桡神经麻痹是类似Gorham-Stout病的肱骨明显丢失肩关节置换术的医源性并发症:病例报告及文献回顾

IF 0.9 Q4 CLINICAL NEUROLOGY
Case Reports in Neurological Medicine Pub Date : 2025-06-19 eCollection Date: 2025-01-01 DOI:10.1155/crnm/9969463
Lisa B E Shields, Vasudeva G Iyer, Yi Ping Zhang, Christopher B Shields
{"title":"桡神经麻痹是类似Gorham-Stout病的肱骨明显丢失肩关节置换术的医源性并发症:病例报告及文献回顾","authors":"Lisa B E Shields, Vasudeva G Iyer, Yi Ping Zhang, Christopher B Shields","doi":"10.1155/crnm/9969463","DOIUrl":null,"url":null,"abstract":"<p><p>Gorham-Stout disease (GSD), also known as vanishing bone disease or massive osteolysis, is a rare entity characterized by destruction of the osseous matrix and proliferation of vascular structures resulting in bone resorption. While neurological complications such as cerebrospinal rhinorrhea secondary to cranial involvement and paraplegia from spinal involvement have been reported, peripheral nerve complications are not known. We describe a case of radial nerve palsy that was an iatrogenic complication of shoulder replacement surgery with bone loss of the humerus resembling GSD. A 71-year-old male with a history of left total shoulder arthroplasty followed by a revision reverse total shoulder arthroplasty noted a \"bone protruding\" and pain in the left upper arm 12 years later. X-rays showed that the proximal portion of the humerus was not detectable. CT scan of the left upper extremity revealed loosening of the humeral component with prominent osteolysis most pronounced around the distal stem. The patient underwent a revision of the reverse total shoulder arthroplasty with replacement of the humeral head and shaft. He experienced numbness, pain, and weakness of the left shoulder and arm with wrist drop postoperatively. Physical exam revealed marked weakness of the dorsiflexors of the wrist and digits, wasting and weakness of the brachioradialis muscle, and loss of pinprick sensation of the superficial radial nerve distribution. Needle EMG showed denervation changes in the extensor digitorum communis, brachioradialis, and extensor carpi radialis longus muscles. An ultrasound (US) study showed enlargement of the left radial nerve at the spiral groove. The EDX and US findings suggested a left radial nerve palsy at the spiral groove. There were minimal EMG abnormalities in the deltoid and triceps muscles suggesting additional involvement of the posterior cord of the brachial plexus. This case illustrates the potential for iatrogenic radial nerve palsy following shoulder replacement surgery with significant bone loss of the humerus resembling GSD.</p>","PeriodicalId":9615,"journal":{"name":"Case Reports in Neurological Medicine","volume":"2025 ","pages":"9969463"},"PeriodicalIF":0.9000,"publicationDate":"2025-06-19","publicationTypes":"Journal Article","fieldsOfStudy":null,"isOpenAccess":false,"openAccessPdf":"https://www.ncbi.nlm.nih.gov/pmc/articles/PMC12202074/pdf/","citationCount":"0","resultStr":"{\"title\":\"Radial Nerve Palsy as an Iatrogenic Complication of Shoulder Replacement Surgery With Significant Bone Loss of the Humerus Resembling Gorham-Stout Disease: Case Report and Review of the Literature.\",\"authors\":\"Lisa B E Shields, Vasudeva G Iyer, Yi Ping Zhang, Christopher B Shields\",\"doi\":\"10.1155/crnm/9969463\",\"DOIUrl\":null,\"url\":null,\"abstract\":\"<p><p>Gorham-Stout disease (GSD), also known as vanishing bone disease or massive osteolysis, is a rare entity characterized by destruction of the osseous matrix and proliferation of vascular structures resulting in bone resorption. While neurological complications such as cerebrospinal rhinorrhea secondary to cranial involvement and paraplegia from spinal involvement have been reported, peripheral nerve complications are not known. We describe a case of radial nerve palsy that was an iatrogenic complication of shoulder replacement surgery with bone loss of the humerus resembling GSD. A 71-year-old male with a history of left total shoulder arthroplasty followed by a revision reverse total shoulder arthroplasty noted a \\\"bone protruding\\\" and pain in the left upper arm 12 years later. X-rays showed that the proximal portion of the humerus was not detectable. CT scan of the left upper extremity revealed loosening of the humeral component with prominent osteolysis most pronounced around the distal stem. The patient underwent a revision of the reverse total shoulder arthroplasty with replacement of the humeral head and shaft. He experienced numbness, pain, and weakness of the left shoulder and arm with wrist drop postoperatively. Physical exam revealed marked weakness of the dorsiflexors of the wrist and digits, wasting and weakness of the brachioradialis muscle, and loss of pinprick sensation of the superficial radial nerve distribution. Needle EMG showed denervation changes in the extensor digitorum communis, brachioradialis, and extensor carpi radialis longus muscles. An ultrasound (US) study showed enlargement of the left radial nerve at the spiral groove. The EDX and US findings suggested a left radial nerve palsy at the spiral groove. There were minimal EMG abnormalities in the deltoid and triceps muscles suggesting additional involvement of the posterior cord of the brachial plexus. This case illustrates the potential for iatrogenic radial nerve palsy following shoulder replacement surgery with significant bone loss of the humerus resembling GSD.</p>\",\"PeriodicalId\":9615,\"journal\":{\"name\":\"Case Reports in Neurological Medicine\",\"volume\":\"2025 \",\"pages\":\"9969463\"},\"PeriodicalIF\":0.9000,\"publicationDate\":\"2025-06-19\",\"publicationTypes\":\"Journal Article\",\"fieldsOfStudy\":null,\"isOpenAccess\":false,\"openAccessPdf\":\"https://www.ncbi.nlm.nih.gov/pmc/articles/PMC12202074/pdf/\",\"citationCount\":\"0\",\"resultStr\":null,\"platform\":\"Semanticscholar\",\"paperid\":null,\"PeriodicalName\":\"Case Reports in Neurological Medicine\",\"FirstCategoryId\":\"1085\",\"ListUrlMain\":\"https://doi.org/10.1155/crnm/9969463\",\"RegionNum\":0,\"RegionCategory\":null,\"ArticlePicture\":[],\"TitleCN\":null,\"AbstractTextCN\":null,\"PMCID\":null,\"EPubDate\":\"2025/1/1 0:00:00\",\"PubModel\":\"eCollection\",\"JCR\":\"Q4\",\"JCRName\":\"CLINICAL NEUROLOGY\",\"Score\":null,\"Total\":0}","platform":"Semanticscholar","paperid":null,"PeriodicalName":"Case Reports in Neurological Medicine","FirstCategoryId":"1085","ListUrlMain":"https://doi.org/10.1155/crnm/9969463","RegionNum":0,"RegionCategory":null,"ArticlePicture":[],"TitleCN":null,"AbstractTextCN":null,"PMCID":null,"EPubDate":"2025/1/1 0:00:00","PubModel":"eCollection","JCR":"Q4","JCRName":"CLINICAL NEUROLOGY","Score":null,"Total":0}
引用次数: 0

