足跟区疼痛性血管肌瘤1例报告。

IF 1.8 4区 医学 Q3 MEDICINE, RESEARCH & EXPERIMENTAL
In vivo Pub Date : 2025-07-01 DOI:10.21873/invivo.14049
Yi-Yen Tsai, Jeng-Wei Lu, Hao Yen, Chih-Chien Wang
{"title":"足跟区疼痛性血管肌瘤1例报告。","authors":"Yi-Yen Tsai, Jeng-Wei Lu, Hao Yen, Chih-Chien Wang","doi":"10.21873/invivo.14049","DOIUrl":null,"url":null,"abstract":"<p><strong>Background/aim: </strong>Angiomyomas are rare benign smooth muscle tumors originating from the tunica media of blood vessel walls, most frequently affecting the lower extremities in middle-aged women.</p><p><strong>Case report: </strong>We report the case of a 51-year-old female with a six-month history of a painful, palpable mass in the right heel. Physical examination revealed a soft, mobile, and tender subcutaneous nodule. Ultrasound imaging identified a 0.5 cm well-defined hypoechoic lesion in the subcutaneous layer, without internal blood flow, initially suspected to be an epidermoid cyst or fibrous tumor. Surgical excision of the lesion was performed, and histopathological analysis revealed a well-encapsulated tumor consisting of spindle-shaped cells with eosinophilic cytoplasm and bland nuclei, accompanied by vascular components. Immunohistochemical staining confirmed positive expression of SMA, establishing the diagnosis of angiomyoma. The patient experienced an uneventful postoperative recovery.</p><p><strong>Conclusion: </strong>This case highlights the diagnostic challenges of angiomyomas, given their nonspecific clinical presentation and imaging findings. While magnetic resonance imaging may reveal characteristic features such as strong gadolinium enhancement, definitive diagnosis relies on histopathological evaluation. Clinicians should include angiomyoma in the differential diagnosis of painful subcutaneous masses in the foot and ankle, particularly in middle-aged women. Surgical excision remains the definitive diagnostic and therapeutic approach, with low recurrence rates reported.</p>","PeriodicalId":13364,"journal":{"name":"In vivo","volume":"39 4","pages":"2485-2488"},"PeriodicalIF":1.8000,"publicationDate":"2025-07-01","publicationTypes":"Journal Article","fieldsOfStudy":null,"isOpenAccess":false,"openAccessPdf":"https://www.ncbi.nlm.nih.gov/pmc/articles/PMC12223645/pdf/","citationCount":"0","resultStr":"{\"title\":\"Painful Angiomyoma of the Heel Region: A Rare Case Report.\",\"authors\":\"Yi-Yen Tsai, Jeng-Wei Lu, Hao Yen, Chih-Chien Wang\",\"doi\":\"10.21873/invivo.14049\",\"DOIUrl\":null,\"url\":null,\"abstract\":\"<p><strong>Background/aim: </strong>Angiomyomas are rare benign smooth muscle tumors originating from the tunica media of blood vessel walls, most frequently affecting the lower extremities in middle-aged women.</p><p><strong>Case report: </strong>We report the case of a 51-year-old female with a six-month history of a painful, palpable mass in the right heel. Physical examination revealed a soft, mobile, and tender subcutaneous nodule. Ultrasound imaging identified a 0.5 cm well-defined hypoechoic lesion in the subcutaneous layer, without internal blood flow, initially suspected to be an epidermoid cyst or fibrous tumor. Surgical excision of the lesion was performed, and histopathological analysis revealed a well-encapsulated tumor consisting of spindle-shaped cells with eosinophilic cytoplasm and bland nuclei, accompanied by vascular components. Immunohistochemical staining confirmed positive expression of SMA, establishing the diagnosis of angiomyoma. The patient experienced an uneventful postoperative recovery.</p><p><strong>Conclusion: </strong>This case highlights the diagnostic challenges of angiomyomas, given their nonspecific clinical presentation and imaging findings. While magnetic resonance imaging may reveal characteristic features such as strong gadolinium enhancement, definitive diagnosis relies on histopathological evaluation. Clinicians should include angiomyoma in the differential diagnosis of painful subcutaneous masses in the foot and ankle, particularly in middle-aged women. Surgical excision remains the definitive diagnostic and therapeutic approach, with low recurrence rates reported.</p>\",\"PeriodicalId\":13364,\"journal\":{\"name\":\"In vivo\",\"volume\":\"39 4\",\"pages\":\"2485-2488\"},\"PeriodicalIF\":1.8000,\"publicationDate\":\"2025-07-01\",\"publicationTypes\":\"Journal Article\",\"fieldsOfStudy\":null,\"isOpenAccess\":false,\"openAccessPdf\":\"https://www.ncbi.nlm.nih.gov/pmc/articles/PMC12223645/pdf/\",\"citationCount\":\"0\",\"resultStr\":null,\"platform\":\"Semanticscholar\",\"paperid\":null,\"PeriodicalName\":\"In vivo\",\"FirstCategoryId\":\"3\",\"ListUrlMain\":\"https://doi.org/10.21873/invivo.14049\",\"RegionNum\":4,\"RegionCategory\":\"医学\",\"ArticlePicture\":[],\"TitleCN\":null,\"AbstractTextCN\":null,\"PMCID\":null,\"EPubDate\":\"\",\"PubModel\":\"\",\"JCR\":\"Q3\",\"JCRName\":\"MEDICINE, RESEARCH & EXPERIMENTAL\",\"Score\":null,\"Total\":0}","platform":"Semanticscholar","paperid":null,"PeriodicalName":"In vivo","FirstCategoryId":"3","ListUrlMain":"https://doi.org/10.21873/invivo.14049","RegionNum":4,"RegionCategory":"医学","ArticlePicture":[],"TitleCN":null,"AbstractTextCN":null,"PMCID":null,"EPubDate":"","PubModel":"","JCR":"Q3","JCRName":"MEDICINE, RESEARCH & EXPERIMENTAL","Score":null,"Total":0}
引用次数: 0

