口鼻道复合体保存:上颌窦病变的粘膜下下金属窦口造口术。

Roee Landsberg, Shay Schneider, Muhammad Masarwa
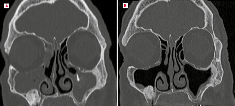
{"title":"口鼻道复合体保存:上颌窦病变的粘膜下下金属窦口造口术。","authors":"Roee Landsberg, Shay Schneider, Muhammad Masarwa","doi":"10.14639/0392-100X-N2972","DOIUrl":null,"url":null,"abstract":"<p><strong>Objective: </strong>Endoscopic inferior meatal antrostomy (EIMA) is feasible for treating maxillary sinus pathologies. We describe submucosal inferior meatal antrostomy (SIMA), a new ostiomeatal complex (OMC) sparing technique based on EIMA.</p><p><strong>Materials and methods: </strong>Medical records of patients who underwent SIMA for maxillary sinus pathologies were retrospectively reviewed. Data collected included age, gender, presenting symptoms, preoperative and postoperative endoscopic and computed tomography findings, early follow-up duration, and complications.</p><p><strong>Results: </strong>Twenty-two operated maxillary sinuses, in 20 patients, were included. Pathologies included displaced dental implant (n = 4), odontogenic sinusitis (n = 6), retention cyst (n = 5), antrochoanal polyp (n = 5) and fungus ball (n = 2). SIMA provided excellent access and view, and the OMC and the inferior meatus mucosa remained intact. Nineteen patients were completely cured following a rapid recovery and needed no further intervention. No intra-operative or postoperative complications occurred, and recirculation was not observed. One case failed due to a persistent odontogenic infection.</p><p><strong>Conclusions: </strong>SIMA provides an improved access and view when treating non-OMC-dependent maxillary sinus pathologies, while maintaining the integrity of the middle and inferior meatuses mucosa.</p>","PeriodicalId":520544,"journal":{"name":"Acta otorhinolaryngologica Italica : organo ufficiale della Societa italiana di otorinolaringologia e chirurgia cervico-facciale","volume":"45 3","pages":"200-206"},"PeriodicalIF":0.0000,"publicationDate":"2025-06-01","publicationTypes":"Journal Article","fieldsOfStudy":null,"isOpenAccess":false,"openAccessPdf":"https://www.ncbi.nlm.nih.gov/pmc/articles/PMC12201917/pdf/","citationCount":"0","resultStr":"{\"title\":\"Ostiomeatal complex preservation: submucosal inferior meatal antrostomy for maxillary sinus pathologies.\",\"authors\":\"Roee Landsberg, Shay Schneider, Muhammad Masarwa\",\"doi\":\"10.14639/0392-100X-N2972\",\"DOIUrl\":null,\"url\":null,\"abstract\":\"<p><strong>Objective: </strong>Endoscopic inferior meatal antrostomy (EIMA) is feasible for treating maxillary sinus pathologies. We describe submucosal inferior meatal antrostomy (SIMA), a new ostiomeatal complex (OMC) sparing technique based on EIMA.</p><p><strong>Materials and methods: </strong>Medical records of patients who underwent SIMA for maxillary sinus pathologies were retrospectively reviewed. Data collected included age, gender, presenting symptoms, preoperative and postoperative endoscopic and computed tomography findings, early follow-up duration, and complications.</p><p><strong>Results: </strong>Twenty-two operated maxillary sinuses, in 20 patients, were included. Pathologies included displaced dental implant (n = 4), odontogenic sinusitis (n = 6), retention cyst (n = 5), antrochoanal polyp (n = 5) and fungus ball (n = 2). SIMA provided excellent access and view, and the OMC and the inferior meatus mucosa remained intact. Nineteen patients were completely cured following a rapid recovery and needed no further intervention. No intra-operative or postoperative complications occurred, and recirculation was not observed. One case failed due to a persistent odontogenic infection.</p><p><strong>Conclusions: </strong>SIMA provides an improved access and view when treating non-OMC-dependent maxillary sinus pathologies, while maintaining the integrity of the middle and inferior meatuses mucosa.</p>\",\"PeriodicalId\":520544,\"journal\":{\"name\":\"Acta otorhinolaryngologica Italica : organo ufficiale della Societa italiana di otorinolaringologia e chirurgia cervico-facciale\",\"volume\":\"45 3\",\"pages\":\"200-206\"},\"PeriodicalIF\":0.0000,\"publicationDate\":\"2025-06-01\",\"publicationTypes\":\"Journal Article\",\"fieldsOfStudy\":null,\"isOpenAccess\":false,\"openAccessPdf\":\"https://www.ncbi.nlm.nih.gov/pmc/articles/PMC12201917/pdf/\",\"citationCount\":\"0\",\"resultStr\":null,\"platform\":\"Semanticscholar\",\"paperid\":null,\"PeriodicalName\":\"Acta otorhinolaryngologica Italica : organo ufficiale della Societa italiana di otorinolaringologia e chirurgia cervico-facciale\",\"FirstCategoryId\":\"1085\",\"ListUrlMain\":\"https://doi.org/10.14639/0392-100X-N2972\",\"RegionNum\":0,\"RegionCategory\":null,\"ArticlePicture\":[],\"TitleCN\":null,\"AbstractTextCN\":null,\"PMCID\":null,\"EPubDate\":\"\",\"PubModel\":\"\",\"JCR\":\"\",\"JCRName\":\"\",\"Score\":null,\"Total\":0}","platform":"Semanticscholar","paperid":null,"PeriodicalName":"Acta otorhinolaryngologica Italica : organo ufficiale della Societa italiana di otorinolaringologia e chirurgia cervico-facciale","FirstCategoryId":"1085","ListUrlMain":"https://doi.org/10.14639/0392-100X-N2972","RegionNum":0,"RegionCategory":null,"ArticlePicture":[],"TitleCN":null,"AbstractTextCN":null,"PMCID":null,"EPubDate":"","PubModel":"","JCR":"","JCRName":"","Score":null,"Total":0}
引用次数: 0