摘要

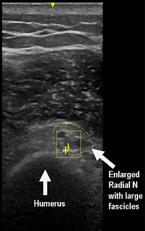
Gorham-Stout病(GSD),也被称为消失骨病或大量骨溶解,是一种罕见的疾病,其特征是骨基质破坏和血管结构增生导致骨吸收。虽然神经系统并发症,如继发于颅脑受累的脑脊液鼻漏和脊髓受累的截瘫已被报道,但周围神经并发症尚不清楚。我们描述了一个病例桡神经麻痹,这是一个医源性并发症的肩关节置换手术与骨丢失的肱骨类似GSD。患者为71岁男性,曾行左侧全肩关节置换术,12年后左侧上臂出现“骨突出”和疼痛。x光片显示肱骨近端未见。左上肢CT扫描显示肱骨部分松动,远端干周围明显骨溶解。患者接受了反向全肩关节置换术的翻修,并置换了肱骨头和肱骨干。患者术后出现左肩、左臂麻木、疼痛、无力及手腕下垂。体格检查显示腕、指背屈肌明显无力,肱桡肌消瘦无力,桡浅神经分布针刺感丧失。针刺肌电图显示指掌伸肌、肱桡肌和桡侧腕长伸肌的去神经支配改变。超声检查显示左侧桡神经螺旋沟肿大。EDX和US显示左桡神经在螺旋沟处麻痹。三角肌和肱三头肌肌电图异常轻微,提示臂丛后束受累。本病例说明了肩关节置换术后可能发生医源性桡神经麻痹,肱骨骨明显丢失,类似GSD。
本文章由计算机程序翻译,如有差异,请以英文原文为准。

