"https://onlinelibrary.wiley.com/doi/epdf/10.1002/iju5.70039\",\"citationCount\":\"0\",\"resultStr\":null,\"platform\":\"Semanticscholar\",\"paperid\":null,\"PeriodicalName\":\"IJU Case Reports\",\"FirstCategoryId\":\"1085\",\"ListUrlMain\":\"https://onlinelibrary.wiley.com/doi/10.1002/iju5.70039\",\"RegionNum\":0,\"RegionCategory\":null,\"ArticlePicture\":[],\"TitleCN\":null,\"AbstractTextCN\":null,\"PMCID\":null,\"EPubDate\":\"\",\"PubModel\":\"\",\"JCR\":\"Q4\",\"JCRName\":\"Medicine\",\"Score\":null,\"Total\":0}","platform":"Semanticscholar","paperid":null,"PeriodicalName":"IJU Case Reports","FirstCategoryId":"1085","ListUrlMain":"https://onlinelibrary.wiley.com/doi/10.1002/iju5.70039","RegionNum":0,"RegionCategory":null,"ArticlePicture":[],"TitleCN":null,"AbstractTextCN":null,"PMCID":null,"EPubDate":"","PubModel":"","JCR":"Q4","JCRName":"Medicine","Score":null,"Total":0}
引用次数: 0

摘要

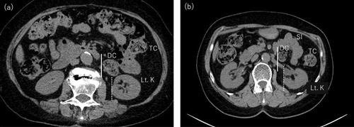
持续性降系结肠系膜是一种先天性固定异常,左侧结肠向内偏。当明显向右移位时,可能会影响骶髋固定术。我们报告了两例持续性结肠系膜下降的病例,其中机器人辅助的骶colpop固定术成功地从骶乙状肠系膜左侧用网状物固定到骶岬。2例盆腔器官脱垂患者行机器人辅助骶髋固定术。在这两个病例中,乙状结肠向右移位,使得从乙状结肠右侧暴露骶岬具有挑战性。因此,暴露骶岬并从骶乙状突左侧固定补片。术后过程平淡无奇。结论当乙状结肠因持续降系肠系膜而向右移位时,从左侧乙状膜固定骶骨岬可能是一种安全可行的选择。
本文章由计算机程序翻译,如有差异,请以英文原文为准。

Mesh Fixation to the Sacral Promontory From the Left Side of the Mesosigmoid: Two Cases of Robot-Assisted Sacrocolpopexy for Persistent Descending Mesocolon

Mesh Fixation to the Sacral Promontory From the Left Side of the Mesosigmoid: Two Cases of Robot-Assisted Sacrocolpopexy for Persistent Descending Mesocolon

Introduction

Persistent descending mesocolon is a congenital fixation abnormality where the left-sided colon deviates medially. When significantly displaced to the right, it may affect sacrocolpopexy. We report two cases of persistent descending mesocolon in which robot-assisted sacrocolpopexy was successfully performed with mesh fixation to the sacral promontory from the left side of the mesosigmoid.

Case Presentation

Two patients with pelvic organ prolapse underwent robot-assisted sacrocolpopexy. In both cases, the sigmoid colon was displaced to the right, making exposure of the sacral promontory from the right side of the mesosigmoid challenging. Therefore, the sacral promontory was exposed and mesh fixed from the left side of the mesosigmoid. The postoperative course was uneventful.

Conclusion

When the sigmoid colon is displaced rightward due to persistent descending mesocolon, sacral promontory fixation from the left mesosigmoid may be a safe, feasible option.

求助全文
通过发布文献求助,成功后即可免费获取论文全文。 去求助
来源期刊
IJU Case Reports
IJU Case Reports Medicine-Urology
CiteScore
0.60
自引率
0.00%
发文量
147
审稿时长
15 weeks
×
引用
GB/T 7714-2015
复制
MLA
复制
APA
复制
导出至
BibTeX EndNote RefMan NoteFirst NoteExpress
×
提示
您的信息不完整,为了账户安全,请先补充。
现在去补充
×
提示
您因"违规操作"
具体请查看互助需知
我知道了
×
提示
确定
请完成安全验证×
copy
已复制链接
快去分享给好友吧!
我知道了
右上角分享
点击右上角分享
0
联系我们:info@booksci.cn Book学术提供免费学术资源搜索服务,方便国内外学者检索中英文文献。致力于提供最便捷和优质的服务体验。 Copyright © 2023 布克学术 All rights reserved.
京ICP备2023020795号-1
ghs 京公网安备 11010802042870号
Book学术文献互助
Book学术文献互助群
群 号:604180095
Book学术官方微信