病例报告:由牙根尖外表面结石样沉积引起的根尖牙周炎。

IF 3.1 Q1 DENTISTRY, ORAL SURGERY & MEDICINE
Frontiers in oral health Pub Date : 2025-06-12 eCollection Date: 2025-01-01 DOI:10.3389/froh.2025.1615050
Esther Muñoz-Soto, Firas Elmsmari, Okba Mahmoud, José Antonio González
{"title":"病例报告:由牙根尖外表面结石样沉积引起的根尖牙周炎。","authors":"Esther Muñoz-Soto, Firas Elmsmari, Okba Mahmoud, José Antonio González","doi":"10.3389/froh.2025.1615050","DOIUrl":null,"url":null,"abstract":"<p><strong>Purpose: </strong>Herein, we report a rare case of chronic apical periodontitis associated with an extraradicular calculus-like deposit on the root apex of a mandibular left central incisor that was previously treated with root canal therapy.</p><p><strong>Case presentation: </strong>A 42-year-old man presented with persistent sinus tract formation. Despite non-surgical retreatment, the symptoms persisted, and radiographic evaluations, including cone-beam computed tomography, revealed a periapical radiolucency with radiopaque convexities in the apical third of the root. Intentional replantation (IR) was performed to allow direct clinical access for diagnosis and management. Upon extraction, a dark brown, calculus-like deposit firmly attached to the external root surface was observed. After deposit removal, root-end resection and retrograde filling were performed before replantation. Follow-ups at 3 months and 1 year revealed complete healing of the sinus tract and significant radiographic improvements. This case highlights the role of extraradicular biofilms and apical mineralized deposits in persistent periapical inflammation. Sinus tracts may facilitate mineral-ion migration and contribute to the formation of extra-radicular calculi. Mineralized biofilms may not be resolved using orthograde approaches, necessitating surgical intervention.</p><p><strong>Conclusion: </strong>IR enables thorough inspection and removal of radicular deposits, offering a minimally invasive and successful alternative to conventional apical surgery. The findings in this case are consistent with those in previous studies suggesting the usefulness of IR for managing refractory periapical lesions caused by extraradicular infections or mineralized biofilms.</p>","PeriodicalId":94016,"journal":{"name":"Frontiers in oral health","volume":"6 ","pages":"1615050"},"PeriodicalIF":3.1000,"publicationDate":"2025-06-12","publicationTypes":"Journal Article","fieldsOfStudy":null,"isOpenAccess":false,"openAccessPdf":"https://www.ncbi.nlm.nih.gov/pmc/articles/PMC12198121/pdf/","citationCount":"0","resultStr":"{\"title\":\"Case Report: Apical periodontitis due to calculus-like deposit on the external surface of the root apex.\",\"authors\":\"Esther Muñoz-Soto, Firas Elmsmari, Okba Mahmoud, José Antonio González\",\"doi\":\"10.3389/froh.2025.1615050\",\"DOIUrl\":null,\"url\":null,\"abstract\":\"<p><strong>Purpose: </strong>Herein, we report a rare case of chronic apical periodontitis associated with an extraradicular calculus-like deposit on the root apex of a mandibular left central incisor that was previously treated with root canal therapy.</p><p><strong>Case presentation: </strong>A 42-year-old man presented with persistent sinus tract formation. Despite non-surgical retreatment, the symptoms persisted, and radiographic evaluations, including cone-beam computed tomography, revealed a periapical radiolucency with radiopaque convexities in the apical third of the root. Intentional replantation (IR) was performed to allow direct clinical access for diagnosis and management. Upon extraction, a dark brown, calculus-like deposit firmly attached to the external root surface was observed. After deposit removal, root-end resection and retrograde filling were performed before replantation. Follow-ups at 3 months and 1 year revealed complete healing of the sinus tract and significant radiographic improvements. This case highlights the role of extraradicular biofilms and apical mineralized deposits in persistent periapical inflammation. Sinus tracts may facilitate mineral-ion migration and contribute to the formation of extra-radicular calculi. Mineralized biofilms may not be resolved using orthograde approaches, necessitating surgical intervention.</p><p><strong>Conclusion: </strong>IR enables thorough inspection and removal of radicular deposits, offering a minimally invasive and successful alternative to conventional apical surgery. The findings in this case are consistent with those in previous studies suggesting the usefulness of IR for managing refractory periapical lesions caused by extraradicular infections or mineralized biofilms.</p>\",\"PeriodicalId\":94016,\"journal\":{\"name\":\"Frontiers in oral health\",\"volume\":\"6 \",\"pages\":\"1615050\"},\"PeriodicalIF\":3.1000,\"publicationDate\":\"2025-06-12\",\"publicationTypes\":\"Journal Article\",\"fieldsOfStudy\":null,\"isOpenAccess\":false,\"openAccessPdf\":\"https://www.ncbi.nlm.nih.gov/pmc/articles/PMC12198121/pdf/\",\"citationCount\":\"0\",\"resultStr\":null,\"platform\":\"Semanticscholar\",\"paperid\":null,\"PeriodicalName\":\"Frontiers in oral health\",\"FirstCategoryId\":\"1085\",\"ListUrlMain\":\"https://doi.org/10.3389/froh.2025.1615050\",\"RegionNum\":0,\"RegionCategory\":null,\"ArticlePicture\":[],\"TitleCN\":null,\"AbstractTextCN\":null,\"PMCID\":null,\"EPubDate\":\"2025/1/1 0:00:00\",\"PubModel\":\"eCollection\",\"JCR\":\"Q1\",\"JCRName\":\"DENTISTRY, ORAL SURGERY & MEDICINE\",\"Score\":null,\"Total\":0}","platform":"Semanticscholar","paperid":null,"PeriodicalName":"Frontiers in oral health","FirstCategoryId":"1085","ListUrlMain":"https://doi.org/10.3389/froh.2025.1615050","RegionNum":0,"RegionCategory":null,"ArticlePicture":[],"TitleCN":null,"AbstractTextCN":null,"PMCID":null,"EPubDate":"2025/1/1 0:00:00","PubModel":"eCollection","JCR":"Q1","JCRName":"DENTISTRY, ORAL SURGERY & MEDICINE","Score":null,"Total":0}
引用次数: 0

