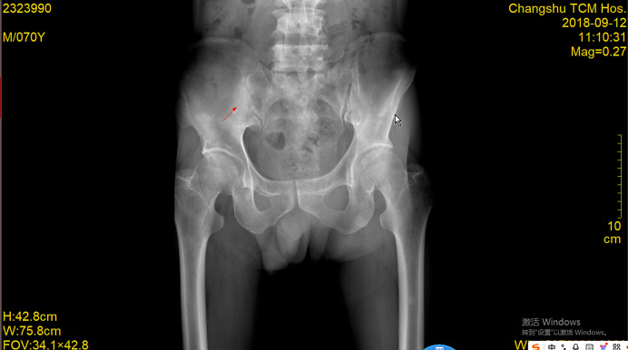
1例前列腺癌多发骨转移患者经化疗联合内分泌治疗6年后完全缓解。

IF 0.7 Q4 ONCOLOGY
Case Reports in Oncology Pub Date : 2025-05-09 eCollection Date: 2025-01-01 DOI:10.1159/000545854
Zhicheng Lu, Jian Sun, Ke Xu
{"title":"1例前列腺癌多发骨转移患者经化疗联合内分泌治疗6年后完全缓解。","authors":"Zhicheng Lu, Jian Sun, Ke Xu","doi":"10.1159/000545854","DOIUrl":null,"url":null,"abstract":"<p><strong>Introduction: </strong>Prostate cancer is one of the most common malignant tumors in men, and bone metastasis is a common complication that severely affects patients' quality of life and survival rates.</p><p><strong>Case presentation: </strong>This article reports a case of a patient with multiple bone metastases from prostate cancer who achieved complete remission and survived for 6 years following chemotherapy combined with endocrine therapy.</p><p><strong>Conclusion: </strong>By detailing the patient's treatment process and follow-up results, the article explores the application value of chemotherapy combined with endocrine therapy in the management of bone metastases in prostate cancer.</p>","PeriodicalId":9625,"journal":{"name":"Case Reports in Oncology","volume":"18 1","pages":"836-844"},"PeriodicalIF":0.7000,"publicationDate":"2025-05-09","publicationTypes":"Journal Article","fieldsOfStudy":null,"isOpenAccess":false,"openAccessPdf":"https://www.ncbi.nlm.nih.gov/pmc/articles/PMC12201939/pdf/","citationCount":"0","resultStr":"{\"title\":\"A Case Report of a Patient with Multiple Bone Metastases from Prostate Cancer Achieving Complete Remission for 6 Years after Chemotherapy Combined with Endocrine Therapy.\",\"authors\":\"Zhicheng Lu, Jian Sun, Ke Xu\",\"doi\":\"10.1159/000545854\",\"DOIUrl\":null,\"url\":null,\"abstract\":\"<p><strong>Introduction: </strong>Prostate cancer is one of the most common malignant tumors in men, and bone metastasis is a common complication that severely affects patients' quality of life and survival rates.</p><p><strong>Case presentation: </strong>This article reports a case of a patient with multiple bone metastases from prostate cancer who achieved complete remission and survived for 6 years following chemotherapy combined with endocrine therapy.</p><p><strong>Conclusion: </strong>By detailing the patient's treatment process and follow-up results, the article explores the application value of chemotherapy combined with endocrine therapy in the management of bone metastases in prostate cancer.</p>\",\"PeriodicalId\":9625,\"journal\":{\"name\":\"Case Reports in Oncology\",\"volume\":\"18 1\",\"pages\":\"836-844\"},\"PeriodicalIF\":0.7000,\"publicationDate\":\"2025-05-09\",\"publicationTypes\":\"Journal Article\",\"fieldsOfStudy\":null,\"isOpenAccess\":false,\"openAccessPdf\":\"https://www.ncbi.nlm.nih.gov/pmc/articles/PMC12201939/pdf/\",\"citationCount\":\"0\",\"resultStr\":null,\"platform\":\"Semanticscholar\",\"paperid\":null,\"PeriodicalName\":\"Case Reports in Oncology\",\"FirstCategoryId\":\"1085\",\"ListUrlMain\":\"https://doi.org/10.1159/000545854\",\"RegionNum\":0,\"RegionCategory\":null,\"ArticlePicture\":[],\"TitleCN\":null,\"AbstractTextCN\":null,\"PMCID\":null,\"EPubDate\":\"2025/1/1 0:00:00\",\"PubModel\":\"eCollection\",\"JCR\":\"Q4\",\"JCRName\":\"ONCOLOGY\",\"Score\":null,\"Total\":0}","platform":"Semanticscholar","paperid":null,"PeriodicalName":"Case Reports in Oncology","FirstCategoryId":"1085","ListUrlMain":"https://doi.org/10.1159/000545854","RegionNum":0,"RegionCategory":null,"ArticlePicture":[],"TitleCN":null,"AbstractTextCN":null,"PMCID":null,"EPubDate":"2025/1/1 0:00:00","PubModel":"eCollection","JCR":"Q4","JCRName":"ONCOLOGY","Score":null,"Total":0}
引用次数: 0

