机器人辅助直肠癌侧淋巴结清扫后淋巴囊肿经淋巴管造影治疗:1例报告。

IF 1.8 4区 医学 Q3 MEDICINE, RESEARCH & EXPERIMENTAL
In vivo Pub Date : 2025-07-01 DOI:10.21873/invivo.14039
Ken Yonemitsu, Hiroaki Kasashima, Tatsunari Fukuoka, Shintaro Ozawa, Yuki Seki, Takemi Ishidate, Masatsune Shibutani, Kiyoshi Maeda
{"title":"机器人辅助直肠癌侧淋巴结清扫后淋巴囊肿经淋巴管造影治疗:1例报告。","authors":"Ken Yonemitsu, Hiroaki Kasashima, Tatsunari Fukuoka, Shintaro Ozawa, Yuki Seki, Takemi Ishidate, Masatsune Shibutani, Kiyoshi Maeda","doi":"10.21873/invivo.14039","DOIUrl":null,"url":null,"abstract":"<p><strong>Background/aim: </strong>With the increasing use of robotic-assisted surgery, postoperative lymphatic leakage has become a more frequent challenge. Lymph cysts following lateral lymph node dissection (LLND) for rectal cancer can lead to complications, such as infection, compression of adjacent structures, and impaired lymphatic drainage. Conservative treatments, including percutaneous drainage, are often used, but refractory cases require alternative strategies.</p><p><strong>Case report: </strong>A 78-year-old woman underwent robotic-assisted abdominoperineal resection with right LLND for lower rectal cancer. She was discharged on postoperative day 12 but developed right lower abdominal pain on day 7 after discharge. Computed tomography revealed a fluid collection in the LLND area, diagnosed as a lymph cyst. Despite computed tomography-guided percutaneous drainage, the output remained high, and symptoms persisted. On hospital day 18, lymphangiography was performed using Lipiodol <i>via</i> right inguinal lymph node puncture. Within 3 days, the drainage output significantly decreased, and her symptoms improved.</p><p><strong>Conclusion: </strong>Lymphangiography with Lipiodol is a minimally invasive and effective treatment for refractory lymph cysts following LLND. As robotic-assisted surgery becomes more common, understanding and managing postoperative lymphatic complications are increasingly important.</p>","PeriodicalId":13364,"journal":{"name":"In vivo","volume":"39 4","pages":"2405-2409"},"PeriodicalIF":1.8000,"publicationDate":"2025-07-01","publicationTypes":"Journal Article","fieldsOfStudy":null,"isOpenAccess":false,"openAccessPdf":"https://www.ncbi.nlm.nih.gov/pmc/articles/PMC12223630/pdf/","citationCount":"0","resultStr":"{\"title\":\"Lymph Cyst After Robotic-assisted Lateral Lymph Node Dissection for Rectal Cancer Treated With Lymphangiography: A Case Report.\",\"authors\":\"Ken Yonemitsu, Hiroaki Kasashima, Tatsunari Fukuoka, Shintaro Ozawa, Yuki Seki, Takemi Ishidate, Masatsune Shibutani, Kiyoshi Maeda\",\"doi\":\"10.21873/invivo.14039\",\"DOIUrl\":null,\"url\":null,\"abstract\":\"<p><strong>Background/aim: </strong>With the increasing use of robotic-assisted surgery, postoperative lymphatic leakage has become a more frequent challenge. Lymph cysts following lateral lymph node dissection (LLND) for rectal cancer can lead to complications, such as infection, compression of adjacent structures, and impaired lymphatic drainage. Conservative treatments, including percutaneous drainage, are often used, but refractory cases require alternative strategies.</p><p><strong>Case report: </strong>A 78-year-old woman underwent robotic-assisted abdominoperineal resection with right LLND for lower rectal cancer. She was discharged on postoperative day 12 but developed right lower abdominal pain on day 7 after discharge. Computed tomography revealed a fluid collection in the LLND area, diagnosed as a lymph cyst. Despite computed tomography-guided percutaneous drainage, the output remained high, and symptoms persisted. On hospital day 18, lymphangiography was performed using Lipiodol <i>via</i> right inguinal lymph node puncture. Within 3 days, the drainage output significantly decreased, and her symptoms improved.</p><p><strong>Conclusion: </strong>Lymphangiography with Lipiodol is a minimally invasive and effective treatment for refractory lymph cysts following LLND. As robotic-assisted surgery becomes more common, understanding and managing postoperative lymphatic complications are increasingly important.</p>\",\"PeriodicalId\":13364,\"journal\":{\"name\":\"In vivo\",\"volume\":\"39 4\",\"pages\":\"2405-2409\"},\"PeriodicalIF\":1.8000,\"publicationDate\":\"2025-07-01\",\"publicationTypes\":\"Journal Article\",\"fieldsOfStudy\":null,\"isOpenAccess\":false,\"openAccessPdf\":\"https://www.ncbi.nlm.nih.gov/pmc/articles/PMC12223630/pdf/\",\"citationCount\":\"0\",\"resultStr\":null,\"platform\":\"Semanticscholar\",\"paperid\":null,\"PeriodicalName\":\"In vivo\",\"FirstCategoryId\":\"3\",\"ListUrlMain\":\"https://doi.org/10.21873/invivo.14039\",\"RegionNum\":4,\"RegionCategory\":\"医学\",\"ArticlePicture\":[],\"TitleCN\":null,\"AbstractTextCN\":null,\"PMCID\":null,\"EPubDate\":\"\",\"PubModel\":\"\",\"JCR\":\"Q3\",\"JCRName\":\"MEDICINE, RESEARCH & EXPERIMENTAL\",\"Score\":null,\"Total\":0}","platform":"Semanticscholar","paperid":null,"PeriodicalName":"In vivo","FirstCategoryId":"3","ListUrlMain":"https://doi.org/10.21873/invivo.14039","RegionNum":4,"RegionCategory":"医学","ArticlePicture":[],"TitleCN":null,"AbstractTextCN":null,"PMCID":null,"EPubDate":"","PubModel":"","JCR":"Q3","JCRName":"MEDICINE, RESEARCH & EXPERIMENTAL","Score":null,"Total":0}
引用次数: 0

