肉芽肿病合并多血管炎表现为孤立性耳部受累:一个病例系列和文献回顾。

Silvia Zorzi, Gabriele Testa, Michele Tomasoni, Stefano Taboni, Nader Nassif, Gina Alessandra Gregorini, Tommaso Sorrentino, Cesare Piazza, Luca Oscar Redaelli de Zinis
{"title":"肉芽肿病合并多血管炎表现为孤立性耳部受累:一个病例系列和文献回顾。","authors":"Silvia Zorzi, Gabriele Testa, Michele Tomasoni, Stefano Taboni, Nader Nassif, Gina Alessandra Gregorini, Tommaso Sorrentino, Cesare Piazza, Luca Oscar Redaelli de Zinis","doi":"10.14639/0392-100X-N3008","DOIUrl":null,"url":null,"abstract":"<p><strong>Objective: </strong>To describe the clinical characteristics and outcomes of patients affected by granulomatosis with polyangiitis (GPA) presenting with isolated ear involvement.</p><p><strong>Methods: </strong>A retrospective review of patients affected by GPA and treated at the University of Brescia, Italy, from 2002 to 2023 was conducted. Only patients with exclusive otologic manifestation as first presentation were included.</p><p><strong>Results: </strong>Among 610 patients with antineutrophil cytoplasmic antibody-associated vasculitis (AAV) diagnosed and followed at our Institution, 6 (0.8%) presented with exclusive ear involvement as first presentation, all affected by GPA. Most frequently patients presented with otitis media with effusion, sensorineural or mixed hearing loss, and dizziness. Two patients developed systemic symptoms. All patients experienced at least a partial recovery of middle ear function after starting immunosuppressive therapy.</p><p><strong>Conclusions: </strong>AAVs rarely show initial presentation as isolated ear involvement, and more commonly present as otitis media with hearing loss that is unresponsive to conventional therapy. Once an AAV is suspected, surgery should be avoided since further damage can be caused by local iatrogenic inflammation sustained by the underlying condition. Local improvement is generally seen after the start of immunosuppressive therapy.</p>","PeriodicalId":520544,"journal":{"name":"Acta otorhinolaryngologica Italica : organo ufficiale della Societa italiana di otorinolaringologia e chirurgia cervico-facciale","volume":"45 3","pages":"217-230"},"PeriodicalIF":0.0000,"publicationDate":"2025-06-01","publicationTypes":"Journal Article","fieldsOfStudy":null,"isOpenAccess":false,"openAccessPdf":"https://www.ncbi.nlm.nih.gov/pmc/articles/PMC12201922/pdf/","citationCount":"0","resultStr":"{\"title\":\"Granulomatosis with polyangiitis presenting as isolated ear involvement: a case series and literature review.\",\"authors\":\"Silvia Zorzi, Gabriele Testa, Michele Tomasoni, Stefano Taboni, Nader Nassif, Gina Alessandra Gregorini, Tommaso Sorrentino, Cesare Piazza, Luca Oscar Redaelli de Zinis\",\"doi\":\"10.14639/0392-100X-N3008\",\"DOIUrl\":null,\"url\":null,\"abstract\":\"<p><strong>Objective: </strong>To describe the clinical characteristics and outcomes of patients affected by granulomatosis with polyangiitis (GPA) presenting with isolated ear involvement.</p><p><strong>Methods: </strong>A retrospective review of patients affected by GPA and treated at the University of Brescia, Italy, from 2002 to 2023 was conducted. Only patients with exclusive otologic manifestation as first presentation were included.</p><p><strong>Results: </strong>Among 610 patients with antineutrophil cytoplasmic antibody-associated vasculitis (AAV) diagnosed and followed at our Institution, 6 (0.8%) presented with exclusive ear involvement as first presentation, all affected by GPA. Most frequently patients presented with otitis media with effusion, sensorineural or mixed hearing loss, and dizziness. Two patients developed systemic symptoms. All patients experienced at least a partial recovery of middle ear function after starting immunosuppressive therapy.</p><p><strong>Conclusions: </strong>AAVs rarely show initial presentation as isolated ear involvement, and more commonly present as otitis media with hearing loss that is unresponsive to conventional therapy. Once an AAV is suspected, surgery should be avoided since further damage can be caused by local iatrogenic inflammation sustained by the underlying condition. Local improvement is generally seen after the start of immunosuppressive therapy.</p>\",\"PeriodicalId\":520544,\"journal\":{\"name\":\"Acta otorhinolaryngologica Italica : organo ufficiale della Societa italiana di otorinolaringologia e chirurgia cervico-facciale\",\"volume\":\"45 3\",\"pages\":\"217-230\"},\"PeriodicalIF\":0.0000,\"publicationDate\":\"2025-06-01\",\"publicationTypes\":\"Journal Article\",\"fieldsOfStudy\":null,\"isOpenAccess\":false,\"openAccessPdf\":\"https://www.ncbi.nlm.nih.gov/pmc/articles/PMC12201922/pdf/\",\"citationCount\":\"0\",\"resultStr\":null,\"platform\":\"Semanticscholar\",\"paperid\":null,\"PeriodicalName\":\"Acta otorhinolaryngologica Italica : organo ufficiale della Societa italiana di otorinolaringologia e chirurgia cervico-facciale\",\"FirstCategoryId\":\"1085\",\"ListUrlMain\":\"https://doi.org/10.14639/0392-100X-N3008\",\"RegionNum\":0,\"RegionCategory\":null,\"ArticlePicture\":[],\"TitleCN\":null,\"AbstractTextCN\":null,\"PMCID\":null,\"EPubDate\":\"\",\"PubModel\":\"\",\"JCR\":\"\",\"JCRName\":\"\",\"Score\":null,\"Total\":0}","platform":"Semanticscholar","paperid":null,"PeriodicalName":"Acta otorhinolaryngologica Italica : organo ufficiale della Societa italiana di otorinolaringologia e chirurgia cervico-facciale","FirstCategoryId":"1085","ListUrlMain":"https://doi.org/10.14639/0392-100X-N3008","RegionNum":0,"RegionCategory":null,"ArticlePicture":[],"TitleCN":null,"AbstractTextCN":null,"PMCID":null,"EPubDate":"","PubModel":"","JCR":"","JCRName":"","Score":null,"Total":0}
引用次数: 0