摘要

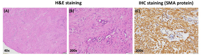
背景/目的:血管肌瘤是一种罕见的良性平滑肌肿瘤,起源于血管壁的中膜,最常见于中年妇女的下肢。病例报告:我们报告的情况下,51岁的女性六个月的历史疼痛,可触及的肿块在右脚跟。体格检查发现一个柔软、可移动、触痛的皮下结节。超声成像发现皮下一0.5 cm清晰的低回声病灶,无内部血流,最初怀疑为表皮样囊肿或纤维性肿瘤。手术切除病变,组织病理学分析显示一个包裹良好的肿瘤,由梭形细胞组成,嗜酸性细胞质和淡色细胞核,伴血管成分。免疫组化染色证实SMA阳性表达,确立血管肌瘤的诊断。病人术后恢复顺利。结论:鉴于血管肌瘤的非特异性临床表现和影像学表现,本病例强调了诊断血管肌瘤的挑战。虽然磁共振成像可以显示诸如强钆增强等特征,但最终诊断依赖于组织病理学评估。临床医生应将血管肌瘤纳入足部和踝关节疼痛皮下肿块的鉴别诊断,特别是中年妇女。手术切除仍然是明确的诊断和治疗方法,复发率低。
本文章由计算机程序翻译,如有差异,请以英文原文为准。

Painful Angiomyoma of the Heel Region: A Rare Case Report.

Painful Angiomyoma of the Heel Region: A Rare Case Report.

Painful Angiomyoma of the Heel Region: A Rare Case Report.

Painful Angiomyoma of the Heel Region: A Rare Case Report.

Background/aim: Angiomyomas are rare benign smooth muscle tumors originating from the tunica media of blood vessel walls, most frequently affecting the lower extremities in middle-aged women.

Case report: We report the case of a 51-year-old female with a six-month history of a painful, palpable mass in the right heel. Physical examination revealed a soft, mobile, and tender subcutaneous nodule. Ultrasound imaging identified a 0.5 cm well-defined hypoechoic lesion in the subcutaneous layer, without internal blood flow, initially suspected to be an epidermoid cyst or fibrous tumor. Surgical excision of the lesion was performed, and histopathological analysis revealed a well-encapsulated tumor consisting of spindle-shaped cells with eosinophilic cytoplasm and bland nuclei, accompanied by vascular components. Immunohistochemical staining confirmed positive expression of SMA, establishing the diagnosis of angiomyoma. The patient experienced an uneventful postoperative recovery.

Conclusion: This case highlights the diagnostic challenges of angiomyomas, given their nonspecific clinical presentation and imaging findings. While magnetic resonance imaging may reveal characteristic features such as strong gadolinium enhancement, definitive diagnosis relies on histopathological evaluation. Clinicians should include angiomyoma in the differential diagnosis of painful subcutaneous masses in the foot and ankle, particularly in middle-aged women. Surgical excision remains the definitive diagnostic and therapeutic approach, with low recurrence rates reported.

求助全文
通过发布文献求助,成功后即可免费获取论文全文。 去求助
来源期刊
In vivo
In vivo 医学-医学:研究与实验
CiteScore
4.20
自引率
4.30%
发文量
330
审稿时长
3-8 weeks
期刊介绍: IN VIVO is an international peer-reviewed journal designed to bring together original high quality works and reviews on experimental and clinical biomedical research within the frames of physiology, pathology and disease management. The topics of IN VIVO include: 1. Experimental development and application of new diagnostic and therapeutic procedures; 2. Pharmacological and toxicological evaluation of new drugs, drug combinations and drug delivery systems; 3. Clinical trials; 4. Development and characterization of models of biomedical research; 5. Cancer diagnosis and treatment; 6. Immunotherapy and vaccines; 7. Radiotherapy, Imaging; 8. Tissue engineering, Regenerative medicine; 9. Carcinogenesis.
×
引用
GB/T 7714-2015
复制
MLA
复制
APA
复制
导出至
BibTeX EndNote RefMan NoteFirst NoteExpress
×
提示
您的信息不完整,为了账户安全,请先补充。
现在去补充
×
提示
您因"违规操作"
具体请查看互助需知
我知道了
×
提示
确定
请完成安全验证×
copy
已复制链接
快去分享给好友吧!
我知道了
右上角分享
点击右上角分享
0
联系我们:info@booksci.cn Book学术提供免费学术资源搜索服务,方便国内外学者检索中英文文献。致力于提供最便捷和优质的服务体验。 Copyright © 2023 布克学术 All rights reserved.
京ICP备2023020795号-1
ghs 京公网安备 11010802042870号
Book学术文献互助
Book学术文献互助群
群 号:604180095
Book学术官方微信