猫肝外胆道梗阻胆总管十二指肠吻合术:简单侧侧吻合技术。

IF 0.7 Q3 VETERINARY SCIENCES
Journal of Feline Medicine and Surgery Open Reports Pub Date : 2025-06-25 eCollection Date: 2025-01-01 DOI:10.1177/20551169251337853
Tomohiko Yoshida, Leo Murakami, Akiko Uemura, Tadashi Sano, Ryota Iwasaki, Kazumi Shimada, Lina Hamabe, Ryou Tanaka
{"title":"猫肝外胆道梗阻胆总管十二指肠吻合术:简单侧侧吻合技术。","authors":"Tomohiko Yoshida, Leo Murakami, Akiko Uemura, Tadashi Sano, Ryota Iwasaki, Kazumi Shimada, Lina Hamabe, Ryou Tanaka","doi":"10.1177/20551169251337853","DOIUrl":null,"url":null,"abstract":"<p><strong>Case summary: </strong>An 8-year-old castrated male mixed-breed cat was presented with recurrent vomiting, weight loss and abdominal distension. Blood work revealed hyperbilirubinaemia and elevated liver enzyme activities. Abdominal ultrasound and CT showed marked dilation and obstruction of the common bile duct (CBD) due to chronic cholecystitis and cholangiohepatitis. The cat was diagnosed with CBD obstruction secondary to chronic cholecystitis and cholangiohepatitis and was initially treated with antibiotics and prednisolone. Surgical intervention was performed because of complete CBD obstruction and worsening icterus that was unresponsive to medical management. A choledochoduodenostomy was performed using a simple side-to-side anastomosis between the CBD and the duodenum. The patient recovered uneventfully after surgery without significant complications. At the last follow-up, 6 months postoperatively, the cat remained clinically stable.</p><p><strong>Relevance and novel information: </strong>There is limited information on choledochoduodenostomy in cats. This is the first veterinary report describing a simple side-to-side anastomosis between the CBD and the duodenum to resolve severe extrahepatic biliary obstruction secondary to chronic cholangitis and cholecystitis. As a result of the dilation and thickening of the CBD wall, this technique was feasible. This case study lacks information on long-term prognosis and continued monitoring is important.</p>","PeriodicalId":36588,"journal":{"name":"Journal of Feline Medicine and Surgery Open Reports","volume":"11 1","pages":"20551169251337853"},"PeriodicalIF":0.7000,"publicationDate":"2025-06-25","publicationTypes":"Journal Article","fieldsOfStudy":null,"isOpenAccess":false,"openAccessPdf":"https://www.ncbi.nlm.nih.gov/pmc/articles/PMC12198559/pdf/","citationCount":"0","resultStr":"{\"title\":\"Choledochoduodenostomy in a cat with extrahepatic biliary obstruction: simple side-to-side anastomosis technique.\",\"authors\":\"Tomohiko Yoshida, Leo Murakami, Akiko Uemura, Tadashi Sano, Ryota Iwasaki, Kazumi Shimada, Lina Hamabe, Ryou Tanaka\",\"doi\":\"10.1177/20551169251337853\",\"DOIUrl\":null,\"url\":null,\"abstract\":\"<p><strong>Case summary: </strong>An 8-year-old castrated male mixed-breed cat was presented with recurrent vomiting, weight loss and abdominal distension. Blood work revealed hyperbilirubinaemia and elevated liver enzyme activities. Abdominal ultrasound and CT showed marked dilation and obstruction of the common bile duct (CBD) due to chronic cholecystitis and cholangiohepatitis. The cat was diagnosed with CBD obstruction secondary to chronic cholecystitis and cholangiohepatitis and was initially treated with antibiotics and prednisolone. Surgical intervention was performed because of complete CBD obstruction and worsening icterus that was unresponsive to medical management. A choledochoduodenostomy was performed using a simple side-to-side anastomosis between the CBD and the duodenum. The patient recovered uneventfully after surgery without significant complications. At the last follow-up, 6 months postoperatively, the cat remained clinically stable.</p><p><strong>Relevance and novel information: </strong>There is limited information on choledochoduodenostomy in cats. This is the first veterinary report describing a simple side-to-side anastomosis between the CBD and the duodenum to resolve severe extrahepatic biliary obstruction secondary to chronic cholangitis and cholecystitis. As a result of the dilation and thickening of the CBD wall, this technique was feasible. This case study lacks information on long-term prognosis and continued monitoring is important.</p>\",\"PeriodicalId\":36588,\"journal\":{\"name\":\"Journal of Feline Medicine and Surgery Open Reports\",\"volume\":\"11 1\",\"pages\":\"20551169251337853\"},\"PeriodicalIF\":0.7000,\"publicationDate\":\"2025-06-25\",\"publicationTypes\":\"Journal Article\",\"fieldsOfStudy\":null,\"isOpenAccess\":false,\"openAccessPdf\":\"https://www.ncbi.nlm.nih.gov/pmc/articles/PMC12198559/pdf/\",\"citationCount\":\"0\",\"resultStr\":null,\"platform\":\"Semanticscholar\",\"paperid\":null,\"PeriodicalName\":\"Journal of Feline Medicine and Surgery Open Reports\",\"FirstCategoryId\":\"1085\",\"ListUrlMain\":\"https://doi.org/10.1177/20551169251337853\",\"RegionNum\":0,\"RegionCategory\":null,\"ArticlePicture\":[],\"TitleCN\":null,\"AbstractTextCN\":null,\"PMCID\":null,\"EPubDate\":\"2025/1/1 0:00:00\",\"PubModel\":\"eCollection\",\"JCR\":\"Q3\",\"JCRName\":\"VETERINARY SCIENCES\",\"Score\":null,\"Total\":0}","platform":"Semanticscholar","paperid":null,"PeriodicalName":"Journal of Feline Medicine and Surgery Open Reports","FirstCategoryId":"1085","ListUrlMain":"https://doi.org/10.1177/20551169251337853","RegionNum":0,"RegionCategory":null,"ArticlePicture":[],"TitleCN":null,"AbstractTextCN":null,"PMCID":null,"EPubDate":"2025/1/1 0:00:00","PubModel":"eCollection","JCR":"Q3","JCRName":"VETERINARY SCIENCES","Score":null,"Total":0}
引用次数: 0