摘要

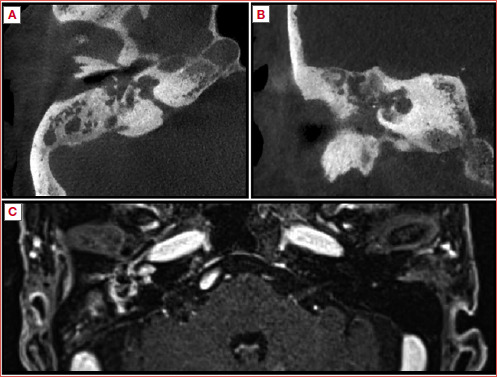
目的:探讨以孤立性耳部受累为表现的肉芽肿病合并多血管炎(GPA)患者的临床特点及预后。方法:回顾性分析2002年至2023年在意大利布雷西亚大学接受治疗的GPA患者。仅包括首次出现独家耳科表现的患者。结果:在本研究所诊断并随访的610例抗中性粒细胞细胞质抗体相关血管炎(AAV)患者中,6例(0.8%)首次表现为独家耳部受累,均受GPA影响。最常见的患者表现为中耳炎伴积液、感音神经性或混合性听力丧失和头晕。两名患者出现全身症状。所有患者在开始免疫抑制治疗后至少部分恢复了中耳功能。结论:aav的初始表现很少表现为孤立的耳部受累,而更常见的表现是中耳炎伴听力损失,对常规治疗无反应。一旦怀疑AAV,应避免手术,因为潜在疾病持续的局部医源性炎症可引起进一步的损害。局部改善通常在免疫抑制治疗开始后出现。
本文章由计算机程序翻译,如有差异,请以英文原文为准。

Granulomatosis with polyangiitis presenting as isolated ear involvement: a case series and literature review.

Granulomatosis with polyangiitis presenting as isolated ear involvement: a case series and literature review.

Objective: To describe the clinical characteristics and outcomes of patients affected by granulomatosis with polyangiitis (GPA) presenting with isolated ear involvement.

Methods: A retrospective review of patients affected by GPA and treated at the University of Brescia, Italy, from 2002 to 2023 was conducted. Only patients with exclusive otologic manifestation as first presentation were included.

Results: Among 610 patients with antineutrophil cytoplasmic antibody-associated vasculitis (AAV) diagnosed and followed at our Institution, 6 (0.8%) presented with exclusive ear involvement as first presentation, all affected by GPA. Most frequently patients presented with otitis media with effusion, sensorineural or mixed hearing loss, and dizziness. Two patients developed systemic symptoms. All patients experienced at least a partial recovery of middle ear function after starting immunosuppressive therapy.

Conclusions: AAVs rarely show initial presentation as isolated ear involvement, and more commonly present as otitis media with hearing loss that is unresponsive to conventional therapy. Once an AAV is suspected, surgery should be avoided since further damage can be caused by local iatrogenic inflammation sustained by the underlying condition. Local improvement is generally seen after the start of immunosuppressive therapy.

求助全文
通过发布文献求助,成功后即可免费获取论文全文。 去求助
来源期刊
自引率
0.00%
发文量
0
×
引用
GB/T 7714-2015
复制
MLA
复制
APA
复制
导出至
BibTeX EndNote RefMan NoteFirst NoteExpress
×
提示
您的信息不完整,为了账户安全,请先补充。
现在去补充
×
提示
您因"违规操作"
具体请查看互助需知
我知道了
×
提示
确定
请完成安全验证×
copy
已复制链接
快去分享给好友吧!
我知道了
右上角分享
点击右上角分享
0
联系我们:info@booksci.cn Book学术提供免费学术资源搜索服务,方便国内外学者检索中英文文献。致力于提供最便捷和优质的服务体验。 Copyright © 2023 布克学术 All rights reserved.
京ICP备2023020795号-1
ghs 京公网安备 11010802042870号
Book学术文献互助
Book学术文献互助群
群 号:604180095
Book学术官方微信