Radial Nerve Palsy as an Iatrogenic Complication of Shoulder Replacement Surgery With Significant Bone Loss of the Humerus Resembling Gorham-Stout Disease: Case Report and Review of the Literature.

Radial Nerve Palsy as an Iatrogenic Complication of Shoulder Replacement Surgery With Significant Bone Loss of the Humerus Resembling Gorham-Stout Disease: Case Report and Review of the Literature.

Radial Nerve Palsy as an Iatrogenic Complication of Shoulder Replacement Surgery With Significant Bone Loss of the Humerus Resembling Gorham-Stout Disease: Case Report and Review of the Literature.

Radial Nerve Palsy as an Iatrogenic Complication of Shoulder Replacement Surgery With Significant Bone Loss of the Humerus Resembling Gorham-Stout Disease: Case Report and Review of the Literature.

Gorham-Stout disease (GSD), also known as vanishing bone disease or massive osteolysis, is a rare entity characterized by destruction of the osseous matrix and proliferation of vascular structures resulting in bone resorption. While neurological complications such as cerebrospinal rhinorrhea secondary to cranial involvement and paraplegia from spinal involvement have been reported, peripheral nerve complications are not known. We describe a case of radial nerve palsy that was an iatrogenic complication of shoulder replacement surgery with bone loss of the humerus resembling GSD. A 71-year-old male with a history of left total shoulder arthroplasty followed by a revision reverse total shoulder arthroplasty noted a "bone protruding" and pain in the left upper arm 12 years later. X-rays showed that the proximal portion of the humerus was not detectable. CT scan of the left upper extremity revealed loosening of the humeral component with prominent osteolysis most pronounced around the distal stem. The patient underwent a revision of the reverse total shoulder arthroplasty with replacement of the humeral head and shaft. He experienced numbness, pain, and weakness of the left shoulder and arm with wrist drop postoperatively. Physical exam revealed marked weakness of the dorsiflexors of the wrist and digits, wasting and weakness of the brachioradialis muscle, and loss of pinprick sensation of the superficial radial nerve distribution. Needle EMG showed denervation changes in the extensor digitorum communis, brachioradialis, and extensor carpi radialis longus muscles. An ultrasound (US) study showed enlargement of the left radial nerve at the spiral groove. The EDX and US findings suggested a left radial nerve palsy at the spiral groove. There were minimal EMG abnormalities in the deltoid and triceps muscles suggesting additional involvement of the posterior cord of the brachial plexus. This case illustrates the potential for iatrogenic radial nerve palsy following shoulder replacement surgery with significant bone loss of the humerus resembling GSD.

求助全文
通过发布文献求助,成功后即可免费获取论文全文。 去求助
来源期刊
自引率
0.00%
发文量
26
审稿时长
11 weeks
×
引用
GB/T 7714-2015
复制
MLA
复制
APA
复制
导出至
BibTeX EndNote RefMan NoteFirst NoteExpress
×
提示
您的信息不完整,为了账户安全,请先补充。
现在去补充
×
提示
您因"违规操作"
具体请查看互助需知
我知道了
×
提示
确定
请完成安全验证×
copy
已复制链接
快去分享给好友吧!
我知道了
右上角分享
点击右上角分享
0
联系我们:info@booksci.cn Book学术提供免费学术资源搜索服务,方便国内外学者检索中英文文献。致力于提供最便捷和优质的服务体验。 Copyright © 2023 布克学术 All rights reserved.
京ICP备2023020795号-1
ghs 京公网安备 11010802042870号
Book学术文献互助
Book学术文献互助群
群 号:604180095
Book学术官方微信