摘要

目的:内镜下金属窦口造口术(EIMA)治疗上颌窦病变是可行的。我们描述了粘膜下金属窦口造口术(SIMA),一种基于EIMA的新型口鼻复合体(OMC)保留技术。材料与方法:回顾性分析上颌窦病变行SIMA治疗的病例。收集的数据包括年龄、性别、表现症状、术前和术后内窥镜和计算机断层扫描结果、早期随访时间和并发症。结果:20例患者22例上颌窦手术。病理包括种植体移位(n = 4),牙源性鼻窦炎(n = 6),保留囊肿(n = 5),鼻后窦息肉(n = 5),真菌球(n = 2)。SIMA提供了良好的通道和视野,OMC和下食管粘膜保持完整。19例患者在快速恢复后完全治愈,无需进一步干预。术中及术后均无并发症发生,未见再循环。1例因持续牙源性感染而失败。结论:SIMA在治疗非omc依赖性上颌窦病变时提供了更好的通道和视野,同时保持了中下颌窦粘膜的完整性。
本文章由计算机程序翻译,如有差异,请以英文原文为准。

Ostiomeatal complex preservation: submucosal inferior meatal antrostomy for maxillary sinus pathologies.

Ostiomeatal complex preservation: submucosal inferior meatal antrostomy for maxillary sinus pathologies.

Ostiomeatal complex preservation: submucosal inferior meatal antrostomy for maxillary sinus pathologies.

Ostiomeatal complex preservation: submucosal inferior meatal antrostomy for maxillary sinus pathologies.

Objective: Endoscopic inferior meatal antrostomy (EIMA) is feasible for treating maxillary sinus pathologies. We describe submucosal inferior meatal antrostomy (SIMA), a new ostiomeatal complex (OMC) sparing technique based on EIMA.

Materials and methods: Medical records of patients who underwent SIMA for maxillary sinus pathologies were retrospectively reviewed. Data collected included age, gender, presenting symptoms, preoperative and postoperative endoscopic and computed tomography findings, early follow-up duration, and complications.

Results: Twenty-two operated maxillary sinuses, in 20 patients, were included. Pathologies included displaced dental implant (n = 4), odontogenic sinusitis (n = 6), retention cyst (n = 5), antrochoanal polyp (n = 5) and fungus ball (n = 2). SIMA provided excellent access and view, and the OMC and the inferior meatus mucosa remained intact. Nineteen patients were completely cured following a rapid recovery and needed no further intervention. No intra-operative or postoperative complications occurred, and recirculation was not observed. One case failed due to a persistent odontogenic infection.

Conclusions: SIMA provides an improved access and view when treating non-OMC-dependent maxillary sinus pathologies, while maintaining the integrity of the middle and inferior meatuses mucosa.

求助全文
通过发布文献求助,成功后即可免费获取论文全文。 去求助
来源期刊
自引率
0.00%
发文量
0
×
引用
GB/T 7714-2015
复制
MLA
复制
APA
复制
导出至
BibTeX EndNote RefMan NoteFirst NoteExpress
×
提示
您的信息不完整,为了账户安全,请先补充。
现在去补充
×
提示
您因"违规操作"
具体请查看互助需知
我知道了
×
提示
确定
请完成安全验证×
copy
已复制链接
快去分享给好友吧!
我知道了
右上角分享
点击右上角分享
0
联系我们:info@booksci.cn Book学术提供免费学术资源搜索服务,方便国内外学者检索中英文文献。致力于提供最便捷和优质的服务体验。 Copyright © 2023 布克学术 All rights reserved.
京ICP备2023020795号-1
ghs 京公网安备 11010802042870号
Book学术文献互助
Book学术文献互助群
群 号:604180095
Book学术官方微信