摘要

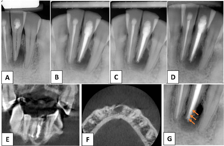
目的:在此,我们报告一例罕见的慢性根尖牙周炎与下颌左中切牙根尖根外结石样沉积物相关,该病例先前曾接受根管治疗。病例介绍:一名42岁男性,表现为持续性窦道形成。尽管进行了非手术治疗,但症状持续存在,放射学评估,包括锥束计算机断层扫描,显示根尖周围放射透光度,根尖三分之一处有不透光的凸。进行了故意再植(IR),以便直接进行临床诊断和管理。拔除后,观察到一种深棕色的结石样沉积物牢固地附着在外根表面。清除沉淀后,行根尖切除和逆行充填,再植。随访3个月和1年,鼻窦束完全愈合,影像学改善明显。本病例突出了根外生物膜和根尖矿化沉积在持续性根尖周围炎症中的作用。窦束可能促进矿物离子迁移,并有助于根外结石的形成。矿化的生物膜可能无法通过正位入路解决,因此需要手术干预。结论:红外成像能够彻底检查和清除根尖沉积物,为传统根尖手术提供了微创和成功的替代方法。本病例的研究结果与先前的研究一致,表明IR对于治疗由根外感染或矿化生物膜引起的难治性根尖周围病变是有用的。
本文章由计算机程序翻译,如有差异,请以英文原文为准。

Case Report: Apical periodontitis due to calculus-like deposit on the external surface of the root apex.

Case Report: Apical periodontitis due to calculus-like deposit on the external surface of the root apex.

Case Report: Apical periodontitis due to calculus-like deposit on the external surface of the root apex.

Case Report: Apical periodontitis due to calculus-like deposit on the external surface of the root apex.

Purpose: Herein, we report a rare case of chronic apical periodontitis associated with an extraradicular calculus-like deposit on the root apex of a mandibular left central incisor that was previously treated with root canal therapy.

Case presentation: A 42-year-old man presented with persistent sinus tract formation. Despite non-surgical retreatment, the symptoms persisted, and radiographic evaluations, including cone-beam computed tomography, revealed a periapical radiolucency with radiopaque convexities in the apical third of the root. Intentional replantation (IR) was performed to allow direct clinical access for diagnosis and management. Upon extraction, a dark brown, calculus-like deposit firmly attached to the external root surface was observed. After deposit removal, root-end resection and retrograde filling were performed before replantation. Follow-ups at 3 months and 1 year revealed complete healing of the sinus tract and significant radiographic improvements. This case highlights the role of extraradicular biofilms and apical mineralized deposits in persistent periapical inflammation. Sinus tracts may facilitate mineral-ion migration and contribute to the formation of extra-radicular calculi. Mineralized biofilms may not be resolved using orthograde approaches, necessitating surgical intervention.

Conclusion: IR enables thorough inspection and removal of radicular deposits, offering a minimally invasive and successful alternative to conventional apical surgery. The findings in this case are consistent with those in previous studies suggesting the usefulness of IR for managing refractory periapical lesions caused by extraradicular infections or mineralized biofilms.

求助全文
通过发布文献求助,成功后即可免费获取论文全文。 去求助
来源期刊
CiteScore
3.30
自引率
0.00%
发文量
0
审稿时长
13 weeks
×
引用
GB/T 7714-2015
复制
MLA
复制
APA
复制
导出至
BibTeX EndNote RefMan NoteFirst NoteExpress
×
提示
您的信息不完整,为了账户安全,请先补充。
现在去补充
×
提示
您因"违规操作"
具体请查看互助需知
我知道了
×
提示
确定
请完成安全验证×
copy
已复制链接
快去分享给好友吧!
我知道了
右上角分享
点击右上角分享
0
联系我们:info@booksci.cn Book学术提供免费学术资源搜索服务,方便国内外学者检索中英文文献。致力于提供最便捷和优质的服务体验。 Copyright © 2023 布克学术 All rights reserved.
京ICP备2023020795号-1
ghs 京公网安备 11010802042870号
Book学术文献互助
Book学术文献互助群
群 号:604180095
Book学术官方微信