手术治疗胸内甲状腺肿的方法综述。

Cesare Miani, Luca Giovanni Locatello, Nicole Caiazza, Anna Maria Bergamin-Bracale, Stefania Rigo, Maria Gabriella Rugiu, Andrea Zuin, Ricard Simo
{"title":"手术治疗胸内甲状腺肿的方法综述。","authors":"Cesare Miani, Luca Giovanni Locatello, Nicole Caiazza, Anna Maria Bergamin-Bracale, Stefania Rigo, Maria Gabriella Rugiu, Andrea Zuin, Ricard Simo","doi":"10.14639/0392-100X-A743","DOIUrl":null,"url":null,"abstract":"<p><strong>Objective: </strong>Intrathoracic goiters (ITGs) pose numerous challenges to head and neck surgeons due to the intricate relationships with major vessels and other mediastinal structures. Surgical excision remains the mainstay of treatment and we herein present an update on this topic.</p><p><strong>Methods: </strong>A systematic review from 2017 to date was performed in the PubMed database and a total of 93 articles were identified and discussed, along with methodological issues and future directions in the research on ITGs.</p><p><strong>Results: </strong>Transcervical excision is the commonest approach for treating ITGs, yet the potential need for a transthoracic approach must be always kept in mind. An acceptable rate of postoperative complications is expected if surgeries are carried out by experienced and dedicated surgical teams.</p><p><strong>Conclusions: </strong>Surgical excision remains the principal treatment for ITGs and new less invasive techniques are being developed. Surgery for ITGs should be always carried out in specialist centres with experienced multidisciplinary teams.</p>","PeriodicalId":520544,"journal":{"name":"Acta otorhinolaryngologica Italica : organo ufficiale della Societa italiana di otorinolaringologia e chirurgia cervico-facciale","volume":"45 3","pages":"145-160"},"PeriodicalIF":0.0000,"publicationDate":"2025-06-01","publicationTypes":"Journal Article","fieldsOfStudy":null,"isOpenAccess":false,"openAccessPdf":"https://www.ncbi.nlm.nih.gov/pmc/articles/PMC12201918/pdf/","citationCount":"0","resultStr":"{\"title\":\"Surgical approaches to the management of the intrathoracic goiter - A systematic review.\",\"authors\":\"Cesare Miani, Luca Giovanni Locatello, Nicole Caiazza, Anna Maria Bergamin-Bracale, Stefania Rigo, Maria Gabriella Rugiu, Andrea Zuin, Ricard Simo\",\"doi\":\"10.14639/0392-100X-A743\",\"DOIUrl\":null,\"url\":null,\"abstract\":\"<p><strong>Objective: </strong>Intrathoracic goiters (ITGs) pose numerous challenges to head and neck surgeons due to the intricate relationships with major vessels and other mediastinal structures. Surgical excision remains the mainstay of treatment and we herein present an update on this topic.</p><p><strong>Methods: </strong>A systematic review from 2017 to date was performed in the PubMed database and a total of 93 articles were identified and discussed, along with methodological issues and future directions in the research on ITGs.</p><p><strong>Results: </strong>Transcervical excision is the commonest approach for treating ITGs, yet the potential need for a transthoracic approach must be always kept in mind. An acceptable rate of postoperative complications is expected if surgeries are carried out by experienced and dedicated surgical teams.</p><p><strong>Conclusions: </strong>Surgical excision remains the principal treatment for ITGs and new less invasive techniques are being developed. Surgery for ITGs should be always carried out in specialist centres with experienced multidisciplinary teams.</p>\",\"PeriodicalId\":520544,\"journal\":{\"name\":\"Acta otorhinolaryngologica Italica : organo ufficiale della Societa italiana di otorinolaringologia e chirurgia cervico-facciale\",\"volume\":\"45 3\",\"pages\":\"145-160\"},\"PeriodicalIF\":0.0000,\"publicationDate\":\"2025-06-01\",\"publicationTypes\":\"Journal Article\",\"fieldsOfStudy\":null,\"isOpenAccess\":false,\"openAccessPdf\":\"https://www.ncbi.nlm.nih.gov/pmc/articles/PMC12201918/pdf/\",\"citationCount\":\"0\",\"resultStr\":null,\"platform\":\"Semanticscholar\",\"paperid\":null,\"PeriodicalName\":\"Acta otorhinolaryngologica Italica : organo ufficiale della Societa italiana di otorinolaringologia e chirurgia cervico-facciale\",\"FirstCategoryId\":\"1085\",\"ListUrlMain\":\"https://doi.org/10.14639/0392-100X-A743\",\"RegionNum\":0,\"RegionCategory\":null,\"ArticlePicture\":[],\"TitleCN\":null,\"AbstractTextCN\":null,\"PMCID\":null,\"EPubDate\":\"\",\"PubModel\":\"\",\"JCR\":\"\",\"JCRName\":\"\",\"Score\":null,\"Total\":0}","platform":"Semanticscholar","paperid":null,"PeriodicalName":"Acta otorhinolaryngologica Italica : organo ufficiale della Societa italiana di otorinolaringologia e chirurgia cervico-facciale","FirstCategoryId":"1085","ListUrlMain":"https://doi.org/10.14639/0392-100X-A743","RegionNum":0,"RegionCategory":null,"ArticlePicture":[],"TitleCN":null,"AbstractTextCN":null,"PMCID":null,"EPubDate":"","PubModel":"","JCR":"","JCRName":"","Score":null,"Total":0}
引用次数: 0

