EEA治疗鞍状软骨肉瘤:病例系列及文献回顾。

Q2 Medicine
GuoFo Ma, Ning Qiao, Wentao Wu, BoChao Zhang, Kefan Cai, SongBai Gui
{"title":"EEA治疗鞍状软骨肉瘤:病例系列及文献回顾。","authors":"GuoFo Ma, Ning Qiao, Wentao Wu, BoChao Zhang, Kefan Cai, SongBai Gui","doi":"10.1186/s41016-025-00397-4","DOIUrl":null,"url":null,"abstract":"<p><p>BACKGROUND : Chondrosarcoma is a rare and malignant tumor in the sellar region. Due to the limited understanding of its oncological behavior, it is often misdiagnosed as other lesions, such as chordoma or invasive pituitary adenoma. In the past, craniotomy was considered the primary treatment option. However, with the advancement of neuroendoscopic techniques, many centers have begun adopting endoscopic approaches for this disease. In this article, we summarized our case series and reviewed the previous papers to evaluate the clinical outcomes of neuroendoscopic resection for sellar chondrosarcomas.</p><p><strong>Methods: </strong>Four patients with sellar chondrosarcomas who underwent tumor resection by endonasal endoscopic approach (EEA) in our institute from 2017 to 2021 were reviewed. In addition, we reviewed the current literatures on sellar chondrosarcomas.</p><p><strong>Results: </strong>Our series included 4 patients, and 8 cases of sellar chondrosarcomas were reported in previous literatures. In the pooled cohort, there were 6 males and 6 females. The median age at diagnosis was 28.5 years (interquartile range, 22.8-39.3). The most common clinical presentation was blurring of vision (66.7%) and headache (50%). The incidence of preoperative endocrine disorder in such patients was 33.3%; these abnormalities could return to normal after surgery. Complete resection and incomplete resection were achieved in 7 (58.3%) and 5 (41.7%) cases, respectively. Among the 12 patients, only one patient was diagnosed with chondrosarcoma preoperatively; other patients were misdiagnosed with chordoma (n = 5; 41.7%), invasive non-functioning pituitary adenoma (INPA) (n = 4; 33.3%), or craniopharyngioma (n = 2; 16.7%).</p><p><strong>Conclusions: </strong>The preoperative diagnosis of sellar chondrosarcoma remains challenging and often requires differentiation from chordoma, INPA, or craniopharyngioma. When a calcified mass in the sellar region presents with intact or slightly disturbed anterior pituitary function, heterogeneous enhancement and no diffusion restriction on Magnetic Resonance Imaging(MRI) sequences, and surrounding bony destruction and bony attachment on Computed Tomography(CT) scans, a chondrosarcoma should be suspected preferentially. Complete resection is the optimal goal for the management of sellar chondrosarcoma, but adjuvant radiotherapy and periodic follow-up should be highlighted.</p>","PeriodicalId":36700,"journal":{"name":"Chinese Neurosurgical Journal","volume":"11 1","pages":"13"},"PeriodicalIF":0.0000,"publicationDate":"2025-06-26","publicationTypes":"Journal Article","fieldsOfStudy":null,"isOpenAccess":false,"openAccessPdf":"https://www.ncbi.nlm.nih.gov/pmc/articles/PMC12199512/pdf/","citationCount":"0","resultStr":"{\"title\":\"EEA for sellar chodrosarcomas: case series with literature review.\",\"authors\":\"GuoFo Ma, Ning Qiao, Wentao Wu, BoChao Zhang, Kefan Cai, SongBai Gui\",\"doi\":\"10.1186/s41016-025-00397-4\",\"DOIUrl\":null,\"url\":null,\"abstract\":\"<p><p>BACKGROUND : Chondrosarcoma is a rare and malignant tumor in the sellar region. Due to the limited understanding of its oncological behavior, it is often misdiagnosed as other lesions, such as chordoma or invasive pituitary adenoma. In the past, craniotomy was considered the primary treatment option. However, with the advancement of neuroendoscopic techniques, many centers have begun adopting endoscopic approaches for this disease. In this article, we summarized our case series and reviewed the previous papers to evaluate the clinical outcomes of neuroendoscopic resection for sellar chondrosarcomas.</p><p><strong>Methods: </strong>Four patients with sellar chondrosarcomas who underwent tumor resection by endonasal endoscopic approach (EEA) in our institute from 2017 to 2021 were reviewed. In addition, we reviewed the current literatures on sellar chondrosarcomas.</p><p><strong>Results: </strong>Our series included 4 patients, and 8 cases of sellar chondrosarcomas were reported in previous literatures. In the pooled cohort, there were 6 males and 6 females. The median age at diagnosis was 28.5 years (interquartile range, 22.8-39.3). The most common clinical presentation was blurring of vision (66.7%) and headache (50%). The incidence of preoperative endocrine disorder in such patients was 33.3%; these abnormalities could return to normal after surgery. Complete resection and incomplete resection were achieved in 7 (58.3%) and 5 (41.7%) cases, respectively. Among the 12 patients, only one patient was diagnosed with chondrosarcoma preoperatively; other patients were misdiagnosed with chordoma (n = 5; 41.7%), invasive non-functioning pituitary adenoma (INPA) (n = 4; 33.3%), or craniopharyngioma (n = 2; 16.7%).</p><p><strong>Conclusions: </strong>The preoperative diagnosis of sellar chondrosarcoma remains challenging and often requires differentiation from chordoma, INPA, or craniopharyngioma. When a calcified mass in the sellar region presents with intact or slightly disturbed anterior pituitary function, heterogeneous enhancement and no diffusion restriction on Magnetic Resonance Imaging(MRI) sequences, and surrounding bony destruction and bony attachment on Computed Tomography(CT) scans, a chondrosarcoma should be suspected preferentially. Complete resection is the optimal goal for the management of sellar chondrosarcoma, but adjuvant radiotherapy and periodic follow-up should be highlighted.</p>\",\"PeriodicalId\":36700,\"journal\":{\"name\":\"Chinese Neurosurgical Journal\",\"volume\":\"11 1\",\"pages\":\"13\"},\"PeriodicalIF\":0.0000,\"publicationDate\":\"2025-06-26\",\"publicationTypes\":\"Journal Article\",\"fieldsOfStudy\":null,\"isOpenAccess\":false,\"openAccessPdf\":\"https://www.ncbi.nlm.nih.gov/pmc/articles/PMC12199512/pdf/\",\"citationCount\":\"0\",\"resultStr\":null,\"platform\":\"Semanticscholar\",\"paperid\":null,\"PeriodicalName\":\"Chinese Neurosurgical Journal\",\"FirstCategoryId\":\"3\",\"ListUrlMain\":\"https://doi.org/10.1186/s41016-025-00397-4\",\"RegionNum\":0,\"RegionCategory\":null,\"ArticlePicture\":[],\"TitleCN\":null,\"AbstractTextCN\":null,\"PMCID\":null,\"EPubDate\":\"\",\"PubModel\":\"\",\"JCR\":\"Q2\",\"JCRName\":\"Medicine\",\"Score\":null,\"Total\":0}","platform":"Semanticscholar","paperid":null,"PeriodicalName":"Chinese Neurosurgical Journal","FirstCategoryId":"3","ListUrlMain":"https://doi.org/10.1186/s41016-025-00397-4","RegionNum":0,"RegionCategory":null,"ArticlePicture":[],"TitleCN":null,"AbstractTextCN":null,"PMCID":null,"EPubDate":"","PubModel":"","JCR":"Q2","JCRName":"Medicine","Score":null,"Total":0}
引用次数: 0