摘要

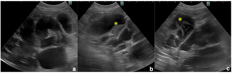
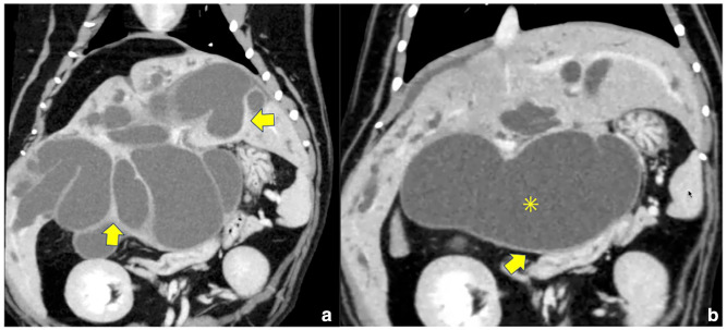
病例总结:一只8岁的阉割雄性杂交猫出现反复呕吐、体重减轻和腹胀。血液检查显示高胆红素血症和肝酶活性升高。腹部超声及CT显示慢性胆囊炎及胆管性肝炎所致的胆总管明显扩张及梗阻。这只猫被诊断为继发于慢性胆囊炎和胆管肝炎的CBD阻塞,最初使用抗生素和强的松龙治疗。由于完全CBD阻塞和黄疸恶化,对药物治疗无反应,进行了手术干预。胆总管十二指肠吻合术在CBD和十二指肠之间进行简单的侧对侧吻合。患者术后恢复平稳,无明显并发症。在术后6个月的最后一次随访中,猫保持临床稳定。相关性和新信息:关于猫胆总管十二指肠吻合术的信息有限。这是第一份兽医报告,描述了在CBD和十二指肠之间进行简单的侧对侧吻合,以解决慢性胆管炎和胆囊炎继发的严重肝外胆道梗阻。由于CBD壁的扩张和增厚,该技术是可行的。本病例研究缺乏关于长期预后的信息,持续监测很重要。
本文章由计算机程序翻译,如有差异,请以英文原文为准。

Choledochoduodenostomy in a cat with extrahepatic biliary obstruction: simple side-to-side anastomosis technique.

Choledochoduodenostomy in a cat with extrahepatic biliary obstruction: simple side-to-side anastomosis technique.

Choledochoduodenostomy in a cat with extrahepatic biliary obstruction: simple side-to-side anastomosis technique.

Choledochoduodenostomy in a cat with extrahepatic biliary obstruction: simple side-to-side anastomosis technique.

Case summary: An 8-year-old castrated male mixed-breed cat was presented with recurrent vomiting, weight loss and abdominal distension. Blood work revealed hyperbilirubinaemia and elevated liver enzyme activities. Abdominal ultrasound and CT showed marked dilation and obstruction of the common bile duct (CBD) due to chronic cholecystitis and cholangiohepatitis. The cat was diagnosed with CBD obstruction secondary to chronic cholecystitis and cholangiohepatitis and was initially treated with antibiotics and prednisolone. Surgical intervention was performed because of complete CBD obstruction and worsening icterus that was unresponsive to medical management. A choledochoduodenostomy was performed using a simple side-to-side anastomosis between the CBD and the duodenum. The patient recovered uneventfully after surgery without significant complications. At the last follow-up, 6 months postoperatively, the cat remained clinically stable.

Relevance and novel information: There is limited information on choledochoduodenostomy in cats. This is the first veterinary report describing a simple side-to-side anastomosis between the CBD and the duodenum to resolve severe extrahepatic biliary obstruction secondary to chronic cholangitis and cholecystitis. As a result of the dilation and thickening of the CBD wall, this technique was feasible. This case study lacks information on long-term prognosis and continued monitoring is important.

求助全文
通过发布文献求助,成功后即可免费获取论文全文。 去求助
来源期刊
CiteScore
1.30
自引率
14.30%
发文量
57
审稿时长
15 weeks
×
引用
GB/T 7714-2015
复制
MLA
复制
APA
复制
导出至
BibTeX EndNote RefMan NoteFirst NoteExpress
×
提示
您的信息不完整,为了账户安全,请先补充。
现在去补充
×
提示
您因"违规操作"
具体请查看互助需知
我知道了
×
提示
确定
请完成安全验证×
copy
已复制链接
快去分享给好友吧!
我知道了
右上角分享
点击右上角分享
0
联系我们:info@booksci.cn Book学术提供免费学术资源搜索服务,方便国内外学者检索中英文文献。致力于提供最便捷和优质的服务体验。 Copyright © 2023 布克学术 All rights reserved.
京ICP备2023020795号-1
ghs 京公网安备 11010802042870号
Book学术文献互助
Book学术文献互助群
群 号:604180095
Book学术官方微信