摘要

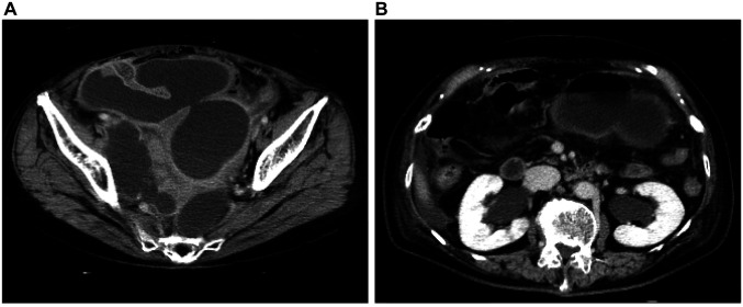
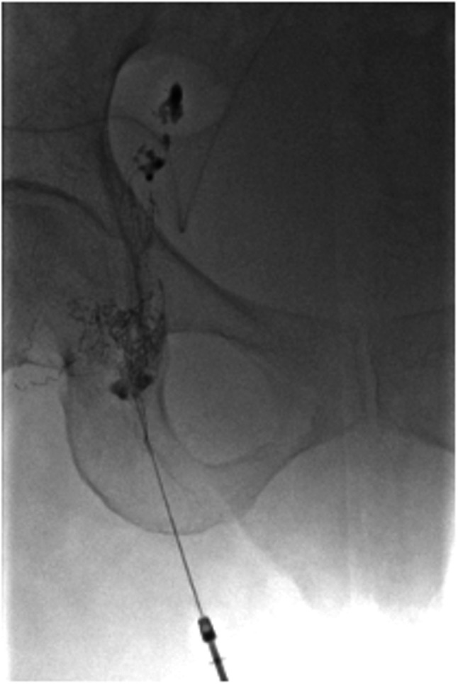
背景/目的:随着机器人辅助手术的使用越来越多,术后淋巴渗漏已成为一个更常见的挑战。直肠癌侧淋巴结清扫(LLND)后的淋巴囊肿可导致并发症,如感染、压迫邻近结构和淋巴引流受损。保守治疗,包括经皮引流,经常使用,但难治性病例需要其他策略。病例报告:一名78岁的妇女接受机器人辅助腹部会阴切除与右侧LLND下直肠癌。患者术后第12天出院,出院后第7天出现右下腹部疼痛。计算机断层扫描显示LLND区域积液,诊断为淋巴囊肿。尽管有计算机断层扫描引导的经皮引流,但输出量仍然很高,症状持续存在。住院第18天,经右腹股沟淋巴结穿刺,用lipodol行淋巴管造影。3天内引流液量明显减少,患者症状改善。结论:脂醇淋巴管造影是一种微创、有效的治疗顽固性淋巴囊肿的方法。随着机器人辅助手术越来越普遍,理解和处理术后淋巴并发症变得越来越重要。
本文章由计算机程序翻译,如有差异,请以英文原文为准。