摘要

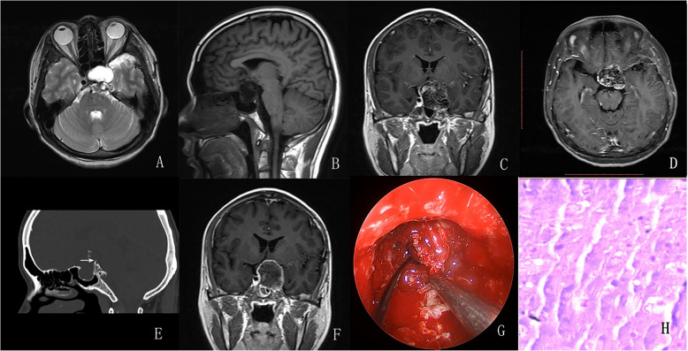
背景:软骨肉瘤是一种罕见的鞍区恶性肿瘤。由于对其肿瘤学行为的了解有限,常被误诊为其他病变,如脊索瘤或侵袭性垂体腺瘤。在过去,开颅被认为是主要的治疗选择。然而,随着神经内窥镜技术的进步,许多中心已经开始采用内窥镜方法治疗这种疾病。在这篇文章中,我们总结了我们的病例系列,并回顾了以前的论文,以评估神经内窥镜切除鞍软骨肉瘤的临床结果。方法:回顾性分析我院2017 - 2021年4例经鼻内镜入路(EEA)行鞍软骨肉瘤切除术的患者。此外,我们对目前关于鞍软骨肉瘤的文献进行了综述。结果:本研究纳入4例患者,既往文献报道了8例鞍区软骨肉瘤。在合并队列中,男性6名,女性6名。诊断时的中位年龄为28.5岁(四分位数范围为22.8-39.3)。最常见的临床表现是视力模糊(66.7%)和头痛(50%)。术前内分泌紊乱发生率为33.3%;这些异常可以在手术后恢复正常。完全切除7例(58.3%),不完全切除5例(41.7%)。12例患者中,只有1例患者术前诊断为软骨肉瘤;其他患者被误诊为脊索瘤(n = 5;41.7%),侵袭性无功能垂体腺瘤(INPA) (n = 4;33.3%)或颅咽管瘤(n = 2;16.7%)。结论:鞍软骨肉瘤的术前诊断仍然具有挑战性,通常需要与脊索瘤、INPA或颅咽管瘤鉴别。当鞍区钙化肿块表现为垂体前叶功能完整或轻度紊乱,磁共振成像(MRI)序列不均匀增强,无扩散限制,CT扫描周围骨破坏和骨附着时,应优先怀疑为软骨肉瘤。完全切除是治疗鞍软骨肉瘤的最佳目标,但应强调辅助放疗和定期随访。
本文章由计算机程序翻译,如有差异,请以英文原文为准。

