肾移植受者的斑疹:3例报告。

Prathap Kumar Simhadri, Renish Contractor, Deepak Chandramohan, Matthew McGee, Udit Nangia, Mohammad Atari, Syed Bushra, Sanjana Kapoor, Ramya Krishna Velagapudi, Pradeep K Vaitla
{"title":"肾移植受者的斑疹:3例报告。","authors":"Prathap Kumar Simhadri, Renish Contractor, Deepak Chandramohan, Matthew McGee, Udit Nangia, Mohammad Atari, Syed Bushra, Sanjana Kapoor, Ramya Krishna Velagapudi, Pradeep K Vaitla","doi":"10.5527/wjn.v14.i2.100530","DOIUrl":null,"url":null,"abstract":"<p><strong>Background: </strong>Malakoplakia is a rare chronic granulomatous disease associated with gram-negative infection, predominantly by <i>Escherichia coli.</i> It is induced by defective phagolysosomal activity of the macrophages. Malakoplakia commonly affects the urinary bladder but has been shown to affect any solid organ, including the native and transplanted kidney. However, isolated malakoplakia of the kidney allograft is rare. Transplant recipients with compromised immune systems are more likely to develop malakoplakia.</p><p><strong>Case summary: </strong>We report three cases of kidney allograft parenchymal malakoplakia in kidney transplant recipients on immunosuppression that were successfully managed with good outcomes. We described the clinical characteristics of all the kidney allograft malakoplakia cases documented in the literature. A total of 55 cases of malakoplakia were reported in recipients with a history of kidney transplant. A total of 27 recipients had malakoplakia involving the allograft, and others had malakoplakia in other organs. The common presentations included allograft dysfunction, pyelonephritis, and allograft or systemic mass. Most recipients had favorable outcomes with appropriate management that included prolonged antibiotic therapy and adjustment of immunosuppression. We reviewed the published literature on all the cases of malakoplakia in kidney transplant recipients so far and summarized the etiology, management, and outcomes.</p><p><strong>Conclusion: </strong>This case series provides an overview of the etiology, presentation, pathogenesis, and management of malakoplakia in kidney transplant recipients.</p>","PeriodicalId":94272,"journal":{"name":"World journal of nephrology","volume":"14 2","pages":"100530"},"PeriodicalIF":0.0000,"publicationDate":"2025-06-25","publicationTypes":"Journal Article","fieldsOfStudy":null,"isOpenAccess":false,"openAccessPdf":"https://www.ncbi.nlm.nih.gov/pmc/articles/PMC12001219/pdf/","citationCount":"0","resultStr":"{\"title\":\"Malakoplakia in kidney transplant recipients: Three case reports.\",\"authors\":\"Prathap Kumar Simhadri, Renish Contractor, Deepak Chandramohan, Matthew McGee, Udit Nangia, Mohammad Atari, Syed Bushra, Sanjana Kapoor, Ramya Krishna Velagapudi, Pradeep K Vaitla\",\"doi\":\"10.5527/wjn.v14.i2.100530\",\"DOIUrl\":null,\"url\":null,\"abstract\":\"<p><strong>Background: </strong>Malakoplakia is a rare chronic granulomatous disease associated with gram-negative infection, predominantly by <i>Escherichia coli.</i> It is induced by defective phagolysosomal activity of the macrophages. Malakoplakia commonly affects the urinary bladder but has been shown to affect any solid organ, including the native and transplanted kidney. However, isolated malakoplakia of the kidney allograft is rare. Transplant recipients with compromised immune systems are more likely to develop malakoplakia.</p><p><strong>Case summary: </strong>We report three cases of kidney allograft parenchymal malakoplakia in kidney transplant recipients on immunosuppression that were successfully managed with good outcomes. We described the clinical characteristics of all the kidney allograft malakoplakia cases documented in the literature. A total of 55 cases of malakoplakia were reported in recipients with a history of kidney transplant. A total of 27 recipients had malakoplakia involving the allograft, and others had malakoplakia in other organs. The common presentations included allograft dysfunction, pyelonephritis, and allograft or systemic mass. Most recipients had favorable outcomes with appropriate management that included prolonged antibiotic therapy and adjustment of immunosuppression. We reviewed the published literature on all the cases of malakoplakia in kidney transplant recipients so far and summarized the etiology, management, and outcomes.</p><p><strong>Conclusion: </strong>This case series provides an overview of the etiology, presentation, pathogenesis, and management of malakoplakia in kidney transplant recipients.</p>\",\"PeriodicalId\":94272,\"journal\":{\"name\":\"World journal of nephrology\",\"volume\":\"14 2\",\"pages\":\"100530\"},\"PeriodicalIF\":0.0000,\"publicationDate\":\"2025-06-25\",\"publicationTypes\":\"Journal Article\",\"fieldsOfStudy\":null,\"isOpenAccess\":false,\"openAccessPdf\":\"https://www.ncbi.nlm.nih.gov/pmc/articles/PMC12001219/pdf/\",\"citationCount\":\"0\",\"resultStr\":null,\"platform\":\"Semanticscholar\",\"paperid\":null,\"PeriodicalName\":\"World journal of nephrology\",\"FirstCategoryId\":\"1085\",\"ListUrlMain\":\"https://doi.org/10.5527/wjn.v14.i2.100530\",\"RegionNum\":0,\"RegionCategory\":null,\"ArticlePicture\":[],\"TitleCN\":null,\"AbstractTextCN\":null,\"PMCID\":null,\"EPubDate\":\"\",\"PubModel\":\"\",\"JCR\":\"\",\"JCRName\":\"\",\"Score\":null,\"Total\":0}","platform":"Semanticscholar","paperid":null,"PeriodicalName":"World journal of nephrology","FirstCategoryId":"1085","ListUrlMain":"https://doi.org/10.5527/wjn.v14.i2.100530","RegionNum":0,"RegionCategory":null,"ArticlePicture":[],"TitleCN":null,"AbstractTextCN":null,"PMCID":null,"EPubDate":"","PubModel":"","JCR":"","JCRName":"","Score":null,"Total":0}
引用次数: 0