摘要

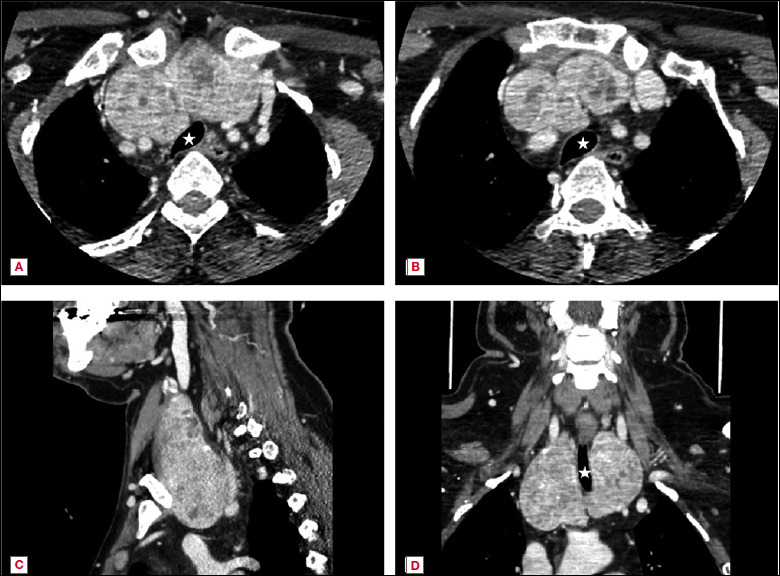
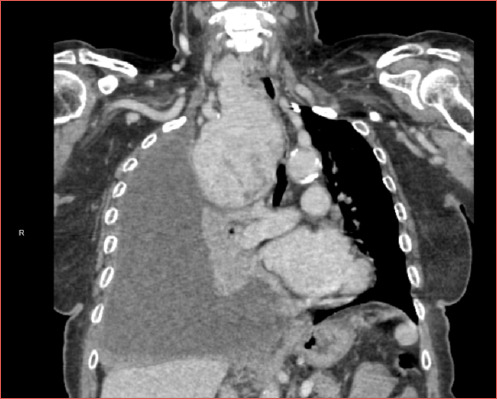
目的:胸内甲状腺肿(ITGs)由于与主要血管和其他纵隔结构的复杂关系,给头颈部外科医生带来了许多挑战。手术切除仍然是主要的治疗方法,我们在此提出关于这一主题的最新进展。方法:对2017年至今的PubMed数据库进行系统回顾,共识别和讨论了93篇文章,以及ITGs研究的方法学问题和未来方向。结果:经宫颈切除术是治疗ITGs最常见的方法,但必须始终牢记经胸入路的潜在需求。如果由经验丰富的专业外科团队进行手术,预计术后并发症的发生率可接受。结论:手术切除仍然是ITGs的主要治疗方法,新的微创技术正在发展。ITGs的手术应始终在具有经验丰富的多学科团队的专业中心进行。
本文章由计算机程序翻译,如有差异,请以英文原文为准。

Surgical approaches to the management of the intrathoracic goiter - A systematic review.

Surgical approaches to the management of the intrathoracic goiter - A systematic review.

Surgical approaches to the management of the intrathoracic goiter - A systematic review.

Surgical approaches to the management of the intrathoracic goiter - A systematic review.

Objective: Intrathoracic goiters (ITGs) pose numerous challenges to head and neck surgeons due to the intricate relationships with major vessels and other mediastinal structures. Surgical excision remains the mainstay of treatment and we herein present an update on this topic.

Methods: A systematic review from 2017 to date was performed in the PubMed database and a total of 93 articles were identified and discussed, along with methodological issues and future directions in the research on ITGs.

Results: Transcervical excision is the commonest approach for treating ITGs, yet the potential need for a transthoracic approach must be always kept in mind. An acceptable rate of postoperative complications is expected if surgeries are carried out by experienced and dedicated surgical teams.

Conclusions: Surgical excision remains the principal treatment for ITGs and new less invasive techniques are being developed. Surgery for ITGs should be always carried out in specialist centres with experienced multidisciplinary teams.

求助全文
通过发布文献求助,成功后即可免费获取论文全文。 去求助
来源期刊
自引率
0.00%
发文量
0
×
引用
GB/T 7714-2015
复制
MLA
复制
APA
复制
导出至
BibTeX EndNote RefMan NoteFirst NoteExpress
×
提示
您的信息不完整,为了账户安全,请先补充。
现在去补充
×
提示
您因"违规操作"
具体请查看互助需知
我知道了
×
提示
确定
请完成安全验证×
copy
已复制链接
快去分享给好友吧!
我知道了
右上角分享
点击右上角分享
0
联系我们:info@booksci.cn Book学术提供免费学术资源搜索服务,方便国内外学者检索中英文文献。致力于提供最便捷和优质的服务体验。 Copyright © 2023 布克学术 All rights reserved.
京ICP备2023020795号-1
ghs 京公网安备 11010802042870号
Book学术文献互助
Book学术文献互助群
群 号:604180095
Book学术官方微信