EEA for sellar chodrosarcomas: case series with literature review.

EEA for sellar chodrosarcomas: case series with literature review.

EEA for sellar chodrosarcomas: case series with literature review.

EEA for sellar chodrosarcomas: case series with literature review.

BACKGROUND : Chondrosarcoma is a rare and malignant tumor in the sellar region. Due to the limited understanding of its oncological behavior, it is often misdiagnosed as other lesions, such as chordoma or invasive pituitary adenoma. In the past, craniotomy was considered the primary treatment option. However, with the advancement of neuroendoscopic techniques, many centers have begun adopting endoscopic approaches for this disease. In this article, we summarized our case series and reviewed the previous papers to evaluate the clinical outcomes of neuroendoscopic resection for sellar chondrosarcomas.

Methods: Four patients with sellar chondrosarcomas who underwent tumor resection by endonasal endoscopic approach (EEA) in our institute from 2017 to 2021 were reviewed. In addition, we reviewed the current literatures on sellar chondrosarcomas.

Results: Our series included 4 patients, and 8 cases of sellar chondrosarcomas were reported in previous literatures. In the pooled cohort, there were 6 males and 6 females. The median age at diagnosis was 28.5 years (interquartile range, 22.8-39.3). The most common clinical presentation was blurring of vision (66.7%) and headache (50%). The incidence of preoperative endocrine disorder in such patients was 33.3%; these abnormalities could return to normal after surgery. Complete resection and incomplete resection were achieved in 7 (58.3%) and 5 (41.7%) cases, respectively. Among the 12 patients, only one patient was diagnosed with chondrosarcoma preoperatively; other patients were misdiagnosed with chordoma (n = 5; 41.7%), invasive non-functioning pituitary adenoma (INPA) (n = 4; 33.3%), or craniopharyngioma (n = 2; 16.7%).

Conclusions: The preoperative diagnosis of sellar chondrosarcoma remains challenging and often requires differentiation from chordoma, INPA, or craniopharyngioma. When a calcified mass in the sellar region presents with intact or slightly disturbed anterior pituitary function, heterogeneous enhancement and no diffusion restriction on Magnetic Resonance Imaging(MRI) sequences, and surrounding bony destruction and bony attachment on Computed Tomography(CT) scans, a chondrosarcoma should be suspected preferentially. Complete resection is the optimal goal for the management of sellar chondrosarcoma, but adjuvant radiotherapy and periodic follow-up should be highlighted.

求助全文
通过发布文献求助,成功后即可免费获取论文全文。 去求助
来源期刊
CiteScore
2.70
自引率
0.00%
发文量
224
审稿时长
10 weeks
×
引用
GB/T 7714-2015
复制
MLA
复制
APA
复制
导出至
BibTeX EndNote RefMan NoteFirst NoteExpress
×
提示
您的信息不完整,为了账户安全,请先补充。
现在去补充
×
提示
您因"违规操作"
具体请查看互助需知
我知道了
×
提示
确定
请完成安全验证×
copy
已复制链接
快去分享给好友吧!
我知道了
右上角分享
点击右上角分享
0
联系我们:info@booksci.cn Book学术提供免费学术资源搜索服务,方便国内外学者检索中英文文献。致力于提供最便捷和优质的服务体验。 Copyright © 2023 布克学术 All rights reserved.
京ICP备2023020795号-1
ghs 京公网安备 11010802042870号
Book学术文献互助
Book学术文献互助群
群 号:604180095
Book学术官方微信