Lymph Cyst After Robotic-assisted Lateral Lymph Node Dissection for Rectal Cancer Treated With Lymphangiography: A Case Report.

Lymph Cyst After Robotic-assisted Lateral Lymph Node Dissection for Rectal Cancer Treated With Lymphangiography: A Case Report.

Lymph Cyst After Robotic-assisted Lateral Lymph Node Dissection for Rectal Cancer Treated With Lymphangiography: A Case Report.

Background/aim: With the increasing use of robotic-assisted surgery, postoperative lymphatic leakage has become a more frequent challenge. Lymph cysts following lateral lymph node dissection (LLND) for rectal cancer can lead to complications, such as infection, compression of adjacent structures, and impaired lymphatic drainage. Conservative treatments, including percutaneous drainage, are often used, but refractory cases require alternative strategies.

Case report: A 78-year-old woman underwent robotic-assisted abdominoperineal resection with right LLND for lower rectal cancer. She was discharged on postoperative day 12 but developed right lower abdominal pain on day 7 after discharge. Computed tomography revealed a fluid collection in the LLND area, diagnosed as a lymph cyst. Despite computed tomography-guided percutaneous drainage, the output remained high, and symptoms persisted. On hospital day 18, lymphangiography was performed using Lipiodol via right inguinal lymph node puncture. Within 3 days, the drainage output significantly decreased, and her symptoms improved.

Conclusion: Lymphangiography with Lipiodol is a minimally invasive and effective treatment for refractory lymph cysts following LLND. As robotic-assisted surgery becomes more common, understanding and managing postoperative lymphatic complications are increasingly important.

求助全文
通过发布文献求助,成功后即可免费获取论文全文。 去求助
来源期刊
In vivo
In vivo 医学-医学:研究与实验
CiteScore
4.20
自引率
4.30%
发文量
330
审稿时长
3-8 weeks
期刊介绍: IN VIVO is an international peer-reviewed journal designed to bring together original high quality works and reviews on experimental and clinical biomedical research within the frames of physiology, pathology and disease management. The topics of IN VIVO include: 1. Experimental development and application of new diagnostic and therapeutic procedures; 2. Pharmacological and toxicological evaluation of new drugs, drug combinations and drug delivery systems; 3. Clinical trials; 4. Development and characterization of models of biomedical research; 5. Cancer diagnosis and treatment; 6. Immunotherapy and vaccines; 7. Radiotherapy, Imaging; 8. Tissue engineering, Regenerative medicine; 9. Carcinogenesis.
×
引用
GB/T 7714-2015
复制
MLA
复制
APA
复制
导出至
BibTeX EndNote RefMan NoteFirst NoteExpress
×
提示
您的信息不完整,为了账户安全,请先补充。
现在去补充
×
提示
您因"违规操作"
具体请查看互助需知
我知道了
×
提示
确定
请完成安全验证×
copy
已复制链接
快去分享给好友吧!
我知道了
右上角分享
点击右上角分享
0
联系我们:info@booksci.cn Book学术提供免费学术资源搜索服务,方便国内外学者检索中英文文献。致力于提供最便捷和优质的服务体验。 Copyright © 2023 布克学术 All rights reserved.
京ICP备2023020795号-1
ghs 京公网安备 11010802042870号
Book学术文献互助
Book学术文献互助群
群 号:604180095
Book学术官方微信