摘要

前列腺癌是男性最常见的恶性肿瘤之一,骨转移是常见的并发症,严重影响患者的生活质量和生存率。病例介绍:本文报道一例前列腺癌多发骨转移患者在化疗联合内分泌治疗后完全缓解并存活6年。结论:本文通过详细介绍患者的治疗过程及随访结果,探讨化疗联合内分泌治疗在前列腺癌骨转移治疗中的应用价值。
本文章由计算机程序翻译,如有差异,请以英文原文为准。

A Case Report of a Patient with Multiple Bone Metastases from Prostate Cancer Achieving Complete Remission for 6 Years after Chemotherapy Combined with Endocrine Therapy.

A Case Report of a Patient with Multiple Bone Metastases from Prostate Cancer Achieving Complete Remission for 6 Years after Chemotherapy Combined with Endocrine Therapy.

A Case Report of a Patient with Multiple Bone Metastases from Prostate Cancer Achieving Complete Remission for 6 Years after Chemotherapy Combined with Endocrine Therapy.

A Case Report of a Patient with Multiple Bone Metastases from Prostate Cancer Achieving Complete Remission for 6 Years after Chemotherapy Combined with Endocrine Therapy.

Introduction: Prostate cancer is one of the most common malignant tumors in men, and bone metastasis is a common complication that severely affects patients' quality of life and survival rates.

Case presentation: This article reports a case of a patient with multiple bone metastases from prostate cancer who achieved complete remission and survived for 6 years following chemotherapy combined with endocrine therapy.

Conclusion: By detailing the patient's treatment process and follow-up results, the article explores the application value of chemotherapy combined with endocrine therapy in the management of bone metastases in prostate cancer.

求助全文
通过发布文献求助,成功后即可免费获取论文全文。 去求助
来源期刊
CiteScore
1.40
自引率
12.50%
发文量
151
审稿时长
7 weeks
×
引用
GB/T 7714-2015
复制
MLA
复制
APA
复制
导出至
BibTeX EndNote RefMan NoteFirst NoteExpress
×
提示
您的信息不完整,为了账户安全,请先补充。
现在去补充
×
提示
您因"违规操作"
具体请查看互助需知
我知道了
×
提示
确定
请完成安全验证×
copy
已复制链接
快去分享给好友吧!
我知道了
右上角分享
点击右上角分享
0
联系我们:info@booksci.cn Book学术提供免费学术资源搜索服务,方便国内外学者检索中英文文献。致力于提供最便捷和优质的服务体验。 Copyright © 2023 布克学术 All rights reserved.
京ICP备2023020795号-1
ghs 京公网安备 11010802042870号
Book学术文献互助
Book学术文献互助群
群 号:604180095
Book学术官方微信