摘要

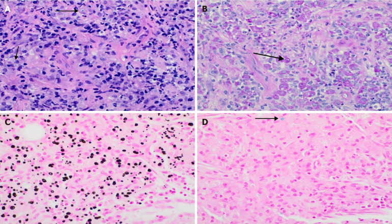
背景:Malakoplakia是一种罕见的慢性肉芽肿性疾病,与革兰氏阴性感染相关,主要由大肠杆菌感染。它是由巨噬细胞吞噬溶酶体活性缺陷引起的。斑疹病通常会影响膀胱,但也会影响任何实体器官,包括原生肾脏和移植肾脏。然而,孤立的同种异体肾脏斑疹是罕见的。免疫系统受损的移植受者更容易患上斑疹病。病例总结:我们报告了三例免疫抑制肾移植受者的同种异体肾实质斑疹成功治疗并取得了良好的结果。我们描述了所有在文献中记录的同种异体肾移植斑疹病例的临床特征。有肾移植史的受者共报告了55例斑疹。共有27名受者有涉及同种异体移植物的斑疹,其他受者在其他器官有斑疹。常见的表现包括异体移植物功能障碍、肾盂肾炎、异体移植物或全身肿块。大多数接受者通过适当的管理,包括延长抗生素治疗和调整免疫抑制,获得了良好的结果。我们回顾了迄今为止关于肾移植受者中所有斑疹病例的已发表文献,并总结了病因、治疗和结果。结论:本病例系列概述了肾移植受者斑疹的病因、表现、发病机制和治疗。
本文章由计算机程序翻译,如有差异,请以英文原文为准。

Malakoplakia in kidney transplant recipients: Three case reports.

Malakoplakia in kidney transplant recipients: Three case reports.

Malakoplakia in kidney transplant recipients: Three case reports.

Background: Malakoplakia is a rare chronic granulomatous disease associated with gram-negative infection, predominantly by Escherichia coli. It is induced by defective phagolysosomal activity of the macrophages. Malakoplakia commonly affects the urinary bladder but has been shown to affect any solid organ, including the native and transplanted kidney. However, isolated malakoplakia of the kidney allograft is rare. Transplant recipients with compromised immune systems are more likely to develop malakoplakia.

Case summary: We report three cases of kidney allograft parenchymal malakoplakia in kidney transplant recipients on immunosuppression that were successfully managed with good outcomes. We described the clinical characteristics of all the kidney allograft malakoplakia cases documented in the literature. A total of 55 cases of malakoplakia were reported in recipients with a history of kidney transplant. A total of 27 recipients had malakoplakia involving the allograft, and others had malakoplakia in other organs. The common presentations included allograft dysfunction, pyelonephritis, and allograft or systemic mass. Most recipients had favorable outcomes with appropriate management that included prolonged antibiotic therapy and adjustment of immunosuppression. We reviewed the published literature on all the cases of malakoplakia in kidney transplant recipients so far and summarized the etiology, management, and outcomes.

Conclusion: This case series provides an overview of the etiology, presentation, pathogenesis, and management of malakoplakia in kidney transplant recipients.

求助全文
通过发布文献求助,成功后即可免费获取论文全文。 去求助
来源期刊
CiteScore
3.40
自引率
0.00%
发文量
0
×
引用
GB/T 7714-2015
复制
MLA
复制
APA
复制
导出至
BibTeX EndNote RefMan NoteFirst NoteExpress
×
提示
您的信息不完整,为了账户安全,请先补充。
现在去补充
×
提示
您因"违规操作"
具体请查看互助需知
我知道了
×
提示
确定
请完成安全验证×
copy
已复制链接
快去分享给好友吧!
我知道了
右上角分享
点击右上角分享
0
联系我们:info@booksci.cn Book学术提供免费学术资源搜索服务,方便国内外学者检索中英文文献。致力于提供最便捷和优质的服务体验。 Copyright © 2023 布克学术 All rights reserved.
京ICP备2023020795号-1
ghs 京公网安备 11010802042870号
Book学术文献互助
Book学术文献互助群
群 号:604180095
Book学术官方微信